JavaScript is disabled in your browser. Please enable JavaScript to view this website.
AB324848

Anti-Mouse HIV1 integrase antibody [IN-4] - BSA and Azide free

Be the first to review this product! Submit a review

|

(0 Publication)

Mouse Recombinant Monoclonal POL antibody. Carrier free. Suitable for WB, IP and reacts with Transfected cell lysate - Human immunodeficiency virus samples.

View Alternative Names

Gag-Pol polyprotein, Pr160Gag-Pol, gag-pol

3 Images
Immunoprecipitation - Anti-Mouse HIV1 integrase antibody [IN-4] - BSA and Azide free (AB324848)
  • IP

Supplier Data

Immunoprecipitation - Anti-Mouse HIV1 integrase antibody [IN-4] - BSA and Azide free (AB324848)

This data was developed using ab323451, the same antibody clone in a different buffer formulation.

HIV1 integrase was immunoprecipitated from 0.35 mg 293T cells transfected with a human immunodeficiency virus type 1 group M subtype B (isolate NY5) (HIV-1) integrase expression vector containing a myc-his-tag whole cell lysate with ab323451 at 1/50 dilution (2ug in 0.35mg lysates). Western blot was performed on the immunoprecipitate using ab323451 at 1/1000 dilution.

Blocking and dilution buffer and concentration : 5% NFDM/TBST

All lanes:

Immunoprecipitation - Anti-Mouse HIV1 integrase antibody [IN-4] (<a href='/en-us/products/primary-antibodies/mouse-hiv1-integrase-antibody-in-4-ab323451'>ab323451</a>) at 1/1000 dilution

Lane 1:

293T cells transfected with a human immunodeficiency virus type 1 group M subtype B (isolate NY5) (HIV-1) integrase expression vector containing a myc-his-tag whole cell lysate at 4 µg

Lane 2:

<a href='/en-us/products/primary-antibodies/mouse-hiv1-integrase-antibody-in-4-ab323451'>ab323451</a> at 1/30 IP in 293T cells transfected with a human immunodeficiency virus type 1 group M subtype B (isolate NY5) (HIV-1) integrase expression vector containing a myc-his-tag whole cell lysate at 4 µg

Lane 3:

Mouse IgG2a, Kappa monoclonal [MOPC-173] -isotype control (<a href='/en-us/products/primary-antibodies/mouse-igg2a-kappa-monoclonal-mopc-173-isotype-control-chip-grade-ab18413'>ab18413</a>) instead of <a href='/en-us/products/primary-antibodies/mouse-hiv1-integrase-antibody-in-4-ab323451'>ab323451</a> in 293T cells transfected with a human immunodeficiency virus type 1 group M subtype B (isolate NY5) (HIV-1) integrase expression vector containing a myc-his-tag whole cell lysate at 4 µg

Secondary

All lanes:

Immunoprecipitation - VeriBlot for IP Detection Reagent (HRP) (<a href='/en-us/products/reagents/veriblot-for-ip-detection-reagent-hrp-ab131366'>ab131366</a>) at 1/5000 dilution

Observed band size: 37 kDa

false

Exposure time: 3s

Immunoprecipitation - Anti-Mouse HIV1 integrase antibody [IN-4] - BSA and Azide free (AB324848)
  • IP

Supplier Data

Immunoprecipitation - Anti-Mouse HIV1 integrase antibody [IN-4] - BSA and Azide free (AB324848)

This data was developed using ab323451, the same antibody clone in a different buffer formulation.

HIV1 integrase was immunoprecipitated from 0.35 mg 293T cells transfected with a human immunodeficiency virus type 1 group M subtype B (isolate HXB2) (HIV-1) integrase expression vector containing a myc-his-tag whole cell lysate with ab323451 at 1/50 dilution (2ug in 0.35mg lysates). Western blot was performed on the immunoprecipitate using ab323451 at 1/1000 dilution.

