JavaScript is disabled in your browser. Please enable JavaScript to view this website.
AB126751

Anti-Monoamine Oxidase A/MAO-A antibody [EPR7101]

  • BOND RX™ Validated
  • RabMAb
  • Recombinant
  • KO Validated
  • What is this?

5

(4 Reviews)

|

(70 Publications)

Anti-Monoamine Oxidase A/MAO-A antibody [EPR7101] (ab126751) is a rabbit monoclonal antibody detecting Monoamine Oxidase A/MAO-A in Western Blot, Flow Cytometry (Intra), Flow Cytometry, IHC-P, ICC/IF. Suitable for Human, Mouse, Rat.

- KO validated for confirmed specificity
- Biophysical QC for unrivalled batch-batch consistency
- Over 40 publications

View Alternative Names

Amine oxidase [flavin-containing] A, Monoamine oxidase type A, MAO-A, MAOA

13 Images
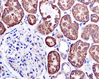
Immunohistochemistry (Formalin/PFA-fixed paraffin-embedded sections) - Anti-Monoamine Oxidase A/MAO-A antibody [EPR7101] (AB126751)
  • IHC-P

Unknown

Immunohistochemistry (Formalin/PFA-fixed paraffin-embedded sections) - Anti-Monoamine Oxidase A/MAO-A antibody [EPR7101] (AB126751)

ab126751 (unpurified), at 1/50 dilution, staining Monoamine Oxidase A/MAO-A in paraffin embedded Human kidney tissue by Immunohistochemistry.

Perform heat mediated antigen retrieval with citrate buffer pH 6 before commencing with IHC staining protocol.

Flow Cytometry (Intracellular) - Anti-Monoamine Oxidase A/MAO-A antibody [EPR7101] (AB126751)
  • Flow Cyt (Intra)

Lab

Flow Cytometry (Intracellular) - Anti-Monoamine Oxidase A/MAO-A antibody [EPR7101] (AB126751)

ab126751 (purified) staining Monoamine Oxidase A/MAO-A in the human cell line HepG2 (human hepatocellular carcinoma) by intracellular flow cytometry. Cells were fixed with 4% paraformaldehyde and the sample was incubated with the primary antibody at a dilution of 1/20. A goat anti rabbit IgG (Alexa Fluor® 488) at a dilution of 1/2000 was used as the secondary antibody.

Isoytype control : Rabbit monoclonal IgG (Black)

Unlabelled control : Cell without incubation with primary antibody and secondary antibody (Blue)

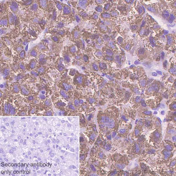
Immunohistochemistry (Formalin/PFA-fixed paraffin-embedded sections) - Anti-Monoamine Oxidase A/MAO-A antibody [EPR7101] (AB126751)
  • IHC-P

Unknown

Immunohistochemistry (Formalin/PFA-fixed paraffin-embedded sections) - Anti-Monoamine Oxidase A/MAO-A antibody [EPR7101] (AB126751)

Immunohistochemistry (Formalin/PFA-fixed paraffin-embedded sections) analysis of human hepatocellular carcinoma tissue sections labeling Monoamine Oxidase A/MAO-A with Purified ab126751 at 1 : 400 dilution (0.38 µg/ml). Heat mediated antigen retrieval using Bond™ Epitope Retrieval Solution 2 (pH 9.0). Rabbit specific IHC polymer detection kit HRP/DAB (ab209101) was used for detection. Negative control : PBS instead of the primary antibody. Hematoxylin was used as a counterstain.

Immunohistochemistry (Formalin/PFA-fixed paraffin-embedded sections) - Anti-Monoamine Oxidase A/MAO-A antibody [EPR7101] (AB126751)
  • IHC-P

Unknown

Immunohistochemistry (Formalin/PFA-fixed paraffin-embedded sections) - Anti-Monoamine Oxidase A/MAO-A antibody [EPR7101] (AB126751)

ab126751 (unpurified), at 1/50 dilution, staining Monoamine Oxidase A/MAO-A in paraffin embedded Human colon tissue by Immunohistochemistry.

Perform heat mediated antigen retrieval with citrate buffer pH 6 before commencing with IHC staining protocol.

