JavaScript is disabled in your browser. Please enable JavaScript to view this website.
AB248436

Anti-Monoamine Oxidase B/MAOB antibody [EPR7102] - BSA and Azide free

Be the first to review this product! Submit a review

|

(0 Publication)

Rabbit Recombinant Monoclonal Monoamine Oxidase B/MAOB antibody. Carrier free. Suitable for WB, IHC-P and reacts with Human samples.

View Alternative Names

Amine oxidase [flavin-containing] B, Monoamine oxidase type B, MAO-B, MAOB

7 Images
Immunohistochemistry (Formalin/PFA-fixed paraffin-embedded sections) - Anti-Monoamine Oxidase B/MAOB antibody [EPR7102] - BSA and Azide free (AB248436)
  • IHC-P

Unknown

Immunohistochemistry (Formalin/PFA-fixed paraffin-embedded sections) - Anti-Monoamine Oxidase B/MAOB antibody [EPR7102] - BSA and Azide free (AB248436)

This data was developed using ab133270, the same antibody clone in a different buffer formulation.

Immunohistochemical analysis of paraffin embedded human brain tissue labelling Monoamine Oxidase B/MAOB with unpurified ab133270 at 1/100Produced under U.S. Patent No. 5,675,063.

Immunohistochemistry (Formalin/PFA-fixed paraffin-embedded sections) - Anti-Monoamine Oxidase B/MAOB antibody [EPR7102] - BSA and Azide free (AB248436)
  • IHC-P

Unknown

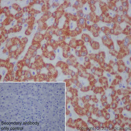
Immunohistochemistry (Formalin/PFA-fixed paraffin-embedded sections) - Anti-Monoamine Oxidase B/MAOB antibody [EPR7102] - BSA and Azide free (AB248436)

This data was developed using ab133270, the same antibody clone in a different buffer formulation.Immunohistochemical staining of paraffin embedded human liver with purified ab133270 at a working dilution of 1/300. The secondary antibody used is ab97051, a goat anti-rabbit IgG (H&L) at a dilution of 1/500. The sample is counter-stained with hematoxylin. Antigen retrieval was perfomed using Tris-EDTA buffer, pH 9.0. PBS was used instead of the primary antibody as the negative control, and is shown in the inset.

Immunohistochemistry (Formalin/PFA-fixed paraffin-embedded sections) - Anti-Monoamine Oxidase B/MAOB antibody [EPR7102] - BSA and Azide free (AB248436)
  • IHC-P

Unknown

Immunohistochemistry (Formalin/PFA-fixed paraffin-embedded sections) - Anti-Monoamine Oxidase B/MAOB antibody [EPR7102] - BSA and Azide free (AB248436)

This data was developed using ab133270, the same antibody clone in a different buffer formulation.

Immunohistochemical analysis of paraffin embedded human kidney tissue labelling Monoamine Oxidase B/MAOB with unpurified ab133270 at 1/100 dilution.

Western blot - Anti-Monoamine Oxidase B/MAOB antibody [EPR7102] - BSA and Azide free (AB248436)
  • WB

Lab

Western blot - Anti-Monoamine Oxidase B/MAOB antibody [EPR7102] - BSA and Azide free (AB248436)

This data was developed using ab133270, the same antibody clone in a different buffer formulation.

Blocking and dilution buffer : 5% NFDM/TBST.

All lanes:

Western blot - Anti-Monoamine Oxidase B/MAOB antibody [EPR7102] (<a href='/en-us/products/primary-antibodies/monoamine-oxidase-b-maob-antibody-epr7102-ab133270'>ab133270</a>) at 1/5000 dilution

All lanes:

HepG2 cell lysate at 20 µg

Secondary

All lanes:

Anti-rabbit IgG (HRP), specific to the non-reduced form of IgG at 1/1000 dilution

Predicted band size: 59 kDa

Observed band size: 59 kDa

false

Western blot - Anti-Monoamine Oxidase B/MAOB antibody [EPR7102] - BSA and Azide free (AB248436)
  • WB

Unknown

Western blot - Anti-Monoamine Oxidase B/MAOB antibody [EPR7102] - BSA and Azide free (AB248436)

This data was developed using ab133270, the same antibody clone in a different buffer formulation.