Blocking and dilution buffer and concentration : 5% NFDM/TBST

All lanes:

Immunoprecipitation - Anti-Mouse HIV1 integrase antibody [IN-4] (<a href='/en-us/products/primary-antibodies/mouse-hiv1-integrase-antibody-in-4-ab323451'>ab323451</a>) at 1/1000 dilution

Lane 1:

293T cells transfected with a human immunodeficiency virus type 1 group M subtype B (isolate HXB2) (HIV-1) integrase expression vector containing a myc-his-tag whole cell lysate at 4 µg

Lane 2:

<a href='/en-us/products/primary-antibodies/mouse-hiv1-integrase-antibody-in-4-ab323451'>ab323451</a> at 1/30 IP in 293T cells transfected with a human immunodeficiency virus type 1 group M subtype B (isolate HXB2) (HIV-1) integrase expression vector containing a myc-his-tag whole cell lysate at 4 µg

Lane 3:

Mouse IgG2a, Kappa monoclonal [MOPC-173] -isotype control (<a href='/en-us/products/primary-antibodies/mouse-igg2a-kappa-monoclonal-mopc-173-isotype-control-chip-grade-ab18413'>ab18413</a>) instead of <a href='/en-us/products/primary-antibodies/mouse-hiv1-integrase-antibody-in-4-ab323451'>ab323451</a> in 293T cells transfected with a human immunodeficiency virus type 1 group M subtype B (isolate HXB2) (HIV-1) integrase expression vector containing a myc-his-tag whole cell lysate at 4 µg

Secondary

All lanes:

Immunoprecipitation - VeriBlot for IP Detection Reagent (HRP) (<a href='/en-us/products/reagents/veriblot-for-ip-detection-reagent-hrp-ab131366'>ab131366</a>) at 1/5000 dilution

Observed band size: 37 kDa

false

Exposure time: 3s

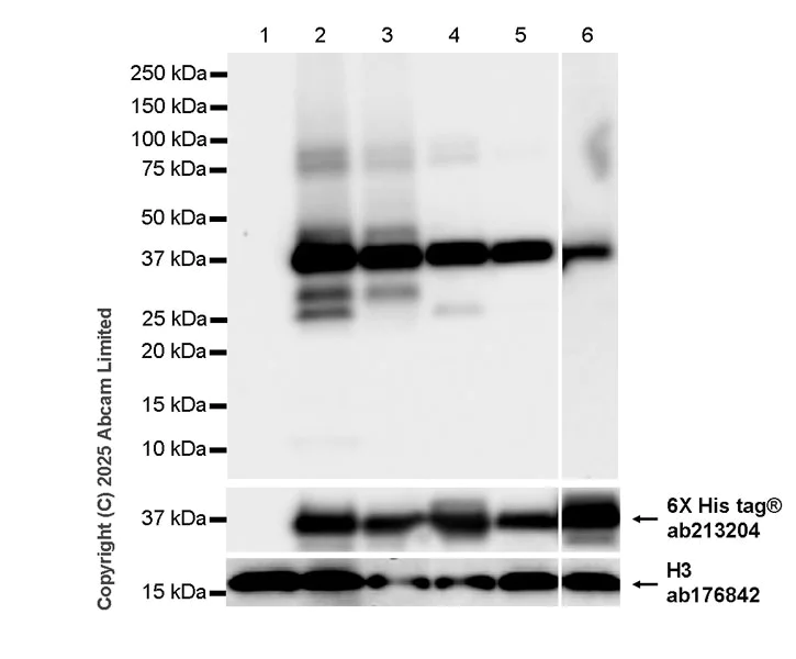
Western blot - Anti-Mouse HIV1 integrase antibody [IN-4] - BSA and Azide free (AB324848)
  • WB

Supplier Data

Western blot - Anti-Mouse HIV1 integrase antibody [IN-4] - BSA and Azide free (AB324848)

This data was developed using ab323451, the same antibody clone in a different buffer formulation.

Blocking and diluting buffer and concentration : 5% NFDM/TBST.

In Western blot, Anti-Histone H3 antibody [EPR16987] - Nuclear Marker and ChIP Grade (ab176842) staining at 1/100000 dilution.

In Western blot, Anti-6X His tag® antibody [EPR20547] - ChIP Grade (ab213204) staining at 1/5000 dilution.

