JavaScript is disabled in your browser. Please enable JavaScript to view this website.
AB133270

Anti-Monoamine Oxidase B/MAOB antibody [EPR7102]

Be the first to review this product! Submit a review

|

(6 Publications)

Rabbit Recombinant Monoclonal Monoamine Oxidase B/MAOB antibody. Suitable for WB, IHC-P and reacts with Human samples. Cited in 6 publications.

View Alternative Names

Amine oxidase [flavin-containing] B, Monoamine oxidase type B, MAO-B, MAOB

7 Images
Immunohistochemistry (Formalin/PFA-fixed paraffin-embedded sections) - Anti-Monoamine Oxidase B/MAOB antibody [EPR7102] (AB133270)
  • IHC-P

Unknown

Immunohistochemistry (Formalin/PFA-fixed paraffin-embedded sections) - Anti-Monoamine Oxidase B/MAOB antibody [EPR7102] (AB133270)

Immunohistochemical analysis of paraffin embedded human brain tissue labelling Monoamine Oxidase B/MAOB with unpurified ab133270 at 1/100Produced under U.S. Patent No. 5675063.

Immunohistochemistry (Formalin/PFA-fixed paraffin-embedded sections) - Anti-Monoamine Oxidase B/MAOB antibody [EPR7102] (AB133270)
  • IHC-P

Unknown

Immunohistochemistry (Formalin/PFA-fixed paraffin-embedded sections) - Anti-Monoamine Oxidase B/MAOB antibody [EPR7102] (AB133270)

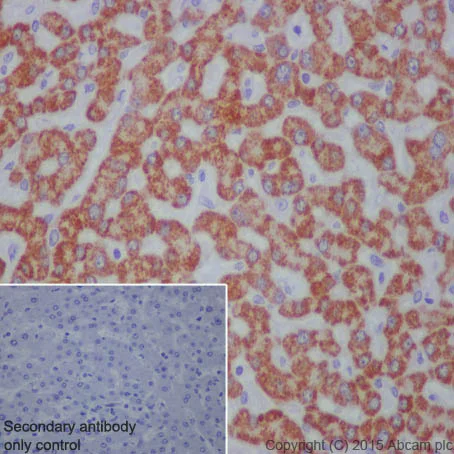
Immunohistochemical staining of paraffin embedded human liver with purified ab133270 at a working dilution of 1/300. The secondary antibody used is ab97051, a goat anti-rabbit IgG (H&L) at a dilution of 1/500. The sample is counter-stained with hematoxylin. Antigen retrieval was perfomed using Tris-EDTA buffer, pH 9.0. PBS was used instead of the primary antibody as the negative control, and is shown in the inset.

Immunohistochemistry (Formalin/PFA-fixed paraffin-embedded sections) - Anti-Monoamine Oxidase B/MAOB antibody [EPR7102] (AB133270)
  • IHC-P

Unknown

Immunohistochemistry (Formalin/PFA-fixed paraffin-embedded sections) - Anti-Monoamine Oxidase B/MAOB antibody [EPR7102] (AB133270)

Immunohistochemical analysis of paraffin embedded human kidney tissue labelling Monoamine Oxidase B/MAOB with unpurified ab133270 at 1/100 dilution.

Western blot - Anti-Monoamine Oxidase B/MAOB antibody [EPR7102] (AB133270)
  • WB

Lab

Western blot - Anti-Monoamine Oxidase B/MAOB antibody [EPR7102] (AB133270)

Blocking buffer : 5% NFDM/TBST
Dilution buffer : 5% NFDM/TBST

All lanes:

Western blot - Anti-Monoamine Oxidase B/MAOB antibody [EPR7102] (ab133270) at 1/5000 dilution

All lanes:

HepG2 cell lysate at 20 µg

Secondary

All lanes:

Anti-rabbit IgG (HRP), specific to the non-reduced form of IgG at 1/1000 dilution

Predicted band size: 59 kDa

Observed band size: 59 kDa

false

Western blot - Anti-Monoamine Oxidase B/MAOB antibody [EPR7102] (AB133270)
  • WB

Unknown

Western blot - Anti-Monoamine Oxidase B/MAOB antibody [EPR7102] (AB133270)

All lanes:

Western blot - Anti-Monoamine Oxidase B/MAOB antibody [EPR7102] (ab133270) at 1/1000 dilution

Lane 1:

Human fetal liver tissue lysate at 10 µg

Lane 2:

Human fetal kidney tissue lysate at 10 µg

Lane 3:

Human platelet tissue lysate at 10 µg

Lane 4:

Human fetal brain tissue lysate at 10 µg

Lane 5:

SH-SY5Y cell lysate at 10 µg

Secondary

All lanes:

Goat anti-rabbit HRP conjugated at 1/2000 dilution

Predicted band size: 59 kDa

false

Western blot - Anti-Monoamine Oxidase B/MAOB antibody [EPR7102] (AB133270)
  • WB

Lab

Western blot - Anti-Monoamine Oxidase B/MAOB antibody [EPR7102] (AB133270)

