JavaScript is disabled in your browser. Please enable JavaScript to view this website.
AB137867

Anti-MMP9 antibody [EP1255Y]

4

(6 Reviews)

|

(129 Publications)

Rabbit Recombinant Monoclonal MMP9 antibody. Suitable for IHC-P, WB and reacts with Human samples. Cited in 129 publications.

View Alternative Names

CLG4B, MMP9, Matrix metalloproteinase-9, MMP-9, 92 kDa gelatinase, 92 kDa type IV collagenase, Gelatinase B, GELB

6 Images
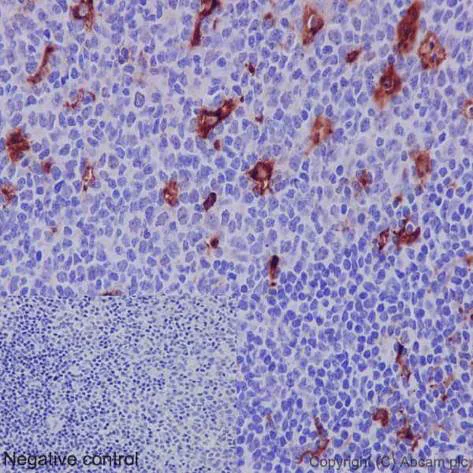
Immunohistochemistry (Formalin/PFA-fixed paraffin-embedded sections) - Anti-MMP9 antibody [EP1255Y] (AB137867)
  • IHC-P

Unknown

Immunohistochemistry (Formalin/PFA-fixed paraffin-embedded sections) - Anti-MMP9 antibody [EP1255Y] (AB137867)

Immunohistochemistry (Formalin/PFA-fixed paraffin-embedded sections) analysis of human lymphoma tissue labelling MMP9 with unpurified ab137867 at 1/100.

Perform heat mediated antigen retrieval with citrate buffer pH 6 before commencing with IHC staining protocol.

Immunohistochemistry (Formalin/PFA-fixed paraffin-embedded sections) - Anti-MMP9 antibody [EP1255Y] (AB137867)
  • IHC-P

Lab

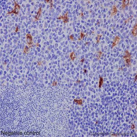
Immunohistochemistry (Formalin/PFA-fixed paraffin-embedded sections) - Anti-MMP9 antibody [EP1255Y] (AB137867)

Immunohistochemistry (Formalin/PFA-fixed paraffin-embedded sections) analysis of human tonsil tissue labelling MMP9 with unpurified ab137867 at 1/800. Heat mediated antigen retrieval was performed using Tris/EDTA buffer pH 9. A prediluted HRP-polymer conjugated anti-rabbit IgG was used as the secondary antibody. Negative control using PBS instead of primary antibody. Counterstained with hematoxylin.

Immunohistochemistry (Formalin/PFA-fixed paraffin-embedded sections) - Anti-MMP9 antibody [EP1255Y] (AB137867)
  • IHC-P

Lab

Immunohistochemistry (Formalin/PFA-fixed paraffin-embedded sections) - Anti-MMP9 antibody [EP1255Y] (AB137867)

Immunohistochemistry (Formalin/PFA-fixed paraffin-embedded sections) analysis of human tonsil tissue labelling MMP9 with purified ab137867 at 1/1000. Heat mediated antigen retrieval was performed using Tris/EDTA buffer pH 9. A prediluted HRP-polymer conjugated anti-rabbit IgG was used as the secondary antibody. Negative control using PBS instead of primary antibody. Counterstained with hematoxylin.

Western blot - Anti-MMP9 antibody [EP1255Y] (AB137867)
  • WB

Lab

Western blot - Anti-MMP9 antibody [EP1255Y] (AB137867)

Blocking buffer and concentration 5% NFDM/TBST
Diluting buffer and concentration 5% NFDM/TBST

The expression of MMP-9 can be stimulated by various agents, such as inflammatory cytokine, growth factor, and 12-O-tetradecanoylphorbol-13-acetate (TPA) (PMID : 21047770, 28969043).

Treatment increasing the expression of MMP-9 is recommended when using this antibody.

All lanes:

Western blot - Anti-MMP9 antibody [EP1255Y] (ab137867) at 1/1000 dilution

Lane 1:

LoVo (Human colorectal adenocarcinoma epithelial cell) whole cell lysate at 20 µg

Lane 2:

Huh7 (Human hepatocellular carcinoma epithelial cell) whole cell lysate at 20 µg

Lane 3:

MCF7 (Human breast adenocarcinoma epithelial cell) whole cell lysate at 20 µg

Lane 4:

HeLa (Human cervix adenocarcinoma epithelial cell) whole cell lysate at 20 µg

Lane 5:

Caco-2 (Human colorectal adenocarcinoma epithelial cell) whole cell lysate at 20 µg

Lane 6:

