JavaScript is disabled in your browser. Please enable JavaScript to view this website.
AB232580

Anti-Moesin antibody [EP1863Y] - BSA and Azide free

Be the first to review this product! Submit a review

|

(1 Publication)

Rabbit Recombinant Monoclonal Moesin antibody. Carrier free. Suitable for IP, WB, ICC/IF, Flow Cyt (Intra), IHC-P and reacts with Human, Mouse, Rat samples. Cited in 1 publication.

View Alternative Names

Moesin, Membrane-organizing extension spike protein, MSN

9 Images
Flow Cytometry (Intracellular) - Anti-Moesin antibody [EP1863Y] - BSA and Azide free (AB232580)
  • Flow Cyt (Intra)

Unknown

Flow Cytometry (Intracellular) - Anti-Moesin antibody [EP1863Y] - BSA and Azide free (AB232580)

Intracellular Flow Cytometry analysis of HeLa cells labelling Moesin with purified ab52490 at 1/30 (red). Cells were fixed with 4% paraformaldehyde. A FITC-conjugated goat anti-rabbit IgG (1/500) was used as the secondary antibody. Black - Isotype control, rabbit monoclonal IgG. Blue - Unlabelled control, cells without incubation with primary and secondary antibodies.

This data was developed using the same antibody clone in a different buffer formulation containing PBS, BSA, glycerol, and sodium azide (ab52490).

Flow Cytometry (Intracellular) - Anti-Moesin antibody [EP1863Y] - BSA and Azide free (AB232580)
  • Flow Cyt (Intra)

Unknown

Flow Cytometry (Intracellular) - Anti-Moesin antibody [EP1863Y] - BSA and Azide free (AB232580)

Overlay histogram showing HeLa cells stained with unpurified ab52490 (red line). The cells were fixed with 80% methanol (5 min) and then permeabilized with 0.1% PBS-Tween for 20 min. The cells were then incubated in 1x PBS / 10% normal goat serum / 0.3M glycine to block non-specific protein-protein interactions followed by the antibody (ab52490, 1/100 dilution) for 30 min at 22°C. The secondary antibody used was DyLight® 488 goat anti-rabbit IgG (H+L) (ab96899) at 1/500 dilution for 30 min at 22°C. Isotype control antibody (black line) was rabbit IgG (monoclonal) (1μg/1x106 cells) used under the same conditions. Acquisition of >5,000 events was performed.

This data was developed using the same antibody clone in a different buffer formulation containing PBS, BSA, glycerol, and sodium azide (ab52490).

Immunocytochemistry - Anti-Moesin antibody [EP1863Y] - BSA and Azide free (AB232580)
  • ICC

Collaborator

Immunocytochemistry - Anti-Moesin antibody [EP1863Y] - BSA and Azide free (AB232580)

This data was developed using the same antibody clone in a different buffer formulation (ab52490). ab52490 was shown to react with MSN in wild-type HeLa cells in Immunocytochemistry with loss of signal observed in MSN knockout cell line ab265020. Wild-type and knockout cells were mixed and pelleted at a 1 : 1 ratio on coverslips. The cells were fixed with 4% paraformaldehyde (15 min) then permeabilized with 0.1% Triton X-100 (10min) and then blocked with 1/10000. The cells were then incubated with ab52490 at 1/200 dilution overnight at 4°C followed by a further incubation at room temperature for 1h with a goat anti-rabbit secondary antibody to (Alexa Fluor® 555) at 0.5 μg/ml. Acquisition of the green (wild-type), red (antibody staining) and far-red (knockout) channels was performed. Representative grayscale images of the red channel are shown. Wild-type and knockout cells are outlined with yellow and magenta dashed line, respectively. Schematic representation of the mosaic strategy used is shown on the bottom-right panel. Image was acquired with a Zeiss(LSM-880). These data were provided by YCharOS Inc., an open science company with the mission of characterizing commercially available antibody reagents for all human proteins. Abcam and YCharOS are working together to help address the reproducibility crisis by enabling the life science community to better evaluate commercially available antibodies.

Immunocytochemistry/ Immunofluorescence - Anti-Moesin antibody [EP1863Y] - BSA and Azide free (AB232580)
  • ICC/IF

Unknown

Immunocytochemistry/ Immunofluorescence - Anti-Moesin antibody [EP1863Y] - BSA and Azide free (AB232580)

Immunocytochemistry/Immunofluorescence analysis of HeLa (human cervix adenocarcinoma) cells labelling Moesin with purified ab52490 at 1/100. Cells were fixed with 4% paraformaldehyde and permeabilized with 0.1% Triton X-100. ab150077, an Alexa Fluor® 488-conjugated goat anti-rabbit IgG (1/500) was used as the secondary antibody. DAPI (blue) was used as the nuclear counterstain. ab7291, a mouse anti-tubulin (1/1000) and ab150120, an Alexa Fluor® 594-conjugated goat anti-mouse IgG (1/1000) were also used.