Immunocytochemistry/ Immunofluorescence - Anti-Monoamine Oxidase A/MAO-A antibody [EPR7101] (AB126751)
  • ICC/IF

Unknown

Immunocytochemistry/ Immunofluorescence - Anti-Monoamine Oxidase A/MAO-A antibody [EPR7101] (AB126751)

Immunocytochemistry/ Immunofluorescence analysis of HepG2 (Human hepatocellular carcinoma epithelial cell) cells labeling Monoamine Oxidase A/MAO-A with Purified ab126751 at 1 : 100 dilution (1.5 µg/ml). Cells were fixed in 4% Paraformaldehyde and permeabilized with 0.1% tritonX-100. Cells were counterstained with ab195889 Anti-alpha Tubulin antibody [DM1A] - Microtubule Marker (Alexa Fluor® 594) 1 : 200 (2.5 µg/ml). Goat anti rabbit IgG (Alexa Fluor® 488, ab150077) was used as the secondary antibody at 1 : 1000 (2 µg/ml) dilution. DAPI (blue) was used as nuclear counterstain. PBS instead of the primary antibody was used as the secondary antibody only control.

Immunohistochemistry (Formalin/PFA-fixed paraffin-embedded sections) - Anti-Monoamine Oxidase A/MAO-A antibody [EPR7101] (AB126751)
  • IHC-P

Unknown

Immunohistochemistry (Formalin/PFA-fixed paraffin-embedded sections) - Anti-Monoamine Oxidase A/MAO-A antibody [EPR7101] (AB126751)

Immunohistochemistry (Formalin/PFA-fixed paraffin-embedded sections) analysis of rat liver tissue sections labeling Monoamine Oxidase A/MAO-A with Purified ab126751 at 1 : 400 dilution (0.38 µg/ml). Heat mediated antigen retrieval using Bond™ Epitope Retrieval Solution 2 (pH 9.0). Rabbit specific IHC polymer detection kit HRP/DAB (ab209101) was used for detection. Negative control : PBS instead of the primary antibody. Hematoxylin was used as a counterstain.

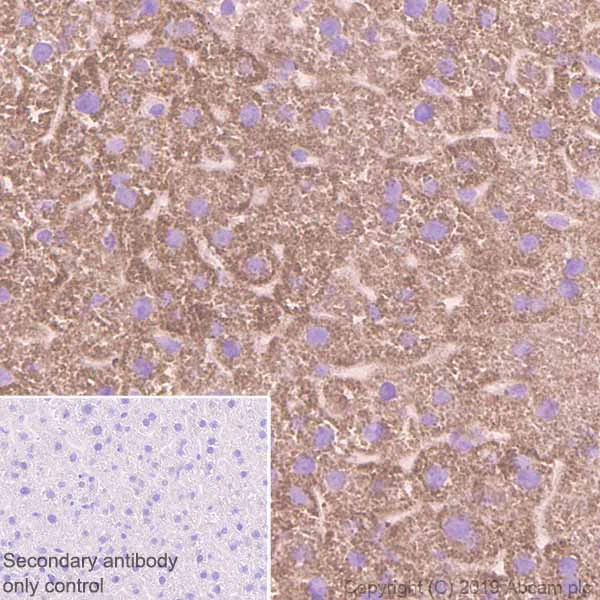
Immunohistochemistry (Formalin/PFA-fixed paraffin-embedded sections) - Anti-Monoamine Oxidase A/MAO-A antibody [EPR7101] (AB126751)
  • IHC-P

Unknown

Immunohistochemistry (Formalin/PFA-fixed paraffin-embedded sections) - Anti-Monoamine Oxidase A/MAO-A antibody [EPR7101] (AB126751)

Immunohistochemistry (Formalin/PFA-fixed paraffin-embedded sections) analysis of mouse liver tissue sections labeling Monoamine Oxidase A/MAO-A with Purified ab126751 at 1 : 400 dilution (0.38 µg/ml). Heat mediated antigen retrieval using Bond™ Epitope Retrieval Solution 2 (pH 9.0). Rabbit specific IHC polymer detection kit HRP/DAB (ab209101) was used for detection. Negative control : PBS instead of the primary antibody. Hematoxylin was used as a counterstain.

