JavaScript is disabled in your browser. Please enable JavaScript to view this website.
AB74277

Anti-MMP9 antibody

Be the first to review this product! Submit a review

|

(4 Publications)

Rabbit Polyclonal MMP9 antibody. Suitable for IHC-P and reacts with Human samples. Cited in 4 publications.

View Alternative Names

CLG4B, MMP9, Matrix metalloproteinase-9, MMP-9, 92 kDa gelatinase, 92 kDa type IV collagenase, Gelatinase B, GELB

1 Images
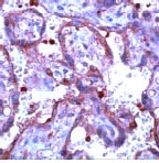
Immunohistochemistry (Formalin/PFA-fixed paraffin-embedded sections) - Anti-MMP9 antibody (AB74277)
  • IHC-P

Unknown

Immunohistochemistry (Formalin/PFA-fixed paraffin-embedded sections) - Anti-MMP9 antibody (AB74277)

ab74277, at 1/100 dilution, staining MMP9 in formalin-fixed, paraffin-embedded human placenta tissue by immunohistochemistry.

Key facts

Host species

Rabbit

Clonality

Polyclonal

Isotype

IgG

Carrier free

No

Reacts with

Human

Applications

IHC-P

applications

Immunogen

The exact immunogen used to generate this antibody is proprietary information.

Reactivity data

{ "title": "Reactivity Data", "filters": { "stats": ["", "Species", "Dilution Info", "Notes"], "tabs": { "all-applications": {"fullname" : "All Applications", "shortname": "All Applications"}, "IHCP" : {"fullname" : "Immunohistochemistry (Formalin/PFA-fixed paraffin-embedded sections)", "shortname":"IHC-P"} }, "product-promise": { "all": "all", "testedAndGuaranteed": "tested", "guaranteed": "expected", "predicted": "predicted", "notRecommended": "not-recommended" } }, "values": { "Human": { "IHCP-species-checked": "testedAndGuaranteed", "IHCP-species-dilution-info": "1/100", "IHCP-species-notes": "<p></p> Perform heat-mediated antigen retrieval before commencing with IHC staining protocol." }, "Mouse": { "IHCP-species-checked": "notRecommended", "IHCP-species-dilution-info": "", "IHCP-species-notes": "<p></p>" }, "Rat": { "IHCP-species-checked": "notRecommended", "IHCP-species-dilution-info": "", "IHCP-species-notes": "<p></p>" }, "Cow": { "IHCP-species-checked": "notRecommended", "IHCP-species-dilution-info": "", "IHCP-species-notes": "<p></p>" }, "Guinea pig": { "IHCP-species-checked": "notRecommended", "IHCP-species-dilution-info": "", "IHCP-species-notes": "" } } }

Properties and storage information

Form
Liquid
Purification technique
Affinity purification Immunogen
Storage buffer
pH: 7.6 Preservative: 0.1% Sodium azide Constituents: PBS, 1% BSA
Shipped at conditions
Blue Ice
Appropriate long-term storage conditions
-20°C
Aliquoting information
Upon delivery aliquot
Storage information
Avoid freeze / thaw cycle

Supplementary information

This supplementary information is collated from multiple sources and compiled automatically.

The MMP-9 protein also known as matrix metalloproteinase-9 or gelatinase B functions as an enzyme involved in the breakdown of extracellular matrix proteins. It consists of a zinc ion at its active site and facilitates the degradation of type IV and V collagens fibronectin and elastin. MMP-9 has a molecular weight of approximately 92 kDa and is expressed in a variety of tissues including the liver lungs and immune cells. This enzyme can exist in monomer and dimer forms with its activity regulated by tissue inhibitors of metalloproteinases (TIMPs).
Biological function summary

Matrix metalloproteinase-9 profoundly influences tissue remodeling inflammation and angiogenesis. It does not form part of a larger protein complex but interacts closely with substrates in the extracellular matrix. MMP-9 plays important roles in processes such as embryogenesis reproduction and wound healing through the remodeling of surrounding tissues. The MMP-9 protein is often measured using assays like ELISA or analyzed via techniques such as Western blotting to determine its expression levels and activity in different biological contexts.

