JavaScript is disabled in your browser. Please enable JavaScript to view this website.
AB154759

Anti-MOK protein kinase antibody

Be the first to review this product! Submit a review

|

(1 Publication)

Rabbit Polyclonal MOK protein kinase antibody. Suitable for IHC-P, WB, ICC/IF and reacts with Human samples. Cited in 1 publication. Immunogen corresponding to Recombinant Fragment Protein within Human MOK aa 100-400.

View Alternative Names

RAGE, RAGE1, MOK, MAPK/MAK/MRK overlapping kinase, MOK protein kinase, Renal tumor antigen 1, RAGE-1

3 Images
Immunohistochemistry (Formalin/PFA-fixed paraffin-embedded sections) - Anti-MOK protein kinase antibody (AB154759)
  • IHC-P

Unknown

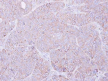
Immunohistochemistry (Formalin/PFA-fixed paraffin-embedded sections) - Anti-MOK protein kinase antibody (AB154759)

Immunohistochemical analysis of paraffin-embedded Human SW480 xenograft tissue labeling MOK protein kinase with ab154759 at 1/100 dilution.

Immunocytochemistry/ Immunofluorescence - Anti-MOK protein kinase antibody (AB154759)
  • ICC/IF

Unknown

Immunocytochemistry/ Immunofluorescence - Anti-MOK protein kinase antibody (AB154759)

Immunofluorescent analysis of methanol-fixed A549 cells labeling MOK protein kinase with ab154759 at 1/100 dilution. Lower image shows cells co-stained with Hoechst 33342.

Western blot - Anti-MOK protein kinase antibody (AB154759)
  • WB

Unknown

Western blot - Anti-MOK protein kinase antibody (AB154759)

10% SDS PAGE

All lanes:

Western blot - Anti-MOK protein kinase antibody (ab154759) at 1/1000 dilution

All lanes:

293T whole cell lysate at 30 µg

Predicted band size: 48 kDa

false

Key facts

Host species

Rabbit

Clonality

Polyclonal

Isotype

IgG

Carrier free

No

Reacts with

Human

Applications

WB, ICC/IF, IHC-P

applications

Immunogen

Recombinant Fragment Protein within Human MOK aa 100-400. The exact immunogen used to generate this antibody is proprietary information.

Q9UQ07

Reactivity data

{ "title": "Reactivity Data", "filters": { "stats": ["", "Species", "Dilution Info", "Notes"], "tabs": { "all-applications": {"fullname" : "All Applications", "shortname": "All Applications"}, "IHCP" : {"fullname" : "Immunohistochemistry (Formalin/PFA-fixed paraffin-embedded sections)", "shortname":"IHC-P"}, "WB" : {"fullname" : "Western blot", "shortname":"WB"}, "ICCIF" : {"fullname" : "Immunocytochemistry/ Immunofluorescence", "shortname":"ICC/IF"} }, "product-promise": { "all": "all", "testedAndGuaranteed": "tested", "guaranteed": "expected", "predicted": "predicted", "notRecommended": "not-recommended" } }, "values": { "Human": { "IHCP-species-checked": "testedAndGuaranteed", "IHCP-species-dilution-info": "1/100 - 1/1000", "IHCP-species-notes": "<p></p> Perform heat-mediated antigen retrieval with citrate buffer pH 6 before commencing with IHC staining protocol.", "WB-species-checked": "testedAndGuaranteed", "WB-species-dilution-info": "1/500 - 1/3000", "WB-species-notes": "<p></p>", "ICCIF-species-checked": "testedAndGuaranteed", "ICCIF-species-dilution-info": "1/100 - 1/1000", "ICCIF-species-notes": "<p></p>" }, "Rat": { "IHCP-species-checked": "predicted", "IHCP-species-dilution-info": "", "IHCP-species-notes": "", "WB-species-checked": "predicted", "WB-species-dilution-info": "", "WB-species-notes": "", "ICCIF-species-checked": "predicted", "ICCIF-species-dilution-info": "", "ICCIF-species-notes": "" } } }

Properties and storage information

Form
Liquid
Purification technique
Affinity purification Immunogen
Storage buffer
pH: 7 Preservative: 0.01% Thimerosal (merthiolate) Constituents: 10% Glycerol (glycerin, glycerine), 1.21% Tris, 0.75% Glycine
Shipped at conditions
Blue Ice
Appropriate short-term storage conditions
+4°C
Appropriate long-term storage conditions
-20°C
Aliquoting information
Upon delivery aliquot
Storage information
Avoid freeze / thaw cycle

Supplementary information

This supplementary information is collated from multiple sources and compiled automatically.

MOK protein kinase also known as RAGE or MAPK15 belongs to the MAP kinase family and shows a molecular mass of approximately 65 kDa. This protein undergoes expression mainly within testis and prostate tissues but presence occurs in smaller amounts in other tissues like kidney and lung. MOK carries out functions by phosphorylating various substrates impacting signaling pathways that regulate cellular outcomes. As part of the regulatory protein kinase family MOK shows interactions with multiple downstream elements demonstrating its versatile role in cellular systems.
Biological function summary

MOK protein kinase influences processes like cellular differentiation proliferation and apoptosis. Although not specifically part of a larger complex it interacts with other protein kinases indicating a role in signal transduction. MOK contributes to the fine-tuning of cellular responses impacting how cells react to different stimuli by modulating key regulatory proteins. Through its effects on substrate proteins MOK influences critical cellular activities highlighting its importance in maintaining cellular functions.

Pathways

MOK protein kinase participates in the MAPK signaling pathway a significant influencer of cellular responses to external stimuli. Through this pathway MOK interacts with proteins like ERK and JNK modulating cellular responses to diverse stressors. Another key pathway involving MOK includes the cell cycle regulation pathway providing input towards decision making between cell proliferation and cell cycle arrest. This protein's involvement in these pathways indicates its integrated role in maintaining cellular homeostasis and responding to changes in the environment.

MOK protein kinase associates with several conditions including cancer and neurodegenerative disorders. For example abnormal MOK signaling appears in certain prostate cancers linking MOK to oncogenic processes potentially through interactions with proteins like p53. In neurodegenerative disorders altered MOK expression affects neuronal survival pathways connecting it to damage seen in diseases such as Alzheimer's. Understanding MOK's function and interactions with proteins relevant to these diseases brings insight into its therapeutic potential.

Product protocols

For this product, it's our understanding that no specific protocols are required. You can visit:

Target data

Able to phosphorylate several exogenous substrates and to undergo autophosphorylation. Negatively regulates cilium length in a cAMP and mTORC1 signaling-dependent manner.
See full target information MOK

Publications (1)

Recent publications for all applications. Explore the full list and refine your search

Disease markers 2022:9310048 PubMed36277988

2022

lncRNA DLEU2 Accelerates Oral Cancer Progression via miR-30a-5p/RAP1B Axis to Regulate p38 MAPK Signaling Pathway.

Applications

Unspecified application

Species

Unspecified reactive species

Wenbo Zhang,Yanchun Wang,Pu Xu,Yongxiu Du,Weiwei Guan
View all publications

Product promise

We are committed to supporting your work with high-quality reagents, and we're here for you every step of the way. In the unlikely event that one of our products does not perform as expected, you're protected by our Product Promise.
For full details, please see our Terms & Conditions

Please note: All products are 'FOR RESEARCH USE ONLY. NOT FOR USE IN DIAGNOSTIC OR THERAPEUTIC PROCEDURES'.

For licensing inquiries, please contact partnerships@abcam.com