Western blot - Anti-Monoamine Oxidase A/MAO-A antibody [EPR7101] (AB126751)
  • WB

Lab

Western blot - Anti-Monoamine Oxidase A/MAO-A antibody [EPR7101] (AB126751)

Lanes 1 - 2 : Merged signal (red and green). Green - ab126751 observed at 60 kDa. Red - loading control, ab8245, observed at 0 kDa.

ab126751 was shown to recognize Monoamine Oxidase A in wild-type HAP1 cells as signal was lost at the expected MW in MAOA (Monoamine Oxidase A) knockout cells. Additional cross-reactive bands were observed in the wild-type and knockout cells. Wild-type and MAOA (Monoamine Oxidase A) knockout samples were subjected to SDS-PAGE. ab126751 and ab8245 (Mouse anti-GAPDH loading control) were incubated overnight at 4°C at 1/1000 dilution and 1/20000 dilution respectively. Blots were developed with Goat anti-Rabbit IgG H&L (IRDye® 800CW) preabsorbed ab216773 and Goat anti-Mouse IgG H&L (IRDye® 680RD) preabsorbed ab216776 secondary antibodies at 1/20000 dilution for 1 hour at room temperature before imaging.

All lanes:

Western blot - Anti-Monoamine Oxidase A/MAO-A antibody [EPR7101] (ab126751) at 1/1000 dilution

Lane 1:

Wild-type HAP1 whole cell lysate at 20 µg

Lane 2:

MAOA (Monoamine Oxidase A) knockout HAP1 whole cell lysate at 20 µg

Predicted band size: 60 kDa

false

Western blot - Anti-Monoamine Oxidase A/MAO-A antibody [EPR7101] (AB126751)
  • WB

Lab

Western blot - Anti-Monoamine Oxidase A/MAO-A antibody [EPR7101] (AB126751)

All lanes:

Western blot - Anti-Monoamine Oxidase A/MAO-A antibody [EPR7101] (ab126751) at 1/1000 dilution

Lane 1:

HepG2 (Human hepatocellular carcinoma epithelial cell) whole cell lysates at 15 µg

Lane 2:

Rat brain lysates at 15 µg

Secondary

All lanes:

Western blot - Goat Anti-Rabbit IgG H&L (HRP) (<a href='/en-us/products/secondary-antibodies/goat-rabbit-igg-h-l-hrp-ab97051'>ab97051</a>) at 1/20000 dilution

Predicted band size: 60 kDa

Observed band size: 60 kDa

false

Western blot - Anti-Monoamine Oxidase A/MAO-A antibody [EPR7101] (AB126751)
  • WB

AbReview38363****

Western blot - Anti-Monoamine Oxidase A/MAO-A antibody [EPR7101] (AB126751)

All lanes:

Western blot - Anti-Monoamine Oxidase A/MAO-A antibody [EPR7101] (ab126751) at 1/2000 dilution

All lanes:

Mouse brain cortex tissue lysate - whole at 20 µg

Secondary

All lanes:

HRP-conjugated Goat anti-rabbit IgG polyclonal at 1/2000 dilution

Predicted band size: 60 kDa

Observed band size: 60 kDa

true

Exposure time: 1min

This image is courtesy of an anonymous Abreview

Western blot - Anti-Monoamine Oxidase A/MAO-A antibody [EPR7101] (AB126751)
  • WB

Unknown

Western blot - Anti-Monoamine Oxidase A/MAO-A antibody [EPR7101] (AB126751)

All lanes:

Western blot - Anti-Monoamine Oxidase A/MAO-A antibody [EPR7101] (ab126751) at 1/1000 dilution

Lane 1:

HepG2 lysate at 10 µg

Lane 2:

NCI-H460 lysate at 10 µg

Lane 3:

Fetal liver lysate at 10 µg

Secondary

All lanes:

HRP labelled goat anti-rabbit at 1/2000 dilution

Predicted band size: 60 kDa

false

Western blot - Anti-Monoamine Oxidase A/MAO-A antibody [EPR7101] (AB126751)
  • WB

Lab

Western blot - Anti-Monoamine Oxidase A/MAO-A antibody [EPR7101] (AB126751)

