JavaScript is disabled in your browser. Please enable JavaScript to view this website.
AB283594

Anti-MMP9 antibody [RM1020] - BSA and Azide free

Be the first to review this product! Submit a review

|

(2 Publications)

Rabbit Recombinant Multiclonal MMP9 antibody. Carrier free. Suitable for ICC/IF, IP, WB, I-ELISA, IHC-Fr, Flow Cyt (Intra), IHC-P and reacts with Mouse, Human, Rat samples. Cited in 2 publications.

View Alternative Names

CLG4B, MMP9, Matrix metalloproteinase-9, MMP-9, 92 kDa gelatinase, 92 kDa type IV collagenase, Gelatinase B, GELB

15 Images
Immunohistochemistry (Formalin/PFA-fixed paraffin-embedded sections) - Anti-MMP9 antibody [RM1020] - BSA and Azide free (AB283594)
  • IHC-P

Supplier Data

Immunohistochemistry (Formalin/PFA-fixed paraffin-embedded sections) - Anti-MMP9 antibody [RM1020] - BSA and Azide free (AB283594)

This data was developed using ab283575, the same antibody clone in a different buffer formulation. Immunohistochemical analysis of paraffin-embedded human gastric carcinoma tissue labelling MMP9 with ab283575 at 1 : 5000 dilution (0.123 μg/ml), followed by a ready to use LeicaDS9800 (Bond™ Polymer Refine Detection). Positive staining on immune cells of human gastric carcinoma is observed. The section was incubated with ab283575 for 10 mins at room temperature. The immunostaining was performed on a Leica Biosystems BOND® RX instrument. Counter stained with hematoxylin. Secondary antibody only control : Used PBS instead of primary antibody, secondary antibody is LeicaDS9800 (Bond™ Polymer Refine Detection). Heat mediated antigen retrieval was performed with Tris-EDTA buffer (pH 9.0, Epitope Retrieval Solution2) for 20 mins.

Flow Cytometry (Intracellular) - Anti-MMP9 antibody [RM1020] - BSA and Azide free (AB283594)
  • Flow Cyt (Intra)

Supplier Data

Flow Cytometry (Intracellular) - Anti-MMP9 antibody [RM1020] - BSA and Azide free (AB283594)

This data was developed using ab283575, the same antibody clone in a different buffer formulation.

Flow cytometric analysis of 4% paraformaldehyde fixed 90% methanol permeabilized U-2 OS (Human bone osteosarcoma epithelial cell) treated with TPA (200nM 24h) (Red) / Untreated control (Green) cells labelling MMP9 with ab283575 at 1/500 dilution (0.1ug) compared with a Rabbit monoclonal IgG (ab172730) (Black) isotype control and an unlabelled control (cells without incubation with primary antibody and secondary antibody) (Blue). A Goat F(ab')2 Anti-Rabbit IgG(DyLight® 488, ab98507) at 1/500 dilution was used as the secondary antibody.

Immunohistochemistry (Formalin/PFA-fixed paraffin-embedded sections) - Anti-MMP9 antibody [RM1020] - BSA and Azide free (AB283594)
  • IHC-P

Supplier Data

Immunohistochemistry (Formalin/PFA-fixed paraffin-embedded sections) - Anti-MMP9 antibody [RM1020] - BSA and Azide free (AB283594)

This data was developed using ab283575, the same antibody clone in a different buffer formulation.

Immunohistochemical analysis of paraffin-embedded human gastric carcinoma tissue labelling MMP9 with ab283575 at 1 : 5000 dilution (0.123 μg/ml), followed by a ready to use LeicaDS9800 (Bond™ Polymer Refine Detection). Positive staining on immune cells of human gastric carcinoma is observed. The section was incubated with ab283575 for 10 mins at room temperature. The immunostaining was performed on a Leica Biosystems BOND® RX instrument. Counter stained with hematoxylin.

Secondary antibody only control : Used PBS instead of primary antibody, secondary antibody is LeicaDS9800 (Bond™ Polymer Refine Detection).

Heat mediated antigen retrieval was performed with Tris-EDTA buffer (pH 9.0, Epitope Retrieval Solution2) for 20 mins.

