JavaScript is disabled in your browser. Please enable JavaScript to view this website.
AB240031

Anti-Monoamine Oxidase A/MAO-A antibody [EPR7101] - BSA and Azide free

  • BOND RX™ Validated
  • RabMAb
  • Recombinant
  • KO Validated
  • What is this?

Be the first to review this product! Submit a review

|

(1 Publication)

Rabbit Recombinant Monoclonal Monoamine Oxidase A/MAO-A antibody. Carrier free. Suitable for IHC-P, WB, ICC/IF, Flow Cyt (Intra) and reacts with Rat, Mouse, Human samples. Cited in 1 publication.

View Alternative Names

Amine oxidase [flavin-containing] A, Monoamine oxidase type A, MAO-A, MAOA

9 Images
Immunohistochemistry (Formalin/PFA-fixed paraffin-embedded sections) - Anti-Monoamine Oxidase A/MAO-A antibody [EPR7101] - BSA and Azide free (AB240031)
  • IHC-P

Unknown

Immunohistochemistry (Formalin/PFA-fixed paraffin-embedded sections) - Anti-Monoamine Oxidase A/MAO-A antibody [EPR7101] - BSA and Azide free (AB240031)

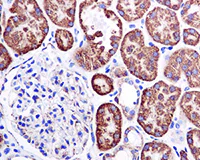
ab126751 (unpurified), at 1/50 dilution, staining Monoamine Oxidase A/MAO-A in paraffin embedded Human kidney tissue by Immunohistochemistry.

This data was developed using the same antibody clone in a different buffer formulation containing PBS, BSA, glycerol, and sodium azide (ab126751).

Perform heat mediated antigen retrieval with citrate buffer pH 6 before commencing with IHC staining protocol.

Flow Cytometry (Intracellular) - Anti-Monoamine Oxidase A/MAO-A antibody [EPR7101] - BSA and Azide free (AB240031)
  • Flow Cyt (Intra)

Lab

Flow Cytometry (Intracellular) - Anti-Monoamine Oxidase A/MAO-A antibody [EPR7101] - BSA and Azide free (AB240031)

ab126751 (purified) staining Monoamine Oxidase A/MAO-A in the human cell line HepG2 (human hepatocellular carcinoma) by intracellular flow cytometry. Cells were fixed with 4% paraformaldehyde and the sample was incubated with the primary antibody at a dilution of 1/20. A goat anti rabbit IgG (Alexa Fluor® 488) at a dilution of 1/2000 was used as the secondary antibody.

Isoytype control : Rabbit monoclonal IgG (Black)

Unlabelled control : Cell without incubation with primary antibody and secondary antibody (Blue)

This data was developed using the same antibody clone in a different buffer formulation containing PBS, BSA, glycerol, and sodium azide (ab126751).

Immunohistochemistry (Formalin/PFA-fixed paraffin-embedded sections) - Anti-Monoamine Oxidase A/MAO-A antibody [EPR7101] - BSA and Azide free (AB240031)
  • IHC-P

Unknown

Immunohistochemistry (Formalin/PFA-fixed paraffin-embedded sections) - Anti-Monoamine Oxidase A/MAO-A antibody [EPR7101] - BSA and Azide free (AB240031)

Immunohistochemistry (Formalin/PFA-fixed paraffin-embedded sections) analysis of human hepatocellular carcinoma tissue sections labeling Monoamine Oxidase A/MAO-A with Purified ab126751 at 1 : 400 dilution (0.38 µg/ml). Heat mediated antigen retrieval using Bond™ Epitope Retrieval Solution 2 (pH 9.0). Rabbit specific IHC polymer detection kit HRP/DAB (ab209101) was used for detection. Negative control : PBS instead of the primary antibody. Hematoxylin was used as a counterstain.
This data was developed using the same antibody clone in a different buffer formulation containing PBS, BSA, glycerol, and sodium azide (ab126751)

Immunohistochemistry (Formalin/PFA-fixed paraffin-embedded sections) - Anti-Monoamine Oxidase A/MAO-A antibody [EPR7101] - BSA and Azide free (AB240031)
  • IHC-P

Unknown

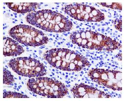
Immunohistochemistry (Formalin/PFA-fixed paraffin-embedded sections) - Anti-Monoamine Oxidase A/MAO-A antibody [EPR7101] - BSA and Azide free (AB240031)

ab126751 (unpurified), at 1/50 dilution, staining Monoamine Oxidase A/MAO-A in paraffin embedded Human colon tissue by Immunohistochemistry.

