JavaScript is disabled in your browser. Please enable JavaScript to view this website.
AB246835

Anti-Moesin antibody [EPR2428(2)] - BSA and Azide free

Be the first to review this product! Submit a review

|

(1 Publication)

Rabbit Recombinant Monoclonal Moesin antibody. Carrier free. Suitable for IHC-P, ICC/IF, IP, WB and reacts with Human samples. Cited in 1 publication.

View Alternative Names

Moesin, Membrane-organizing extension spike protein, MSN

8 Images
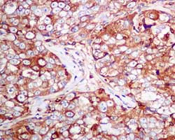
Immunohistochemistry (Formalin/PFA-fixed paraffin-embedded sections) - Anti-Moesin antibody [EPR2428(2)] - BSA and Azide free (AB246835)
  • IHC-P

Unknown

Immunohistochemistry (Formalin/PFA-fixed paraffin-embedded sections) - Anti-Moesin antibody [EPR2428(2)] - BSA and Azide free (AB246835)

This data was developed using ab151542, the same antibody clone in a different buffer formulation.

Immunohistochemical analysis of paraffin-embedded Human breast carcinoma tissue labeling Moesin with ab151542 at 1/100 dilution.

Perform heat mediated antigen retrieval with citrate buffer pH 6 before commencing with IHC staining protocol.

Immunocytochemistry/ Immunofluorescence - Anti-Moesin antibody [EPR2428(2)] - BSA and Azide free (AB246835)
  • ICC/IF

Unknown

Immunocytochemistry/ Immunofluorescence - Anti-Moesin antibody [EPR2428(2)] - BSA and Azide free (AB246835)

This data was developed using ab151542, the same antibody clone in a different buffer formulation.Immunofluorescent analysis of Raji cells labeling Moesin with ab151542 at 1/100 dilution.

Immunocytochemistry/ Immunofluorescence - Anti-Moesin antibody [EPR2428(2)] - BSA and Azide free (AB246835)
  • ICC/IF

Collaborator

Immunocytochemistry/ Immunofluorescence - Anti-Moesin antibody [EPR2428(2)] - BSA and Azide free (AB246835)

This data was developed using the same antibody clone in a different buffer formulation (ab151542). ab151542 was shown to react with MSN in wild-type HeLa cells in Immunocytochemistry with loss of signal observed in MSN knockout cell line ab265020. Wild-type and knockout cells were mixed and pelleted at a 1 : 1 ratio on coverslips. The cells were fixed with 4% paraformaldehyde (15 min) then permeabilized with 0.1% Triton X-100 (10min) and then blocked with 1/10000. The cells were then incubated with ab151542 at 1/200; signal ok dilution overnight at 4°C followed by a further incubation at room temperature for 1h with a goat anti-rabbit secondary antibody to (Alexa Fluor® 555) at 0.5 μg/ml. Acquisition of the green (wild-type), red (antibody staining) and far-red (knockout) channels was performed. Representative grayscale images of the red channel are shown. Wild-type and knockout cells are outlined with yellow and magenta dashed line, respectively. Schematic representation of the mosaic strategy used is shown on the bottom-right panel. Image was acquired with a Zeiss(LSM-880). These data were provided by YCharOS Inc., an open science company with the mission of characterizing commercially available antibody reagents for all human proteins. Abcam and YCharOS are working together to help address the reproducibility crisis by enabling the life science community to better evaluate commercially available antibodies.

Immunoprecipitation - Anti-Moesin antibody [EPR2428(2)] - BSA and Azide free (AB246835)
  • IP

Collaborator

Immunoprecipitation - Anti-Moesin antibody [EPR2428(2)] - BSA and Azide free (AB246835)

This data was developed using the same antibody clone in a different buffer formulation (ab246835). Immunoprecipitation of MSN in HeLa cells. Lysates were prepared and immunoprecipitation was performed using 1.0 μg of ab151542 pre-coupled to prot.A-Sepharose beads. Samples were washed and processed for western blot with ab169789 at 1/10000. SM=10% starting material; UB=10% unbound fraction; IP=immunoprecipitate. These data were provided by YCharOS Inc., an open science company with the mission of characterizing commercially available antibody reagents for all human proteins. Abcam and YCharOS are working together to help address the reproducibility crisis by enabling the life science community to better evaluate commercially available antibodies.

All lanes:

Immunoprecipitation - Anti-Moesin antibody [EPR2428(2)] (<a href='/en-us/products/primary-antibodies/moesin-antibody-epr24282-ab151542'>ab151542</a>)

Predicted band size: 68 kDa

false

Western blot - Anti-Moesin antibody [EPR2428(2)] - BSA and Azide free (AB246835)
  • WB

Lab

Western blot - Anti-Moesin antibody [EPR2428(2)] - BSA and Azide free (AB246835)

This data was developed using ab151542, the same antibody clone in a different buffer formulation.

