JavaScript is disabled in your browser. Please enable JavaScript to view this website.
AB325000

Anti-Monoacylglycerol Lipase/MGL antibody [RM1358]

Be the first to review this product! Submit a review

|

(0 Publication)

Rabbit Recombinant Multiclonal Monoacylglycerol Lipase/MGL antibody. Suitable for WB, IHC-P, IP and reacts with Transfected cell lysate - Mouse, Human, Mouse, Rat samples.

View Alternative Names

Monoglyceride lipase, MGL, HU-K5, Lysophospholipase homolog, Lysophospholipase-like, Monoacylglycerol lipase, MAGL, MGLL

13 Images
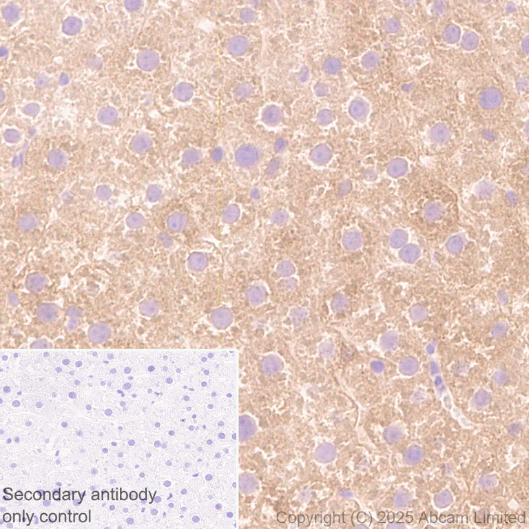
Immunohistochemistry (Formalin/PFA-fixed paraffin-embedded sections) - Anti-Monoacylglycerol Lipase/MGL antibody [RM1358] (AB325000)
  • IHC-P

Lab

Immunohistochemistry (Formalin/PFA-fixed paraffin-embedded sections) - Anti-Monoacylglycerol Lipase/MGL antibody [RM1358] (AB325000)

Immunohistochemical analysis of paraffin-embedded Human liver tissue labeling Monoacylglycerol Lipase/MGL with ab325000 at 1/2000 (0.251 µg/ml) dilution, followed by a ready to use LeicaDS9800 (Bond™ Polymer Refine Detection).

Positive staining on human liver (PMID : 30034939).

The primary antibody was incubated for 30 mins at room temperature.

The immunostaining was performed on a Leica Biosystems BOND® RX instrument

Counterstained with Hematoxylin.

Secondary antibody only control : Secondary antibody is a ready to use LeicaDS9800 (Bond™ Polymer Refine Detection).

Heat mediated antigen retrieval was performed with Tris-EDTA buffer (pH 9.0, Epitope Retrieval Solution2) for 20 mins

Immunohistochemistry (Formalin/PFA-fixed paraffin-embedded sections) - Anti-Monoacylglycerol Lipase/MGL antibody [RM1358] (AB325000)
  • IHC-P

Lab

Immunohistochemistry (Formalin/PFA-fixed paraffin-embedded sections) - Anti-Monoacylglycerol Lipase/MGL antibody [RM1358] (AB325000)

Immunohistochemical analysis of paraffin-embedded Human adipose tissue tissue labeling Monoacylglycerol Lipase/MGL with ab325000 at 1/2000 (0.251 µg/ml) dilution, followed by a ready to use LeicaDS9800 (Bond™ Polymer Refine Detection).

Positive staining on human adipose tissue.

The primary antibody was incubated for 30 mins at room temperature.

The immunostaining was performed on a Leica Biosystems BOND® RX instrument

Counterstained with Hematoxylin.

Secondary antibody only control : Secondary antibody is a ready to use LeicaDS9800 (Bond™ Polymer Refine Detection).

