JavaScript is disabled in your browser. Please enable JavaScript to view this website.
AB155007

Anti-MMS2 antibody

Be the first to review this product! Submit a review

|

(1 Publication)

Rabbit Polyclonal MMS2 antibody. Suitable for IHC-P, WB and reacts with Mouse, Human samples. Cited in 1 publication. Immunogen corresponding to Recombinant Fragment Protein within Human UBE2V2 aa 1 to C-terminus.

View Alternative Names

MMS2, UEV2, UBE2V2, Ubiquitin-conjugating enzyme E2 variant 2, DDVit 1, Enterocyte differentiation-associated factor 1, Enterocyte differentiation-promoting factor 1, MMS2 homolog, Vitamin D3-inducible protein, EDAF-1, EDPF-1

4 Images
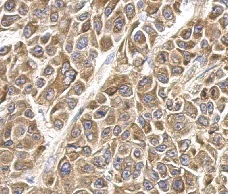
Immunohistochemistry (Formalin/PFA-fixed paraffin-embedded sections) - Anti-MMS2 antibody (AB155007)
  • IHC-P

Unknown

Immunohistochemistry (Formalin/PFA-fixed paraffin-embedded sections) - Anti-MMS2 antibody (AB155007)

Immunohistochemical analysis of paraffin-embedded C2C12 xenograft, labelling MMS2 with ab155007 at 1/500 dilution.

Western blot - Anti-MMS2 antibody (AB155007)
  • WB

Unknown

Western blot - Anti-MMS2 antibody (AB155007)

15% SDS PAGE

All lanes:

Western blot - Anti-MMS2 antibody (ab155007) at 1/1000 dilution

All lanes:

HL-60 whole cell lysate at 30 µg

Predicted band size: 16 kDa

false

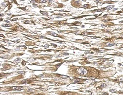
Immunohistochemistry (Formalin/PFA-fixed paraffin-embedded sections) - Anti-MMS2 antibody (AB155007)
  • IHC-P

Unknown

Immunohistochemistry (Formalin/PFA-fixed paraffin-embedded sections) - Anti-MMS2 antibody (AB155007)

Immunohistochemical analysis of paraffin-embedded HBL435 xenograft, labelling MMS2 with ab155007 at 1/500 dilution.

Western blot - Anti-MMS2 antibody (AB155007)
  • WB

Unknown

Western blot - Anti-MMS2 antibody (AB155007)

15% SDS PAGE

All lanes:

Western blot - Anti-MMS2 antibody (ab155007) at 1/1000 dilution

All lanes:

BCL-1 whole cell lysate at 30 µg

Predicted band size: 16 kDa

false

Key facts

Host species

Rabbit

Clonality

Polyclonal

Isotype

IgG

Carrier free

No

Reacts with

Mouse, Human

Applications

IHC-P, WB

applications

Immunogen

Recombinant Fragment Protein within Human UBE2V2 aa 1 to C-terminus. The exact immunogen used to generate this antibody is proprietary information.

Q15819

Reactivity data

{ "title": "Reactivity Data", "filters": { "stats": ["", "Species", "Dilution Info", "Notes"], "tabs": { "all-applications": {"fullname" : "All Applications", "shortname": "All Applications"}, "IHCP" : {"fullname" : "Immunohistochemistry (Formalin/PFA-fixed paraffin-embedded sections)", "shortname":"IHC-P"}, "WB" : {"fullname" : "Western blot", "shortname":"WB"} }, "product-promise": { "all": "all", "testedAndGuaranteed": "tested", "guaranteed": "expected", "predicted": "predicted", "notRecommended": "not-recommended" } }, "values": { "Human": { "IHCP-species-checked": "guaranteed", "IHCP-species-dilution-info": "", "IHCP-species-notes": "", "WB-species-checked": "testedAndGuaranteed", "WB-species-dilution-info": "1/500 - 1/3000", "WB-species-notes": "<p></p>" }, "Mouse": { "IHCP-species-checked": "testedAndGuaranteed", "IHCP-species-dilution-info": "1/100 - 1/1000", "IHCP-species-notes": "<p></p> Perform heat-mediated antigen retrieval with citrate buffer pH 6 before commencing with IHC staining protocol.", "WB-species-checked": "testedAndGuaranteed", "WB-species-dilution-info": "1/500 - 1/3000", "WB-species-notes": "<p></p>" }, "Rat": { "IHCP-species-checked": "predicted", "IHCP-species-dilution-info": "", "IHCP-species-notes": "", "WB-species-checked": "predicted", "WB-species-dilution-info": "", "WB-species-notes": "" }, "Chicken": { "IHCP-species-checked": "predicted", "IHCP-species-dilution-info": "", "IHCP-species-notes": "", "WB-species-checked": "predicted", "WB-species-dilution-info": "", "WB-species-notes": "" }, "Cow": { "IHCP-species-checked": "predicted", "IHCP-species-dilution-info": "", "IHCP-species-notes": "", "WB-species-checked": "predicted", "WB-species-dilution-info": "", "WB-species-notes": "" }, "Dog": { "IHCP-species-checked": "predicted", "IHCP-species-dilution-info": "", "IHCP-species-notes": "", "WB-species-checked": "predicted", "WB-species-dilution-info": "", "WB-species-notes": "" }, "Pig": { "IHCP-species-checked": "predicted", "IHCP-species-dilution-info": "", "IHCP-species-notes": "", "WB-species-checked": "predicted", "WB-species-dilution-info": "", "WB-species-notes": "" }, "Xenopus laevis": { "IHCP-species-checked": "predicted", "IHCP-species-dilution-info": "", "IHCP-species-notes": "", "WB-species-checked": "predicted", "WB-species-dilution-info": "", "WB-species-notes": "" }, "Xenopus tropicalis": { "IHCP-species-checked": "predicted", "IHCP-species-dilution-info": "", "IHCP-species-notes": "", "WB-species-checked": "predicted", "WB-species-dilution-info": "", "WB-species-notes": "" }, "Zebrafish": { "IHCP-species-checked": "predicted", "IHCP-species-dilution-info": "", "IHCP-species-notes": "", "WB-species-checked": "predicted", "WB-species-dilution-info": "", "WB-species-notes": "" } } }