A549 (Human lung carcinoma epithelial cell) serum starved overnight whole cell lysate at 20 µg

Lane 7:

A549 (Human lung carcinoma epithelial cell) serum starved overnight, then treated with 80nM TPA for 24 hours whole cell lysate at 20 µg

Lane 8:

MDA-MB-231 (Human breast adenocarcinoma epithelial cell) serum starved overnight whole cell lysate at 20 µg

Lane 9:

MDA-MB-231 (Human breast adenocarcinoma epithelial cell) serum starved overnight, then treated with 200nM TPA for 24 hours whole cell lysate at 20 µg

Lane 10:

HepG2 (Human hepatocellular carcinoma epithelial cell) whole cell lysate at 20 µg

Secondary

All lanes:

Western blot - Goat Anti-Rabbit IgG H&L (HRP) (<a href='/en-us/products/secondary-antibodies/goat-rabbit-igg-h-l-hrp-ab97051'>ab97051</a>) at 1/20000 dilution

Predicted band size: 78 kDa

Observed band size: 84 kDa

false

Exposure time: 180s

Western blot - Anti-MMP9 antibody [EP1255Y] (AB137867)
  • WB

Lab

Western blot - Anti-MMP9 antibody [EP1255Y] (AB137867)

Blocking buffer and concentration : 5% NFDM/TBST.

Diluting buffer and concentration : 5% NFDM /TBST.

All lanes:

Western blot - Anti-MMP9 antibody [EP1255Y] (ab137867) at 1/1000 dilution

All lanes:

U937 cell lysate at 10 µg

Secondary

All lanes:

Peroxidase conjugated goat anti-rabbit IgG (H+L) at 1/1000 dilution

Predicted band size: 15 kDa,78 kDa

Observed band size: 78 kDa

false

Western blot - Anti-MMP9 antibody [EP1255Y] (AB137867)
  • WB

Lab

Western blot - Anti-MMP9 antibody [EP1255Y] (AB137867)

Western blot : Rabbit Monoclonal[EP1255Y] to MMP9 ab137867 staining at 1/1000 dilution, shown in green; Mouse anti GAPDH (ab8245) loading control staining at 1/20,000 dilution, shown in magenta. A band was observed at 78 kDa in Wild-type A549 TPA-treated (80nM, 24h) cell lysates with no signal observed at this size in Wild-type A549 Vehicle Control TPA (0nM, 24h) cell line. To generate this image, samples were run on an SDS-PAGE gel then transferred onto a nitrocellulose membrane. Membranes were blocked in 3pc Milk in TBS-0.1 % Tween® 20 (TBS-T) before incubation with primary antibodies overnight at 4°C. Blots were washed four times in TBS-T, incubated with secondary antibodies for 1 h at room temperature, washed again four times then imaged. Secondary antibodies used were Goat anti-Rabbit 800CW & Goat anti-Mouse 680RD at 1/20,000 dilution.

All lanes:

Western blot - Anti-MMP9 antibody [EP1255Y] (ab137867) at 1/1000 dilution

Lane 1:

Wild-type A549 TPA-treated (80nM, 24h) at 20 µg

Lane 2:

Wild-type A549 Vehicle Control TPA (0nM, 24h) at 20 µg

Lanes 3 - 4:

Western blot - Human MMP9 knockout A549 cell line (ab286527) at 20 µg

Lane 5:

Human Lung at 20 µg

Lane 6:

MOLT-4 at 20 µg

Secondary

All lanes:

Goat anti-Rabbit 800CW & Goat anti-Mouse 680RD at 1/20000 dilution

Predicted band size: 78 kDa

Observed band size: 78 kDa

false

  • HRP

    HRP Anti-MMP9 antibody [EP1255Y]

  • 519 Alexa Fluor® 488

    Alexa Fluor® 488 Anti-MMP9 antibody [EP1255Y]

  • Carrier free

    Anti-MMP9 antibody [EP1255Y] - BSA and Azide free

  • Carrier free

    Anti-MMP9 antibody [EP1255Y] - Low endotoxin, Azide free

Key facts

Host species

Rabbit

Clonality

Monoclonal

Clone number

EP1255Y

Isotype

IgG

Carrier free

No

Reacts with

Human

Applications

WB, IHC-P

applications

Immunogen

The exact immunogen used to generate this antibody is proprietary information.