All lanes:

Western blot - Anti-Monoamine Oxidase B/MAOB antibody [EPR7102] (<a href='/en-us/products/primary-antibodies/monoamine-oxidase-b-maob-antibody-epr7102-ab133270'>ab133270</a>) at 1/1000 dilution

Lane 1:

Human fetal liver tissue lysate at 10 µg

Lane 2:

Human fetal kidney tissue lysate at 10 µg

Lane 3:

Human platelet tissue lysate at 10 µg

Lane 4:

Human fetal brain tissue lysate at 10 µg

Lane 5:

SH-SY5Y cell lysate at 10 µg

Secondary

All lanes:

Goat anti-rabbit HRP conjugated at 1/2000 dilution

Predicted band size: 59 kDa

false

Western blot - Anti-Monoamine Oxidase B/MAOB antibody [EPR7102] - BSA and Azide free (AB248436)
  • WB

Lab

Western blot - Anti-Monoamine Oxidase B/MAOB antibody [EPR7102] - BSA and Azide free (AB248436)

This data was developed using ab133270, the same antibody clone in a different buffer formulation.

Blocking and dilution buffer : 5% NFDM/TBST.

All lanes:

Western blot - Anti-Monoamine Oxidase B/MAOB antibody [EPR7102] (<a href='/en-us/products/primary-antibodies/monoamine-oxidase-b-maob-antibody-epr7102-ab133270'>ab133270</a>) at 1/2000 dilution

Lane 1:

Human fetal kidney lysate at 20 µg

Lane 2:

Human fetal brain lysate at 20 µg

Secondary

All lanes:

Anti-rabbit IgG (HRP), specific to the non-reduced form of IgG at 1/1000 dilution

Predicted band size: 59 kDa

Observed band size: 59 kDa

false

OI-RD Scanning - Anti-Monoamine Oxidase B/MAOB antibody [EPR7102] - BSA and Azide free (AB248436)
  • OI-RD Scanning

Unknown

OI-RD Scanning - Anti-Monoamine Oxidase B/MAOB antibody [EPR7102] - BSA and Azide free (AB248436)

We have systematically measured KD (the equilibrium dissociation constant between the antibody and its antigen), of more than 840 recombinant antibodies to assess not only their individual KD values but also to see the average affinity of antibody. Based on the comparison with published literature values for mouse monoclonal antibodies, Recombinant antibodies appear to be on average 1-2 order of magnitude higher affinity.

  • Unconjugated

    Anti-Monoamine Oxidase B/MAOB antibody [EPR7102]

Key facts

Host species

Rabbit

Clonality

Monoclonal

Clone number

EPR7102

Isotype

IgG

Carrier free

Yes

Reacts with

Human

Applications

WB, IHC-P

applications

Immunogen

The exact immunogen used to generate this antibody is proprietary information.

Reactivity data

{ "title": "Reactivity Data", "filters": { "stats": ["", "Species", "Dilution Info", "Notes"], "tabs": { "all-applications": {"fullname" : "All Applications", "shortname": "All Applications"}, "WB" : {"fullname" : "Western blot", "shortname":"WB"}, "IHCP" : {"fullname" : "Immunohistochemistry (Formalin/PFA-fixed paraffin-embedded sections)", "shortname":"IHC-P"}, "ICCIF" : {"fullname" : "Immunocytochemistry/ Immunofluorescence", "shortname":"ICC/IF"} }, "product-promise": { "all": "all", "testedAndGuaranteed": "tested", "guaranteed": "expected", "predicted": "predicted", "notRecommended": "not-recommended" } }, "values": { "Human": { "WB-species-checked": "testedAndGuaranteed", "WB-species-dilution-info": "", "WB-species-notes": "<p></p>", "IHCP-species-checked": "testedAndGuaranteed", "IHCP-species-dilution-info": "", "IHCP-species-notes": "<p>Perform antigen retrieval before commencing with IHC staining protocol.</p>", "ICCIF-species-checked": "notRecommended", "ICCIF-species-dilution-info": "", "ICCIF-species-notes": "<p></p>" } } }

Product details

ab248436 is the carrier-free version of ab133270.

Species reactivity
Mouse, Rat: We have preliminary internal testing data to indicate this antibody may not react with these species.
Please contact us for more information.

Patented technology
Our RabMAb® technology is a patented hybridoma-based technology for making rabbit monoclonal antibodies. For details on our patents, please refer to RabMAb® patents.

What are the advantages of a recombinant monoclonal antibody?
This product is a recombinant monoclonal antibody, which offers several advantages including:

  • - High batch-to-batch consistency and reproducibility
  • - Improved sensitivity and specificity
  • - Long-term security of supply
  • - Animal-free batch production

For more information, read more on recombinant antibodies.