Heat mediated antigen retrieval was performed with Tris-EDTA buffer (pH 9.0, Epitope Retrieval Solution2) for 20 mins

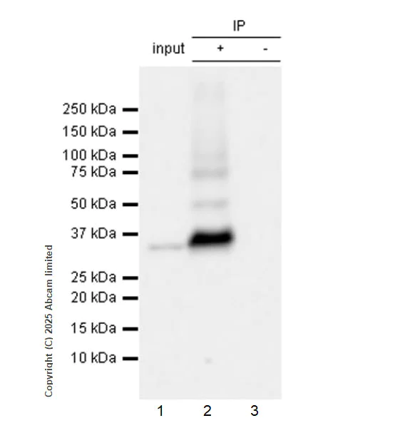
Immunoprecipitation - Anti-Monoacylglycerol Lipase/MGL antibody [RM1358] (AB325000)
  • IP

Lab

Immunoprecipitation - Anti-Monoacylglycerol Lipase/MGL antibody [RM1358] (AB325000)

Monoacylglycerol Lipase/MGL was immunoprecipitated from 0.35 mg DU145 whole cell lysate with ab325000 at 1/30 dilution (2μg in 0.35mg lysates). Western blot was performed on the immunoprecipitate using ab325000 at 1/1000 dilution. VeriBlot for IP secondary antibody(HRP)(ab131366) was used at 1/5000 dilution.

Lane 1 : DU145 (human prostate carcinoma epithelial cell) whole cell lysate
Lane 2 : ab325000 IP in DU145 whole cell lysate
Lane 3 : Rabbit monoclonal IgG (ab172730) instead of ab325000 in DU145 whole cell lysate

Blocking and dilution buffer and concentration : 5% NFDM/TBST.

Exposure time : 10 seconds.

All lanes:

Immunoprecipitation - Anti-Monoacylglycerol Lipase/MGL antibody [RM1358] (ab325000) at 1/1000 dilution

Lane 1:

DU145 (human prostate carcinoma epithelial cell) whole cell lysate at 10 µg

Lane 2:

ab325000 at 1/30 IP in DU145 whole cell lysate

Lane 3:

Rabbit monoclonal IgG (<a href='/en-us/products/primary-antibodies/rabbit-igg-monoclonal-epr25a-isotype-control-ab172730'>ab172730</a>) instead of ab325000 in DU145 whole cell lysate

Secondary

All lanes:

Immunoprecipitation - VeriBlot for IP Detection Reagent (HRP) (<a href='/en-us/products/reagents/veriblot-for-ip-detection-reagent-hrp-ab131366'>ab131366</a>) at 1/5000 dilution

Observed band size: 30 kDa

false

Exposure time: 10s

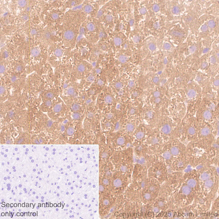
Immunohistochemistry (Formalin/PFA-fixed paraffin-embedded sections) - Anti-Monoacylglycerol Lipase/MGL antibody [RM1358] (AB325000)
  • IHC-P

Lab

Immunohistochemistry (Formalin/PFA-fixed paraffin-embedded sections) - Anti-Monoacylglycerol Lipase/MGL antibody [RM1358] (AB325000)

Immunohistochemical analysis of paraffin-embedded Rat liver tissue labeling Monoacylglycerol Lipase/MGL with ab325000 at 1/2000 (0.251 µg/ml) dilution, followed by a ready to use LeicaDS9800 (Bond™ Polymer Refine Detection).

Positive staining on rat liver.

The primary antibody was incubated for 30 mins at room temperature.

The immunostaining was performed on a Leica Biosystems BOND® RX instrument

Counterstained with Hematoxylin.

Secondary antibody only control : Secondary antibody is a ready to use LeicaDS9800 (Bond™ Polymer Refine Detection).

Heat mediated antigen retrieval was performed with Tris-EDTA buffer (pH 9.0, Epitope Retrieval Solution2) for 20 mins

Immunohistochemistry (Formalin/PFA-fixed paraffin-embedded sections) - Anti-Monoacylglycerol Lipase/MGL antibody [RM1358] (AB325000)
  • IHC-P

Lab

Immunohistochemistry (Formalin/PFA-fixed paraffin-embedded sections) - Anti-Monoacylglycerol Lipase/MGL antibody [RM1358] (AB325000)

Immunohistochemical analysis of paraffin-embedded Rat adipose tissue tissue labeling Monoacylglycerol Lipase/MGL with ab325000 at 1/2000 (0.251 µg/ml) dilution, followed by a ready to use LeicaDS9800 (Bond™ Polymer Refine Detection).