Reactivity data

{ "title": "Reactivity Data", "filters": { "stats": ["", "Species", "Dilution Info", "Notes"], "tabs": { "all-applications": {"fullname" : "All Applications", "shortname": "All Applications"}, "IHCP" : {"fullname" : "Immunohistochemistry (Formalin/PFA-fixed paraffin-embedded sections)", "shortname":"IHC-P"}, "IP" : {"fullname" : "Immunoprecipitation", "shortname":"IP"}, "FlowCyt" : {"fullname" : "Flow Cytometry", "shortname":"Flow Cyt"}, "WB" : {"fullname" : "Western blot", "shortname":"WB"}, "ICCIF" : {"fullname" : "Immunocytochemistry/ Immunofluorescence", "shortname":"ICC/IF"} }, "product-promise": { "all": "all", "testedAndGuaranteed": "tested", "guaranteed": "expected", "predicted": "predicted", "notRecommended": "not-recommended" } }, "values": { "Human": { "IHCP-species-checked": "testedAndGuaranteed", "IHCP-species-dilution-info": "1/1000", "IHCP-species-notes": "<p><strong>For unpurified use at 1/800.</strong></p> Perform heat-mediated antigen retrieval with citrate buffer pH 6 before commencing with IHC staining protocol.", "IP-species-checked": "notRecommended", "IP-species-dilution-info": "", "IP-species-notes": "<p></p>", "FlowCyt-species-checked": "notRecommended", "FlowCyt-species-dilution-info": "", "FlowCyt-species-notes": "<p><a href='/en-us/products/primary-antibodies/rabbit-igg-monoclonal-epr25a-isotype-control-ab172730'>ab172730</a> - Rabbit monoclonal IgG, is suitable for use as an isotype control with this antibody.</p>", "WB-species-checked": "testedAndGuaranteed", "WB-species-dilution-info": "1/1000", "WB-species-notes": "<p></p>", "ICCIF-species-checked": "notRecommended", "ICCIF-species-dilution-info": "", "ICCIF-species-notes": "<p></p>" } } }

Product details

Species reactivity
Mouse, Rat: We have preliminary internal testing data to indicate this antibody may not react with these species.
Please contact us for more information.

Patented technology
Our RabMAb® technology is a patented hybridoma-based technology for making rabbit monoclonal antibodies. For details on our patents, please refer to RabMAb® patents.

What are the advantages of a recombinant monoclonal antibody?
This product is a recombinant monoclonal antibody, which offers several advantages including:

  • - High batch-to-batch consistency and reproducibility
  • - Improved sensitivity and specificity
  • - Long-term security of supply
  • - Animal-free batch production

For more information, read more on recombinant antibodies.

Properties and storage information

Form
Liquid
Purification technique
Affinity purification Protein A
Storage buffer
Preservative: 0.01% Sodium azide Constituents: PBS, 40% Glycerol (glycerin, glycerine), 0.05% BSA
Shipped at conditions
Blue Ice
Appropriate short-term storage duration
1-2 weeks
Appropriate short-term storage conditions
+4°C
Appropriate long-term storage conditions
-20°C
Aliquoting information
Upon delivery aliquot
Storage information
Avoid freeze / thaw cycle

Supplementary information

This supplementary information is collated from multiple sources and compiled automatically.

The MMP-9 protein also known as matrix metalloproteinase-9 or gelatinase B functions as an enzyme involved in the breakdown of extracellular matrix proteins. It consists of a zinc ion at its active site and facilitates the degradation of type IV and V collagens fibronectin and elastin. MMP-9 has a molecular weight of approximately 92 kDa and is expressed in a variety of tissues including the liver lungs and immune cells. This enzyme can exist in monomer and dimer forms with its activity regulated by tissue inhibitors of metalloproteinases (TIMPs).
Biological function summary

Matrix metalloproteinase-9 profoundly influences tissue remodeling inflammation and angiogenesis. It does not form part of a larger protein complex but interacts closely with substrates in the extracellular matrix. MMP-9 plays important roles in processes such as embryogenesis reproduction and wound healing through the remodeling of surrounding tissues. The MMP-9 protein is often measured using assays like ELISA or analyzed via techniques such as Western blotting to determine its expression levels and activity in different biological contexts.

Pathways

MMP-9 participates in the matrix metalloproteinase pathway and the NF-kB signaling pathway. These pathways are essential in orchestrating processes such as tissue remodeling and inflammatory responses. MMP-9 acts alongside other matrix metalloproteinases including MMP-2 and is regulated by factors like cytokines growth factors and hormones ensuring the precision of extracellular matrix degradation during physiological processes.

Matrix metalloproteinase-9 has associations with cancer invasion and metastasis as well as chronic inflammatory diseases like rheumatoid arthritis. In cancer upregulated MMP-9 expression aids tumor cells in breaching the basement membrane facilitating metastasis. The disorder-associated pathways often involve interactions with proteins like vascular endothelial growth factor (VEGF) and transforming growth factor-beta (TGF-beta). Understanding MMP-9's role in these conditions can contribute to developing targeted therapies that inhibit its activity potentially mitigating disease progression.

