JavaScript is disabled in your browser. Please enable JavaScript to view this website.
AB271977

Anti-MMP7 antibody [EPR17888-71] - BSA and Azide free

Be the first to review this product! Submit a review

|

(2 Publications)

Rabbit Recombinant Monoclonal MMP7 antibody. Carrier free. Suitable for WB, IHC-P, ICC/IF and reacts with Human samples. Cited in 2 publications.

View Alternative Names

MPSL1, PUMP1, MMP7, Matrilysin, Matrin, Matrix metalloproteinase-7, Pump-1 protease, Uterine metalloproteinase, MMP-7

6 Images
Immunocytochemistry/ Immunofluorescence - Anti-MMP7 antibody [EPR17888-71] - BSA and Azide free (AB271977)
  • ICC/IF

Supplier Data

Immunocytochemistry/ Immunofluorescence - Anti-MMP7 antibody [EPR17888-71] - BSA and Azide free (AB271977)

Immunofluorescent analysis of 4% paraformaldehyde-fixed, 0.1% Triton X-100 permeabilized PC-3 (Human prostate adenocarcinoma cell line) cells labeling MMP7 with ab207299 at 1/300 dilution, followed by Goat anti-rabbit IgG (Alexa Fluor® 488) (ab150077) secondary antibody at 1/1000 dilution (green).

Confocal image showing cytoplasmic staining on PC-3 cell line.

The nuclear counterstain is DAPI (blue).

Tubulin is detected with ab7291 (anti-Tubulin mouse mAb) at 1/1000 dilution and ab150120 (AlexaFluor®594 Goat anti-Mouse secondary) at 1/1000 dilution (red).

The negative controls are as follows : -

-ve control 1 : ab207299 at 1/300 dilution followed by ab150120 (AlexaFluor®594 Goat anti-Mouse secondary) at 1/1000 dilution.

-ve control 2 : ab7291 (anti-Tubulin mouse mAb) at 1/1000 dilution followed by ab150077 (Alexa Fluor®488 Goat Anti-Rabbit IgG H&L) at 1/1000 dilution.

This data was developed using the same antibody clone in a different buffer formulation containing PBS, BSA, glycerol, and sodium azide (ab207299).

Immunocytochemistry/ Immunofluorescence - Anti-MMP7 antibody [EPR17888-71] - BSA and Azide free (AB271977)
  • ICC/IF

Supplier Data

Immunocytochemistry/ Immunofluorescence - Anti-MMP7 antibody [EPR17888-71] - BSA and Azide free (AB271977)

Immunofluorescent analysis of 4% paraformaldehyde-fixed, 0.1% Triton X-100 permeabilized HT-29 (Human colorectal adenocarcinoma cell line) cells labeling MMP7 with ab207299 at 1/300 dilution, followed by Goat anti-rabbit IgG (Alexa Fluor® 488) (ab150077) secondary antibody at 1/1000 dilution (green).

Confocal image showing cytoplasmic staining on HT-29 cell line.

The nuclear counterstain is DAPI (blue).

Tubulin is detected with ab7291 (anti-Tubulin mouse mAb) at 1/1000 dilution and ab150120 (AlexaFluor®594 Goat anti-Mouse secondary) at 1/1000 dilution (red).

The negative controls are as follows : -

-ve control 1 : ab207299 at 1/300 dilution followed by ab150120 (AlexaFluor®594 Goat anti-Mouse secondary) at 1/1000 dilution.

-ve control 2 : ab7291 (anti-Tubulin mouse mAb) at 1/1000 dilution followed by ab150077 (Alexa Fluor®488 Goat Anti-Rabbit IgG H&L) at 1/1000 dilution.

This data was developed using the same antibody clone in a different buffer formulation containing PBS, BSA, glycerol, and sodium azide (ab207299).