Positive staining on rat adipose tissue.

The primary antibody was incubated for 30 mins at room temperature.

The immunostaining was performed on a Leica Biosystems BOND® RX instrument

Counterstained with Hematoxylin.

Secondary antibody only control : Secondary antibody is a ready to use LeicaDS9800 (Bond™ Polymer Refine Detection).

Heat mediated antigen retrieval was performed with Tris-EDTA buffer (pH 9.0, Epitope Retrieval Solution2) for 20 mins

Immunohistochemistry (Formalin/PFA-fixed paraffin-embedded sections) - Anti-Monoacylglycerol Lipase/MGL antibody [RM1358] (AB325000)
  • IHC-P

Lab

Immunohistochemistry (Formalin/PFA-fixed paraffin-embedded sections) - Anti-Monoacylglycerol Lipase/MGL antibody [RM1358] (AB325000)

Immunohistochemical analysis of paraffin-embedded Mouse liver tissue labeling Monoacylglycerol Lipase/MGL with ab325000 at 1/2000 (0.251 µg/ml) dilution, followed by a ready to use LeicaDS9800 (Bond™ Polymer Refine Detection).

Positive staining on mouse liver.

The primary antibody was incubated for 30 mins at room temperature.

The immunostaining was performed on a Leica Biosystems BOND® RX instrument

Counterstained with Hematoxylin.

Secondary antibody only control : Secondary antibody is a ready to use LeicaDS9800 (Bond™ Polymer Refine Detection).

Heat mediated antigen retrieval was performed with Tris-EDTA buffer (pH 9.0, Epitope Retrieval Solution2) for 20 mins

Immunohistochemistry (Formalin/PFA-fixed paraffin-embedded sections) - Anti-Monoacylglycerol Lipase/MGL antibody [RM1358] (AB325000)
  • IHC-P

Lab

Immunohistochemistry (Formalin/PFA-fixed paraffin-embedded sections) - Anti-Monoacylglycerol Lipase/MGL antibody [RM1358] (AB325000)

Immunohistochemical analysis of paraffin-embedded Mouse adipose tissue tissue labeling Monoacylglycerol Lipase/MGL with ab325000 at 1/2000 (0.251 µg/ml) dilution, followed by a ready to use LeicaDS9800 (Bond™ Polymer Refine Detection).

Positive staining on mouse adipose tissue.

The primary antibody was incubated for 30 mins at room temperature.

The immunostaining was performed on a Leica Biosystems BOND® RX instrument

Counterstained with Hematoxylin.

Secondary antibody only control : Secondary antibody is a ready to use LeicaDS9800 (Bond™ Polymer Refine Detection).

Heat mediated antigen retrieval was performed with Tris-EDTA buffer (pH 9.0, Epitope Retrieval Solution2) for 20 mins

Immunoprecipitation - Anti-Monoacylglycerol Lipase/MGL antibody [RM1358] (AB325000)
  • IP

Lab

Immunoprecipitation - Anti-Monoacylglycerol Lipase/MGL antibody [RM1358] (AB325000)

Monoacylglycerol Lipase/MGL was immunoprecipitated from 0.35 mg Rat brown fat whole tissue lysate with ab325000 at 1/30 dilution (2μg in 0.35mg lysates). Western blot was performed on the immunoprecipitate using ab325000 at 1/1000 dilution. VeriBlot for IP secondary antibody(HRP)(ab131366) was used at 1/5000 dilution.

Lane 1 : Rat brown fat whole tissue lysate
Lane 2 : ab325000 IP in Rat brown fat whole tissue lysate
Lane 3 : Rabbit monoclonal IgG (ab172730) instead of ab325000 in rat brown fat whole tissue lysate

Blocking and dilution buffer and concentration : 5% NFDM/TBST.

Exposure time : 111 seconds.