Conjugation ready
Our carrier-free antibodies are typically supplied in a PBS-only formulation, purified and free of BSA, sodium azide and glycerol. This conjugation-ready format is designed for use with fluorochromes, metal isotopes, oligonucleotides, and enzymes, which makes them ideal for antibody labelling, functional and cell-based assays, flow-based assays (e.g. mass cytometry) and Multiplex Imaging applications.

Use our conjugation kits for antibody conjugates that are ready-to-use in as little as 20 minutes with 1 minute hands-on-time and 100% antibody recovery: available for fluorescent dyes, HRP, biotin and gold.

Compatibility
This product is compatible with the Maxpar® Antibody Labeling Kit from Fluidigm, without the need for antibody preparation. Maxpar® is a trademark of Fluidigm Canada Inc.

Properties and storage information

Form
Liquid
Purification technique
Affinity purification Protein A
Storage buffer
pH: 7.2 - 7.4 Constituents: PBS
Shipped at conditions
Blue Ice
Appropriate short-term storage conditions
+4°C
Appropriate long-term storage conditions
+4°C
Storage information
Do Not Freeze

Supplementary information

This supplementary information is collated from multiple sources and compiled automatically.

Monoamine oxidase B (MAOB) also known as MAO-B or MOA-B is a flavoenzyme that catalyzes the oxidative deamination of amines. It plays an important role in the catabolism of monoamines including neurotransmitters such as dopamine. The enzyme is approximately 58 kDa in size and is primarily expressed in the brain particularly in the basal ganglia region but also found in platelets and other tissues. MAOB exists in the outer mitochondrial membrane where it is closely associated with cellular respiration processes.
Biological function summary

Monoamine oxidase B aids in the regulation of neurotransmitter levels by breaking down dopamine phenylethylamine and other bioamines. It acts individually rather than forming part of larger protein complexes. This regulatory action influences several neurological processes contributing to the synaptic transmission and maintaining homeostasis in central nervous system functions. The activity of MAOB varies with age generally increasing over time which has implications for its role in aging-related neural changes.

Pathways

Monoamine oxidase B is involved in the dopamine metabolic pathway which impacts neurological functions and behaviors. It also connects to the phenylethylamine catabolic process influencing neuropsychiatric states. MAOB directly interacts with proteins like dopamine transporter proteins that influence dopamine reuptake and it works alongside monoamine oxidase A (MAOA) which degrades other neurotransmitters such as serotonin and norepinephrine providing a comprehensive regulatory mechanism within the monoamine system.

Monoamine oxidase B has a significant connection to neurodegenerative diseases such as Parkinson's disease and psychiatric disorders like depression. Its increased activity is linked to the neurodegeneration observed in Parkinson's due to excessive breakdown of dopamine. Through the process of oxidative stress MAOB contributes to neuronal damage particularly when interacting with proteins like α-synuclein aggravating the disease pathology. Additionally its regulation of dopamine levels can influence depressive states indicating potential therapeutic targets for MAOB inhibitors in these conditions.

Product protocols

For this product, it's our understanding that no specific protocols are required. You can visit:

Target data

Catalyzes the oxidative deamination of primary and some secondary amines such as neurotransmitters, and exogenous amines including the tertiary amine, neurotoxin 1-methyl-4-phenyl-1,2,3,6-tetrahydropyridine (MPTP), with concomitant reduction of oxygen to hydrogen peroxide and participates in the metabolism of neuroactive and vasoactive amines in the central nervous system and peripheral tissues (PubMed : 11049757, PubMed : 11134050, PubMed : 20493079, PubMed : 8316221, PubMed : 8665924). Preferentially degrades benzylamine and phenylethylamine (PubMed : 11049757, PubMed : 11134050, PubMed : 20493079, PubMed : 8316221, PubMed : 8665924).
See full target information MAOB

Product promise

We are committed to supporting your work with high-quality reagents, and we're here for you every step of the way. In the unlikely event that one of our products does not perform as expected, you're protected by our Product Promise.
For full details, please see our Terms & Conditions

Please note: All products are 'FOR RESEARCH USE ONLY. NOT FOR USE IN DIAGNOSTIC OR THERAPEUTIC PROCEDURES'.

For licensing inquiries, please contact partnerships@abcam.com