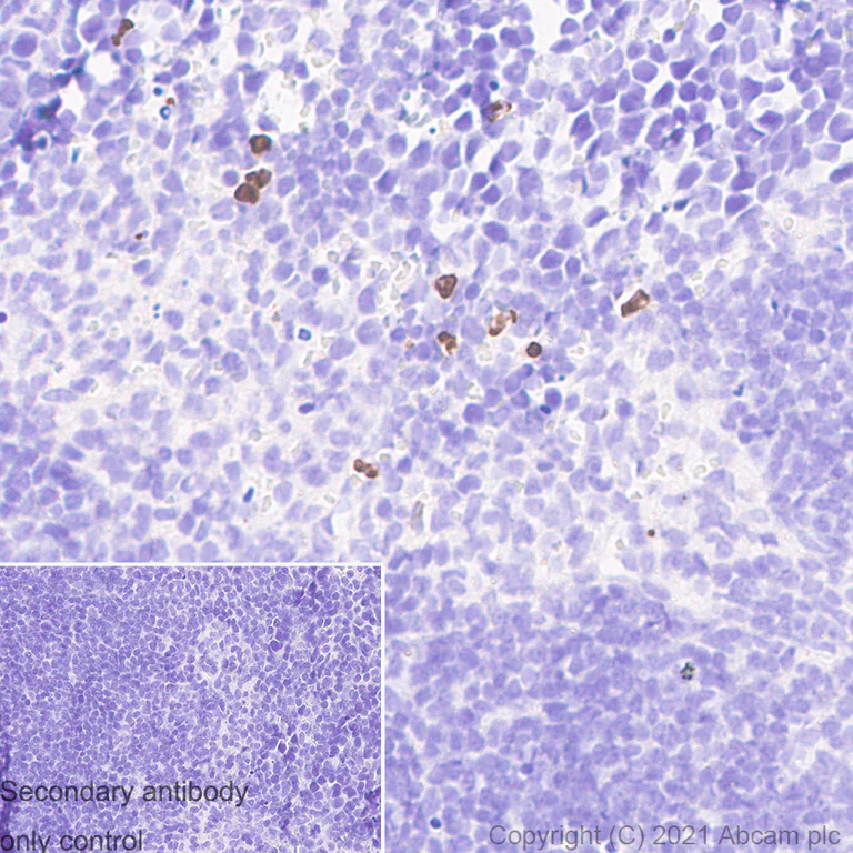
Immunohistochemistry (Formalin/PFA-fixed paraffin-embedded sections) - Anti-MMP9 antibody [RM1020] - BSA and Azide free (AB283594)
  • IHC-P

Supplier Data

Immunohistochemistry (Formalin/PFA-fixed paraffin-embedded sections) - Anti-MMP9 antibody [RM1020] - BSA and Azide free (AB283594)

This data was developed using ab283575, the same antibody clone in a different buffer formulation.

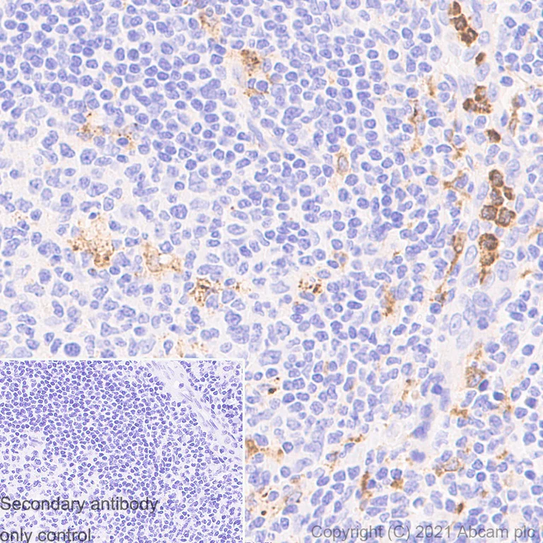
Immunohistochemical analysis of paraffin-embedded Human tonsil tissue labelling MMP9 with ab283575 at 1/5000 (0.123 ug/ml) followed by a ready to use LeicaDS9800 (Bond™ Polymer Refine Detection). Positive staining on the human tonsil. The section was incubated with ab283575 for 10 mins at room temperature. The immunostaining was performed on a Leica Biosystems BOND® RX instrument Counterstained with Hematoxylin.

Secondary antibody only control : Secondary antibody is a ready to use LeicaDS9800 (Bond™ Polymer Refine Detection).