All lanes:

Western blot - Anti-Monoamine Oxidase A/MAO-A antibody [EPR7101] (ab126751) at 1/10000 dilution

All lanes:

Mouse brain lysates at 15 µg

Secondary

All lanes:

Western blot - Goat Anti-Rabbit IgG H&L (HRP) (<a href='/en-us/products/secondary-antibodies/goat-rabbit-igg-h-l-hrp-ab97051'>ab97051</a>) at 1/20000 dilution

Predicted band size: 60 kDa

Observed band size: 60 kDa

false

OI-RD Scanning - Anti-Monoamine Oxidase A/MAO-A antibody [EPR7101] (AB126751)
  • OI-RD Scanning

Unknown

OI-RD Scanning - Anti-Monoamine Oxidase A/MAO-A antibody [EPR7101] (AB126751)

We have systematically measured KD (the equilibrium dissociation constant between the antibody and its antigen), of more than 840 recombinant antibodies to assess not only their individual KD values but also to see the average affinity of antibody. Based on the comparison with published literature values for mouse monoclonal antibodies, Recombinant antibodies appear to be on average 1-2 order of magnitude higher affinity.

  • HRP

    HRP Anti-Monoamine Oxidase A/MAO-A antibody [EPR7101]

  • Carrier free

    Anti-Monoamine Oxidase A/MAO-A antibody [EPR7101] - BSA and Azide free

  • 617 Alexa Fluor® 594

    Alexa Fluor® 594 Anti-Monoamine Oxidase A / MAO-A antibody [EPR7101]

  • 660 APC

    APC Anti-Monoamine Oxidase A / MAO-A antibody [EPR7101]

  • 578 PE

    PE Anti-Monoamine Oxidase A / MAO-A antibody [EPR7101]

  • 519 Alexa Fluor® 488

    Alexa Fluor® 488 Anti-Monoamine Oxidase A / MAO-A antibody [EPR7101]

  • 665 Alexa Fluor® 647

    Alexa Fluor® 647 Anti-Monoamine Oxidase A/MAO-A antibody [EPR7101]

  • 565 Alexa Fluor® 555

    Alexa Fluor® 555 Anti-Monoamine Oxidase A / MAO-A antibody [EPR7101]

Key facts

Host species

Rabbit

Clonality

Monoclonal

Clone number

EPR7101

Isotype

IgG

Carrier free

No

Reacts with

Mouse, Rat, Human

Applications

WB, Flow Cyt (Intra), ICC/IF, IHC-P

applications

Immunogen

The exact immunogen used to generate this antibody is proprietary information.