This data was developed using the same antibody clone in a different buffer formulation containing PBS, BSA, glycerol, and sodium azide (ab126751).

Perform heat mediated antigen retrieval with citrate buffer pH 6 before commencing with IHC staining protocol.

Immunocytochemistry/ Immunofluorescence - Anti-Monoamine Oxidase A/MAO-A antibody [EPR7101] - BSA and Azide free (AB240031)
  • ICC/IF

Unknown

Immunocytochemistry/ Immunofluorescence - Anti-Monoamine Oxidase A/MAO-A antibody [EPR7101] - BSA and Azide free (AB240031)

Immunocytochemistry/ Immunofluorescence analysis of HepG2 (Human hepatocellular carcinoma epithelial cell) cells labeling Monoamine Oxidase A/MAO-A with Purified ab126751 at 1 : 100 dilution (1.5 µg/ml). Cells were fixed in 4% Paraformaldehyde and permeabilized with 0.1% tritonX-100. Cells were counterstained with ab195889 Anti-alpha Tubulin antibody [DM1A] - Microtubule Marker (Alexa Fluor® 594) 1 : 200 (2.5 µg/ml). Goat anti rabbit IgG (Alexa Fluor® 488, ab150077) was used as the secondary antibody at 1 : 1000 (2 µg/ml) dilution. DAPI (blue) was used as nuclear counterstain. PBS instead of the primary antibody was used as the secondary antibody only control.
This data was developed using the same antibody clone in a different buffer formulation containing PBS, BSA, glycerol, and sodium azide (ab126751)

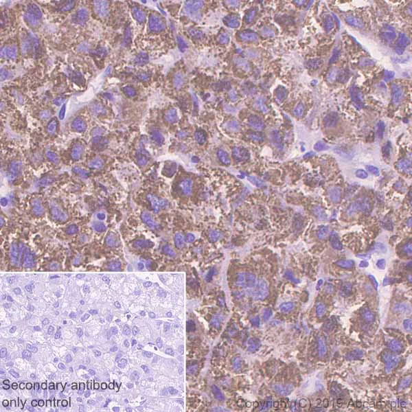
Immunohistochemistry (Formalin/PFA-fixed paraffin-embedded sections) - Anti-Monoamine Oxidase A/MAO-A antibody [EPR7101] - BSA and Azide free (AB240031)
  • IHC-P

Unknown

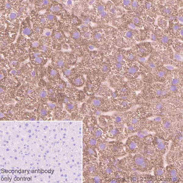
Immunohistochemistry (Formalin/PFA-fixed paraffin-embedded sections) - Anti-Monoamine Oxidase A/MAO-A antibody [EPR7101] - BSA and Azide free (AB240031)

Immunohistochemistry (Formalin/PFA-fixed paraffin-embedded sections) analysis of mouse liver tissue sections labeling Monoamine Oxidase A/MAO-A with Purified ab126751 at 1 : 400 dilution (0.38 µg/ml). Heat mediated antigen retrieval using Bond™ Epitope Retrieval Solution 2 (pH 9.0). Rabbit specific IHC polymer detection kit HRP/DAB (ab209101) was used for detection. Negative control : PBS instead of the primary antibody. Hematoxylin was used as a counterstain.
This data was developed using the same antibody clone in a different buffer formulation containing PBS, BSA, glycerol, and sodium azide (ab126751)

Immunohistochemistry (Formalin/PFA-fixed paraffin-embedded sections) - Anti-Monoamine Oxidase A/MAO-A antibody [EPR7101] - BSA and Azide free (AB240031)
  • IHC-P

Unknown

Immunohistochemistry (Formalin/PFA-fixed paraffin-embedded sections) - Anti-Monoamine Oxidase A/MAO-A antibody [EPR7101] - BSA and Azide free (AB240031)