Heat mediated antigen retrieval with Tris-EDTA buffer (pH 9.0, epitope retrieval solution2) for 20 mins

Immunocytochemistry/ Immunofluorescence - Anti-MMP9 antibody [RM1020] - BSA and Azide free (AB283594)
  • ICC/IF

Supplier Data

Immunocytochemistry/ Immunofluorescence - Anti-MMP9 antibody [RM1020] - BSA and Azide free (AB283594)

This data was developed using ab283575, the same antibody clone in a different buffer formulation.

Immunofluorescent analysis of 4% Paraformaldehyde-fixed, 0.1% TritonX-100 permeabilized U-2 OS cells labelling MMP9 with ab283575 at 1/50 (12.26 ug/ml) dilution, followed by ab150081 Goat Anti-Rabbit IgG H&L (Alexa Fluor® 488) preadsorbed antibody at 1/1000 (2 ug/ml) dilution (Green). ab195889 Anti-alpha Tubulin mouse monoclonal antibody - Microtubule Marker (Alexa Fluor® 594) was used to counterstain tubulin at 1/200 (2.5 ug/ml) dilution (Red). The Nuclear counterstain was DAPI (Blue).

Confocal image showing increased cytoplasmic staining in U-2 OS cells treated with 12-O-Tetradecanoylphorbol-13-acetate (200nM) for 24hours.

Secondary antibody only control : Secondary antibody is ab150081 Goat Anti-Rabbit IgG H&L (Alexa Fluor® 488) preadsorbed at 1/1000 (2 ug/ml) dilution.

Immunocytochemistry/ Immunofluorescence - Anti-MMP9 antibody [RM1020] - BSA and Azide free (AB283594)
  • ICC/IF

Supplier Data

Immunocytochemistry/ Immunofluorescence - Anti-MMP9 antibody [RM1020] - BSA and Azide free (AB283594)

This data was developed using ab283575, the same antibody clone in a different buffer formulation.

Immunofluorescent analysis of 4% Paraformaldehyde-fixed, 0.1% TritonX-100 permeabilized RAW 264.7 cells labelling MMP9 with ab283575 at 1/50 (12.26 ug/ml) dilution, followed by ab150081 Goat Anti-Rabbit IgG H&L (Alexa Fluor® 488) preadsorbed antibody at 1/1000 (2 ug/ml) dilution (Green). ab195889 Anti-alpha Tubulin mouse monoclonal antibody - Microtubule Marker (Alexa Fluor® 594) was used to counterstain tubulin at 1/200 (2.5 ug/ml) dilution (Red). The Nuclear counterstain was DAPI (Blue).

Confocal image showing increased cytoplasmic staining in RAW 264.7 cells treated with lipopolysaccharide (100 ng/ml) for 4 hours then together with Brefeldin A (1 ug/ml) for 3 hours.

Secondary antibody only control : Secondary antibody is ab150081 Goat Anti-Rabbit IgG H&L (Alexa Fluor® 488) preadsorbed at 1/1000 (2ug/ml) dilution.

Flow Cytometry (Intracellular) - Anti-MMP9 antibody [RM1020] - BSA and Azide free (AB283594)
  • Flow Cyt (Intra)

Supplier Data

Flow Cytometry (Intracellular) - Anti-MMP9 antibody [RM1020] - BSA and Azide free (AB283594)

This data was developed using ab283575, the same antibody clone in a different buffer formulation.

Flow cytometric analysis of 4% paraformaldehyde fixed 90% methanol permeabilized RAW 264.7 (Mouse Abelson murine leukemia virus-induced tumor macrophage) treated with 100ng/ml LPS for 4h then together with 1ug/ml BFA for another 3h (Right) / Untreated control (Left) cells labelling MMP9 with ab283575 at 1/500 dilution (0.1ug). A Goat F(ab')2 Anti-Rabbit IgG(DyLight® 488, ab98507) at 1/500 dilution was used as the secondary antibody.

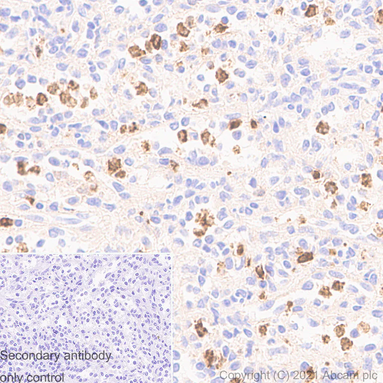
Immunohistochemistry (Formalin/PFA-fixed paraffin-embedded sections) - Anti-MMP9 antibody [RM1020] - BSA and Azide free (AB283594)
  • IHC-P

Supplier Data

Immunohistochemistry (Formalin/PFA-fixed paraffin-embedded sections) - Anti-MMP9 antibody [RM1020] - BSA and Azide free (AB283594)

This data was developed using ab283575, the same antibody clone in a different buffer formulation.