Control 1 : primary antibody (1/100) and secondary antibody, ab150120, an Alexa Fluor® 594-conjugated goat anti-mouse IgG (1/500).

Control 2 : ab7291 (1/1000) and secondary antibody, ab150077, an Alexa Fluor® 488-conjugated goat anti-rabbit IgG (1/500).

This data was developed using the same antibody clone in a different buffer formulation containing PBS, BSA, glycerol, and sodium azide (ab52490).

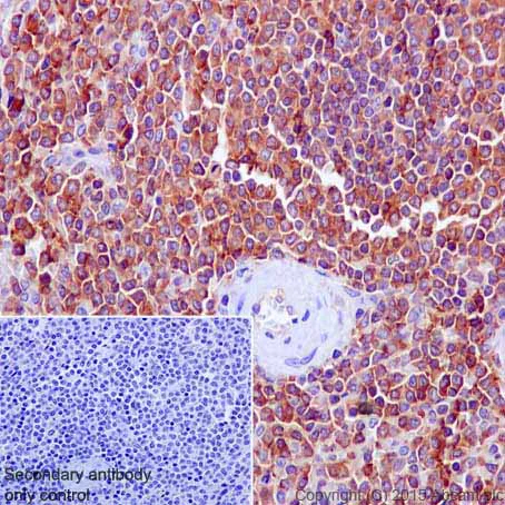
Immunohistochemistry (Formalin/PFA-fixed paraffin-embedded sections) - Anti-Moesin antibody [EP1863Y] - BSA and Azide free (AB232580)
  • IHC-P

Unknown

Immunohistochemistry (Formalin/PFA-fixed paraffin-embedded sections) - Anti-Moesin antibody [EP1863Y] - BSA and Azide free (AB232580)

Immunohistochemistry (Formalin/PFA-fixed paraffin-embedded sections) analysis of human spleen tissue labelling Moesin with purified ab52490 at 1/50. Heat mediated antigen retrieval was performed using Tris/EDTA buffer pH 9. ab97051, a goat anti-rabbit IgG H&L (HRP) was used as the secondary antibody (1/500). Negative control using PBS instead of primary antibody. Counterstained with hematoxylin.This data was developed using the same antibody clone in a different buffer formulation containing PBS, BSA, glycerol, and sodium azide (ab52490).

Immunoprecipitation - Anti-Moesin antibody [EP1863Y] - BSA and Azide free (AB232580)
  • IP

Unknown

Immunoprecipitation - Anti-Moesin antibody [EP1863Y] - BSA and Azide free (AB232580)

ab52490 (purified) at 1/20 immunoprecipitating Moesin in HeLa whole cell lysate. 10 ug of cell lysate was present in the input. For western blotting, a HRP-conjugated Veriblot for IP Detection Reagent (ab131366) (1/10,000) was used for detection. A rabbit monoclonal IgG (ab172730) was used intead of ab128913 as a negative control (Lane 3).

Blocking buffer and concentration : 5% NFDM/TBST.

Diluting buffer and concentration : 5% NFDM /TBST.

This data was developed using the same antibody clone in a different buffer formulation containing PBS, BSA, glycerol, and sodium azide (ab52490).

All lanes:

Immunoprecipitation - Anti-Moesin antibody [EP1863Y] (<a href='/en-us/products/primary-antibodies/moesin-antibody-ep1863y-ab52490'>ab52490</a>)

Predicted band size: 68 kDa

false

Western blot - Anti-Moesin antibody [EP1863Y] - BSA and Azide free (AB232580)
  • WB

Supplier Data

Western blot - Anti-Moesin antibody [EP1863Y] - BSA and Azide free (AB232580)

Lanes 1 - 4 : Merged signal (red and green). Green - ab52490 observed at 75 kDa. Red - loading control, ab9484, observed at 37 kDa.

ab52490 was shown to specifically react with Moesin in wild-type HAP1 cells as signal was lost in Moesin knockout cells. Wild-type and Moesin knockout samples were subjected to SDS-PAGE. ab52490 and ab9484 (Mouse anti-GAPDH loading control) were incubated overnight at 4°C at 1/1,000 dilution and 1/20,000 dilution respectively. Blots were developed with Goat anti-Rabbit IgG H&L (IRDye® 800CW) preabsorbed ab216773 and Goat anti-Mouse IgG H&L (IRDye® 680RD) preabsorbed ab216776 secondary antibodies at 1/20,000 dilution for 1 hour at room temperature before imaging.