Immunohistochemistry (Formalin/PFA-fixed paraffin-embedded sections) analysis of rat liver tissue sections labeling Monoamine Oxidase A/MAO-A with Purified ab126751 at 1 : 400 dilution (0.38 µg/ml). Heat mediated antigen retrieval using Bond™ Epitope Retrieval Solution 2 (pH 9.0). Rabbit specific IHC polymer detection kit HRP/DAB (ab209101) was used for detection. Negative control : PBS instead of the primary antibody. Hematoxylin was used as a counterstain.
This data was developed using the same antibody clone in a different buffer formulation containing PBS, BSA, glycerol, and sodium azide (ab126751)

Western blot - Anti-Monoamine Oxidase A/MAO-A antibody [EPR7101] - BSA and Azide free (AB240031)
  • WB

Lab

Western blot - Anti-Monoamine Oxidase A/MAO-A antibody [EPR7101] - BSA and Azide free (AB240031)

Lanes 1 - 2 : Merged signal (red and green). Green - ab126751 observed at 60 kDa. Red - loading control, ab8245, observed at 38 kDa.

ab126751 was shown to recognize Monoamine Oxidase A in wild-type HAP1 cells as signal was lost at the expected MW in MAOA (Monoamine Oxidase A) knockout cells. Additional cross-reactive bands were observed in the wild-type and knockout cells. Wild-type and MAOA (Monoamine Oxidase A) knockout samples were subjected to SDS-PAGE. ab126751 and ab8245 (Mouse anti-GAPDH loading control) were incubated overnight at 4°C at 1/1000 dilution and 1/20000 dilution respectively. Blots were developed with Goat anti-Rabbit IgG H&L (IRDye® 800CW) preabsorbed ab216773 and Goat anti-Mouse IgG H&L (IRDye® 680RD) preabsorbed ab216776 secondary antibodies at 1/20000 dilution for 1 hour at room temperature before imaging.

This data was developed using the same antibody clone in a different buffer formulation containing PBS, BSA, glycerol, and sodium azide (ab126751).

All lanes:

Western blot - Anti-Monoamine Oxidase A/MAO-A antibody [EPR7101] (<a href='/en-us/products/primary-antibodies/monoamine-oxidase-a-mao-a-antibody-epr7101-ab126751'>ab126751</a>) at 1/1000 dilution

Lane 1:

Wild-type HAP1 whole cell lysate at 20 µg

Lane 2:

MAOA (Monoamine Oxidase A) knockout HAP1 whole cell lysate at 20 µg

Predicted band size: 60 kDa

false

OI-RD Scanning - Anti-Monoamine Oxidase A/MAO-A antibody [EPR7101] - BSA and Azide free (AB240031)
  • OI-RD Scanning

Unknown

OI-RD Scanning - Anti-Monoamine Oxidase A/MAO-A antibody [EPR7101] - BSA and Azide free (AB240031)

We have systematically measured KD (the equilibrium dissociation constant between the antibody and its antigen), of more than 840 recombinant antibodies to assess not only their individual KD values but also to see the average affinity of antibody. Based on the comparison with published literature values for mouse monoclonal antibodies, Recombinant antibodies appear to be on average 1-2 order of magnitude higher affinity.

  • Unconjugated

    Anti-Monoamine Oxidase A/MAO-A antibody [EPR7101]

  • 519 Alexa Fluor® 488

    Alexa Fluor® 488 Anti-Monoamine Oxidase A / MAO-A antibody [EPR7101]

  • 665 Alexa Fluor® 647

    Alexa Fluor® 647 Anti-Monoamine Oxidase A/MAO-A antibody [EPR7101]

  • HRP

    HRP Anti-Monoamine Oxidase A/MAO-A antibody [EPR7101]

  • 660 APC

    APC Anti-Monoamine Oxidase A / MAO-A antibody [EPR7101]

  • 578 PE

    PE Anti-Monoamine Oxidase A / MAO-A antibody [EPR7101]

  • 617 Alexa Fluor® 594

    Alexa Fluor® 594 Anti-Monoamine Oxidase A / MAO-A antibody [EPR7101]

  • 565 Alexa Fluor® 555

    Alexa Fluor® 555 Anti-Monoamine Oxidase A / MAO-A antibody [EPR7101]

Key facts

Host species

Rabbit

Clonality

Monoclonal

Clone number

EPR7101

Isotype

IgG

Carrier free

Yes

Reacts with

Mouse, Rat, Human

Applications

ICC/IF, IHC-P, Flow Cyt (Intra), WB

applications

Immunogen

The exact immunogen used to generate this antibody is proprietary information.

