JavaScript is disabled in your browser. Please enable JavaScript to view this website.
AB246834

Anti-Moesin (phospho T558) antibody [EPR2371(2)] - BSA and Azide free

Be the first to review this product! Submit a review

|

(0 Publication)

Rabbit Recombinant Monoclonal Moesin phospho T558 antibody. Carrier free. Suitable for IHC-P, WB and reacts with Human samples.

View Alternative Names

Moesin, Membrane-organizing extension spike protein, MSN

3 Images
Immunohistochemistry (Formalin/PFA-fixed paraffin-embedded sections) - Anti-Moesin (phospho T558) antibody [EPR2371(2)] - BSA and Azide free (AB246834)
  • IHC-P

Supplier Data

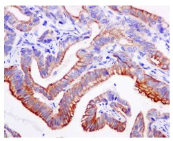
Immunohistochemistry (Formalin/PFA-fixed paraffin-embedded sections) - Anti-Moesin (phospho T558) antibody [EPR2371(2)] - BSA and Azide free (AB246834)

This data was developed using ab177943, the same antibody clone in a different buffer formulation.

Immunohistochemical analysis of paraffin-embedded Human gastric adenocarcinoma tissue labeling Moesin with ab177943 at 1/50 dilution.

Perform heat mediated antigen retrieval before commencing with IHC staining protocol.

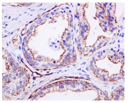
Immunohistochemistry (Formalin/PFA-fixed paraffin-embedded sections) - Anti-Moesin (phospho T558) antibody [EPR2371(2)] - BSA and Azide free (AB246834)
  • IHC-P

Supplier Data

Immunohistochemistry (Formalin/PFA-fixed paraffin-embedded sections) - Anti-Moesin (phospho T558) antibody [EPR2371(2)] - BSA and Azide free (AB246834)

This data was developed using ab177943, the same antibody clone in a different buffer formulation.

Immunohistochemical analysis of paraffin-embedded Human prostate tissue labeling Moesin with ab177943 at 1/50 dilution.

Perform heat mediated antigen retrieval before commencing with IHC staining protocol.

Western blot - Anti-Moesin (phospho T558) antibody [EPR2371(2)] - BSA and Azide free (AB246834)
  • WB

Supplier Data

Western blot - Anti-Moesin (phospho T558) antibody [EPR2371(2)] - BSA and Azide free (AB246834)

This data was developed using ab177943, the same antibody clone in a different buffer formulation.

All lanes:

Western blot - Anti-Moesin (phospho T558) antibody [EPR2371(2)] (<a href='/en-us/products/primary-antibodies/moesin-phospho-t558-antibody-epr23712-ab177943'>ab177943</a>) at 1/1000 dilution

Lane 1:

293T (Human embryonic kidney epithelial cell) cell lysate at 10 µg

Lane 2:

293T cell lysate, treated with Calyculin at 10 µg

Predicted band size: 68 kDa

false

  • Unconjugated

    Anti-Moesin (phospho T558) antibody [EPR2371(2)]

Key facts

Host species

Rabbit

Clonality

Monoclonal

Clone number

EPR2371(2)

Isotype

IgG

Carrier free

Yes

Reacts with

Human

Applications

IHC-P, WB

applications

Immunogen

The exact immunogen used to generate this antibody is proprietary information.

Specificity

This antibody detects Moesin phosphorylated at threonine 558, Ezrin phosphorylated at threonine 567 and Radixin phosphorylated at threonine 564.