Product details

Keep as concentrated solution.

Properties and storage information

Form
Liquid
Purification technique
Affinity purification Immunogen
Storage buffer
pH: 7 Preservative: 0.01% Thimerosal (merthiolate) Constituents: PBS, 20% Glycerol (glycerin, glycerine), 1% BSA
Shipped at conditions
Blue Ice
Appropriate short-term storage conditions
+4°C
Appropriate long-term storage conditions
-20°C
Aliquoting information
Upon delivery aliquot
Storage information
Avoid freeze / thaw cycle

Supplementary information

This supplementary information is collated from multiple sources and compiled automatically.

The MMS2 protein also known as UBE2V2 is a ubiquitin-conjugating enzyme variant found within cells. Unlike typical ubiquitin-conjugating enzymes MMS2 lacks the conserved active site cysteine. The MMS2 protein has a molecular mass of approximately 16 kDa and is expressed in a range of tissues including those of the human immune system. Functionally MMS2 partners with another enzyme Ubc13 to facilitate the assembly of Lys63-linked polyubiquitin chains necessary for DNA damage tolerance and repair processes.
Biological function summary

MMS2 plays a critical role in cellular responses to DNA damage. It is part of the Ubc13-MMS2 complex which contributes to the post-replication repair pathway. This complex modulates the signaling and resolution of DNA double-strand breaks. MMS2 through its role in this complex impacts cellular mechanisms for maintaining genomic integrity and preventing genomic instability.

Pathways

MMS2 takes part in the DNA damage response and NF-kappaB signaling pathways. In the process of DNA repair it works with proteins like Rad6 and Rad18 enabling cells to overcome stalled replication forks and promoting cell survival in response to DNA damage. In the NF-kappaB pathway MMS2 contributes to signaling cascades that activate immune responses and inflammation working alongside other proteins to mediate cellular responses.

MMS2 is linked to cancer and neurodegenerative diseases. Its role in DNA repair and signaling pathways connects it to tumor suppression with defects in MMS2 function potentially leading to increased susceptibility to cancer due to accumulated DNA damage. Additionally MMS2's interaction with proteins involved in neuroinflammation suggests a possible connection to neurodegenerative conditions such as Alzheimer’s disease where dysregulated inflammation and repair pathways contribute to disease pathology.

Product protocols

For this product, it's our understanding that no specific protocols are required. You can visit:

Target data

Has no ubiquitin ligase activity on its own. The UBE2V2/UBE2N heterodimer catalyzes the synthesis of non-canonical poly-ubiquitin chains that are linked through 'Lys-63'. This type of poly-ubiquitination does not lead to protein degradation by the proteasome. Mediates transcriptional activation of target genes. Plays a role in the control of progress through the cell cycle and differentiation. Plays a role in the error-free DNA repair pathway and contributes to the survival of cells after DNA damage.
See full target information UBE2V2

Publications (1)

Recent publications for all applications. Explore the full list and refine your search

EMBO reports 26:3384-3410 PubMed40437287

2025

KEAP1 retention in phase-separated p62 bodies drives liver damage under autophagy-deficient conditions.

Applications

Unspecified application

Species

Unspecified reactive species

Shuhei Takada,Nozomi Shinomiya,Gaoxin Mao,Hikaru Tsuchiya,Tomoaki Koga,Satoko Komatsu-Hirota,Yu-Shin Sou,Manabu Abe,Elena Ryzhii,Michitaka Suzuki,Mitsuyoshi Nakao,Satoshi Waguri,Hideaki Morishita,Masaaki Komatsu
View all publications

Product promise

We are committed to supporting your work with high-quality reagents, and we're here for you every step of the way. In the unlikely event that one of our products does not perform as expected, you're protected by our Product Promise.
For full details, please see our Terms & Conditions

Please note: All products are 'FOR RESEARCH USE ONLY. NOT FOR USE IN DIAGNOSTIC OR THERAPEUTIC PROCEDURES'.

For licensing inquiries, please contact partnerships@abcam.com