Blocking buffer : 5% NFDM/TBST
Dilution buffer : 5% NFDM/TBST

All lanes:

Western blot - Anti-Monoamine Oxidase B/MAOB antibody [EPR7102] (ab133270) at 1/2000 dilution

Lane 1:

Human fetal kidney lysate at 20 µg

Lane 2:

Human fetal brain lysate at 20 µg

Secondary

All lanes:

Anti-rabbit IgG (HRP), specific to the non-reduced form of IgG at 1/1000 dilution

Predicted band size: 59 kDa

Observed band size: 59 kDa

false

OI-RD Scanning - Anti-Monoamine Oxidase B/MAOB antibody [EPR7102] (AB133270)
  • OI-RD Scanning

Unknown

OI-RD Scanning - Anti-Monoamine Oxidase B/MAOB antibody [EPR7102] (AB133270)

We have systematically measured KD (the equilibrium dissociation constant between the antibody and its antigen), of more than 840 recombinant antibodies to assess not only their individual KD values but also to see the average affinity of antibody. Based on the comparison with published literature values for mouse monoclonal antibodies, Recombinant antibodies appear to be on average 1-2 order of magnitude higher affinity.

  • Carrier free

    Anti-Monoamine Oxidase B/MAOB antibody [EPR7102] - BSA and Azide free

Key facts

Host species

Rabbit

Clonality

Monoclonal

Clone number

EPR7102

Isotype

IgG

Carrier free

No

Reacts with

Human

Applications

IHC-P, WB

applications

Immunogen

The exact immunogen used to generate this antibody is proprietary information.

Reactivity data

{ "title": "Reactivity Data", "filters": { "stats": ["", "Species", "Dilution Info", "Notes"], "tabs": { "all-applications": {"fullname" : "All Applications", "shortname": "All Applications"}, "WB" : {"fullname" : "Western blot", "shortname":"WB"}, "ICCIF" : {"fullname" : "Immunocytochemistry/ Immunofluorescence", "shortname":"ICC/IF"}, "IHCP" : {"fullname" : "Immunohistochemistry (Formalin/PFA-fixed paraffin-embedded sections)", "shortname":"IHC-P"} }, "product-promise": { "all": "all", "testedAndGuaranteed": "tested", "guaranteed": "expected", "predicted": "predicted", "notRecommended": "not-recommended" } }, "values": { "Human": { "WB-species-checked": "testedAndGuaranteed", "WB-species-dilution-info": "1/1000 - 1/10000", "WB-species-notes": "<p></p>", "ICCIF-species-checked": "notRecommended", "ICCIF-species-dilution-info": "", "ICCIF-species-notes": "<p></p>", "IHCP-species-checked": "testedAndGuaranteed", "IHCP-species-dilution-info": "1/100 - 1/250", "IHCP-species-notes": "<p>Perform antigen retrieval before commencing with IHC staining protocol</p>" } } }

Product details

Species reactivity
Mouse, Rat: We have preliminary internal testing data to indicate this antibody may not react with these species.
Please contact us for more information.

Patented technology
Our RabMAb® technology is a patented hybridoma-based technology for making rabbit monoclonal antibodies. For details on our patents, please refer to RabMAb® patents.

What are the advantages of a recombinant monoclonal antibody?
This product is a recombinant monoclonal antibody, which offers several advantages including:

  • - High batch-to-batch consistency and reproducibility
  • - Improved sensitivity and specificity
  • - Long-term security of supply
  • - Animal-free batch production

For more information, read more on recombinant antibodies.

Properties and storage information

Form
Liquid
Purification technique
Affinity purification Protein A
Storage buffer
pH: 7.2 - 7.4 Preservative: 0.01% Sodium azide Constituents: PBS, 40% Glycerol (glycerin, glycerine), 0.05% BSA
Shipped at conditions
Blue Ice
Appropriate short-term storage duration
1-2 weeks
Appropriate short-term storage conditions
+4°C
Appropriate long-term storage conditions
-20°C
Aliquoting information
Upon delivery aliquot
Storage information
Stable for 12 months at -20°C

Supplementary information

This supplementary information is collated from multiple sources and compiled automatically.

Monoamine oxidase B (MAOB) also known as MAO-B or MOA-B is a flavoenzyme that catalyzes the oxidative deamination of amines. It plays an important role in the catabolism of monoamines including neurotransmitters such as dopamine. The enzyme is approximately 58 kDa in size and is primarily expressed in the brain particularly in the basal ganglia region but also found in platelets and other tissues. MAOB exists in the outer mitochondrial membrane where it is closely associated with cellular respiration processes.
Biological function summary

Monoamine oxidase B aids in the regulation of neurotransmitter levels by breaking down dopamine phenylethylamine and other bioamines. It acts individually rather than forming part of larger protein complexes. This regulatory action influences several neurological processes contributing to the synaptic transmission and maintaining homeostasis in central nervous system functions. The activity of MAOB varies with age generally increasing over time which has implications for its role in aging-related neural changes.