Exposure time : Lanes 1-5 : 4 seconds; Lane 6 : 59 seconds

All lanes:

Western blot - Anti-Mouse HIV1 integrase antibody [IN-4] (<a href='/en-us/products/primary-antibodies/mouse-hiv1-integrase-antibody-in-4-ab323451'>ab323451</a>) at 1/1000 dilution

Lane 1:

293T (human embryonic kidney epithelial cell) transfected with an empty vector containi a myc-his-tag whole cell lysate at 4 µg

Lane 2:

293T cells transfected with a human immunodeficiency virus type 1 group M subtype B (isolate NY5) (HIV-1) integrase expression vector containi a myc-his-tag whole cell lysate at 4 µg

Lane 3:

293T cells transfected with a human immunodeficiency virus type 1 group M subtype B (isolate HXB2) (HIV-1) integrase expression vector containi a myc-his-tag whole cell lysate at 4 µg

Lane 4:

293T cells transfected with a human immunodeficiency virus type 1 group N (isolate YBF30) (HIV-1) integrase expression vector containi a myc-his-tag, whole cell lysate at 4 µg

Lane 5:

293T cells transfected with a human immunodeficiency virus type 1 group O (isolate ANT70) (HIV-1) integrase expression vector containi a myc-his-tag whole cell lysate at 4 µg

Lane 6:

293T cells transfected with a human immunodeficiency virus type 2 subtype B (isolate EHO) (HIV-2) integrase expression vector containi a myc-his-tag whole cell lysate at 4 µg

Secondary

All lanes:

Peroxidase-Conjugated Goat anti-Mouse IgG (H+L) at 1/10000 dilution

Observed band size: 37 kDa,15 kDa

false

Key facts

Host species

Mouse

Clonality

Monoclonal

Clone number

IN-4

Isotype

IgG2a

Carrier free

Yes

Reacts with

Human immunodeficiency virus

Applications

IP, WB

applications

Immunogen

The exact immunogen used to generate this antibody is proprietary information.

Specificity

This antibody does cross-react with HIV-2 Integrase with a lower affinity.

Reactivity data

{ "title": "Reactivity Data", "filters": { "stats": ["", "Species", "Dilution Info", "Notes"], "tabs": { "all-applications": {"fullname" : "All Applications", "shortname": "All Applications"}, "WB" : {"fullname" : "Western blot", "shortname":"WB"}, "IP" : {"fullname" : "Immunoprecipitation", "shortname":"IP"} }, "product-promise": { "all": "all", "testedAndGuaranteed": "tested", "guaranteed": "expected", "predicted": "predicted", "notRecommended": "not-recommended" } }, "values": { "Human immunodeficiency virus": { "WB-species-checked": "predicted", "WB-species-dilution-info": "", "WB-species-notes": "", "IP-species-checked": "predicted", "IP-species-dilution-info": "", "IP-species-notes": "" }, "Transfected cell lysate - Human immunodeficiency virus": { "WB-species-checked": "testedAndGuaranteed", "WB-species-dilution-info": "", "WB-species-notes": "<p></p>", "IP-species-checked": "testedAndGuaranteed", "IP-species-dilution-info": "", "IP-species-notes": "<p></p>" } } }

Product details

ab324848 is the carrier-free version of ab323451.

Want a custom formulation?
This antibody clone is manufactured by Abcam. If you require a custom buffer formulation or conjugation for your experiments, please contact orders@abcam.com

What are the advantages of a recombinant monoclonal antibody?
This product is a recombinant monoclonal antibody, which offers several advantages including:

  • - High batch-to-batch consistency and reproducibility
  • - Improved sensitivity and specificity
  • - Long-term security of supply
  • - Animal-free batch production

For more information, read more on recombinant antibodies.

Conjugation ready
Our carrier-free antibodies are typically supplied in a PBS-only formulation, purified and free of BSA, sodium azide and glycerol. This conjugation-ready format is designed for use with fluorochromes, metal isotopes, oligonucleotides, and enzymes, which makes them ideal for antibody labelling, functional and cell-based assays, flow-based assays (e.g. mass cytometry) and Multiplex Imaging applications.

