JavaScript is disabled in your browser. Please enable JavaScript to view this website.
AB188926

Anti-Motilin receptor antibody - C-terminal

Be the first to review this product! Submit a review

|

(1 Publication)

Rabbit Polyclonal Motilin receptor antibody. C-terminal. Suitable for IHC-P and reacts with Human samples. Cited in 1 publication. Immunogen corresponding to Synthetic Peptide within Human MLNR.

View Alternative Names

GPR38, MTLR, MTLR1, MLNR, Motilin receptor, G-protein coupled receptor 38

1 Images
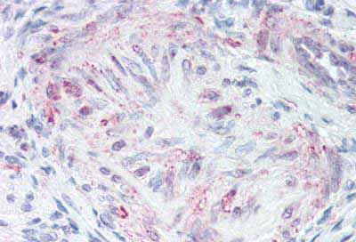
Immunohistochemistry (Formalin/PFA-fixed paraffin-embedded sections) - Anti-Motilin receptor antibody - C-terminal (AB188926)
  • IHC-P

Supplier Data

Immunohistochemistry (Formalin/PFA-fixed paraffin-embedded sections) - Anti-Motilin receptor antibody - C-terminal (AB188926)

Immunohistochemistry analysis of formalin/PFA-fixed paraffin-embedded Human uterus, vessel labeling Motilin receptor tissue with ab188926 at 10μg/ml.

Key facts

Host species

Rabbit

Clonality

Polyclonal

Isotype

IgG

Carrier free

No

Reacts with

Human

Applications

IHC-P

applications

Immunogen

Synthetic Peptide within Human MLNR. The exact immunogen used to generate this antibody is proprietary information.

O43193

Specificity

BLAST analysis of the peptide immunogen showed no homology with other Human proteins.

Reactivity data

{ "title": "Reactivity Data", "filters": { "stats": ["", "Species", "Dilution Info", "Notes"], "tabs": { "all-applications": {"fullname" : "All Applications", "shortname": "All Applications"}, "IHCP" : {"fullname" : "Immunohistochemistry (Formalin/PFA-fixed paraffin-embedded sections)", "shortname":"IHC-P"} }, "product-promise": { "all": "all", "testedAndGuaranteed": "tested", "guaranteed": "expected", "predicted": "predicted", "notRecommended": "not-recommended" } }, "values": { "Human": { "IHCP-species-checked": "testedAndGuaranteed", "IHCP-species-dilution-info": "10 µg/mL", "IHCP-species-notes": "<p></p> Perform heat-mediated antigen retrieval before commencing with IHC staining protocol." }, "Gorilla": { "IHCP-species-checked": "predicted", "IHCP-species-dilution-info": "", "IHCP-species-notes": "" } } }

Properties and storage information

Form
Liquid
Purification technique
Affinity purification Immunogen
Storage buffer
pH: 7.4 Preservative: 0.1% Sodium azide Constituents: PBS
Shipped at conditions
Blue Ice
Appropriate short-term storage duration
1-2 weeks
Appropriate short-term storage conditions
+4°C
Appropriate long-term storage conditions
-20°C
Aliquoting information
Upon delivery aliquot
Storage information
Avoid freeze / thaw cycle

Supplementary information

This supplementary information is collated from multiple sources and compiled automatically.

The motilin receptor also known as GPR38 is a G-protein-coupled receptor (GPCR) with a molecular mass of approximately 45 kDa. This receptor primarily binds to motilin a peptide hormone. It is expressed in the smooth muscle cells of the gastrointestinal tract notably in areas like the stomach and small intestine. By coupling with G-proteins the motilin receptor initiates intracellular signaling cascades that result in physiological responses.
Biological function summary

The motilin receptor plays an important role in regulating gastrointestinal motility. This receptor upon binding motilin triggers contractions in the smooth muscles of the digestive tract. It does not form part of a larger receptor complex and functions independently to modulate stomach and small intestine contractions. Its activity is important for the interdigestive migrating motor complex which moves undigested food through the gastrointestinal tract during fasting periods.

Pathways

Motilin receptor activation significantly impacts the motility and secretory pathways involved in gastrointestinal regulation. It interacts with other proteins in the gastrointestinal signaling network including ghrelin and gastrin to efficiently coordinate motility. The motilin receptor modulates cyclic AMP levels and calcium signaling pathways essential for smooth muscle contractions thereby assisting in coordinated gastrointestinal movements.

The motilin receptor is closely linked to gastrointestinal functional disorders such as gastroparesis and irritable bowel syndrome (IBS). Alterations in receptor activity can lead to disrupted motility and contribute to these conditions. The receptor also associates with ghrelin in the context of functional gastrointestinal disorders as both influence motility patterns. Understanding motilin receptor mechanisms can therefore inform therapeutic strategies for managing these digestive ailments.

Product protocols

For this product, it's our understanding that no specific protocols are required. You can visit:

Target data

Receptor for motilin.
See full target information MLNR

Publications (1)

Recent publications for all applications. Explore the full list and refine your search

Cellular signalling 52:147-154 PubMed30213686

2018

Ligand-mediated dephosphorylation signaling for MAP kinase.

Applications

Unspecified application

Species

Unspecified reactive species

Nataliia V Shults,Faisal S Almansour,Vladyslava Rybka,Dante I Suzuki,Yuichiro J Suzuki
View all publications

Product promise

We are committed to supporting your work with high-quality reagents, and we're here for you every step of the way. In the unlikely event that one of our products does not perform as expected, you're protected by our Product Promise.
For full details, please see our Terms & Conditions

Please note: All products are 'FOR RESEARCH USE ONLY. NOT FOR USE IN DIAGNOSTIC OR THERAPEUTIC PROCEDURES'.

For licensing inquiries, please contact partnerships@abcam.com