Reactivity data

{ "title": "Reactivity Data", "filters": { "stats": ["", "Species", "Dilution Info", "Notes"], "tabs": { "all-applications": {"fullname" : "All Applications", "shortname": "All Applications"}, "IHCP" : {"fullname" : "Immunohistochemistry (Formalin/PFA-fixed paraffin-embedded sections)", "shortname":"IHC-P"}, "ICCIF" : {"fullname" : "Immunocytochemistry/ Immunofluorescence", "shortname":"ICC/IF"}, "IP" : {"fullname" : "Immunoprecipitation", "shortname":"IP"}, "FlowCyt" : {"fullname" : "Flow Cytometry", "shortname":"Flow Cyt"}, "WB" : {"fullname" : "Western blot", "shortname":"WB"} }, "product-promise": { "all": "all", "testedAndGuaranteed": "tested", "guaranteed": "expected", "predicted": "predicted", "notRecommended": "not-recommended" } }, "values": { "Human": { "IHCP-species-checked": "testedAndGuaranteed", "IHCP-species-dilution-info": "", "IHCP-species-notes": "<p></p> Perform heat-mediated antigen retrieval before commencing with IHC staining protocol.", "ICCIF-species-checked": "notRecommended", "ICCIF-species-dilution-info": "", "ICCIF-species-notes": "<p></p>", "IP-species-checked": "notRecommended", "IP-species-dilution-info": "", "IP-species-notes": "<p></p>", "FlowCyt-species-checked": "notRecommended", "FlowCyt-species-dilution-info": "", "FlowCyt-species-notes": "<p></p>", "WB-species-checked": "testedAndGuaranteed", "WB-species-dilution-info": "", "WB-species-notes": "<p></p>" }, "Mouse": { "IHCP-species-checked": "predicted", "IHCP-species-dilution-info": "", "IHCP-species-notes": "", "ICCIF-species-checked": "notRecommended", "ICCIF-species-dilution-info": "", "ICCIF-species-notes": "", "IP-species-checked": "notRecommended", "IP-species-dilution-info": "", "IP-species-notes": "", "FlowCyt-species-checked": "notRecommended", "FlowCyt-species-dilution-info": "", "FlowCyt-species-notes": "", "WB-species-checked": "predicted", "WB-species-dilution-info": "", "WB-species-notes": "" }, "Rat": { "IHCP-species-checked": "predicted", "IHCP-species-dilution-info": "", "IHCP-species-notes": "", "ICCIF-species-checked": "notRecommended", "ICCIF-species-dilution-info": "", "ICCIF-species-notes": "", "IP-species-checked": "notRecommended", "IP-species-dilution-info": "", "IP-species-notes": "", "FlowCyt-species-checked": "notRecommended", "FlowCyt-species-dilution-info": "", "FlowCyt-species-notes": "", "WB-species-checked": "predicted", "WB-species-dilution-info": "", "WB-species-notes": "" } } }

Product details

Properties and storage information

Form
Liquid
Purification technique
Affinity purification Protein A
Storage buffer
pH: 7.2 - 7.4 Constituents: PBS
Shipped at conditions
Blue Ice
Appropriate short-term storage conditions
+4°C
Appropriate long-term storage conditions
+4°C
Storage information
Do Not Freeze

Supplementary information

This supplementary information is collated from multiple sources and compiled automatically.

Moesin also known as MSN or moesin protein is part of the ERM (ezrin radixin moesin) family which links the actin cytoskeleton to the plasma membrane. It weighs around 68 kDa. This protein is widely expressed in various tissues notably in endothelial cells and other cells with high cytoskeletal dynamics. Moesin plays an essential role in maintaining cell shape polarity and enabling cellular processes like migration and adhesion.
Biological function summary

This protein serves as a crosslinker between the plasma membrane and the actin cytoskeleton influencing signal transduction pathways. Moesin participates significantly in cellular processes like cytokinesis and microvilli formation by binding actin filaments. It is part of several functional complexes ensuring proper cytoskeletal organization and cellular dynamics. Moesin's interactions with other proteins like Rho GTPases regulate its functions aiding cellular morphology and polarity.

Pathways

Moesin is actively involved in the RhoA-ROCK pathway. This pathway is fundamental to actin cytoskeletal reorganization and cell contraction. Moesin interacts with proteins such as radixin and ezrin ensuring cohesion in cytoskeletal rearrangements. Through these interactions Moesin contributes to cell motility and various signaling cascades necessary for cellular responses.

Moesin is associated with conditions such as cancer and immune system disorders. Aberrant expression of moesin can contribute to enhanced cellular migration and invasion which are mechanisms seen in cancer metastasis. Moesin's interaction with proteins like ezrin in cancer progression has been documented. Also in immune disorders altered moesin activity can affect leukocyte transmigration disrupting efficient immune responses.

Product protocols

For this product, it's our understanding that no specific protocols are required. You can visit:

Target data

Ezrin-radixin-moesin (ERM) family protein that connects the actin cytoskeleton to the plasma membrane and thereby regulates the structure and function of specific domains of the cell cortex. Tethers actin filaments by oscillating between a resting and an activated state providing transient interactions between moesin and the actin cytoskeleton (PubMed : 10212266). Once phosphorylated on its C-terminal threonine, moesin is activated leading to interaction with F-actin and cytoskeletal rearrangement (PubMed : 10212266). These rearrangements regulate many cellular processes, including cell shape determination, membrane transport, and signal transduction (PubMed : 12387735, PubMed : 15039356). The role of moesin is particularly important in immunity acting on both T and B-cells homeostasis and self-tolerance, regulating lymphocyte egress from lymphoid organs (PubMed : 9298994, PubMed : 9616160). Modulates phagolysosomal biogenesis in macrophages (By similarity). Participates also in immunologic synapse formation (PubMed : 27405666).
See full target information Moesin phospho T558

Product promise

We are committed to supporting your work with high-quality reagents, and we're here for you every step of the way. In the unlikely event that one of our products does not perform as expected, you're protected by our Product Promise.
For full details, please see our Terms & Conditions

Please note: All products are 'FOR RESEARCH USE ONLY. NOT FOR USE IN DIAGNOSTIC OR THERAPEUTIC PROCEDURES'.

For licensing inquiries, please contact partnerships@abcam.com