All lanes:

Immunoprecipitation - Anti-Monoacylglycerol Lipase/MGL antibody [RM1358] (ab325000) at 1/1000 dilution

Lane 1:

Rat brown fat whole tissue lysate at 10 µg

Lane 2:

ab325000 at 1/30 IP in Rat brown fat whole tissue lysate

Lane 3:

Rabbit monoclonal IgG (<a href='/en-us/products/primary-antibodies/rabbit-igg-monoclonal-epr25a-isotype-control-ab172730'>ab172730</a>) instead of ab325000 in rat brown fat whole tissue lysate

Secondary

All lanes:

Immunoprecipitation - VeriBlot for IP Detection Reagent (HRP) (<a href='/en-us/products/reagents/veriblot-for-ip-detection-reagent-hrp-ab131366'>ab131366</a>) at 1/5000 dilution

Observed band size: 30 kDa

false

Exposure time: 111s

Immunoprecipitation - Anti-Monoacylglycerol Lipase/MGL antibody [RM1358] (AB325000)
  • IP

Lab

Immunoprecipitation - Anti-Monoacylglycerol Lipase/MGL antibody [RM1358] (AB325000)

Monoacylglycerol Lipase/MGL was immunoprecipitated from 0.35 mg Mouse brown fat whole tissue lysate with ab325000 at 1/30 dilution (2μg in 0.35mg lysates). Western blot was performed on the immunoprecipitate using ab325000 at 1/1000 dilution. VeriBlot for IP secondary antibody(HRP)(ab131366) was used at 1/5000 dilution.

Lane 1 : Mouse brown fat whole tissue lysate
Lane 2 : ab325000 IP in Mouse brown fat whole tissue lysate
Lane 3 : Rabbit monoclonal IgG (ab172730) instead of ab325000 in mouse brown fat whole tissue lysate

Blocking and dilution buffer and concentration : 5% NFDM/TBST.

Exposure time : 3 seconds.

All lanes:

Immunoprecipitation - Anti-Monoacylglycerol Lipase/MGL antibody [RM1358] (ab325000) at 1/1000 dilution

Lane 1:

Mouse brown fat whole tissue lysate at 10 µg

Lane 2:

ab325000 at 1/30 IP in Mouse brown fat whole tissue lysate

Lane 3:

Rabbit monoclonal IgG (<a href='/en-us/products/primary-antibodies/rabbit-igg-monoclonal-epr25a-isotype-control-ab172730'>ab172730</a>) instead of ab325000 in mouse brown fat whole tissue lysate

Secondary

All lanes:

Immunoprecipitation - VeriBlot for IP Detection Reagent (HRP) (<a href='/en-us/products/reagents/veriblot-for-ip-detection-reagent-hrp-ab131366'>ab131366</a>) at 1/5000 dilution

Observed band size: 30 kDa

false

Exposure time: 3s

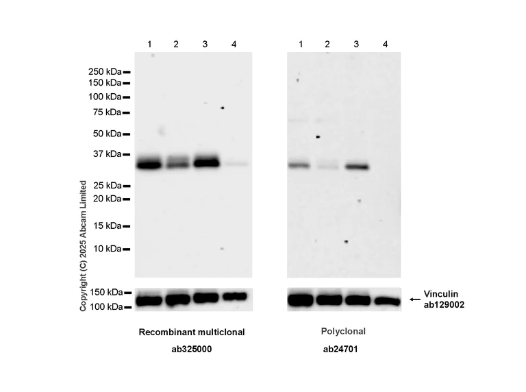
Western blot - Anti-Monoacylglycerol Lipase/MGL antibody [RM1358] (AB325000)
  • WB

Lab

Western blot - Anti-Monoacylglycerol Lipase/MGL antibody [RM1358] (AB325000)

Blocking and diluting buffer and concentration : 5% NFDM/TBST.

The expression of MGL is down-regulated in response to JZL treatment (PMID : 21802006).

Low expression : HCT-116 (PMID : 22349814).

The recombinant monoclonal antibody (ab325000, left) at 1 : 1000 dilution exhibited greater sensitivity compared to the polyclonal antibody (ab24701, right) at the same dilution.

In Western blot, Anti-Vinculin antibody [EPR8185] (ab129002)(1/5000)(124KDa).