Immunohistochemistry (Formalin/PFA-fixed paraffin-embedded sections) - Anti-MMP7 antibody [EPR17888-71] - BSA and Azide free (AB271977)
  • IHC-P

AbReview80996****

Immunohistochemistry (Formalin/PFA-fixed paraffin-embedded sections) - Anti-MMP7 antibody [EPR17888-71] - BSA and Azide free (AB271977)

Immunohistochemistry (Formalin/PFA-fixed paraffin-embedded sections) analysis of paraformaldehyde-fixed Tween, Triton-permeabilized human pancreatic ductal adenocarcinoma tissue staining with ab271977 at 10µg/ml dilution. Samples were incubated with the primary antibody for 16 hours at 4°C. Blocking was done using 5% serum for 1 hour at 25°C. Heat mediated antigen retrieval with Tris-EDTA pH 9. This antibody was stained and imaged for Multiplexed Ion Beam Imaging by Time Of Flight (MIBI-TOF). Staining was performed as described with metal conjugate of this antibody : 161Dy Images were acquired using MIBIscope (Ionpath, Inc.). In the picture : anti MMP7 [EPR17888-71]- in green. Anti pan-cytokeratin [AE1/AE3 ]- magenta, dsDNA [35I9 DNA ]- blue

This image is courtesy of an anonymous Abreview.

Western blot - Anti-MMP7 antibody [EPR17888-71] - BSA and Azide free (AB271977)
  • WB

Collaborator

Western blot - Anti-MMP7 antibody [EPR17888-71] - BSA and Azide free (AB271977)

This data was developed using ab207299, the same antibody clone in a different buffer formulation.

ab207299 was shown to react with MMP7 in wild-type A549 cells in Western blot with loss of signal observed in a MMP7 knockout cell line. Wild-type A549 and MMP7 knockout cell lysates were subjected to SDS-PAGE. Membranes were blocked in 5% milk in TBST for 1 hr before incubation with ab207299 overnight at 4 °C at a 1/1000 dilution. Blots were incubated with secondary antibodies at 0.2 µg/mL before imaging.

This data was provided by YCharOS Inc., an open science company with the mission of characterizing commercially available antibody reagents for all human proteins. Abcam and YCharOS are working together to help address the reproducibility crisis by enabling the life science community to better evaluate commercially available antibodies.

All lanes:

Western blot - Anti-MMP7 antibody [EPR17888-71] (<a href='/en-us/products/primary-antibodies/mmp7-antibody-epr17888-71-ab207299'>ab207299</a>) at 1/1000 dilution

Lane 1:

Wild-type A549 lysate at 30 µg

Lane 2:

MMP7 knock-out A549 lysate at 30 µg

false

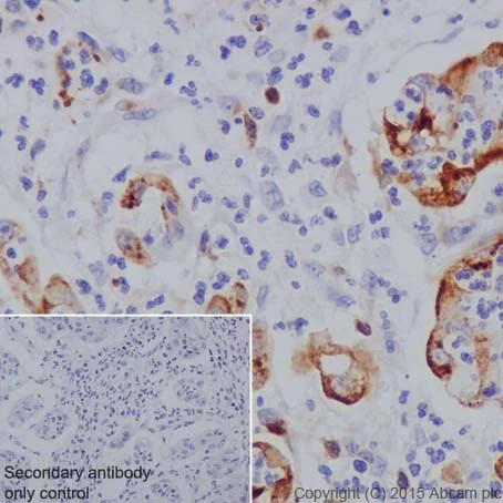
Immunohistochemistry (Formalin/PFA-fixed paraffin-embedded sections) - Anti-MMP7 antibody [EPR17888-71] - BSA and Azide free (AB271977)
  • IHC-P

Supplier Data

Immunohistochemistry (Formalin/PFA-fixed paraffin-embedded sections) - Anti-MMP7 antibody [EPR17888-71] - BSA and Azide free (AB271977)

Immunohistochemical analysis of paraffin-embedded Human endometrial cancer tissue labeling MMP7 with ab207299 at 1/4000 dilution, followed by Goat Anti-Rabbit IgG H&L (HRP) (ab97051) at 1/500 dilution.

Cytoplasm staining on Human endometrial cancer is observed.

Counter stained with Hematoxylin.

Secondary antibody only control : Used PBS instead of primary antibody, secondary antibody is Goat Anti-Rabbit IgG H&L (HRP) (ab97051) at 1/500 dilution.