Pathways

Monoamine oxidase B is involved in the dopamine metabolic pathway which impacts neurological functions and behaviors. It also connects to the phenylethylamine catabolic process influencing neuropsychiatric states. MAOB directly interacts with proteins like dopamine transporter proteins that influence dopamine reuptake and it works alongside monoamine oxidase A (MAOA) which degrades other neurotransmitters such as serotonin and norepinephrine providing a comprehensive regulatory mechanism within the monoamine system.

Monoamine oxidase B has a significant connection to neurodegenerative diseases such as Parkinson's disease and psychiatric disorders like depression. Its increased activity is linked to the neurodegeneration observed in Parkinson's due to excessive breakdown of dopamine. Through the process of oxidative stress MAOB contributes to neuronal damage particularly when interacting with proteins like α-synuclein aggravating the disease pathology. Additionally its regulation of dopamine levels can influence depressive states indicating potential therapeutic targets for MAOB inhibitors in these conditions.

Product protocols

For this product, it's our understanding that no specific protocols are required. You can visit:

Target data

Catalyzes the oxidative deamination of primary and some secondary amines such as neurotransmitters, and exogenous amines including the tertiary amine, neurotoxin 1-methyl-4-phenyl-1,2,3,6-tetrahydropyridine (MPTP), with concomitant reduction of oxygen to hydrogen peroxide and participates in the metabolism of neuroactive and vasoactive amines in the central nervous system and peripheral tissues (PubMed : 11049757, PubMed : 11134050, PubMed : 20493079, PubMed : 8316221, PubMed : 8665924). Preferentially degrades benzylamine and phenylethylamine (PubMed : 11049757, PubMed : 11134050, PubMed : 20493079, PubMed : 8316221, PubMed : 8665924).
See full target information MAOB

Publications (6)

Recent publications for all applications. Explore the full list and refine your search

ACS bio & med chem Au 5:403-414 PubMed40556776

2025

RNA G‑Quadruplex Reprogramming with Guanine-Rich Antisense Oligonucleotides Inhibits Monoamine Oxidase B's Translation.

Applications

Unspecified application

Species

Unspecified reactive species

Marc-Antoine Turcotte,Jean-Pierre Perreault

Acta neuropathologica 147:66 PubMed38568475

2024

Characterization of monoamine oxidase-B (MAO-B) as a biomarker of reactive astrogliosis in Alzheimer's disease and related dementias.

Applications

Unspecified application

Species

Unspecified reactive species

Methasit Jaisa-Aad,Clara Muñoz-Castro,Molly A Healey,Bradley T Hyman,Alberto Serrano-Pozo

Methods in molecular biology (Clifton, N.J.) 2558:123-141 PubMed36169860

2022

Detecting Monoamine Oxidase A and B Proteins: A Western Blotting Protocol and Some Practical Considerations.

Applications

Unspecified application

Species

Unspecified reactive species

Jennifer N K Nyarko,Ryan M Heistad,Paul R Pennington,Darrell D Mousseau

Cancers 13: PubMed34209963

2021

Genetic and Proteinic Linkage of MAO and COMT with Oral Potentially Malignant Disorders and Cancers of the Oral Cavity and Pharynx.

Applications

Unspecified application

Species

Unspecified reactive species

Ping-Ho Chen,Yen-Yun Wang,Ting-Hsun Lan,Leong-Perng Chan,Shyng-Shiou Yuan

Science translational medicine 13: PubMed34011628

2021

Gene therapy restores dopamine transporter expression and ameliorates pathology in iPSC and mouse models of infantile parkinsonism.

Applications

Unspecified application

Species

Unspecified reactive species

Joanne Ng,Serena Barral,Carmen De La Fuente Barrigon,Gabriele Lignani,Fatma A Erdem,Rebecca Wallings,Riccardo Privolizzi,Giada Rossignoli,Haya Alrashidi,Sonja Heasman,Esther Meyer,Adeline Ngoh,Simon Pope,Rajvinder Karda,Dany Perocheau,Julien Baruteau,Natalie Suff,Juan Antinao Diaz,Stephanie Schorge,Jane Vowles,Lucy R Marshall,Sally A Cowley,Sonja Sucic,Michael Freissmuth,John R Counsell,Richard Wade-Martins,Simon J R Heales,Ahad A Rahim,Maximilien Bencze,Simon N Waddington,Manju A Kurian

Cells 9: PubMed32708048

2020

Marine Actinomycetes-Derived Secondary Metabolites Overcome TRAIL-Resistance via the Intrinsic Pathway through Downregulation of Survivin and XIAP.

Applications

Unspecified application

Species

Unspecified reactive species

Mohammed I Y Elmallah,Sheron Cogo,Andrei A Constantinescu,Selene Elifio-Esposito,Mohammed S Abdelfattah,Olivier Micheau
View all publications

Product promise

We are committed to supporting your work with high-quality reagents, and we're here for you every step of the way. In the unlikely event that one of our products does not perform as expected, you're protected by our Product Promise.
For full details, please see our Terms & Conditions

Please note: All products are 'FOR RESEARCH USE ONLY. NOT FOR USE IN DIAGNOSTIC OR THERAPEUTIC PROCEDURES'.

For licensing inquiries, please contact partnerships@abcam.com