Reactivity data

{ "title": "Reactivity Data", "filters": { "stats": ["", "Species", "Dilution Info", "Notes"], "tabs": { "all-applications": {"fullname" : "All Applications", "shortname": "All Applications"}, "IHCP" : {"fullname" : "Immunohistochemistry (Formalin/PFA-fixed paraffin-embedded sections)", "shortname":"IHC-P"}, "WB" : {"fullname" : "Western blot", "shortname":"WB"}, "ICCIF" : {"fullname" : "Immunocytochemistry/ Immunofluorescence", "shortname":"ICC/IF"}, "FlowCytIntra" : {"fullname" : "Flow Cytometry (Intracellular)", "shortname":"Flow Cyt (Intra)"} }, "product-promise": { "all": "all", "testedAndGuaranteed": "tested", "guaranteed": "expected", "predicted": "predicted", "notRecommended": "not-recommended" } }, "values": { "Human": { "IHCP-species-checked": "testedAndGuaranteed", "IHCP-species-dilution-info": "", "IHCP-species-notes": "<p></p>", "WB-species-checked": "testedAndGuaranteed", "WB-species-dilution-info": "", "WB-species-notes": "<p></p>", "ICCIF-species-checked": "testedAndGuaranteed", "ICCIF-species-dilution-info": "", "ICCIF-species-notes": "<p></p>", "FlowCytIntra-species-checked": "testedAndGuaranteed", "FlowCytIntra-species-dilution-info": "", "FlowCytIntra-species-notes": "<p></p>" }, "Mouse": { "IHCP-species-checked": "testedAndGuaranteed", "IHCP-species-dilution-info": "", "IHCP-species-notes": "<p></p>", "WB-species-checked": "testedAndGuaranteed", "WB-species-dilution-info": "", "WB-species-notes": "<p></p>", "ICCIF-species-checked": "guaranteed", "ICCIF-species-dilution-info": "", "ICCIF-species-notes": "", "FlowCytIntra-species-checked": "guaranteed", "FlowCytIntra-species-dilution-info": "", "FlowCytIntra-species-notes": "" }, "Rat": { "IHCP-species-checked": "testedAndGuaranteed", "IHCP-species-dilution-info": "", "IHCP-species-notes": "<p></p>", "WB-species-checked": "testedAndGuaranteed", "WB-species-dilution-info": "", "WB-species-notes": "<p></p>", "ICCIF-species-checked": "guaranteed", "ICCIF-species-dilution-info": "", "ICCIF-species-notes": "", "FlowCytIntra-species-checked": "guaranteed", "FlowCytIntra-species-dilution-info": "", "FlowCytIntra-species-notes": "" } } }

Product details

ab240031 is the carrier-free version of ab126751.

Patented technology
Our RabMAb® technology is a patented hybridoma-based technology for making rabbit monoclonal antibodies. For details on our patents, please refer to RabMAb® patents.

What are the advantages of a recombinant monoclonal antibody?
This product is a recombinant monoclonal antibody, which offers several advantages including:

  • - High batch-to-batch consistency and reproducibility
  • - Improved sensitivity and specificity
  • - Long-term security of supply
  • - Animal-free batch production

For more information, read more on recombinant antibodies.

Conjugation ready
Our carrier-free antibodies are typically supplied in a PBS-only formulation, purified and free of BSA, sodium azide and glycerol. This conjugation-ready format is designed for use with fluorochromes, metal isotopes, oligonucleotides, and enzymes, which makes them ideal for antibody labelling, functional and cell-based assays, flow-based assays (e.g. mass cytometry) and Multiplex Imaging applications.

