JavaScript is disabled in your browser. Please enable JavaScript to view this website.
AB241564

Anti-MMS21 antibody [215C]

Be the first to review this product! Submit a review

|

(2 Publications)

Mouse Recombinant Monoclonal MMS21 antibody. Suitable for IHC-P, WB and reacts with Human samples. Cited in 2 publications.

View Alternative Names

C8orf36, MMS21, NSMCE2, E3 SUMO-protein ligase NSE2, E3 SUMO-protein transferase NSE2, MMS21 homolog, Non-structural maintenance of chromosomes element 2 homolog, hMMS21, Non-SMC element 2 homolog

3 Images
Immunohistochemistry (Formalin/PFA-fixed paraffin-embedded sections) - Anti-MMS21 antibody [215C] (AB241564)
  • IHC-P

Supplier Data

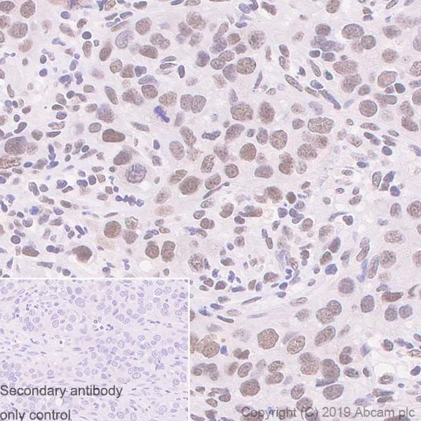
Immunohistochemistry (Formalin/PFA-fixed paraffin-embedded sections) - Anti-MMS21 antibody [215C] (AB241564)

Immunohistochemical analysis of paraffin-embedded human colon tissue labeling MMS21 with ab241564 at 4.17ug/ml. Heat mediated antigen retrieval with Tris-EDTA buffer (pH 9.0, epitope retrieval solution 2) for 20 mins., followed by ready to use secondary antibody. Nuclear staining on human colon tissue is observed. The section was incubated with ab241564 for 30 mins at RT. The immunostaining staining was performed on a Leica Biosystems BOND® RX instrument. Counterstained with hematoxylin.
Secondary antibody only control : Used PBS instead of primary antibody, followed by ready to use secondary.

Immunohistochemistry (Formalin/PFA-fixed paraffin-embedded sections) - Anti-MMS21 antibody [215C] (AB241564)
  • IHC-P

Supplier Data

Immunohistochemistry (Formalin/PFA-fixed paraffin-embedded sections) - Anti-MMS21 antibody [215C] (AB241564)

Immunohistochemical analysis of paraffin-embedded human breast carcinoma tissue labeling MMS21 with ab241564 at 4.17 ug/ml, followed by ready to use secondary antibody. Nuclear staining on human breast carcinoma tissue is observed. The section was incubated with ab241564 for 30 mins at RT. The immunostaining staining was performed on a Leica Biosystems BOND® RX instrument. Counterstained with hematoxylin.
Secondary antibody only control : Used PBS instead of primary antibody, followed by ready to use secondary.

Heat mediated antigen retrieval with Tris-EDTA buffer (pH 9.0, epitope retrieval solution 2) for 20 mins.

Immunohistochemistry (Formalin/PFA-fixed paraffin-embedded sections) - Anti-MMS21 antibody [215C] (AB241564)
  • IHC-P

Supplier Data

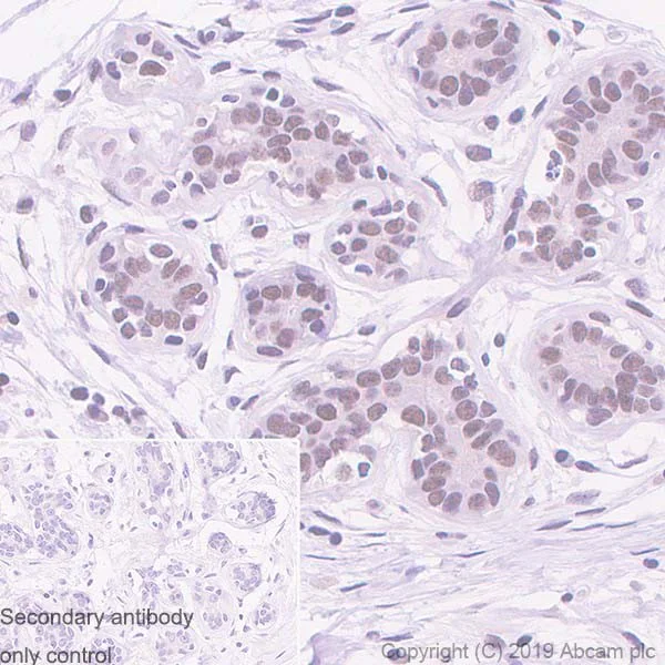
Immunohistochemistry (Formalin/PFA-fixed paraffin-embedded sections) - Anti-MMS21 antibody [215C] (AB241564)