Lane 1 : Wild-type HAP1 whole cell lysate (20 μg)

Lane 2 : Moesin knockout HAP1 whole cell lysate (20 μg)

Lane 3 : HeLa whole cell lysate (20 μg)

Lane 4 : Raji whole cell lysate (20 μg)

Lanes 1 - 4 : Merged signal (red and green). Green - ab151542 observed at 75 kDa. Red - loading control, ab9484, observed at 37 kDa.

ab151542 was shown to specifically react with Moesin in wild-type HAP1 cells as signal was lost in Moesin knockout cells. Wild-type and Moesin knockout samples were subjected to SDS-PAGE. ab151542 and ab9484 (Mouse anti-GAPDH loading control) were incubated overnight at 4°C at 1/1000 dilution and 1/20000 dilution respectively. Blots were developed with Goat anti-Rabbit IgG H&L (IRDye® 800CW) preabsorbed ab216773 and Goat anti-Mouse IgG H&L (IRDye® 680RD) preabsorbed ab216776 secondary antibodies at 1/20000 dilution for 1 hour at room temperature before imaging.

All lanes:

Western blot - Anti-Moesin antibody [EPR2428(2)] (<a href='/en-us/products/primary-antibodies/moesin-antibody-epr24282-ab151542'>ab151542</a>)

Predicted band size: 68 kDa

false

Western blot - Anti-Moesin antibody [EPR2428(2)] - BSA and Azide free (AB246835)
  • WB

Lab

Western blot - Anti-Moesin antibody [EPR2428(2)] - BSA and Azide free (AB246835)

This data was developed using ab151542, the same antibody clone in a different buffer formulation.

False colour image of Western blot : Anti-Moesin antibody [EPR2428(2)] staining at 2 μg/ml, shown in green; Mouse anti-GAPDH antibody [6C5] (ab8245) loading control staining at 1/20000 dilution, shown in red. In Western blot, ab151542 was shown to bind specifically to Moesin. A band was observed at 75 kDa in wild-type HeLa cell lysates with no signal observed at this size in MSN knockout cell line ab265020 (knockout cell lysate ab257542). To generate this image, wild-type and MSN knockout HeLa cell lysates were analysed. First, samples were run on an SDS-PAGE gel then transferred onto a nitrocellulose membrane. Membranes were blocked in 3 % milk in TBS-0.1 % Tween® 20 (TBS-T) before incubation with primary antibodies overnight at 4 °C. Blots were washed four times in TBS-T, incubated with secondary antibodies for 1 h at room temperature, washed again four times then imaged. Secondary antibodies used were Goat anti-Rabbit IgG H&L (IRDye® 800CW) preabsorbed (ab216773) and Goat anti-Mouse IgG H&L (IRDye® 680RD) preabsorbed (ab216776) at 1/20000 dilution.

All lanes:

Western blot - Anti-Moesin antibody [EPR2428(2)] (<a href='/en-us/products/primary-antibodies/moesin-antibody-epr24282-ab151542'>ab151542</a>) at 2 µg/mL

Lane 1:

Wild-type HeLa cell lysate at 20 µg

Lane 2:

MSN knockout HeLa cell lysate at 20 µg

Lane 2:

Western blot - Human MSN (Moesin) knockout HeLa cell line (<a href='/en-us/products/cell-lines/human-msn-moesin-knockout-hela-cell-line-ab265020'>ab265020</a>)

Predicted band size: 68 kDa

Observed band size: 75 kDa

false

Western blot - Anti-Moesin antibody [EPR2428(2)] - BSA and Azide free (AB246835)
  • WB

Collaborator

Western blot - Anti-Moesin antibody [EPR2428(2)] - BSA and Azide free (AB246835)

This data was developed using the same antibody in a different buffer formulation (ab151542).

ab151542 was shown to react with MSN in wild-type HeLa cells in Western blot with loss of signal observed in MSN knockout cell line ab265020 (MSN knockout cell lysate ab257542). Wild-type HeLa and MSN knockout cell lysates were subjected to SDS-PAGE. Membranes were blocked in 5% milk in TBST for 1 hr before incubation with ab151542 overnight at 4 °C at a 1/1000 dilution. Blots were incubated with goat anti-rabbit HRP secondary antibodies at 0.2ug/mL before imaging. These data were provided by YCharOS Inc., an open science company with the mission of characterizing commercially available antibody reagents for all human proteins. Abcam and YCharOS are working together to help address the reproducibility crisis by enabling the life science community to better evaluate commercially available antibodies.

