JavaScript is disabled in your browser. Please enable JavaScript to view this website.
AB307162

Anti-Monoacylglycerol Lipase/MGL antibody [EPR26936-12]

  • BOND RX™ Validated
  • 20ul selling size
  • RabMAb
  • Recombinant
  • What is this?

Be the first to review this product! Submit a review

|

(0 Publication)

Rabbit Recombinant Monoclonal Monoacylglycerol Lipase/MGL antibody. Suitable for IP, Flow Cyt (Intra), ICC/IF, IHC-P, WB and reacts with Human samples.

View Alternative Names

Monoglyceride lipase, MGL, HU-K5, Lysophospholipase homolog, Lysophospholipase-like, Monoacylglycerol lipase, MAGL, MGLL

11 Images
Immunohistochemistry - Anti-Monoacylglycerol Lipase/MGL antibody [EPR26936-12] (AB307162)
  • IHC

Supplier Data

Immunohistochemistry - Anti-Monoacylglycerol Lipase/MGL antibody [EPR26936-12] (AB307162)

Immunohistochemical analysis of paraffin-embedded human adipose tissue tissue labeling Monoacylglycerol Lipase/MGL with ab307162 at 1/5000 (0.098 ug/ml) followed by ready to use LeicaDS9800 (Bond® Polymer Refine Detection). Positive staining on human adipose tissue. The section was incubated with ab307162 for 30 mins at room temperature. The immunostaining was performed on a Leica Biosystems BOND® RX instrument. Counterstained with Hematoxylin. Secondary antibody only control : Secondary antibody is ready to use LeicaDS9800 (Bond® Polymer Refine Detection). Heat mediated antigen retrieval was performed with Tris-EDTA buffer (pH 9.0, Epitope Retrieval Solution2) for 20 mins.

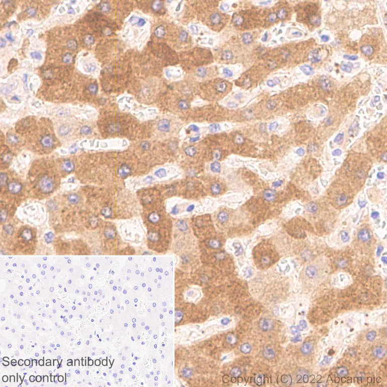
Immunohistochemistry - Anti-Monoacylglycerol Lipase/MGL antibody [EPR26936-12] (AB307162)
  • IHC

Supplier Data

Immunohistochemistry - Anti-Monoacylglycerol Lipase/MGL antibody [EPR26936-12] (AB307162)

Immunohistochemical analysis of paraffin-embedded human liver tissue labeling Monoacylglycerol Lipase/MGL with ab307162 at 1/5000 (0.098 ug/ml) followed by ready to use LeicaDS9800 (Bond® Polymer Refine Detection). Positive staining on human liver (PMID : 30034939). The section was incubated with ab307162 for 30 mins at room temperature. The immunostaining was performed on a Leica Biosystems BOND® RX instrument. Counterstained with Hematoxylin. Secondary antibody only control : Secondary antibody is ready to use LeicaDS9800 (Bond® Polymer Refine Detection). Heat mediated antigen retrieval was performed with Tris-EDTA buffer (pH 9.0, Epitope Retrieval Solution2) for 20 mins.

Immunocytochemistry/ Immunofluorescence - Anti-Monoacylglycerol Lipase/MGL antibody [EPR26936-12] (AB307162)
  • ICC/IF

Supplier Data

Immunocytochemistry/ Immunofluorescence - Anti-Monoacylglycerol Lipase/MGL antibody [EPR26936-12] (AB307162)

Immunofluorescent analysis of 4% Paraformaldehyde-fixed, 0.1% Triton X-100 permeabilized DU 145 (human prostate carcinoma epithelial cell) cells labeling Monoacylglycerol Lipase/MGL with ab307162 at 1/500 dilution (0.976 ug/ml), followed by ab150081 Goat Anti-Rabbit IgG H&L (Alexa Fluor® 488) preadsorbed antibody at 1/1000 dilution (2 ug/ml) (Green). Confocal image showing cytoplasmic staining in DU 145 cell line. The image was taken with a confocal microscope (Leica-Microsystems, TCS SP8). ab195889 Anti-alpha Tubulin mouse monoclonal antibody - Microtubule Marker (Alexa Fluor® 594) was used to counterstain tubulin at 1/200 dilution (2.5 ug/ml) (Red). The nuclear counterstain was DAPI (Blue). Secondary antibody only control : Secondary antibody is ab150081 Goat Anti-Rabbit IgG H&L (Alexa Fluor® 488) preadsorbed at 1/1000 dilution (2 ug/ml).