Immunohistochemical analysis of paraffin-embedded human breast tissue labeling MMS21 with ab241564 at 4.17 ug/ml, followed by ready to use secondary antibody. Nuclear staining on human breast tissue is observed. The section was incubated with ab241564 for 30 mins at RT. The immunostaining staining was performed on a Leica Biosystems BOND® RX instrument. Counterstained with hematoxylin.
Secondary antibody only control : Used PBS instead of primary antibody, followed by ready to use secondary.

Heat mediated antigen retrieval with Tris-EDTA buffer (pH 9.0, epitope retrieval solution 2) for 20 mins.

  • Carrier free

    Anti-MMS21 antibody [215C] - BSA and Azide free

Key facts

Host species

Mouse

Clonality

Monoclonal

Clone number

215C

Isotype

IgG1

Carrier free

No

Reacts with

Human

Applications

WB, IHC-P

applications

Immunogen

The exact immunogen used to generate this antibody is proprietary information.

Reactivity data

{ "title": "Reactivity Data", "filters": { "stats": ["", "Species", "Dilution Info", "Notes"], "tabs": { "all-applications": {"fullname" : "All Applications", "shortname": "All Applications"}, "IHCP" : {"fullname" : "Immunohistochemistry (Formalin/PFA-fixed paraffin-embedded sections)", "shortname":"IHC-P"}, "WB" : {"fullname" : "Western blot", "shortname":"WB"} }, "product-promise": { "all": "all", "testedAndGuaranteed": "tested", "guaranteed": "expected", "predicted": "predicted", "notRecommended": "not-recommended" } }, "values": { "Human": { "IHCP-species-checked": "testedAndGuaranteed", "IHCP-species-dilution-info": "4.17 µg/mL", "IHCP-species-notes": "<p></p>", "WB-species-checked": "guaranteed", "WB-species-dilution-info": "1/0.417", "WB-species-notes": "<p></p>" } } }

Product details

What are the advantages of a recombinant monoclonal antibody?
This product is a recombinant monoclonal antibody, which offers several advantages including:

  • - High batch-to-batch consistency and reproducibility
  • - Improved sensitivity and specificity
  • - Long-term security of supply
  • - Animal-free batch production

For more information, read more on recombinant antibodies.

Want a custom formulation?
This antibody clone is manufactured by Abcam. If you require a custom buffer formulation or conjugation for your experiments, please contact orders@abcam.com

Properties and storage information

Form
Liquid
Purification technique
Affinity purification Protein A
Storage buffer
pH: 7.2 - 7.4 Preservative: 0.01% Sodium azide Constituents: PBS, 40% Glycerol (glycerin, glycerine), 0.05% BSA
Shipped at conditions
Blue Ice
Appropriate short-term storage duration
1-2 weeks
Appropriate short-term storage conditions
+4°C
Appropriate long-term storage conditions
-20°C
Aliquoting information
Upon delivery aliquot
Storage information
Avoid freeze / thaw cycle

Supplementary information

This supplementary information is collated from multiple sources and compiled automatically.

MMS21 also known as NSE2 is a SUMO E3 ligase enzyme involved in sumoylation a post-translational modification process. It weighs approximately 54 kDa and plays an integral role in maintaining genome stability. MMS21 functions by transferring the SUMO protein to various substrate proteins which can alter their activity stability or localization. This protein is expressed in the nucleus where it interacts with other nuclear proteins to aid DNA repair and chromosome segregation.
Biological function summary

MMS21 participates in the structural maintenance of chromosomes (SMC) complex specifically the SMC5/6 complex. This complex is vital for DNA repair replication and maintaining the stability of the genome. MMS21 modulates the sumoylation status of other proteins in these processes thereby influencing cell cycle progression and genomic integrity. Disruption in MMS21 activity can lead to defective chromosome maintenance highlighting its importance in cellular processes.