Reactivity data

{ "title": "Reactivity Data", "filters": { "stats": ["", "Species", "Dilution Info", "Notes"], "tabs": { "all-applications": {"fullname" : "All Applications", "shortname": "All Applications"}, "IHCP" : {"fullname" : "Immunohistochemistry (Formalin/PFA-fixed paraffin-embedded sections)", "shortname":"IHC-P"}, "WB" : {"fullname" : "Western blot", "shortname":"WB"}, "ICCIF" : {"fullname" : "Immunocytochemistry/ Immunofluorescence", "shortname":"ICC/IF"}, "FlowCytIntra" : {"fullname" : "Flow Cytometry (Intracellular)", "shortname":"Flow Cyt (Intra)"} }, "product-promise": { "all": "all", "testedAndGuaranteed": "tested", "guaranteed": "expected", "predicted": "predicted", "notRecommended": "not-recommended" } }, "values": { "Human": { "IHCP-species-checked": "testedAndGuaranteed", "IHCP-species-dilution-info": "1/400", "IHCP-species-notes": "<p><strong>For unpurified use at 1/50 - 1/100.</strong></p> Perform heat-mediated antigen retrieval with citrate buffer pH 6 before commencing with IHC staining protocol.", "WB-species-checked": "testedAndGuaranteed", "WB-species-dilution-info": "1/1000 - 1/10000", "WB-species-notes": "<p></p>", "ICCIF-species-checked": "testedAndGuaranteed", "ICCIF-species-dilution-info": "1/50 - 1/100", "ICCIF-species-notes": "<p></p>", "FlowCytIntra-species-checked": "testedAndGuaranteed", "FlowCytIntra-species-dilution-info": "", "FlowCytIntra-species-notes": "<p></p>" }, "Mouse": { "IHCP-species-checked": "testedAndGuaranteed", "IHCP-species-dilution-info": "1/400", "IHCP-species-notes": "<p><strong>For unpurified use at 1/50 - 1/100.</strong></p> Perform heat-mediated antigen retrieval with citrate buffer pH 6 before commencing with IHC staining protocol.", "WB-species-checked": "testedAndGuaranteed", "WB-species-dilution-info": "1/1000 - 1/10000", "WB-species-notes": "<p></p>", "ICCIF-species-checked": "guaranteed", "ICCIF-species-dilution-info": "", "ICCIF-species-notes": "", "FlowCytIntra-species-checked": "guaranteed", "FlowCytIntra-species-dilution-info": "", "FlowCytIntra-species-notes": "" }, "Rat": { "IHCP-species-checked": "testedAndGuaranteed", "IHCP-species-dilution-info": "1/400", "IHCP-species-notes": "<p><strong>For unpurified use at 1/50 - 1/100.</strong></p> Perform heat-mediated antigen retrieval with citrate buffer pH 6 before commencing with IHC staining protocol.", "WB-species-checked": "guaranteed", "WB-species-dilution-info": "", "WB-species-notes": "", "ICCIF-species-checked": "guaranteed", "ICCIF-species-dilution-info": "", "ICCIF-species-notes": "", "FlowCytIntra-species-checked": "guaranteed", "FlowCytIntra-species-dilution-info": "", "FlowCytIntra-species-notes": "" } } }

Product details

What is this antibody validated in?
Anti-Monoamine Oxidase A/MAO-A antibody [EPR7101] (ab126751) is a rabbit recombinant monoclonal antibody and is validated for use in Western Blot (WB), Flow Cytometry (Intra), Flow Cytometry (Flow Cyt), Immunohistochemistry (IHC-P), Immunocytochemistry/immunofluorescence (ICC/IF) in Human, Mouse, Rat samples.

What is the molecular weight of Monoamine Oxidase A/MAO-A?
Anti-Monoamine Oxidase A/MAO-A [EPR7101] (ab126751) specifically detects a band for Monoamine Oxidase A/MAO-A (UniProt: P21397) at a molecular weight of 60kDa.

Trusted by the scientific community
Anti-Monoamine Oxidase A/MAO-A [EPR7101] (ab126751) was first used in a scientific publication in 2012 and has been cited over 40 times in peer-reviewed journals.

Trial sizes available!
Test your antibody or perform pre-screening before committing to a larger quantity. Sold in 10µl. Discover our selection of trial-size antibodies.

Specificity confirmed
The specificity of Anti-Monoamine Oxidase A/MAO-A antibody [EPR7101] (ab126751) has been confirmed by Western blot testing in MAOA Knockout HAP1 cells.

Other related products
We have a range of other formats of antibody clone [EPR7101] also available for your convenience: ab126751, Alexa Fluor® 647 - ab200752, HRP - ab200928, Carrier free - ab240031, APC - ab310819, PE - ab310897, Alexa Fluor® 488 - ab310971, Alexa Fluor® 594 - ab311690, Alexa Fluor® 555 - ab313175

Patented technology
Our RabMAb® technology is a patented hybridoma-based technology for making rabbit monoclonal antibodies. For details on our patents, please refer to RabMAb® patents.

What are the advantages of a recombinant monoclonal antibody?
This product is a recombinant monoclonal antibody, which offers several advantages including:

  • - High batch-to-batch consistency and reproducibility
  • - Improved sensitivity and specificity
  • - Long-term security of supply
  • - Animal-free batch production

For more information, read more on recombinant antibodies.

Properties and storage information

Form
Liquid
Purification technique
Affinity purification Protein A
Storage buffer
pH: 7.2 - 7.4 Preservative: 0.01% Sodium azide Constituents: PBS, 40% Glycerol (glycerin, glycerine), 0.05% BSA
Shipped at conditions
Blue Ice
Appropriate short-term storage duration
1-2 weeks
Appropriate short-term storage conditions
+4°C
Appropriate long-term storage conditions
-20°C
Aliquoting information
Upon delivery aliquot
Storage information
Avoid freeze / thaw cycle

Supplementary information

This supplementary information is collated from multiple sources and compiled automatically.