All lanes:

Western blot - Anti-Moesin antibody [EPR2428(2)] (<a href='/en-us/products/primary-antibodies/moesin-antibody-epr24282-ab151542'>ab151542</a>) at 1/1000 dilution

Lane 1:

Wild-type HeLa cell lysate at 20 µg

Lane 2:

MSN knockout HeLa cell lysate at 20 µg

Lane 2:

Western blot - Human MSN (Moesin) knockout HeLa cell line (<a href='/en-us/products/cell-lines/human-msn-moesin-knockout-hela-cell-line-ab265020'>ab265020</a>)

Predicted band size: 68 kDa

false

Western blot - Anti-Moesin antibody [EPR2428(2)] - BSA and Azide free (AB246835)
  • WB

Unknown

Western blot - Anti-Moesin antibody [EPR2428(2)] - BSA and Azide free (AB246835)

This data was developed using ab151542, the same antibody clone in a different buffer formulation.

All lanes:

Western blot - Anti-Moesin antibody [EPR2428(2)] (<a href='/en-us/products/primary-antibodies/moesin-antibody-epr24282-ab151542'>ab151542</a>) at 1/1000 dilution

Lane 1:

Raji cell lysate at 10 µg

Lane 2:

Jurkat cell lysate at 10 µg

Lane 3:

HeLa cell lysate at 10 µg

Secondary

All lanes:

Goat anti-rabbit HRP at 1/2000 dilution

Predicted band size: 68 kDa

false

Key facts

Host species

Rabbit

Clonality

Monoclonal

Clone number

EPR2428(2)

Isotype

IgG

Carrier free

Yes

Reacts with

Human

Applications

ICC/IF, IP, IHC-P, WB

applications

Immunogen

The exact immunogen used to generate this antibody is proprietary information.

Reactivity data

{ "title": "Reactivity Data", "filters": { "stats": ["", "Species", "Dilution Info", "Notes"], "tabs": { "all-applications": {"fullname" : "All Applications", "shortname": "All Applications"}, "IHCP" : {"fullname" : "Immunohistochemistry (Formalin/PFA-fixed paraffin-embedded sections)", "shortname":"IHC-P"}, "ICCIF" : {"fullname" : "Immunocytochemistry/ Immunofluorescence", "shortname":"ICC/IF"}, "IP" : {"fullname" : "Immunoprecipitation", "shortname":"IP"}, "FlowCyt" : {"fullname" : "Flow Cytometry", "shortname":"Flow Cyt"}, "WB" : {"fullname" : "Western blot", "shortname":"WB"} }, "product-promise": { "all": "all", "testedAndGuaranteed": "tested", "guaranteed": "expected", "predicted": "predicted", "notRecommended": "not-recommended" } }, "values": { "Human": { "IHCP-species-checked": "testedAndGuaranteed", "IHCP-species-dilution-info": "", "IHCP-species-notes": "<p></p>", "ICCIF-species-checked": "testedAndGuaranteed", "ICCIF-species-dilution-info": "", "ICCIF-species-notes": "<p></p>", "IP-species-checked": "testedAndGuaranteed", "IP-species-dilution-info": "", "IP-species-notes": "<p></p>", "FlowCyt-species-checked": "notRecommended", "FlowCyt-species-dilution-info": "", "FlowCyt-species-notes": "<p></p>", "WB-species-checked": "testedAndGuaranteed", "WB-species-dilution-info": "", "WB-species-notes": "<p></p>" }, "Mouse": { "IHCP-species-checked": "predicted", "IHCP-species-dilution-info": "", "IHCP-species-notes": "", "ICCIF-species-checked": "predicted", "ICCIF-species-dilution-info": "", "ICCIF-species-notes": "", "IP-species-checked": "predicted", "IP-species-dilution-info": "", "IP-species-notes": "", "FlowCyt-species-checked": "notRecommended", "FlowCyt-species-dilution-info": "", "FlowCyt-species-notes": "", "WB-species-checked": "predicted", "WB-species-dilution-info": "", "WB-species-notes": "" }, "Rat": { "IHCP-species-checked": "predicted", "IHCP-species-dilution-info": "", "IHCP-species-notes": "", "ICCIF-species-checked": "predicted", "ICCIF-species-dilution-info": "", "ICCIF-species-notes": "", "IP-species-checked": "predicted", "IP-species-dilution-info": "", "IP-species-notes": "", "FlowCyt-species-checked": "notRecommended", "FlowCyt-species-dilution-info": "", "FlowCyt-species-notes": "", "WB-species-checked": "predicted", "WB-species-dilution-info": "", "WB-species-notes": "" } } }

Product details

ab246835 is the carrier-free version of ab151542.

Patented technology
Our RabMAb® technology is a patented hybridoma-based technology for making rabbit monoclonal antibodies. For details on our patents, please refer to RabMAb® patents.

What are the advantages of a recombinant monoclonal antibody?
This product is a recombinant monoclonal antibody, which offers several advantages including:

  • - High batch-to-batch consistency and reproducibility
  • - Improved sensitivity and specificity
  • - Long-term security of supply
  • - Animal-free batch production

For more information, read more on recombinant antibodies.