Immunohistochemical analysis of paraffin-embedded Rat spleen tissue labelling MMP9 with ab283575 at 1/5000 (0.123 ug/ml) followed by a ready to use LeicaDS9800 (Bond™ Polymer Refine Detection). Positive staining on the rat spleen. The section was incubated with ab283575 for 10 mins at room temperature. The immunostaining was performed on a Leica Biosystems BOND® RX instrument Counterstained with Hematoxylin.

Secondary antibody only control : Secondary antibody is a ready to use LeicaDS9800 (Bond™ Polymer Refine Detection).

Heat mediated antigen retrieval with Tris-EDTA buffer (pH 9.0, epitope retrieval solution2) for 20 mins

Immunohistochemistry (Frozen sections) - Anti-MMP9 antibody [RM1020] - BSA and Azide free (AB283594)
  • IHC-Fr

Supplier Data

Immunohistochemistry (Frozen sections) - Anti-MMP9 antibody [RM1020] - BSA and Azide free (AB283594)

This data was developed using ab283575, the same antibody clone in a different buffer formulation.

Immunohistochemical analysis of 4% PFA-fixed, 0.2% Triton X-100 permeabilized frozen Mouse lung (fresh) tissue labeling MMP9 with ab283575 at 1/100 (6.13 ug/ml) dilution followed by ab150077 Goat Anti-Rabbit IgG H&L (Alexa Fluor® 488) at 1/1000 (2 ug/ml) dilution (Green). The nuclear counterstain was DAPI (Blue).

Positive staining on macrophages of mouse lung is observed.

Secondary antibody control : Secondary antibody is ab150077 Goat Anti-Rabbit IgG H&L (Alexa Fluor® 488) at 1/1000 (2 ug/ml) dilution.

Immunohistochemistry (Frozen sections) - Anti-MMP9 antibody [RM1020] - BSA and Azide free (AB283594)
  • IHC-Fr

Supplier Data

Immunohistochemistry (Frozen sections) - Anti-MMP9 antibody [RM1020] - BSA and Azide free (AB283594)

This data was developed using ab283575, the same antibody clone in a different buffer formulation.

Immunohistochemical analysis of 4% PFA-fixed, 0.2% Triton X-100 permeabilized frozen Rat lung (fresh) tissue labeling MMP9 with ab283575 at 1/100 (6.13 ug/ml) dilution followed by ab150077 Goat Anti-Rabbit IgG H&L (Alexa Fluor® 488) at 1/1000 (2 ug/ml) dilution (Green). The nuclear counterstain was DAPI (Blue).

Positive staining on macrophages of rat lung is observed.

Secondary antibody control : Secondary antibody is ab150077 Goat Anti-Rabbit IgG H&L (Alexa Fluor® 488) at 1/1000 (2 ug/ml) dilution.

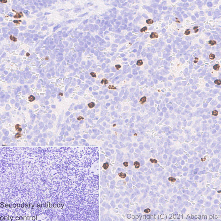
Immunohistochemistry (Formalin/PFA-fixed paraffin-embedded sections) - Anti-MMP9 antibody [RM1020] - BSA and Azide free (AB283594)
  • IHC-P

Supplier Data

Immunohistochemistry (Formalin/PFA-fixed paraffin-embedded sections) - Anti-MMP9 antibody [RM1020] - BSA and Azide free (AB283594)

This data was developed using ab283575, the same antibody clone in a different buffer formulation.

Immunohistochemical analysis of paraffin-embedded Mouse spleen tissue labelling MMP9 with ab283575 at 1/5000 (0.123 ug/ml) followed by a ready to use LeicaDS9800 (Bond™ Polymer Refine Detection). Positive staining on the mouse spleen. The section was incubated with ab283575 for 10 mins at room temperature. The immunostaining was performed on a Leica Biosystems BOND® RX instrument Counterstained with Hematoxylin.