Immunocytochemistry/ Immunofluorescence - Anti-Monoacylglycerol Lipase/MGL antibody [EPR26936-12] (AB307162)
  • ICC/IF

Supplier Data

Immunocytochemistry/ Immunofluorescence - Anti-Monoacylglycerol Lipase/MGL antibody [EPR26936-12] (AB307162)

Immunofluorescent analysis of 4% Paraformaldehyde-fixed, 0.1% Triton X-100 permeabilized HT-29 (human colorectal adenocarcinoma epithelial cell) cells labeling Monoacylglycerol Lipase/MGL with ab307162 at 1/500 dilution (0.976 ug/ml) followed by ab150081 Goat Anti-Rabbit IgG H&L (Alexa Fluor® 488) preadsorbed antibody at 1/1000 dilution (2 ug/ml) (Green). Confocal image showing cytoplasmic staining in HT-29 cells line. Low expression : HCT 116 (PMID : 22349814). The image was taken with a confocal microscope (Leica-Microsystems, TCS SP8). ab195889 Anti-alpha Tubulin mouse monoclonal antibody - Microtubule Marker (Alexa Fluor® 594) was used to counterstain tubulin at 1/200 dilution (2.5 ug/ml) (Red). The nuclear counterstain was DAPI (Blue). Secondary antibody only control : Secondary antibody is ab150081 Goat Anti-Rabbit IgG H&L (Alexa Fluor® 488) preadsorbed at 1/1000 dilution (2 ug/ml).

Immunocytochemistry/ Immunofluorescence - Anti-Monoacylglycerol Lipase/MGL antibody [EPR26936-12] (AB307162)
  • ICC/IF

Supplier Data

Immunocytochemistry/ Immunofluorescence - Anti-Monoacylglycerol Lipase/MGL antibody [EPR26936-12] (AB307162)

Immunofluorescent analysis of 4% Paraformaldehyde-fixed, 0.1% Triton X-100 permeabilized U-87 MG (human glioblastoma-astrocytoma epithelial cell) cells labeling Monoacylglycerol Lipase/MGL with ab307162 at 1/500 dilution (0.976 ug/ml), followed by ab150081 Goat Anti-Rabbit IgG H&L (Alexa Fluor® 488) preadsorbed antibody at 1/1000 dilution (2 ug/ml) (Green). Confocal image showing cytoplasmic staining in U-87 MG line. The image was taken with a confocal microscope (Leica-Microsystems, TCS SP8). ab195889 Anti-alpha Tubulin mouse monoclonal antibody - Microtubule Marker (Alexa Fluor® 594) was used to counterstain tubulin at 1/200 dilution (2.5 ug/ml)  (Red). The nuclear counterstain was DAPI (Blue). Secondary antibody only control : Secondary antibody is ab150081 Goat Anti-Rabbit IgG H&L (Alexa Fluor® 488) preadsorbed at 1/1000 dilution (2 ug/ml).

Flow Cytometry (Intracellular) - Anti-Monoacylglycerol Lipase/MGL antibody [EPR26936-12] (AB307162)
  • Flow Cyt (Intra)

Supplier Data

Flow Cytometry (Intracellular) - Anti-Monoacylglycerol Lipase/MGL antibody [EPR26936-12] (AB307162)

Flow cytometric analysis of 4% paraformaldehyde fixed 90% methanol permeabilized DU145 (human prostate carcinoma epithelial cell) cells labeling Monoacylglycerol Lipase/MGL with ab307162 at 1/50 dilution (1ug) (Red) compared with a Rabbit monoclonal IgG (ab172730) (Black) isotype control and an unlabeled control (cells without incubation with primary antibody and secondary antibody) (Blue). A Goat Anti-Rabbit IgG (Alexa Fluor® 488, ab150081) at 1/2000 dilution was used as the secondary antibody.

Flow Cytometry (Intracellular) - Anti-Monoacylglycerol Lipase/MGL antibody [EPR26936-12] (AB307162)
  • Flow Cyt (Intra)

Supplier Data

Flow Cytometry (Intracellular) - Anti-Monoacylglycerol Lipase/MGL antibody [EPR26936-12] (AB307162)

Flow cytometric analysis of 4% paraformaldehyde fixed 90% methanol permeabilized U-87 MG (human glioblastoma-astrocytoma epithelial cell) cells labeling Monoacylglycerol Lipase/MGL with ab307162 at 1/500 dilution (0.1ug) (Red) compared with a Rabbit monoclonal IgG (ab172730) (Black) isotype control and an unlabeled control (cells without incubation with primary antibody and secondary antibody) (Blue). A Goat Anti-Rabbit IgG (Alexa Fluor® 488, ab150081) at 1/2000 dilution was used as the secondary antibody.