Pathways

MMP-9 participates in the matrix metalloproteinase pathway and the NF-kB signaling pathway. These pathways are essential in orchestrating processes such as tissue remodeling and inflammatory responses. MMP-9 acts alongside other matrix metalloproteinases including MMP-2 and is regulated by factors like cytokines growth factors and hormones ensuring the precision of extracellular matrix degradation during physiological processes.

Matrix metalloproteinase-9 has associations with cancer invasion and metastasis as well as chronic inflammatory diseases like rheumatoid arthritis. In cancer upregulated MMP-9 expression aids tumor cells in breaching the basement membrane facilitating metastasis. The disorder-associated pathways often involve interactions with proteins like vascular endothelial growth factor (VEGF) and transforming growth factor-beta (TGF-beta). Understanding MMP-9's role in these conditions can contribute to developing targeted therapies that inhibit its activity potentially mitigating disease progression.

Product protocols

For this product, it's our understanding that no specific protocols are required. You can visit:

Target data

The protein expressed by gene MMP9 is a matrix metalloproteinase that plays an essential role in the local proteolysis of the extracellular matrix and in leukocyte migration. It cleaves KiSS1 at a Gly-|-Leu bond and processes NINJ1 to generate the Secreted ninjurin-1 form. Additionally, MMP9 cleaves type IV and type V collagen into large C-terminal three-quarter fragments and shorter N-terminal one-quarter fragments. It degrades fibronectin but not laminin or Pz-peptide. This supplementary information is collated from multiple sources and compiled automatically.
See full target information MMP9

Publications (4)

Recent publications for all applications. Explore the full list and refine your search

Animals : an open access journal from MDPI 15: PubMed40003024

2025

Differential Remodelling of Endometrial Extracellular Matrix in the Non-Pregnant Uterus of as a Potential Mechanism Underlying Embryonic Death.

Applications

Unspecified application

Species

Unspecified reactive species

Francisco Acuña,Gisela Soledad Gualdoni,Francisco Rivollier,Camila Barril,Enrique Leo Portiansky,Claudio Gustavo Barbeito,Elisa Cebral

Caries research 58:562-572 PubMed38815561

2024

Correlation between Matrix Metalloproteinase Presence and Caries Surface Appearance.

Applications

Unspecified application

Species

Unspecified reactive species

Lamis El Sharkasi,Lynne Bingle,Nicolas Martin,Samiya Subka,Chris Deery

Iranian journal of veterinary research 25:202-209 PubMed39925836

2024

Influence of topical NPH-insulin use on wound healing and oxidative stress in alkali corneal burns: an experimental study in a rabbit model.

Applications

Unspecified application

Species

Unspecified reactive species

B Kurt,L Balyen,O Atakişi,S Yiğit,U Aydin,I Özaydin

Scientific reports 13:18546 PubMed37899376

2023

Tumor-suppressive microRNA-152 inhibits the proliferation of Ewing's sarcoma cells by targeting CDK5R1.

Applications

Unspecified application

Species

Unspecified reactive species

Masanori Kawano,Kazuhiro Tanaka,Ichiro Itonaga,Tatsuya Iwasaki,Yuta Kubota,Hiroshi Tsumura
View all publications

Product promise

We are committed to supporting your work with high-quality reagents, and we're here for you every step of the way. In the unlikely event that one of our products does not perform as expected, you're protected by our Product Promise.
For full details, please see our Terms & Conditions

Please note: All products are 'FOR RESEARCH USE ONLY. NOT FOR USE IN DIAGNOSTIC OR THERAPEUTIC PROCEDURES'.

For licensing inquiries, please contact partnerships@abcam.com