Secondary antibody only control : Secondary antibody is a ready to use LeicaDS9800 (Bond™ Polymer Refine Detection).

Heat mediated antigen retrieval with Tris-EDTA buffer (pH 9.0, epitope retrieval solution2) for 20 mins

Immunoprecipitation - Anti-MMP9 antibody [RM1020] - BSA and Azide free (AB283594)
  • IP

Supplier Data

Immunoprecipitation - Anti-MMP9 antibody [RM1020] - BSA and Azide free (AB283594)

This data was developed using ab283575, the same antibody clone in a different buffer formulation.

MMP9 was immunoprecipitated from 0.35 mg Mouse lung lysate 10 ug with ab283575 at 1/30 dilution (2ug in 0.35mg lysates). Western blot was performed on the immunoprecipitate using ab283575 at 1/1000 dilution. VeriBlot for IP secondary antibody(HRP)(ab131366) was used at 1/5000 dilution.

Lane 1 : Mouse lung lysate 10 ug

Lane 2 : ab283575 IP in Mouse lung lysate

Lane 3 : Rabbit monoclonal IgG (ab172730) instead of ab283575 in Mouse lung lysate

Blocking and dilution buffer and concentration : 5% NFDM/TBST.

Exposure time : 3 min

All lanes:

Immunoprecipitation - Anti-MMP9 antibody [RM1020] (<a href='/en-us/products/primary-antibodies/mmp9-antibody-rm1020-ab283575'>ab283575</a>)

Predicted band size: 78 kDa

Observed band size: 84-92 kDa

false

Western blot - Anti-MMP9 antibody [RM1020] - BSA and Azide free (AB283594)
  • WB

Supplier Data

Western blot - Anti-MMP9 antibody [RM1020] - BSA and Azide free (AB283594)

The expression of MMP-9 can be stimulated by various agents, such as inflammatory cytokine, growth factor, and 12-O-tetradecanoylphorbol-13-acetate (TPA) (PMID : 21047770, 28969043). Blocking and diluting buffer and concentration : 5% NFDM/TBST This data was developed using ab283575, the same antibody clone in a different buffer formulation.

All lanes:

Western blot - Anti-MMP9 antibody [RM1020] (<a href='/en-us/products/primary-antibodies/mmp9-antibody-rm1020-ab283575'>ab283575</a>) at 1/1000 dilution

Lane 1:

LoVo (Human colorectal adenocarcinoma epithelial cell) whole cell lysate at 20 µg

Lane 2:

Huh7 (Human hepatocellular carcinoma epithelial cell) whole cell lysate at 20 µg

Lane 3:

MCF7 (Human breast adenocarcinoma epithelial cell) whole cell lysate at 20 µg

Lane 4:

HeLa (Human cervix adenocarcinoma epithelial cell) whole cell lysate at 20 µg

Lane 5:

Caco-2 (Human colorectal adenocarcinoma epithelial cell) whole cell lysate at 20 µg

Lane 6:

A549 (Human lung carcinoma epithelial cell) serum starved overnight whole cell lysate at 20 µg

Lane 7:

A549 (Human lung carcinoma epithelial cell) serum starved overnight, then treated with 100ng/ml TPA for 24 hours, then together with 1ug/ml BFA for another 3h whole cell lysate at 20 µg

Secondary

All lanes:

Western blot - Goat Anti-Rabbit IgG H&L (HRP) (<a href='/en-us/products/secondary-antibodies/goat-rabbit-igg-h-l-hrp-ab97051'>ab97051</a>) at 1/20000 dilution

false

Exposure time: 60s

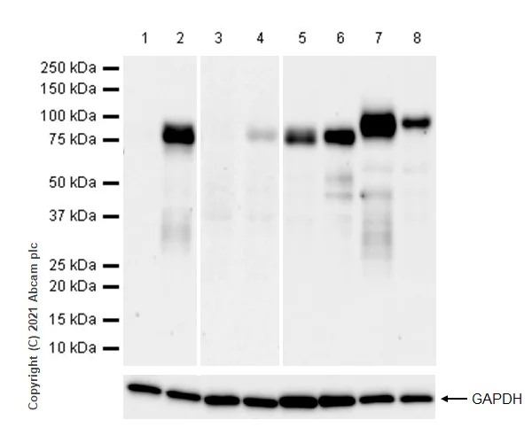
Western blot - Anti-MMP9 antibody [RM1020] - BSA and Azide free (AB283594)
  • WB

Lab

Western blot - Anti-MMP9 antibody [RM1020] - BSA and Azide free (AB283594)

This data was developed using ab283575, the same antibody clone in a different buffer formulation.