Use our conjugation kits for antibody conjugates that are ready-to-use in as little as 20 minutes with 1 minute hands-on-time and 100% antibody recovery: available for fluorescent dyes, HRP, biotin and gold.

Compatibility
This product is compatible with the Maxpar® Antibody Labeling Kit from Fluidigm, without the need for antibody preparation. Maxpar® is a trademark of Fluidigm Canada Inc.

Properties and storage information

Form
Liquid
Purification technique
Affinity purification Protein A
Storage buffer
pH: 7.2 - 7.4 Constituents: PBS
Shipped at conditions
Blue Ice
Appropriate short-term storage conditions
+4°C
Appropriate long-term storage conditions
+4°C

Product protocols

For this product, it's our understanding that no specific protocols are required. You can visit:

Target data

Gag-Pol polyprotein. Mediates, with Gag polyprotein, the essential events in virion assembly, including binding the plasma membrane, making the protein-protein interactions necessary to create spherical particles, recruiting the viral Env proteins, and packaging the genomic RNA via direct interactions with the RNA packaging sequence (Psi). Gag-Pol polyprotein may regulate its own translation, by the binding genomic RNA in the 5'-UTR. At low concentration, the polyprotein would promote translation, whereas at high concentration, the polyprotein would encapsidate genomic RNA and then shut off translation.. Matrix protein p17. Targets the polyprotein to the plasma membrane via a multipartite membrane-binding signal, that includes its myristoylated N-terminus (By similarity). Matrix protein is part of the pre-integration complex. Implicated in the release from host cell mediated by Vpu. Binds to RNA (By similarity).. Capsid protein p24. Forms the conical core that encapsulates the genomic RNA-nucleocapsid complex in the virion (PubMed : 8648689). Most core are conical, with only 7% tubular. The core is constituted by capsid protein hexamer subunits. The core is disassembled soon after virion entry (PubMed : 12660176). Host restriction factors such as monkey TRIM5-alpha or TRIMCyp bind retroviral capsids and cause premature capsid disassembly, leading to blocks in reverse transcription. Capsid restriction by TRIM5 is one of the factors which restricts HIV-1 to the human species (PubMed : 23785198). Host PIN1 apparently facilitates the virion uncoating (By similarity). On the other hand, interactions with PDZD8 or CYPA stabilize the capsid (PubMed : 24554657).. Nucleocapsid protein p7. Encapsulates and protects viral dimeric unspliced genomic RNA (gRNA). Binds these RNAs through its zinc fingers. Acts as a nucleic acid chaperone which is involved in rearangement of nucleic acid secondary structure during gRNA retrotranscription. Also facilitates template switch leading to recombination. As part of the polyprotein, participates in gRNA dimerization, packaging, tRNA incorporation and virion assembly.. Protease. Aspartyl protease that mediates proteolytic cleavages of Gag and Gag-Pol polyproteins during or shortly after the release of the virion from the plasma membrane (PubMed : 11932404, PubMed : 9573231). Cleavages take place as an ordered, step-wise cascade to yield mature proteins (PubMed : 11932404, PubMed : 9573231). This process is called maturation (PubMed : 11932404, PubMed : 9573231). Displays maximal activity during the budding process just prior to particle release from the cell (PubMed : 11932404, PubMed : 9573231). Also cleaves Nef and Vif, probably concomitantly with viral structural proteins on maturation of virus particles (PubMed : 7835426). Hydrolyzes host EIF4GI and PABP1 in order to shut off the capped cellular mRNA translation. The resulting inhibition of cellular protein synthesis serves to ensure maximal viral gene expression and to evade host immune response (PubMed : 12660176, PubMed : 19914170). Also mediates cleavage of host YTHDF3 (PubMed : 32053707). Mediates cleavage of host CARD8, thereby activating the CARD8 inflammasome, leading to the clearance of latent HIV-1 in patient CD4(+) T-cells after viral reactivation; in contrast, HIV-1 can evade CARD8-sensing when its protease remains inactive in infected cells prior to viral budding (PubMed : 33542150).. Reverse transcriptase/ribonuclease H. Multifunctional enzyme that converts the viral RNA genome into dsDNA in