This data was developed using the same antibody clone in a different buffer formulation containing PBS, BSA, glycerol, and sodium azide (ab52490).

All lanes:

Western blot - Anti-Moesin antibody [EP1863Y] - BSA and Azide free (ab232580) at 1/1000 dilution

Lane 1:

Wild-type HAP1 whole cell lysate at 20 µg

Lane 2:

Moesin knockout HAP1 whole cell lysate at 20 µg

Lane 3:

HeLa whole cell lysate at 20 µg

Lane 4:

Raji whole cell lysate at 20 µg

Predicted band size: 68 kDa

false

Western blot - Anti-Moesin antibody [EP1863Y] - BSA and Azide free (AB232580)
  • WB

Lab

Western blot - Anti-Moesin antibody [EP1863Y] - BSA and Azide free (AB232580)

This data was developed using the same antibody clone in a different buffer formulation containing PBS, BSA, glycerol, and sodium azide (ab52490).

False colour image of Western blot : Anti-Moesin antibody [EP1863Y] staining at 1/1000 dilution, shown in green; Mouse anti-GAPDH antibody [6C5] (ab8245) loading control staining at 1/20000 dilution, shown in red. In Western blot, ab52490 was shown to bind specifically to Moesin. A band was observed at 75 kDa in wild-type HeLa cell lysates with no signal observed at this size in MSN knockout cell line ab265020 (knockout cell lysate ab257542). To generate this image, wild-type and MSN knockout HeLa cell lysates were analysed. First, samples were run on an SDS-PAGE gel then transferred onto a nitrocellulose membrane. Membranes were blocked in 3 % milk in TBS-0.1 % Tween® 20 (TBS-T) before incubation with primary antibodies overnight at 4 °C. Blots were washed four times in TBS-T, incubated with secondary antibodies for 1 h at room temperature, washed again four times then imaged. Secondary antibodies used were Goat anti-Rabbit IgG H&L (IRDye® 800CW) preabsorbed (ab216773) and Goat anti-Mouse IgG H&L (IRDye® 680RD) preabsorbed (ab216776) at 1/20000 dilution.

All lanes:

Western blot - Anti-Moesin antibody [EP1863Y] (<a href='/en-us/products/primary-antibodies/moesin-antibody-ep1863y-ab52490'>ab52490</a>) at 1/1000 dilution

Lane 1:

Wild-type HeLa cell lysate at 20 µg

Lane 2:

MSN knockout HeLa cell lysate at 20 µg

Lane 2:

Western blot - Human MSN (Moesin) knockout HeLa cell line (<a href='/en-us/products/cell-lines/human-msn-moesin-knockout-hela-cell-line-ab265020'>ab265020</a>)

Predicted band size: 68 kDa

Observed band size: 75 kDa

false

Western blot - Anti-Moesin antibody [EP1863Y] - BSA and Azide free (AB232580)
  • WB

Collaborator

Western blot - Anti-Moesin antibody [EP1863Y] - BSA and Azide free (AB232580)

This data was developed using the same antibody in a different buffer formulation (ab52490).

ab52490 was shown to react with MSN in wild-type HeLa cells in Western blot with loss of signal observed in MSN knockout cell line ab265020 (MSN knockout cell lysate ab257542). Wild-type HeLa and MSN knockout cell lysates were subjected to SDS-PAGE. Membranes were blocked in 5% milk in TBST for 1 hr before incubation with ab52490 overnight at 4 °C at a 1/1000 dilution. Blots were incubated with goat anti-rabbit HRP secondary antibodies at 0.2ug/mL before imaging. These data were provided by YCharOS Inc., an open science company with the mission of characterizing commercially available antibody reagents for all human proteins. Abcam and YCharOS are working together to help address the reproducibility crisis by enabling the life science community to better evaluate commercially available antibodies.