Monoamine Oxidase A (MAO-A) also known as MAO protein is an enzyme that degrades neurotransmitters through oxidative deamination. It possesses a mass of approximately 59 kDa. This enzyme is found localized in the outer mitochondrial membrane of cells specifically in high concentrations in the brain liver and intestine. MAO-A plays an important role in the breakdown of monoamine neurotransmitters such as serotonin norepinephrine and dopamine which are critical for normal brain function.
Biological function summary

MAO-A acts to maintain proper neurotransmitter levels by catalyzing the oxidative deamination of monoamines. It is not part of a larger protein complex but functions independently to influence monoamine balance. Through its enzymatic activity MAO-A regulates several physiological processes including mood and emotional responses by controlling neurotransmitter availability and preventing their accumulation to neurotoxic levels.

Pathways

MAO-A operates within the catabolic pathways that reduce the bioavailability of monoamines. It pairs with proteins like Catechol-O-methyltransferase (COMT) in the metabolic degradation of catecholamines. This pathway is integral to managing the equilibrium of mood-related neurotransmitters and involves complex interactions with other enzymatic systems including MAO-B which targets different substrates.

MAO-A is closely associated with psychiatric conditions such as depression and anxiety. Altered MAO-A activity can dysregulate monoamine levels contributing to these disorders. Additionally research links MAO-A dysregulation to neurodegenerative diseases like Parkinson's disease where imbalances in monoamine levels play a role. This enzyme interacts with proteins involved in early stages of these diseases highlighting its potential as a target for therapeutic interventions using MAO inhibitors.

Product protocols

For this product, it's our understanding that no specific protocols are required. You can visit:

Target data

Catalyzes the oxidative deamination of primary and some secondary amine such as neurotransmitters, with concomitant reduction of oxygen to hydrogen peroxide and has important functions in the metabolism of neuroactive and vasoactive amines in the central nervous system and peripheral tissues (PubMed : 18391214, PubMed : 20493079, PubMed : 24169519, PubMed : 8316221). Preferentially oxidizes serotonin (PubMed : 20493079, PubMed : 24169519). Also catalyzes the oxidative deamination of kynuramine to 3-(2-aminophenyl)-3-oxopropanal that can spontaneously condense to 4-hydroxyquinoline (By similarity).
See full target information MAOA

Publications (70)

Recent publications for all applications. Explore the full list and refine your search

Molecular and cellular biochemistry : PubMed41021120

2025

Monoamine oxidases are mediators of oxidative stress in human varicose Veins: interactions with obesity, inflammation, and angiotensin II.

Applications

Unspecified application

Species

Unspecified reactive species

Sonia Raţiu,Adrian Sturza,Paul S Muntean,Claudia Borza,Tiberiu Bratu,Danina M Muntean

Nature aging 5:1828-1843 PubMed40897908

2025

Nerve-associated macrophages control adipose homeostasis across lifespan and restrain age-related inflammation.

Applications

Unspecified application

Species

Unspecified reactive species

Elsie Gonzalez-Hurtado,Claire Leveau,Keyi Li,Manish Mishra,Rihao Qu,Emily L Goldberg,Sviatoslav Sidorov,Payal Damani-Yokota,Stephen T Yeung,Camille Khairallah,David Gonzalez,Taverlyn M Shepard,Christina Camell,Maxim N Artyomov,Yuval Kluger,Kamal M Khanna,Vishwa Deep Dixit

Behavioral and brain functions : BBF 21:22 PubMed40646562

2025

Knockout of Bmal1 in dopaminergic neurons induces ADHD-like symptoms via hyperactive dopamine signaling in male mice.

Applications

Unspecified application

Species

Unspecified reactive species

Yichun Zhang,Xin Li,Yong Liu,Xiangyu Li,Dengfeng Liu,Qingyun Han,Xiran Liu,Xuyi Wang,Jia-Da Li,Suixin Deng

BMC complementary medicine and therapies 25:153 PubMed40269903

2025

Anti-central fatigue effects of myelophil in 5-HTergic hyperactivity mice model.