Conjugation ready
Our carrier-free antibodies are typically supplied in a PBS-only formulation, purified and free of BSA, sodium azide and glycerol. This conjugation-ready format is designed for use with fluorochromes, metal isotopes, oligonucleotides, and enzymes, which makes them ideal for antibody labelling, functional and cell-based assays, flow-based assays (e.g. mass cytometry) and Multiplex Imaging applications.

Use our conjugation kits for antibody conjugates that are ready-to-use in as little as 20 minutes with 1 minute hands-on-time and 100% antibody recovery: available for fluorescent dyes, HRP, biotin and gold.

Compatibility
This product is compatible with the Maxpar® Antibody Labeling Kit from Fluidigm, without the need for antibody preparation. Maxpar® is a trademark of Fluidigm Canada Inc.

Properties and storage information

Form
Liquid
Purification technique
Affinity purification Protein A
Storage buffer
pH: 7.2 - 7.4 Constituents: PBS
Shipped at conditions
Blue Ice
Appropriate short-term storage conditions
+4°C
Appropriate long-term storage conditions
+4°C
Storage information
Do Not Freeze

Supplementary information

This supplementary information is collated from multiple sources and compiled automatically.

Moesin also known as MSN or moesin protein is part of the ERM (ezrin radixin moesin) family which links the actin cytoskeleton to the plasma membrane. It weighs around 68 kDa. This protein is widely expressed in various tissues notably in endothelial cells and other cells with high cytoskeletal dynamics. Moesin plays an essential role in maintaining cell shape polarity and enabling cellular processes like migration and adhesion.
Biological function summary

This protein serves as a crosslinker between the plasma membrane and the actin cytoskeleton influencing signal transduction pathways. Moesin participates significantly in cellular processes like cytokinesis and microvilli formation by binding actin filaments. It is part of several functional complexes ensuring proper cytoskeletal organization and cellular dynamics. Moesin's interactions with other proteins like Rho GTPases regulate its functions aiding cellular morphology and polarity.

Pathways

Moesin is actively involved in the RhoA-ROCK pathway. This pathway is fundamental to actin cytoskeletal reorganization and cell contraction. Moesin interacts with proteins such as radixin and ezrin ensuring cohesion in cytoskeletal rearrangements. Through these interactions Moesin contributes to cell motility and various signaling cascades necessary for cellular responses.

Moesin is associated with conditions such as cancer and immune system disorders. Aberrant expression of moesin can contribute to enhanced cellular migration and invasion which are mechanisms seen in cancer metastasis. Moesin's interaction with proteins like ezrin in cancer progression has been documented. Also in immune disorders altered moesin activity can affect leukocyte transmigration disrupting efficient immune responses.

Product protocols

For this product, it's our understanding that no specific protocols are required. You can visit:

Target data

Ezrin-radixin-moesin (ERM) family protein that connects the actin cytoskeleton to the plasma membrane and thereby regulates the structure and function of specific domains of the cell cortex. Tethers actin filaments by oscillating between a resting and an activated state providing transient interactions between moesin and the actin cytoskeleton (PubMed : 10212266). Once phosphorylated on its C-terminal threonine, moesin is activated leading to interaction with F-actin and cytoskeletal rearrangement (PubMed : 10212266). These rearrangements regulate many cellular processes, including cell shape determination, membrane transport, and signal transduction (PubMed : 12387735, PubMed : 15039356). The role of moesin is particularly important in immunity acting on both T and B-cells homeostasis and self-tolerance, regulating lymphocyte egress from lymphoid organs (PubMed : 9298994, PubMed : 9616160). Modulates phagolysosomal biogenesis in macrophages (By similarity). Participates also in immunologic synapse formation (PubMed : 27405666).
See full target information Moesin

Publications (1)

Recent publications for all applications. Explore the full list and refine your search

Alzheimer's & dementia : the journal of the Alzheimer's Association 20:8758-8768 PubMed39439289

2024

Microscopy assessment of a fluorescence [F] flortaucipir analog (T726) shows neuropathological overlap with 3R and 4R tau lesions.

Applications

Unspecified application

Species

Unspecified reactive species

Rodolfo G Gatto,Youssef Hossam,R Ross Reichard,Val J Lowe,Jennifer L Whitwell,Keith A Josephs
View all publications

Product promise

We are committed to supporting your work with high-quality reagents, and we're here for you every step of the way. In the unlikely event that one of our products does not perform as expected, you're protected by our Product Promise.
For full details, please see our Terms & Conditions

Please note: All products are 'FOR RESEARCH USE ONLY. NOT FOR USE IN DIAGNOSTIC OR THERAPEUTIC PROCEDURES'.

For licensing inquiries, please contact partnerships@abcam.com