Exposure time : Left : 37 seconds Right : 180 seconds (This blot was developed using a high-sensitivity ECL substrate, allowing for the detection of proteins in the mid-femtogram range)

All lanes:

Western blot - Anti-Monoacylglycerol Lipase/MGL antibody [RM1358] (ab325000) at 1/1000 dilution

Lane 1:

Untreated DU 145 (human prostate carcinoma epithelial cell) whole cell lysate at 20 µg

Lane 2:

DU145 treated with 1 uM JZL184 for 4 hours whole cell lysate at 20 µg

Lane 3:

U-87 MG (human glioblastoma-astrocytoma epithelial cell) whole cell lysate at 20 µg

Lane 4:

HCT 116 (human colorectal carcinoma epithelial cell) whole cell lysate at 20 µg

Secondary

All lanes:

Western blot - Goat Anti-Rabbit IgG H&L (HRP) (<a href='/en-us/products/secondary-antibodies/goat-rabbit-igg-h-l-hrp-ab97051'>ab97051</a>) at 1/100000 dilution

Observed band size: 33 kDa,124 kDa

true

Western blot - Anti-Monoacylglycerol Lipase/MGL antibody [RM1358] (AB325000)
  • WB

Lab

Western blot - Anti-Monoacylglycerol Lipase/MGL antibody [RM1358] (AB325000)

Blocking and diluting buffer and concentration : 5% NFDM/TBST.

All lanes:

Western blot - Anti-Monoacylglycerol Lipase/MGL antibody [RM1358] (ab325000) at 1/1000 dilution

Lane 1:

Human breast tissue lysate at 20 µg

Lane 2:

Human fat tissue lysate at 20 µg

Lane 3:

Human liver tissue lysate at 20 µg

Lane 4:

Mouse brown fat tissue lysate at 20 µg

Lane 5:

Mouse liver tissue lysate at 20 µg

Lane 6:

Mouse heart tissue lysate at 20 µg

Lane 7:

Rat brown fat tissue lysate at 20 µg

Lane 8:

Rat liver tissue lysate at 20 µg

Lane 9:

Rat heart tissue lysate at 20 µg

Secondary

All lanes:

Western blot - Goat Anti-Rabbit IgG H&L (HRP) (<a href='/en-us/products/secondary-antibodies/goat-rabbit-igg-h-l-hrp-ab97051'>ab97051</a>) at 1/100000 dilution

Observed band size: 33 kDa

false

Exposure time: 70s

Western blot - Anti-Monoacylglycerol Lipase/MGL antibody [RM1358] (AB325000)
  • WB

Lab

Western blot - Anti-Monoacylglycerol Lipase/MGL antibody [RM1358] (AB325000)

Blocking and diluting buffer and concentration : 5% NFDM/TBST.

The expression of MGL is down-regulated in response to JZL treatment (PMID : 21802006).

In Western blot, Anti-GAPDH antibody [EPR16891] - Loading Control (ab181602) (1 : 200000) (36KDa).

Exposure time : Lane 1-2 : 26 seconds Lane 3-5 : 70 seconds

All lanes:

Western blot - Anti-Monoacylglycerol Lipase/MGL antibody [RM1358] (ab325000) at 1/1000 dilution

Lane 1:

Untreated DU 145 (human prostate carcinoma epithelial cell) whole cell lysate at 20 µg

Lane 2:

DU145 treated with 1 uM JZL184 for 4 hours whole cell lysate at 20 µg

Lane 3:

U-87 MG (human glioblastoma-astrocytoma epithelial cell) whole cell lysate at 20 µg

Lane 4:

PC-3 (human prostate adenocarcinoma epithelial cell) whole cell lysate at 20 µg

Lane 5:

LNCaP (human prostate carcinoma epithelial cell) whole cell lysate at 20 µg

Secondary

All lanes:

Western blot - Goat Anti-Rabbit IgG H&L (HRP) (<a href='/en-us/products/secondary-antibodies/goat-rabbit-igg-h-l-hrp-ab97051'>ab97051</a>) at 1/100000 dilution

Observed band size: 33 kDa,36 kDa

false

Western blot - Anti-Monoacylglycerol Lipase/MGL antibody [RM1358] (AB325000)
  • WB

Lab

Western blot - Anti-Monoacylglycerol Lipase/MGL antibody [RM1358] (AB325000)

Blocking and diluting buffer and concentration : 5% NFDM/TBST.