Perform heat mediated antigen retrieval with Tris/EDTA buffer pH 9.0 before commencing with IHC staining protocol.

This data was developed using the same antibody clone in a different buffer formulation containing PBS, BSA, glycerol, and sodium azide (ab207299).

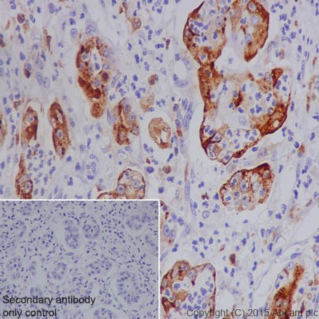
Immunohistochemistry (Formalin/PFA-fixed paraffin-embedded sections) - Anti-MMP7 antibody [EPR17888-71] - BSA and Azide free (AB271977)
  • IHC-P

Supplier Data

Immunohistochemistry (Formalin/PFA-fixed paraffin-embedded sections) - Anti-MMP7 antibody [EPR17888-71] - BSA and Azide free (AB271977)

Immunohistochemical analysis of paraffin-embedded Human breast cancer tissue labeling MMP7 with ab207299 at 1/4000 dilution, followed by Goat Anti-Rabbit IgG H&L (HRP) (ab97051) at 1/500 dilution.

Cytoplasm staining on cancer cells of breast cancer is observed.

Counter stained with Hematoxylin.

Secondary antibody only control : Used PBS instead of primary antibody, secondary antibody is Goat Anti-Rabbit IgG H&L (HRP) (ab97051) at 1/500 dilution.

Perform heat mediated antigen retrieval with Tris/EDTA buffer pH 9.0 before commencing with IHC staining protocol.

This data was developed using the same antibody clone in a different buffer formulation containing PBS, BSA, glycerol, and sodium azide (ab207299).

Key facts

Host species

Rabbit

Clonality

Monoclonal

Clone number

EPR17888-71

Isotype

IgG

Carrier free

Yes

Reacts with

Human

Applications

IHC-P, ICC/IF, WB

applications

Immunogen

The exact immunogen used to generate this antibody is proprietary information.

Reactivity data

{ "title": "Reactivity Data", "filters": { "stats": ["", "Species", "Dilution Info", "Notes"], "tabs": { "all-applications": {"fullname" : "All Applications", "shortname": "All Applications"}, "WB" : {"fullname" : "Western blot", "shortname":"WB"}, "IHCP" : {"fullname" : "Immunohistochemistry (Formalin/PFA-fixed paraffin-embedded sections)", "shortname":"IHC-P"}, "ICCIF" : {"fullname" : "Immunocytochemistry/ Immunofluorescence", "shortname":"ICC/IF"} }, "product-promise": { "all": "all", "testedAndGuaranteed": "tested", "guaranteed": "expected", "predicted": "predicted", "notRecommended": "not-recommended" } }, "values": { "Human": { "WB-species-checked": "guaranteed", "WB-species-dilution-info": "", "WB-species-notes": "<p></p>", "IHCP-species-checked": "testedAndGuaranteed", "IHCP-species-dilution-info": "", "IHCP-species-notes": "<p></p>", "ICCIF-species-checked": "testedAndGuaranteed", "ICCIF-species-dilution-info": "", "ICCIF-species-notes": "<p></p>" } } }

Product details

ab271977 is the carrier-free version of ab207299.

Patented technology
Our RabMAb® technology is a patented hybridoma-based technology for making rabbit monoclonal antibodies. For details on our patents, please refer to RabMAb® patents.

What are the advantages of a recombinant monoclonal antibody?
This product is a recombinant monoclonal antibody, which offers several advantages including:

  • - High batch-to-batch consistency and reproducibility
  • - Improved sensitivity and specificity
  • - Long-term security of supply
  • - Animal-free batch production

For more information, read more on recombinant antibodies.