All lanes:

Western blot - Anti-Moesin antibody [EP1863Y] (<a href='/en-us/products/primary-antibodies/moesin-antibody-ep1863y-ab52490'>ab52490</a>) at 1/1000 dilution

Lane 1:

Wild-type HeLa cell lysate at 20 µg

Lane 2:

MSN knockout HeLa cell lysate at 20 µg

Lane 2:

Western blot - Human MSN (Moesin) knockout HeLa cell line (<a href='/en-us/products/cell-lines/human-msn-moesin-knockout-hela-cell-line-ab265020'>ab265020</a>)

Predicted band size: 68 kDa

false

  • Unconjugated

    Anti-Moesin antibody [EP1863Y]

  • 578 PE

    PE Anti-Moesin antibody [EP1863Y]

  • HRP

    HRP Anti-Moesin antibody [EP1863Y]

  • 665 Alexa Fluor® 647

    Alexa Fluor® 647 Anti-Moesin antibody [EP1863Y]

Key facts

Host species

Rabbit

Clonality

Monoclonal

Clone number

EP1863Y

Isotype

IgG

Carrier free

Yes

Reacts with

Mouse, Rat, Human

Applications

IHC-P, Flow Cyt (Intra), IP, ICC/IF, WB

applications

Immunogen

The exact immunogen used to generate this antibody is proprietary information.

Reactivity data

{ "title": "Reactivity Data", "filters": { "stats": ["", "Species", "Dilution Info", "Notes"], "tabs": { "all-applications": {"fullname" : "All Applications", "shortname": "All Applications"}, "IP" : {"fullname" : "Immunoprecipitation", "shortname":"IP"}, "WB" : {"fullname" : "Western blot", "shortname":"WB"}, "ICCIF" : {"fullname" : "Immunocytochemistry/ Immunofluorescence", "shortname":"ICC/IF"}, "FlowCytIntra" : {"fullname" : "Flow Cytometry (Intracellular)", "shortname":"Flow Cyt (Intra)"}, "IHCP" : {"fullname" : "Immunohistochemistry (Formalin/PFA-fixed paraffin-embedded sections)", "shortname":"IHC-P"} }, "product-promise": { "all": "all", "testedAndGuaranteed": "tested", "guaranteed": "expected", "predicted": "predicted", "notRecommended": "not-recommended" } }, "values": { "Human": { "IP-species-checked": "testedAndGuaranteed", "IP-species-dilution-info": "", "IP-species-notes": "<p></p>", "WB-species-checked": "testedAndGuaranteed", "WB-species-dilution-info": "", "WB-species-notes": "<p></p>", "ICCIF-species-checked": "testedAndGuaranteed", "ICCIF-species-dilution-info": "", "ICCIF-species-notes": "<p></p>", "FlowCytIntra-species-checked": "testedAndGuaranteed", "FlowCytIntra-species-dilution-info": "", "FlowCytIntra-species-notes": "<p></p>", "IHCP-species-checked": "testedAndGuaranteed", "IHCP-species-dilution-info": "", "IHCP-species-notes": "<p></p>" }, "Mouse": { "IP-species-checked": "guaranteed", "IP-species-dilution-info": "", "IP-species-notes": "", "WB-species-checked": "testedAndGuaranteed", "WB-species-dilution-info": "", "WB-species-notes": "<p></p>", "ICCIF-species-checked": "guaranteed", "ICCIF-species-dilution-info": "", "ICCIF-species-notes": "", "FlowCytIntra-species-checked": "guaranteed", "FlowCytIntra-species-dilution-info": "", "FlowCytIntra-species-notes": "", "IHCP-species-checked": "guaranteed", "IHCP-species-dilution-info": "", "IHCP-species-notes": "" }, "Rat": { "IP-species-checked": "guaranteed", "IP-species-dilution-info": "", "IP-species-notes": "", "WB-species-checked": "testedAndGuaranteed", "WB-species-dilution-info": "", "WB-species-notes": "<p></p>", "ICCIF-species-checked": "guaranteed", "ICCIF-species-dilution-info": "", "ICCIF-species-notes": "", "FlowCytIntra-species-checked": "guaranteed", "FlowCytIntra-species-dilution-info": "", "FlowCytIntra-species-notes": "", "IHCP-species-checked": "guaranteed", "IHCP-species-dilution-info": "", "IHCP-species-notes": "" } } }

Product details

ab232580 is the carrier-free version of ab52490.

Patented technology
Our RabMAb® technology is a patented hybridoma-based technology for making rabbit monoclonal antibodies. For details on our patents, please refer to RabMAb® patents.

What are the advantages of a recombinant monoclonal antibody?
This product is a recombinant monoclonal antibody, which offers several advantages including:

  • - High batch-to-batch consistency and reproducibility
  • - Improved sensitivity and specificity
  • - Long-term security of supply
  • - Animal-free batch production

For more information, read more on recombinant antibodies.