In Western blot, Anti-GAPDH antibody [EPR16891] - Loading Control (ab181602) (1 : 200000) (36KDa).

All lanes:

Western blot - Anti-Monoacylglycerol Lipase/MGL antibody [RM1358] (ab325000) at 1/1000 dilution

Lane 1:

B16-F10 (mouse skin melanoma cell) transfected with scrambled siRNA control whole cell lysate at 40 µg

Lane 2:

B16-F10 transfected with siRNA specifically targeting MGL whole cell lysate at 40 µg

Secondary

All lanes:

Western blot - Goat Anti-Rabbit IgG H&L (HRP) (<a href='/en-us/products/secondary-antibodies/goat-rabbit-igg-h-l-hrp-ab97051'>ab97051</a>) at 1/20000 dilution

Observed band size: 33 kDa,36 kDa

false

Exposure time: 180s

Key facts

Host species

Rabbit

Clonality

Multiclonal

Clone number

RM1358

Isotype

IgG

Carrier free

No

Reacts with

Mouse, Human, Rat

Applications

IHC-P, IP, WB

applications

Immunogen

The exact immunogen used to generate this antibody is proprietary information.

Specificity

Unsuitable for Mouse ICC and Mouse FC

Reactivity data

{ "title": "Reactivity Data", "filters": { "stats": ["", "Species", "Dilution Info", "Notes"], "tabs": { "all-applications": {"fullname" : "All Applications", "shortname": "All Applications"}, "WB" : {"fullname" : "Western blot", "shortname":"WB"}, "IHCP" : {"fullname" : "Immunohistochemistry (Formalin/PFA-fixed paraffin-embedded sections)", "shortname":"IHC-P"}, "IP" : {"fullname" : "Immunoprecipitation", "shortname":"IP"}, "FlowCytIntra" : {"fullname" : "Flow Cytometry (Intracellular)", "shortname":"Flow Cyt (Intra)"}, "ICCIF" : {"fullname" : "Immunocytochemistry/ Immunofluorescence", "shortname":"ICC/IF"} }, "product-promise": { "all": "all", "testedAndGuaranteed": "tested", "guaranteed": "expected", "predicted": "predicted", "notRecommended": "not-recommended" } }, "values": { "Human": { "WB-species-checked": "testedAndGuaranteed", "WB-species-dilution-info": "1/1000", "WB-species-notes": "<p></p>", "IHCP-species-checked": "testedAndGuaranteed", "IHCP-species-dilution-info": "1/2000", "IHCP-species-notes": "<p></p> Perform heat-mediated antigen retrieval with Tris/EDTA buffer pH 9.0 before commencing with IHC staining protocol.", "IP-species-checked": "testedAndGuaranteed", "IP-species-dilution-info": "1/1000", "IP-species-notes": "<p></p>", "FlowCytIntra-species-checked": "notRecommended", "FlowCytIntra-species-dilution-info": "", "FlowCytIntra-species-notes": "", "ICCIF-species-checked": "notRecommended", "ICCIF-species-dilution-info": "", "ICCIF-species-notes": "" }, "Mouse": { "WB-species-checked": "testedAndGuaranteed", "WB-species-dilution-info": "1/1000", "WB-species-notes": "<p></p>", "IHCP-species-checked": "testedAndGuaranteed", "IHCP-species-dilution-info": "1/2000", "IHCP-species-notes": "<p></p> Perform heat-mediated antigen retrieval with Tris/EDTA buffer pH 9.0 before commencing with IHC staining protocol.", "IP-species-checked": "testedAndGuaranteed", "IP-species-dilution-info": "1/1000", "IP-species-notes": "<p></p>", "FlowCytIntra-species-checked": "notRecommended", "FlowCytIntra-species-dilution-info": "", "FlowCytIntra-species-notes": "<p></p>", "ICCIF-species-checked": "notRecommended", "ICCIF-species-dilution-info": "", "ICCIF-species-notes": "<p></p>" }, "Rat": { "WB-species-checked": "testedAndGuaranteed", "WB-species-dilution-info": "1/1000", "WB-species-notes": "<p></p>", "IHCP-species-checked": "testedAndGuaranteed", "IHCP-species-dilution-info": "1/2000", "IHCP-species-notes": "<p></p> Perform heat-mediated antigen retrieval with Tris/EDTA buffer pH 9.0 before commencing with IHC staining protocol.", "IP-species-checked": "testedAndGuaranteed", "IP-species-dilution-info": "1/1000", "IP-species-notes": "<p></p>", "FlowCytIntra-species-checked": "notRecommended", "FlowCytIntra-species-dilution-info": "", "FlowCytIntra-species-notes": "", "ICCIF-species-checked": "notRecommended", "ICCIF-species-dilution-info": "", "ICCIF-species-notes": "" }, "Transfected cell lysate - Mouse": { "WB-species-checked": "testedAndGuaranteed", "WB-species-dilution-info": "1/1000", "WB-species-notes": "<p></p>", "IHCP-species-checked": "notRecommended", "IHCP-species-dilution-info": "", "IHCP-species-notes": "", "IP-species-checked": "notRecommended", "IP-species-dilution-info": "", "IP-species-notes": "", "FlowCytIntra-species-checked": "notRecommended", "FlowCytIntra-species-dilution-info": "", "FlowCytIntra-species-notes": "", "ICCIF-species-checked": "notRecommended", "ICCIF-species-dilution-info": "", "ICCIF-species-notes": "" } } }