Applications

Unspecified application

Species

Unspecified reactive species

Ji-Yun Kang,Dong-Cheol Baek,Jin-Seok Lee,Chang-Gue Son

Journal for immunotherapy of cancer 13: PubMed40121032

2025

Inhibition of stromal MAOA leading activation of WNT5A enhance prostate cancer immunotherapy by involving the transition of cancer-associated fibroblasts.

Applications

Unspecified application

Species

Unspecified reactive species

Zhite Zhao,Yaohua Hu,Hui Li,Tong Lu,Xinglin He,Yifan Ma,Minli Huang,Mengyao Li,Lijun Yang,Changhong Shi

International journal of molecular sciences 25: PubMed39408637

2024

Monoamine Oxidase Contributes to Valvular Oxidative Stress: A Prospective Observational Pilot Study in Patients with Severe Mitral Regurgitation.

Applications

Unspecified application

Species

Unspecified reactive species

Raluca Șoșdean,Maria D Dănilă,Loredana N Ionică,Alexandru S Pescariu,Monica Mircea,Adina Ionac,Cristian Mornoș,Constantin T Luca,Horea B Feier,Danina M Muntean,Adrian Sturza

Biomedicines 12: PubMed39335522

2024

Increased Myocardial MAO-A, Atrogin-1, and IL-1β Expression in Transgenic Mice with Pancreatic Carcinoma-Benefit of MAO-A Inhibition for Cardiac Cachexia.

Applications

Unspecified application

Species

Unspecified reactive species

Kira Stelter,Annalena Alabssi,Gabriel Alejandro Bonaterra,Hans Schwarzbach,Volker Fendrich,Emily P Slater,Ralf Kinscherf,Wulf Hildebrandt

Molecular and cellular biochemistry 480:2413-2421 PubMed39167271

2024

Methylene blue reduces monoamine oxidase expression and oxidative stress in human cardiovascular adipose tissue.

Applications

Unspecified application

Species

Unspecified reactive species

Oana-Maria Aburel,Laurențiu Brăescu,Darius G Buriman,Adrian P Merce,Anca M Bînă,Claudia Borza,Cristian Mornoș,Adrian Sturza,Danina M Muntean

Molecular psychiatry 30:506-520 PubMed39122778

2024

Deletion of murine astrocytic vesicular nucleotide transporter increases anxiety and depressive-like behavior and attenuates motivation for reward.

Applications

Unspecified application

Species

Unspecified reactive species

Qian Huang,Hiu Ham Lee,Bryan Volpe,Qingchen Zhang,Chang Xue,Brian C Liu,Yahia R Abuhasan,Lingyun Li,Jeremy S Yang,Julie Egholm,Cristina Gutierrez-Vazquez,Allen Li,Alyssa Lee,Sharon Tang,Chun Wa Wong,Tiemin Liu,Yuan Huang,Raddy L Ramos,Randy F Stout,Abdelfattah El Ouaamari,Francisco J Quintana,Bradford B Lowell,C Ronald Kahn,Emmanuel N Pothos,Weikang Cai

Human reproduction open 2024:hoae042 PubMed39091587

2024

Dysregulation of endometrial stromal serotonin homeostasis leading to abnormal phosphatidylcholine metabolism impairs decidualization in patients with recurrent implantation failure.

Applications

Unspecified application

Species

Unspecified reactive species

Jiao Tian,Zhe Zhang,Jie Mei,Na Kong,Yuan Yan,Xiaoyue Shen,Jidong Zhou,Yang Zhang,Nannan Kang,Xin Zhen,Lijun Ding,Guijun Yan,Haixiang Sun,Xiaoqiang Sheng
View all publications

Product promise

We are committed to supporting your work with high-quality reagents, and we're here for you every step of the way. In the unlikely event that one of our products does not perform as expected, you're protected by our Product Promise.
For full details, please see our Terms & Conditions

Please note: All products are 'FOR RESEARCH USE ONLY. NOT FOR USE IN DIAGNOSTIC OR THERAPEUTIC PROCEDURES'.

For licensing inquiries, please contact partnerships@abcam.com