JavaScript is disabled in your browser. Please enable JavaScript to view this website.
AB214328

Anti-MMS19 antibody

Be the first to review this product! Submit a review

|

(1 Publication)

Rabbit Polyclonal MMS19 antibody. Suitable for IHC-P and reacts with Human samples. Cited in 1 publication. Immunogen corresponding to Synthetic Peptide within Human MMS19 aa 900-1000 conjugated to Keyhole Limpet Haemocyanin.

View Alternative Names

MMS19L, MMS19, MMS19 nucleotide excision repair protein homolog, hMMS19, MET18 homolog, MMS19-like protein

1 Images
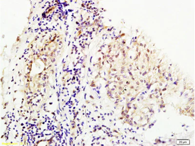
Immunohistochemistry (Formalin/PFA-fixed paraffin-embedded sections) - Anti-MMS19 antibody (AB214328)
  • IHC-P

Supplier Data

Immunohistochemistry (Formalin/PFA-fixed paraffin-embedded sections) - Anti-MMS19 antibody (AB214328)

Immunohistochemical analysis of formalin-fixed, paraffin-embedded human breast carcinoma tissue labeling MMS19 with ab214328 at 1/200 dilution followed by conjugation to the secondary antibody and DAB staining.

Key facts

Host species

Rabbit

Clonality

Polyclonal

Isotype

IgG

Carrier free

No

Reacts with

Human

Applications

IHC-P

applications

Immunogen

Synthetic Peptide within Human MMS19 aa 900-1000 conjugated to Keyhole Limpet Haemocyanin. The exact immunogen used to generate this antibody is proprietary information.

Q96T76

Reactivity data

{ "title": "Reactivity Data", "filters": { "stats": ["", "Species", "Dilution Info", "Notes"], "tabs": { "all-applications": {"fullname" : "All Applications", "shortname": "All Applications"}, "IHCP" : {"fullname" : "Immunohistochemistry (Formalin/PFA-fixed paraffin-embedded sections)", "shortname":"IHC-P"} }, "product-promise": { "all": "all", "testedAndGuaranteed": "tested", "guaranteed": "expected", "predicted": "predicted", "notRecommended": "not-recommended" } }, "values": { "Human": { "IHCP-species-checked": "testedAndGuaranteed", "IHCP-species-dilution-info": "1/100 - 1/500", "IHCP-species-notes": "<p></p>" }, "Mouse": { "IHCP-species-checked": "predicted", "IHCP-species-dilution-info": "", "IHCP-species-notes": "" }, "Rat": { "IHCP-species-checked": "predicted", "IHCP-species-dilution-info": "", "IHCP-species-notes": "" } } }

Properties and storage information

Form
Liquid
Purification technique
Affinity purification Protein A
Storage buffer
pH: 7.4 Preservative: 0.02% Proclin 300 Constituents: 50% Glycerol (glycerin, glycerine), 48.98% TBS, 1X, 1% BSA
Shipped at conditions
Blue Ice
Appropriate short-term storage duration
1-2 weeks
Appropriate short-term storage conditions
+4°C
Appropriate long-term storage conditions
-20°C
Aliquoting information
Upon delivery aliquot
Storage information
Avoid freeze / thaw cycle

Supplementary information

This supplementary information is collated from multiple sources and compiled automatically.

The protein MMS19 also known as MMS19L or mitotic spindle assembly 19 plays an important role in DNA repair and ribonucleotide reduction. It is a component of the cytoplasmic iron-sulfur protein assembly (CIA) machinery. MMS19 is approximately 104 kDa in mass and is expressed in a variety of tissues with higher expression noted in testis and thymus. The protein has been observed in the nucleus and cytoplasm where it participates in DNA-related and metabolic processes.
Biological function summary

MMS19 functions as a core component of the cytoplasmic iron-sulfur protein assembly (CIA) targeting complex. This complex targets specific iron-sulfur cluster-containing proteins which are essential for DNA repair and other cellular processes. MMS19 facilitates the incorporation of iron-sulfur clusters into target proteins which is critical for their function. It interacts with other proteins like CIAO1 and FAM96B within the complex indicating its collaborative role in cellular maintenance and genomic stability.

Pathways

MMS19 is actively engaged in the DNA repair and replication pathways. It plays a role in nucleotide excision repair (NER) and is important in maintaining genomic integrity through its involvement in DNA synthesis and repair. The protein associates with helicase-like transcription factor (HLTF) and other related proteins within these pathways helping coordinate the response to DNA damage and repair mechanisms.

MMS19's dysfunction has been linked to various cancer types due to its central role in DNA repair. Defects in MMS19 can lead to genomic instability a hallmark of cancerous transformations. Moreover its interaction with other proteins in the repair pathways such as ERCC2 links it to disorders like xeroderma pigmentosum. This connection suggests its importance in protecting against DNA damage and maintaining genomic stability.

Product protocols

For this product, it's our understanding that no specific protocols are required. You can visit:

Target data

Key component of the cytosolic iron-sulfur protein assembly (CIA) complex, a multiprotein complex that mediates the incorporation of iron-sulfur cluster into apoproteins specifically involved in DNA metabolism and genomic integrity (PubMed : 29848660). In the CIA complex, MMS19 acts as an adapter between early-acting CIA components and a subset of cellular target iron-sulfur proteins such as ERCC2/XPD, FANCJ and RTEL1, thereby playing a key role in nucleotide excision repair (NER), homologous recombination-mediated double-strand break DNA repair, DNA replication and RNA polymerase II (POL II) transcription (PubMed : 22678361, PubMed : 22678362, PubMed : 23585563, PubMed : 29225034). As part of the mitotic spindle-associated MMXD complex, plays a role in chromosome segregation, probably by facilitating iron-sulfur (Fe-S) cluster assembly into ERCC2/XPD (PubMed : 20797633). Together with CIAO2, facilitates the transfer of Fe-S clusters to the motor protein KIF4A, which ensures proper localization of KIF4A to mitotic machinery components to promote the progression of mitosis (PubMed : 29848660). Indirectly acts as a transcriptional coactivator of estrogen receptor (ER), via its role in iron-sulfur insertion into some component of the TFIIH-machinery (PubMed : 11279242).
See full target information MMS19

Publications (1)

Recent publications for all applications. Explore the full list and refine your search

Heliyon 10:e34031 PubMed39100467

2024

FTO promotes the progression of bladder cancer via demethylating mA modifications in PTPN6 mRNA.

Applications

Unspecified application

Species

Unspecified reactive species

Naping Wu,Yangyang Sun,Dong Xue,Xiaozhou He
View all publications

Product promise

We are committed to supporting your work with high-quality reagents, and we're here for you every step of the way. In the unlikely event that one of our products does not perform as expected, you're protected by our Product Promise.
For full details, please see our Terms & Conditions

Please note: All products are 'FOR RESEARCH USE ONLY. NOT FOR USE IN DIAGNOSTIC OR THERAPEUTIC PROCEDURES'.

For licensing inquiries, please contact partnerships@abcam.com