Conjugation ready
Our carrier-free antibodies are typically supplied in a PBS-only formulation, purified and free of BSA, sodium azide and glycerol. This conjugation-ready format is designed for use with fluorochromes, metal isotopes, oligonucleotides, and enzymes, which makes them ideal for antibody labelling, functional and cell-based assays, flow-based assays (e.g. mass cytometry) and Multiplex Imaging applications.

Use our conjugation kits for antibody conjugates that are ready-to-use in as little as 20 minutes with 1 minute hands-on-time and 100% antibody recovery: available for fluorescent dyes, HRP, biotin and gold.

Compatibility
This product is compatible with the Maxpar® Antibody Labeling Kit from Fluidigm, without the need for antibody preparation. Maxpar® is a trademark of Fluidigm Canada Inc.

Properties and storage information

Form
Liquid
Purification technique
Affinity purification Protein A
Storage buffer
pH: 7.2 - 7.4 Constituents: PBS
Shipped at conditions
Blue Ice
Appropriate short-term storage conditions
+4°C
Appropriate long-term storage conditions
+4°C
Storage information
Do Not Freeze

Supplementary information

This supplementary information is collated from multiple sources and compiled automatically.

MMP7 also known as matrilysin is a member of the matrix metalloproteinase family and has a molecular weight of approximately 28 kDa. Mechanically MMP7 participates in the breakdown of extracellular matrix components such as elastin casein and various collagens. It is important in tissue remodeling processes. MMP7 is expressed in multiple tissues including the glandular epithelia of the breast prostate and lung.
Biological function summary

MMP7 participates in wound healing embryonic development and tissue invasion processes. It does not typically form large complexes but can interact with other ECM components and inhibitors like TIMPs (tissue inhibitors of metalloproteinases). MMP7 has specific roles in regulating cellular environments by modifying the ECM and influencing the bioavailability of growth factors.

Pathways

MMP7 plays significant roles in pathways like the Wnt and MAPK signaling pathways. In the Wnt pathway MMP7 modulates the availability of bound matrix proteins influencing signaling dynamics. It interacts with proteins such as B-catenin and influences downstream gene expression. In the context of MAPK pathways MMP7 activity can lead to signal transduction changes that impact cell proliferation and migration.

MMP7 has associations with cancer progression and fibrosis. In colorectal cancer for example MMP7 expression levels correlate with tumor invasion and metastasis. It interacts with proteins like E-cadherin which affects cell adhesion properties and promotes disease advancement. In pulmonary fibrosis excessive MMP7 activity contributes to matrix degradation and aberrant tissue repair highlighting its relevance in pathological conditions.

Product protocols

For this product, it's our understanding that no specific protocols are required. You can visit:

Target data

Degrades casein, gelatins of types I, III, IV, and V, and fibronectin. Activates procollagenase.
See full target information MMP7

Publications (2)

Recent publications for all applications. Explore the full list and refine your search

Nature microbiology 6:932-945 PubMed33986530

2021

IFI16 directly senses viral RNA and enhances RIG-I transcription and activation to restrict influenza virus infection.

Applications

Unspecified application

Species

Unspecified reactive species

Zhimin Jiang,Fanhua Wei,Yuying Zhang,Tong Wang,Weihua Gao,Shufang Yu,Honglei Sun,Juan Pu,Yipeng Sun,Mingyang Wang,Qi Tong,Chengjiang Gao,Kin-Chow Chang,Jinhua Liu

Cancer cell international 20:543 PubMed33292271

2020

LncRNA LEF1-AS1 promotes metastasis of prostatic carcinoma via the Wnt/β-catenin pathway.

Applications

Unspecified application

Species

Unspecified reactive species

Weiyuan Li,Ganggang Yang,Dengke Yang,Dong Li,Qian Sun
View all publications

Product promise

We are committed to supporting your work with high-quality reagents, and we're here for you every step of the way. In the unlikely event that one of our products does not perform as expected, you're protected by our Product Promise.
For full details, please see our Terms & Conditions

Please note: All products are 'FOR RESEARCH USE ONLY. NOT FOR USE IN DIAGNOSTIC OR THERAPEUTIC PROCEDURES'.

For licensing inquiries, please contact partnerships@abcam.com