Blocking and diluting buffer and concentration : 5% NFDM/TBST

MMP9 is a glycoprotein (PMID : 29329315). The 92 kDa band likely represents the zymogen prior to activating cleavage of the pro-peptide (PMID : 7688350; PMID : 12901881).

Exposure time : Lane 3-4 : 3min ; Others : 37 seconds

All lanes:

Western blot - Anti-MMP9 antibody [RM1020] (<a href='/en-us/products/primary-antibodies/mmp9-antibody-rm1020-ab283575'>ab283575</a>) at 1/1000 dilution

Lane 1:

U-2 OS (Human bone osteosarcoma epithelial cell) whole cell lysate at 20 µg

Lane 2:

U-2 OS treated with 200nM TPA for 24h whole cell lysate at 20 µg

Lane 3:

RAW 264.7 (Mouse Abelson murine leukemia virus-induced tumor macrophage) whole cell lysate at 20 µg

Lane 4:

RAW 264.7 treated with 100ng/ml lipopolysaccharide (LPS) for 4h, then together with 1ug/ml BFA for another 3h whole cell lysate at 20 µg

Lane 5:

NR8383 (Rattus norvegicus lung macrophage (alveolar)) whole cell lysate at 20 µg

Lane 6:

NR8383 treated with 100ng/ml lipopolysaccharide (LPS) for 4h, then together with 1ug/ml BFA for another 3h whole cell lysate at 20 µg

Lane 7:

Human lung lysate at 20 µg

Lane 8:

Mouse lung lysate at 20 µg

Secondary

All lanes:

Western blot - Goat Anti-Rabbit IgG H&L (HRP) (<a href='/en-us/products/secondary-antibodies/goat-rabbit-igg-h-l-hrp-ab97051'>ab97051</a>) at 1/100000 dilution

Predicted band size: 78 kDa

Observed band size: 84-92 kDa

false

Indirect ELISA - Anti-MMP9 antibody [RM1020] - BSA and Azide free (AB283594)
  • I-ELISA

Supplier Data

Indirect ELISA - Anti-MMP9 antibody [RM1020] - BSA and Azide free (AB283594)

This data was developed using ab283575, the same antibody clone in a different buffer formulation.

ELISA using ab283575 at varying antibody concentrations and antigen concentration at 1000 ng/ml. An Alkaline Phosphatase-conjugated AffiniPure Goat Anti-Rabbit IgG (H+L) (1/2500) was used as the secondary antibody.

Key facts

Host species

Rabbit

Clonality

Multiclonal

Clone number

RM1020

Isotype

IgG

Carrier free

Yes

Reacts with

Rat, Mouse, Human

Applications

Flow Cyt (Intra), IHC-Fr, ICC/IF, I-ELISA, IHC-P, IP, WB

applications

Immunogen

The exact immunogen used to generate this antibody is proprietary information.