Product details

Patented technology
Our RabMAb® technology is a patented hybridoma-based technology for making rabbit monoclonal antibodies. For details on our patents, please refer to RabMAb® patents.

What are recombinant multiclonals?
Recombinant multiclonals are a mixture of recombinant antibodies co-expressed from a library of heavy and light chains. They offer several advantages including:

  • - The sensitivity of polyclonal antibodies by recognising multiple epitopes
  • - High batch-to-batch consistency and reproducibility
  • - Improved sensitivity and specificity
  • - Long-term security of supply
  • - Animal-free batch production

View our range of recombinant multiclonal antibodies.

Properties and storage information

Form
Liquid
Purification technique
Affinity purification Protein A
Storage buffer
pH: 7.2 - 7.4 Preservative: 0.01% Sodium azide Constituents: PBS, 40% Glycerol (glycerin, glycerine), 0.05% BSA
Shipped at conditions
Blue Ice
Appropriate short-term storage duration
1-2 weeks
Appropriate short-term storage conditions
+4°C
Appropriate long-term storage conditions
-20°C
Aliquoting information
Upon delivery aliquot
Storage information
Avoid freeze / thaw cycle

Product protocols

For this product, it's our understanding that no specific protocols are required. You can visit:

Target data

Converts monoacylglycerides to free fatty acids and glycerol (PubMed : 19029917, PubMed : 20079333, PubMed : 21049984, PubMed : 22969151, PubMed : 24368842). Hydrolyzes the endocannabinoid 2-arachidonoylglycerol, and thereby contributes to the regulation of endocannabinoid signaling, nociperception and perception of pain (PubMed : 19029917, PubMed : 20079333, PubMed : 21049984, PubMed : 22969151, PubMed : 24368842). Regulates the levels of fatty acids that serve as signaling molecules and promote cancer cell migration, invasion and tumor growth (PubMed : 20079333).
See full target information MGLL

Additional targets

Mgll

Product promise

We are committed to supporting your work with high-quality reagents, and we're here for you every step of the way. In the unlikely event that one of our products does not perform as expected, you're protected by our Product Promise.
For full details, please see our Terms & Conditions

Please note: All products are 'FOR RESEARCH USE ONLY. NOT FOR USE IN DIAGNOSTIC OR THERAPEUTIC PROCEDURES'.

For licensing inquiries, please contact partnerships@abcam.com