Product protocols

For this product, it's our understanding that no specific protocols are required. You can visit:

Target data

Matrix metalloproteinase that plays an essential role in local proteolysis of the extracellular matrix and in leukocyte migration (PubMed : 12879005, PubMed : 1480034, PubMed : 2551898). Could play a role in bone osteoclastic resorption (By similarity). Cleaves KiSS1 at a Gly-|-Leu bond (PubMed : 12879005). Cleaves NINJ1 to generate the Secreted ninjurin-1 form (PubMed : 32883094). Cleaves type IV and type V collagen into large C-terminal three quarter fragments and shorter N-terminal one quarter fragments (PubMed : 1480034). Degrades fibronectin but not laminin or Pz-peptide.
See full target information MMP9

Publications (129)

Recent publications for all applications. Explore the full list and refine your search

Scientific reports 15:33763 PubMed41028834

2025

Icariin inhibits proliferation and migration of VSMCs via LncRNA H19 competitively binding to HuR.

Applications

Unspecified application

Species

Unspecified reactive species

Yibing Zhang,Peng Huang,Min Li,Zhimin Fan

Balkan medical journal 42:440-451 PubMed40888349

2025

Inhibition of PI3K and Hedgehog Signaling Pathway Inhibits Hypoxia-Induced Vasculogenic Mimicry Formation in Ovarian Cancer Stem Cells.

Applications

Unspecified application

Species

Unspecified reactive species

Jun Liang,Yun Bai,Huan Zhao

Cancer medicine 14:e71013 PubMed40583724

2025

MMRN1 Facilitates Renal Cell Carcinoma by Activating AMPK/MMPs Axis.

Applications

Unspecified application

Species

Unspecified reactive species

Mingji Ye,Jian Cao,Zhihao Ming,Yu Xie

CytoJournal 22:17 PubMed40134570

2025

Ankyrin repeat domain 1 is dysregulated in keloids and suppresses keloid fibroblast growth, migration, and extracellular matrix deposition.

Applications

Unspecified application

Species

Unspecified reactive species

Weiqi Wu,Yuan Si,Juan Yang,Liuyan Wen,Jingrong Li

Open life sciences 19:20220990 PubMed39759103

2025

MFAP5 inhibits the malignant progression of endometrial cancer cells .

Applications

Unspecified application

Species

Unspecified reactive species

Guanying Liang,Zijuan Qi,Chun Du

Discover oncology 15:677 PubMed39560824

2024

Flavokawain A suppresses the malignant progression of neuroblastoma in vitro depending on inactivation of ERK/VEGF/MMPs signaling pathway.

Applications

Unspecified application

Species

Unspecified reactive species

Mengyao Dong,Gaiqin Li,Geng Geng,Ming Ming,Yongtao Xu

Heliyon 10:e33255 PubMed39021998

2024

Role of ADP ribosylation factor guanylate kinase 1 in the malignant biological behavior of gastric cancer.

Applications

Unspecified application

Species

Unspecified reactive species

Qiong Luo,Suyun Zhang,Fan Yang,Rui Feng,Qian Xu,Xiangqi Chen,Sheng Yang

Cells 13: PubMed38995012

2024

The Use of Hexokinase 2-Displacing Peptides as an Anti-Neoplastic Approach for Malignant Peripheral Nerve Sheath Tumors.

Applications

Unspecified application

Species

Unspecified reactive species

Francesco Ciscato,Ionica Masgras,Alessandro Gori,Marco Fantuz,Greta Bergamaschi,Denis Komarov,Martina La Spina,Shiva Ghasemi-Firouzabadi,Marco Pizzi,Angelo Paolo Dei Tos,Federica Chiara,Alessandro Carrer,Andrea Rasola

CNS neuroscience & therapeutics 30:e14749 PubMed38739004

2024

TNF-α can promote membrane invasion by activating the MAPK/MMP9 signaling pathway through autocrine in bone-invasive pituitary adenoma.

Applications

Unspecified application

Species

Unspecified reactive species

Xinzhi Wu,Lei Gong,Bin Li,Jiwei Bai,Chuzhong Li,Yazhuo Zhang,Haibo Zhu

Anais brasileiros de dermatologia 99:362-369 PubMed38350760

2024

Clinicopathological and immunohistochemical characteristics of bullous pilomatricoma: a retrospective, single-center study, and comparison with ordinary pilomatricoma.

Applications

Unspecified application

Species

Unspecified reactive species

Kyung-Hwa Nam,Sang-Kyung Lee,Il-Jae Lee,Jin Park,Seok-Kweon Yun
View all publications

Product promise

We are committed to supporting your work with high-quality reagents, and we're here for you every step of the way. In the unlikely event that one of our products does not perform as expected, you're protected by our Product Promise.
For full details, please see our Terms & Conditions

Please note: All products are 'FOR RESEARCH USE ONLY. NOT FOR USE IN DIAGNOSTIC OR THERAPEUTIC PROCEDURES'.

For licensing inquiries, please contact partnerships@abcam.com