Reactivity data

{ "title": "Reactivity Data", "filters": { "stats": ["", "Species", "Dilution Info", "Notes"], "tabs": { "all-applications": {"fullname" : "All Applications", "shortname": "All Applications"}, "ICCIF" : {"fullname" : "Immunocytochemistry/ Immunofluorescence", "shortname":"ICC/IF"}, "IP" : {"fullname" : "Immunoprecipitation", "shortname":"IP"}, "WB" : {"fullname" : "Western blot", "shortname":"WB"}, "IELISA" : {"fullname" : "Indirect ELISA", "shortname":"I-ELISA"}, "IHCFr" : {"fullname" : "Immunohistochemistry (Frozen sections)", "shortname":"IHC-Fr"}, "FlowCytIntra" : {"fullname" : "Flow Cytometry (Intracellular)", "shortname":"Flow Cyt (Intra)"}, "IHCP" : {"fullname" : "Immunohistochemistry (Formalin/PFA-fixed paraffin-embedded sections)", "shortname":"IHC-P"} }, "product-promise": { "all": "all", "testedAndGuaranteed": "tested", "guaranteed": "expected", "predicted": "predicted", "notRecommended": "not-recommended" } }, "values": { "Human": { "ICCIF-species-checked": "testedAndGuaranteed", "ICCIF-species-dilution-info": "", "ICCIF-species-notes": "<p></p>", "IP-species-checked": "guaranteed", "IP-species-dilution-info": "", "IP-species-notes": "", "WB-species-checked": "testedAndGuaranteed", "WB-species-dilution-info": "", "WB-species-notes": "<p></p>", "IELISA-species-checked": "testedAndGuaranteed", "IELISA-species-dilution-info": "", "IELISA-species-notes": "<p></p>", "IHCFr-species-checked": "guaranteed", "IHCFr-species-dilution-info": "", "IHCFr-species-notes": "", "FlowCytIntra-species-checked": "guaranteed", "FlowCytIntra-species-dilution-info": "", "FlowCytIntra-species-notes": "<p></p>", "IHCP-species-checked": "testedAndGuaranteed", "IHCP-species-dilution-info": "", "IHCP-species-notes": "<p></p>" }, "Mouse": { "ICCIF-species-checked": "testedAndGuaranteed", "ICCIF-species-dilution-info": "", "ICCIF-species-notes": "<p></p>", "IP-species-checked": "testedAndGuaranteed", "IP-species-dilution-info": "", "IP-species-notes": "<p></p>", "WB-species-checked": "testedAndGuaranteed", "WB-species-dilution-info": "", "WB-species-notes": "<p></p>", "IELISA-species-checked": "testedAndGuaranteed", "IELISA-species-dilution-info": "", "IELISA-species-notes": "<p></p>", "IHCFr-species-checked": "testedAndGuaranteed", "IHCFr-species-dilution-info": "", "IHCFr-species-notes": "<p></p>", "FlowCytIntra-species-checked": "guaranteed", "FlowCytIntra-species-dilution-info": "", "FlowCytIntra-species-notes": "<p></p>", "IHCP-species-checked": "testedAndGuaranteed", "IHCP-species-dilution-info": "", "IHCP-species-notes": "<p></p>" }, "Rat": { "ICCIF-species-checked": "guaranteed", "ICCIF-species-dilution-info": "", "ICCIF-species-notes": "", "IP-species-checked": "guaranteed", "IP-species-dilution-info": "", "IP-species-notes": "", "WB-species-checked": "testedAndGuaranteed", "WB-species-dilution-info": "", "WB-species-notes": "<p></p>", "IELISA-species-checked": "guaranteed", "IELISA-species-dilution-info": "", "IELISA-species-notes": "", "IHCFr-species-checked": "testedAndGuaranteed", "IHCFr-species-dilution-info": "", "IHCFr-species-notes": "<p></p>", "FlowCytIntra-species-checked": "guaranteed", "FlowCytIntra-species-dilution-info": "", "FlowCytIntra-species-notes": "<p></p>", "IHCP-species-checked": "testedAndGuaranteed", "IHCP-species-dilution-info": "", "IHCP-species-notes": "<p></p>" } } }

Product details

ab283594 is the carrier-free version of ab283575.

What are recombinant multiclonals?
Recombinant multiclonals are a mixture of recombinant antibodies co-expressed from a library of heavy and light chains. They offer several advantages including:

  • - The sensitivity of polyclonal antibodies by recognising multiple epitopes
  • - High batch-to-batch consistency and reproducibility
  • - Improved sensitivity and specificity
  • - Long-term security of supply
  • - Animal-free batch production

View our range of recombinant multiclonal antibodies.

Patented technology
Our RabMAb® technology is a patented hybridoma-based technology for making rabbit monoclonal antibodies. For details on our patents, please refer to RabMAb® patents.

Conjugation ready
Our carrier-free antibodies are typically supplied in a PBS-only formulation, purified and free of BSA, sodium azide and glycerol. This conjugation-ready format is designed for use with fluorochromes, metal isotopes, oligonucleotides, and enzymes, which makes them ideal for antibody labelling, functional and cell-based assays, flow-based assays (e.g. mass cytometry) and Multiplex Imaging applications.

Use our conjugation kits for antibody conjugates that are ready-to-use in as little as 20 minutes with 1 minute hands-on-time and 100% antibody recovery: available for fluorescent dyes, HRP, biotin and gold.

Compatibility
This product is compatible with the Maxpar® Antibody Labeling Kit from Fluidigm, without the need for antibody preparation. Maxpar® is a trademark of Fluidigm Canada Inc.