the cytoplasm, shortly after virus entry into the cell. This enzyme displays a DNA polymerase activity that can copy either DNA or RNA templates, and a ribonuclease H (RNase H) activity that cleaves the RNA strand of RNA-DNA heteroduplexes in a partially processive 3' to 5' endonucleasic mode. Conversion of viral genomic RNA into dsDNA requires many steps. A tRNA(3)-Lys binds to the primer-binding site (PBS) situated at the 5'-end of the viral RNA. RT uses the 3' end of the tRNA primer to perform a short round of RNA-dependent minus-strand DNA synthesis. The reading proceeds through the U5 region and ends after the repeated (R) region which is present at both ends of viral RNA. The portion of the RNA-DNA heteroduplex is digested by the RNase H, resulting in a ssDNA product attached to the tRNA primer. This ssDNA/tRNA hybridizes with the identical R region situated at the 3' end of viral RNA. This template exchange, known as minus-strand DNA strong stop transfer, can be either intra- or intermolecular. RT uses the 3' end of this newly synthesized short ssDNA to perform the RNA-dependent minus-strand DNA synthesis of the whole template. RNase H digests the RNA template except for two polypurine tracts (PPTs) situated at the 5'-end and near the center of the genome. It is not clear if both polymerase and RNase H activities are simultaneous. RNase H probably can proceed both in a polymerase-dependent (RNA cut into small fragments by the same RT performing DNA synthesis) and a polymerase-independent mode (cleavage of remaining RNA fragments by free RTs). Secondly, RT performs DNA-directed plus-strand DNA synthesis using the PPTs that have not been removed by RNase H as primers. PPTs and tRNA primers are then removed by RNase H. The 3' and 5' ssDNA PBS regions hybridize to form a circular dsDNA intermediate. Strand displacement synthesis by RT to the PBS and PPT ends produces a blunt ended, linear dsDNA copy of the viral genome that includes long terminal repeats (LTRs) at both ends.. Integrase. Catalyzes viral DNA integration into the host chromosome, by performing a series of DNA cutting and joining reactions. This enzyme activity takes place after virion entry into a cell and reverse transcription of the RNA genome in dsDNA. The first step in the integration process is 3' processing. This step requires a complex comprising the viral genome, matrix protein, Vpr and integrase. This complex is called the pre-integration complex (PIC). The integrase protein removes 2 nucleotides from each 3' end of the viral DNA, leaving recessed CA OH's at the 3' ends. In the second step, the PIC enters cell nucleus. This process is mediated through integrase and Vpr proteins, and allows the virus to infect a non dividing cell. This ability to enter the nucleus is specific of lentiviruses, other retroviruses cannot and rely on cell division to access cell chromosomes. In the third step, termed strand transfer, the integrase protein joins the previously processed 3' ends to the 5' ends of strands of target cellular DNA at the site of integration. The 5'-ends are produced by integrase-catalyzed staggered cuts, 5 bp apart. A Y-shaped, gapped, recombination intermediate results, with the 5'-ends of the viral DNA strands and the 3' ends of target DNA strands remaining unjoined, flanking a gap of 5 bp. The last step is viral DNA integration into host chromosome. This involves host DNA repair synthesis in which the 5 bp gaps between the unjoined strands are filled in and then ligated. Since this process occurs at both cuts flanking the HIV genome, a 5 bp duplication of host DNA is produced at the ends of HIV-1 integration. Alternatively, Integrase may catalyze the excision of viral DNA just after strand transfer, this is termed disintegration.
See full target information gag-pol

Additional targets

gag-pol,gag-pol,gag-pol,gag-pol

Product promise

We are committed to supporting your work with high-quality reagents, and we're here for you every step of the way. In the unlikely event that one of our products does not perform as expected, you're protected by our Product Promise.
For full details, please see our Terms & Conditions

Please note: All products are 'FOR RESEARCH USE ONLY. NOT FOR USE IN DIAGNOSTIC OR THERAPEUTIC PROCEDURES'.

For licensing inquiries, please contact partnerships@abcam.com