Conjugation ready
Our carrier-free antibodies are typically supplied in a PBS-only formulation, purified and free of BSA, sodium azide and glycerol. This conjugation-ready format is designed for use with fluorochromes, metal isotopes, oligonucleotides, and enzymes, which makes them ideal for antibody labelling, functional and cell-based assays, flow-based assays (e.g. mass cytometry) and Multiplex Imaging applications.

Use our conjugation kits for antibody conjugates that are ready-to-use in as little as 20 minutes with 1 minute hands-on-time and 100% antibody recovery: available for fluorescent dyes, HRP, biotin and gold.

Compatibility
This product is compatible with the Maxpar® Antibody Labeling Kit from Fluidigm, without the need for antibody preparation. Maxpar® is a trademark of Fluidigm Canada Inc.

Properties and storage information

Form
Liquid
Purification technique
Affinity purification Protein A
Storage buffer
pH: 7.2 - 7.4 Constituents: PBS
Shipped at conditions
Blue Ice
Appropriate short-term storage conditions
+4°C
Appropriate long-term storage conditions
+4°C
Storage information
Do Not Freeze

Supplementary information

This supplementary information is collated from multiple sources and compiled automatically.

Moesin also known as MSN or moesin protein is part of the ERM (ezrin radixin moesin) family which links the actin cytoskeleton to the plasma membrane. It weighs around 68 kDa. This protein is widely expressed in various tissues notably in endothelial cells and other cells with high cytoskeletal dynamics. Moesin plays an essential role in maintaining cell shape polarity and enabling cellular processes like migration and adhesion.
Biological function summary

This protein serves as a crosslinker between the plasma membrane and the actin cytoskeleton influencing signal transduction pathways. Moesin participates significantly in cellular processes like cytokinesis and microvilli formation by binding actin filaments. It is part of several functional complexes ensuring proper cytoskeletal organization and cellular dynamics. Moesin's interactions with other proteins like Rho GTPases regulate its functions aiding cellular morphology and polarity.

Pathways

Moesin is actively involved in the RhoA-ROCK pathway. This pathway is fundamental to actin cytoskeletal reorganization and cell contraction. Moesin interacts with proteins such as radixin and ezrin ensuring cohesion in cytoskeletal rearrangements. Through these interactions Moesin contributes to cell motility and various signaling cascades necessary for cellular responses.

Moesin is associated with conditions such as cancer and immune system disorders. Aberrant expression of moesin can contribute to enhanced cellular migration and invasion which are mechanisms seen in cancer metastasis. Moesin's interaction with proteins like ezrin in cancer progression has been documented. Also in immune disorders altered moesin activity can affect leukocyte transmigration disrupting efficient immune responses.

Product protocols

For this product, it's our understanding that no specific protocols are required. You can visit:

Target data

Ezrin-radixin-moesin (ERM) family protein that connects the actin cytoskeleton to the plasma membrane and thereby regulates the structure and function of specific domains of the cell cortex. Tethers actin filaments by oscillating between a resting and an activated state providing transient interactions between moesin and the actin cytoskeleton (PubMed : 10212266). Once phosphorylated on its C-terminal threonine, moesin is activated leading to interaction with F-actin and cytoskeletal rearrangement (PubMed : 10212266). These rearrangements regulate many cellular processes, including cell shape determination, membrane transport, and signal transduction (PubMed : 12387735, PubMed : 15039356). The role of moesin is particularly important in immunity acting on both T and B-cells homeostasis and self-tolerance, regulating lymphocyte egress from lymphoid organs (PubMed : 9298994, PubMed : 9616160). Modulates phagolysosomal biogenesis in macrophages (By similarity). Participates also in immunologic synapse formation (PubMed : 27405666).
See full target information Moesin

Publications (1)

Recent publications for all applications. Explore the full list and refine your search

European journal of histochemistry : EJH 68: PubMed39037153

2024

Identification of mechanism of the oncogenic role of FGFR1 in papillary thyroid carcinoma.

Applications

Unspecified application

Species

Unspecified reactive species

Xiong Bing Li,Jia Li Li,Chao Wang,Yong Zhang,Jing Li
View all publications

Product promise

We are committed to supporting your work with high-quality reagents, and we're here for you every step of the way. In the unlikely event that one of our products does not perform as expected, you're protected by our Product Promise.
For full details, please see our Terms & Conditions

Please note: All products are 'FOR RESEARCH USE ONLY. NOT FOR USE IN DIAGNOSTIC OR THERAPEUTIC PROCEDURES'.

For licensing inquiries, please contact partnerships@abcam.com