Properties and storage information

Form
Liquid
Storage buffer
pH: 7.2 - 7.4 Constituents: PBS
Shipped at conditions
Blue Ice
Appropriate short-term storage conditions
+4°C
Appropriate long-term storage conditions
+4°C

Supplementary information

This supplementary information is collated from multiple sources and compiled automatically.

The MMP-9 protein also known as matrix metalloproteinase-9 or gelatinase B functions as an enzyme involved in the breakdown of extracellular matrix proteins. It consists of a zinc ion at its active site and facilitates the degradation of type IV and V collagens fibronectin and elastin. MMP-9 has a molecular weight of approximately 92 kDa and is expressed in a variety of tissues including the liver lungs and immune cells. This enzyme can exist in monomer and dimer forms with its activity regulated by tissue inhibitors of metalloproteinases (TIMPs).
Biological function summary

Matrix metalloproteinase-9 profoundly influences tissue remodeling inflammation and angiogenesis. It does not form part of a larger protein complex but interacts closely with substrates in the extracellular matrix. MMP-9 plays important roles in processes such as embryogenesis reproduction and wound healing through the remodeling of surrounding tissues. The MMP-9 protein is often measured using assays like ELISA or analyzed via techniques such as Western blotting to determine its expression levels and activity in different biological contexts.

Pathways

MMP-9 participates in the matrix metalloproteinase pathway and the NF-kB signaling pathway. These pathways are essential in orchestrating processes such as tissue remodeling and inflammatory responses. MMP-9 acts alongside other matrix metalloproteinases including MMP-2 and is regulated by factors like cytokines growth factors and hormones ensuring the precision of extracellular matrix degradation during physiological processes.

Matrix metalloproteinase-9 has associations with cancer invasion and metastasis as well as chronic inflammatory diseases like rheumatoid arthritis. In cancer upregulated MMP-9 expression aids tumor cells in breaching the basement membrane facilitating metastasis. The disorder-associated pathways often involve interactions with proteins like vascular endothelial growth factor (VEGF) and transforming growth factor-beta (TGF-beta). Understanding MMP-9's role in these conditions can contribute to developing targeted therapies that inhibit its activity potentially mitigating disease progression.

Product protocols

For this product, it's our understanding that no specific protocols are required. You can visit:

Target data

The protein expressed by gene MMP9 is a matrix metalloproteinase that plays an essential role in the local proteolysis of the extracellular matrix and in leukocyte migration. It cleaves KiSS1 at a Gly-|-Leu bond and processes NINJ1 to generate the Secreted ninjurin-1 form. Additionally, MMP9 cleaves type IV and type V collagen into large C-terminal three-quarter fragments and shorter N-terminal one-quarter fragments. It degrades fibronectin but not laminin or Pz-peptide. This supplementary information is collated from multiple sources and compiled automatically.
See full target information MMP9

Publications (2)

Recent publications for all applications. Explore the full list and refine your search

Cells 14: PubMed40422181

2025

Naringenin Targets PI3K p85alpha to Suppress PI3K/AKT Signaling Pathway and Ameliorate Disordered MMP-9 Secretion in Cigarette Smoke Extract-Induced Alveolar Macrophages In Vitro.

Applications

Unspecified application

Species

Unspecified reactive species

Weiyang Fan,Ziyan Xu,Mengli Zhong,Xiao Wu,Pan Chen,Zhen Chen,Weiwei Su,Hao Wu,Peibo Li

Frontiers in pharmacology 14:1098228 PubMed36865920

2023

The TRPM4 channel inhibitor 9-phenanthrol alleviates cerebral edema after traumatic brain injury in rats.

Applications

Unspecified application

Species

Unspecified reactive species

Ping Ma,Ning Huang,Jun Tang,Zunjie Zhou,Jing Xu,Yi Chen,Maoxin Zhang,Qin Huang,Yuan Cheng
View all publications

Product promise

We are committed to supporting your work with high-quality reagents, and we're here for you every step of the way. In the unlikely event that one of our products does not perform as expected, you're protected by our Product Promise.
For full details, please see our Terms & Conditions

Please note: All products are 'FOR RESEARCH USE ONLY. NOT FOR USE IN DIAGNOSTIC OR THERAPEUTIC PROCEDURES'.

For licensing inquiries, please contact partnerships@abcam.com