Pathways

MMS21 plays a significant role in the DNA damage response and homologous recombination repair pathways. In the DNA damage response pathway MMS21 stabilizes replication forks and mediates the repair of DNA double-strand breaks. It interacts with proteins such as RAD51 an essential protein for homologous recombination facilitating the repair of DNA. In these pathways MMS21 ensures the accuracy and effectiveness of DNA repair mechanisms preventing genomic instability.

MMS21 is associated with cancer and genetic syndromes such as Fanconi anemia. The function of MMS21 in repairing DNA and maintaining genome integrity makes its dysregulation a factor in cancer development. Mutations or deficiencies in MMS21 can lead to faulty DNA repair mechanisms like those seen in Fanconi anemia a condition linked to bone marrow failure and cancer susceptibility. MMS21's interaction with other DNA repair proteins including RAD51 highlights its role in safeguarding against genomic instability seen in these diseases.

Product protocols

For this product, it's our understanding that no specific protocols are required. You can visit:

Target data

E3 SUMO-protein ligase component of the SMC5-SMC6 complex, a complex involved in DNA double-strand break repair by homologous recombination (PubMed : 16055714, PubMed : 16810316). Is not be required for the stability of the complex (PubMed : 16055714, PubMed : 16810316). The complex may promote sister chromatid homologous recombination by recruiting the SMC1-SMC3 cohesin complex to double-strand breaks (PubMed : 16055714, PubMed : 16810316). The complex is required for telomere maintenance via recombination in ALT (alternative lengthening of telomeres) cell lines and mediates sumoylation of shelterin complex (telosome) components which is proposed to lead to shelterin complex disassembly in ALT-associated PML bodies (APBs) (PubMed : 17589526). Acts as an E3 ligase mediating SUMO attachment to various proteins such as SMC6L1 and TSNAX, the shelterin complex subunits TERF1, TERF2, TINF2 and TERF2IP, RAD51AP1, and maybe the cohesin components RAD21 and STAG2 (PubMed : 16055714, PubMed : 16810316, PubMed : 17589526, PubMed : 31400850). Required for recruitment of telomeres to PML nuclear bodies (PubMed : 17589526). SUMO protein-ligase activity is required for the prevention of DNA damage-induced apoptosis by facilitating DNA repair, and for formation of APBs in ALT cell lines (PubMed : 17589526). Required for sister chromatid cohesion during prometaphase and mitotic progression (PubMed : 19502785).
See full target information NSMCE2

Publications (2)

Recent publications for all applications. Explore the full list and refine your search

Cellular and molecular life sciences : CMLS 81:251 PubMed38847937

2024

Crucial role of the NSE1 RING domain in Smc5/6 stability and FANCM-independent fork progression.

Applications

Unspecified application

Species

Unspecified reactive species

Neus P Lorite,Sonia Apostolova,Marta Guasch-Vallés,Aaron Pryer,Fernando Unzueta,Raimundo Freire,Roger Solé-Soler,Neus Pedraza,Xavier Dolcet,Eloi Garí,Neus Agell,Elaine M Taylor,Neus Colomina,Jordi Torres-Rosell

Nature communications 11:5898 PubMed33214551

2020

Proteomic profiling and genome-wide mapping of O-GlcNAc chromatin-associated proteins reveal an O-GlcNAc-regulated genotoxic stress response.

Applications

Unspecified application

Species

Unspecified reactive species

Yubo Liu,Qiushi Chen,Nana Zhang,Keren Zhang,Tongyi Dou,Yu Cao,Yimin Liu,Kun Li,Xinya Hao,Xueqin Xie,Wenli Li,Yan Ren,Jianing Zhang
View all publications

Product promise

We are committed to supporting your work with high-quality reagents, and we're here for you every step of the way. In the unlikely event that one of our products does not perform as expected, you're protected by our Product Promise.
For full details, please see our Terms & Conditions

Please note: All products are 'FOR RESEARCH USE ONLY. NOT FOR USE IN DIAGNOSTIC OR THERAPEUTIC PROCEDURES'.

For licensing inquiries, please contact partnerships@abcam.com