Use our conjugation kits for antibody conjugates that are ready-to-use in as little as 20 minutes with 1 minute hands-on-time and 100% antibody recovery: available for fluorescent dyes, HRP, biotin and gold.

Compatibility
This product is compatible with the Maxpar® Antibody Labeling Kit from Fluidigm, without the need for antibody preparation. Maxpar® is a trademark of Fluidigm Canada Inc.

Properties and storage information

Form
Liquid
Purification technique
Affinity purification Protein A
Storage buffer
pH: 7.2 - 7.4 Constituents: PBS
Shipped at conditions
Blue Ice
Appropriate short-term storage conditions
+4°C
Appropriate long-term storage conditions
+4°C
Storage information
Do Not Freeze

Supplementary information

This supplementary information is collated from multiple sources and compiled automatically.

Monoamine Oxidase A (MAO-A) also known as MAO protein is an enzyme that degrades neurotransmitters through oxidative deamination. It possesses a mass of approximately 59 kDa. This enzyme is found localized in the outer mitochondrial membrane of cells specifically in high concentrations in the brain liver and intestine. MAO-A plays an important role in the breakdown of monoamine neurotransmitters such as serotonin norepinephrine and dopamine which are critical for normal brain function.
Biological function summary

MAO-A acts to maintain proper neurotransmitter levels by catalyzing the oxidative deamination of monoamines. It is not part of a larger protein complex but functions independently to influence monoamine balance. Through its enzymatic activity MAO-A regulates several physiological processes including mood and emotional responses by controlling neurotransmitter availability and preventing their accumulation to neurotoxic levels.

Pathways

MAO-A operates within the catabolic pathways that reduce the bioavailability of monoamines. It pairs with proteins like Catechol-O-methyltransferase (COMT) in the metabolic degradation of catecholamines. This pathway is integral to managing the equilibrium of mood-related neurotransmitters and involves complex interactions with other enzymatic systems including MAO-B which targets different substrates.

MAO-A is closely associated with psychiatric conditions such as depression and anxiety. Altered MAO-A activity can dysregulate monoamine levels contributing to these disorders. Additionally research links MAO-A dysregulation to neurodegenerative diseases like Parkinson's disease where imbalances in monoamine levels play a role. This enzyme interacts with proteins involved in early stages of these diseases highlighting its potential as a target for therapeutic interventions using MAO inhibitors.

Product protocols

For this product, it's our understanding that no specific protocols are required. You can visit:

Target data

Catalyzes the oxidative deamination of primary and some secondary amine such as neurotransmitters, with concomitant reduction of oxygen to hydrogen peroxide and has important functions in the metabolism of neuroactive and vasoactive amines in the central nervous system and peripheral tissues (PubMed : 18391214, PubMed : 20493079, PubMed : 24169519, PubMed : 8316221). Preferentially oxidizes serotonin (PubMed : 20493079, PubMed : 24169519). Also catalyzes the oxidative deamination of kynuramine to 3-(2-aminophenyl)-3-oxopropanal that can spontaneously condense to 4-hydroxyquinoline (By similarity).
See full target information MAOA

Publications (1)

Recent publications for all applications. Explore the full list and refine your search

Brain sciences 12: PubMed35625066

2022

Distribution of Adiponectin Receptors in the Brain of Adult Mouse: Effect of a Single Dose of the Adiponectin Receptor Agonist, AdipoRON, on Ischemic Stroke.

Applications

Unspecified application

Species

Unspecified reactive species

Julien Clain,David Couret,Cynthia Planesse,Pascale Krejbich-Trotot,Olivier Meilhac,Christian Lefebvre d'Hellencourt,Wildriss Viranaicken,Nicolas Diotel
View all publications

Product promise

We are committed to supporting your work with high-quality reagents, and we're here for you every step of the way. In the unlikely event that one of our products does not perform as expected, you're protected by our Product Promise.
For full details, please see our Terms & Conditions

Please note: All products are 'FOR RESEARCH USE ONLY. NOT FOR USE IN DIAGNOSTIC OR THERAPEUTIC PROCEDURES'.

For licensing inquiries, please contact partnerships@abcam.com