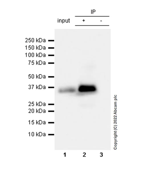
Immunoprecipitation - Anti-Monoacylglycerol Lipase/MGL antibody [EPR26936-12] (AB307162)
  • IP

Supplier Data

Immunoprecipitation - Anti-Monoacylglycerol Lipase/MGL antibody [EPR26936-12] (AB307162)

Monoacylglycerol Lipase/MGL was immunoprecipitated from 0.35 mg DU145 (human prostate carcinoma epithelial cell) whole cell lysate 5 ug with ab307162 at 1/30 dilution (2ug in 0.35mg lysates). Western blot was performed on the immunoprecipitate using ab307162 at 1/1000 dilution. VeriBlot for IP secondary antibody(HRP)(ab131366) was used at 1/5000 dilution. Lane 1 : DU145 whole cell lysate 5 ug Lane 2 : ab307162 IP in DU145 whole cell lysate Lane 3 : Rabbit monoclonal IgG (ab172730) instead of ab307162 in DU145 whole cell lysate Blocking and dilution buffer and concentration : 5% NFDM/TBST. Exposure time : 32 seconds

All lanes:

Immunoprecipitation - Anti-Monoacylglycerol Lipase/MGL antibody [EPR26936-12] (ab307162) at 1/1000 dilution

Lane 1:

DU145 whole cell lysate at 5 µg

Lane 2:

DU145 whole cell lysate

Secondary

All lanes:

Immunoprecipitation - VeriBlot for IP Detection Reagent (HRP) (<a href='/en-us/products/reagents/veriblot-for-ip-detection-reagent-hrp-ab131366'>ab131366</a>) at 1/5000 dilution

Observed band size: 35 kDa

false

Exposure time: 32s

Western blot - Anti-Monoacylglycerol Lipase/MGL antibody [EPR26936-12] (AB307162)
  • WB

Supplier Data

Western blot - Anti-Monoacylglycerol Lipase/MGL antibody [EPR26936-12] (AB307162)

Buffer/Dilution Concentration : 5% NFDM/TBST Exposure Time : Lane 1 : 10 seconds, Lane 2 : 26 seconds, and Lane 3 : 180 seconds

All lanes:

Western blot - Anti-Monoacylglycerol Lipase/MGL antibody [EPR26936-12] (ab307162) at 1/1000 dilution

Lane 1:

U-87 MG whole cell lysate at 20 µg

Lane 2:

PC-3 whole cell lysate at 20 µg

Lane 3:

LNCaP whole cell lysate at 20 µg

Secondary

All lanes:

Western blot - Goat Anti-Rabbit IgG H&L (HRP) (<a href='/en-us/products/secondary-antibodies/goat-rabbit-igg-h-l-hrp-ab97051'>ab97051</a>) at 1/100000 dilution

Observed band size: 35 kDa

false

Exposure time: 10s

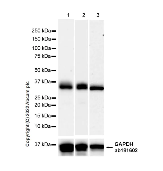
Western blot - Anti-Monoacylglycerol Lipase/MGL antibody [EPR26936-12] (AB307162)
  • WB

Supplier Data

Western blot - Anti-Monoacylglycerol Lipase/MGL antibody [EPR26936-12] (AB307162)

Buffer/Dilution Concentration : 5% NFDM/TBST Exposure time : 3 seconds The expression of MGL is down-regulated in response to JZL treatment (PMID : 21802006).

All lanes:

Western blot - Anti-Monoacylglycerol Lipase/MGL antibody [EPR26936-12] (ab307162) at 1/1000 dilution

Lane 1:

Untreated DU145 whole cell lysate at 20 µg

Lane 2:

DU145 treated with 1 uM JZL184 for 4 hours whole cell lysate at 20 µg

Secondary

All lanes:

Western blot - Goat Anti-Rabbit IgG H&L (HRP) (<a href='/en-us/products/secondary-antibodies/goat-rabbit-igg-h-l-hrp-ab97051'>ab97051</a>) at 1/100000 dilution

Observed band size: 35 kDa

false

Exposure time: 3s

Western blot - Anti-Monoacylglycerol Lipase/MGL antibody [EPR26936-12] (AB307162)
  • WB

Supplier Data

Western blot - Anti-Monoacylglycerol Lipase/MGL antibody [EPR26936-12] (AB307162)

Blocking/Dilution Buffer : 5% NFDM/TBST Exposure time : Lane 1 : 26 seconds and Lane 2 : 180 seconds

All lanes:

Western blot - Anti-Monoacylglycerol Lipase/MGL antibody [EPR26936-12] (ab307162) at 1/1000 dilution

Lane 1:

Human fat tissue lysate at 20 µg

Lane 2:

Human breast tissue lysate at 20 µg

Secondary

All lanes:

Western blot - Goat Anti-Rabbit IgG H&L (HRP) (<a href='/en-us/products/secondary-antibodies/goat-rabbit-igg-h-l-hrp-ab97051'>ab97051</a>) at 1/100000 dilution

Observed band size: 35 kDa

false

Exposure time: 26s

  • Carrier free

    Anti-Monoacylglycerol Lipase/MGL antibody [EPR26936-12] - BSA and Azide free

Key facts

Host species

Rabbit

Clonality

Monoclonal

Clone number

EPR26936-12

Isotype

IgG

Carrier free

No

Reacts with

Human

Applications

Flow Cyt (Intra), IHC-P, IP, WB, ICC/IF

applications

Immunogen

The exact immunogen used to generate this antibody is proprietary information.

Reactivity data

{ "title": "Reactivity Data", "filters": { "stats": ["", "Species", "Dilution Info", "Notes"], "tabs": { "all-applications": {"fullname" : "All Applications", "shortname": "All Applications"}, "IP" : {"fullname" : "Immunoprecipitation", "shortname":"IP"}, "FlowCytIntra" : {"fullname" : "Flow Cytometry (Intracellular)", "shortname":"Flow Cyt (Intra)"}, "ICCIF" : {"fullname" : "Immunocytochemistry/ Immunofluorescence", "shortname":"ICC/IF"}, "IHCP" : {"fullname" : "Immunohistochemistry (Formalin/PFA-fixed paraffin-embedded sections)", "shortname":"IHC-P"}, "WB" : {"fullname" : "Western blot", "shortname":"WB"} }, "product-promise": { "all": "all", "testedAndGuaranteed": "tested", "guaranteed": "expected", "predicted": "predicted", "notRecommended": "not-recommended" } }, "values": { "Human": { "IP-species-checked": "testedAndGuaranteed", "IP-species-dilution-info": "1/30", "IP-species-notes": "<p></p>", "FlowCytIntra-species-checked": "testedAndGuaranteed", "FlowCytIntra-species-dilution-info": "1/50", "FlowCytIntra-species-notes": "<p></p>", "ICCIF-species-checked": "testedAndGuaranteed", "ICCIF-species-dilution-info": "1/500", "ICCIF-species-notes": "<p></p>", "IHCP-species-checked": "testedAndGuaranteed", "IHCP-species-dilution-info": "1/5000", "IHCP-species-notes": "<p></p> Perform heat-mediated antigen retrieval with Tris/EDTA buffer pH 9.0 before commencing with IHC staining protocol.", "WB-species-checked": "testedAndGuaranteed", "WB-species-dilution-info": "1/1000", "WB-species-notes": "<p></p>" }, "Mouse": { "IP-species-checked": "notRecommended", "IP-species-dilution-info": "1/30", "IP-species-notes": "<p></p>", "FlowCytIntra-species-checked": "notRecommended", "FlowCytIntra-species-dilution-info": "1/50", "FlowCytIntra-species-notes": "<p></p>", "ICCIF-species-checked": "notRecommended", "ICCIF-species-dilution-info": "1/500", "ICCIF-species-notes": "<p></p>", "IHCP-species-checked": "notRecommended", "IHCP-species-dilution-info": "1/5000", "IHCP-species-notes": "<p></p> Perform heat-mediated antigen retrieval with Tris/EDTA buffer pH 9.0 before commencing with IHC staining protocol.", "WB-species-checked": "notRecommended", "WB-species-dilution-info": "1/1000", "WB-species-notes": "<p></p>" }, "Rat": { "IP-species-checked": "notRecommended", "IP-species-dilution-info": "1/30", "IP-species-notes": "<p></p>", "FlowCytIntra-species-checked": "notRecommended", "FlowCytIntra-species-dilution-info": "", "FlowCytIntra-species-notes": "", "ICCIF-species-checked": "notRecommended", "ICCIF-species-dilution-info": "", "ICCIF-species-notes": "", "IHCP-species-checked": "notRecommended", "IHCP-species-dilution-info": "1/5000", "IHCP-species-notes": "<p></p> Perform heat-mediated antigen retrieval with Tris/EDTA buffer pH 9.0 before commencing with IHC staining protocol.", "WB-species-checked": "notRecommended", "WB-species-dilution-info": "1/1000", "WB-species-notes": "<p></p>" } } }

Product details

Patented technology
Our RabMAb® technology is a patented hybridoma-based technology for making rabbit monoclonal antibodies. For details on our patents, please refer to RabMAb® patents.

What are the advantages of a recombinant monoclonal antibody?
This product is a recombinant monoclonal antibody, which offers several advantages including:

  • - High batch-to-batch consistency and reproducibility
  • - Improved sensitivity and specificity
  • - Long-term security of supply
  • - Animal-free batch production

For more information, read more on recombinant antibodies.

Properties and storage information

Form
Liquid
Purification technique
Affinity purification Protein A
Storage buffer
pH: 7.2 - 7.4 Preservative: 0.01% Sodium azide Constituents: PBS, 40% Glycerol (glycerin, glycerine), 0.05% BSA
Shipped at conditions
Blue Ice
Appropriate short-term storage duration
1-2 weeks
Appropriate short-term storage conditions
+4°C
Appropriate long-term storage conditions
-20°C
Aliquoting information
Upon delivery aliquot
Storage information
Avoid freeze / thaw cycle

Supplementary information

This supplementary information is collated from multiple sources and compiled automatically.

Monoacylglycerol lipase (MGL) also known as MAGL or lipase 63 is an enzyme with a mass of approximately 33 kDa. MGL primarily functions in lipid metabolism by hydrolyzing 2-monoacylglycerol (2-MAG) into free fatty acids and glycerol. This enzyme is expressed in many tissues with high expression in the brain liver and adipose tissue. Its activity plays a significant role in the breakdown of monoacylglycerol an important intermediate in the endocannabinoid signaling system.
Biological function summary

MGL contributes to the regulation of energy homeostasis by controlling the levels of 2-monoacylglycerol. It catalyzes the final step in the degradation of the endocannabinoid 2-arachidonoylglycerol (2-AG) which is important for modulating inflammation pain and mood. MGL is not known to be part of a larger protein complex. In the brain its action helps terminate endocannabinoid signaling therefore influencing neurotransmission and synaptic plasticity.

Pathways

MGL plays a critical role in the endocannabinoid and glycerolipid metabolism pathways. In the endocannabinoid system it interacts with the cannabinoid receptors CB1 and CB2 by regulating 2-AG levels. The protein's role in glycerolipid metabolism involves its interaction with long-chain acyl-CoA synthetase and fatty acid oxidation pathways which are essential for maintaining lipid balance and cellular energy.

MGL has been linked to neurodegenerative diseases and cancer. In neurodegenerative diseases like Alzheimer’s dysregulation of MGL activity may lead to altered endocannabinoid signaling impacting neuronal health. In cancer increased MGL activity can promote tumor progression by providing cancer cells with fatty acids for growth and survival. MGL's interaction with proteins such as fatty acid synthase highlights its importance in cancer metabolism.

Product protocols

For this product, it's our understanding that no specific protocols are required. You can visit:

Target data

Converts monoacylglycerides to free fatty acids and glycerol (PubMed : 19029917, PubMed : 20079333, PubMed : 21049984, PubMed : 22969151, PubMed : 24368842). Hydrolyzes the endocannabinoid 2-arachidonoylglycerol, and thereby contributes to the regulation of endocannabinoid signaling, nociperception and perception of pain (PubMed : 19029917, PubMed : 20079333, PubMed : 21049984, PubMed : 22969151, PubMed : 24368842). Regulates the levels of fatty acids that serve as signaling molecules and promote cancer cell migration, invasion and tumor growth (PubMed : 20079333).
See full target information MGLL

Product promise

We are committed to supporting your work with high-quality reagents, and we're here for you every step of the way. In the unlikely event that one of our products does not perform as expected, you're protected by our Product Promise.
For full details, please see our Terms & Conditions

Please note: All products are 'FOR RESEARCH USE ONLY. NOT FOR USE IN DIAGNOSTIC OR THERAPEUTIC PROCEDURES'.

For licensing inquiries, please contact partnerships@abcam.com