JavaScript is disabled in your browser. Please enable JavaScript to view this website.
AB280974

Mouse IgG1 monoclonal [R312-MouseIgG1]-Isotype control

Be the first to review this product! Submit a review

|

(4 Publications)

Mouse IgG1 monoclonal [R312-MouseIgG1]-Isotype control (ab280974) is a mouse monoclonal antibody used in Flow Cytometry (Intra), Flow Cytometry, IHC-P, ICC/IF.
8 Images
Immunocytochemistry/ Immunofluorescence - Mouse IgG1 monoclonal [R312-MouseIgG1]-Isotype control (AB280974)
  • ICC/IF

Supplier Data

Immunocytochemistry/ Immunofluorescence - Mouse IgG1 monoclonal [R312-MouseIgG1]-Isotype control (AB280974)

Immunofluorescent analysis of 4% Paraformaldehyde-fixed, 0.1% Triton X-100 permeabilized RAW 264.7 cells labelling Mouse IgG1 with ab280974 at 1/20 dilution, followed by ab150113 Goat Anti-Mouse IgG H&L (Alexa Fluor® 488) antibody at 1/1000 dilution (Green). ab179513 Anti-beta Tubulin rabbit monoclonal antibody was used to counterstain tubulin at 1/200 dilution followed by ab150080 Goat Anti-Rabbit IgG H&L (Alexa Fluor® 594) at 1/1000 dilution (Red). The nuclear counterstain was DAPI (Blue).

Confocal image showing no staining in RAW 264.7 cells.

Negative control 1 : ab280974 at a 1/20 dilution followed by ab150080 at a 1/1000 dilution.

Negative control 2 : ab179513 at a 1/200 dilution followed by ab150113 at a 1/1000 dilution.

Flow Cytometry (Intracellular) - Mouse IgG1 monoclonal [R312-MouseIgG1]-Isotype control (AB280974)
  • Flow Cyt (Intra)

Supplier Data

Flow Cytometry (Intracellular) - Mouse IgG1 monoclonal [R312-MouseIgG1]-Isotype control (AB280974)

Flow cytometric analysis of 4% paraformaldehyde fixed 90% methanol permeabilized HeLa (Human cervix adenocarcinoma epithelial cell) cells labelling Mouse IgG1 with ab280974 at 1/500 dilution (0.1μg) (Red) compared with a Mouse IgG1, kappa monoclonal [MOPC-21] - isotype control ab18443 (Black) and an unlabelled control (cells without incubation with primary antibody and secondary antibody) (Blue). A Goat anti mouse IgG (Alexa Fluor® 488, ab150113) at 1/2000 dilution was used as the secondary antibody.

Immunocytochemistry/ Immunofluorescence - Mouse IgG1 monoclonal [R312-MouseIgG1]-Isotype control (AB280974)
  • ICC/IF

Supplier Data

Immunocytochemistry/ Immunofluorescence - Mouse IgG1 monoclonal [R312-MouseIgG1]-Isotype control (AB280974)

Immunofluorescent analysis of 4% Paraformaldehyde-fixed, 0.1% Triton X-100 permeabilized HeLa cells labelling Mouse IgG1 with ab280974 at 1/20 dilution, followed by ab150113 Goat Anti-Mouse IgG H&L (Alexa Fluor® 488) antibody at 1/1000 dilution (Green). ab179513 Anti-beta Tubulin rabbit monoclonal antibody was used to counterstain tubulin at 1/200 dilution followed by ab150080 Goat Anti-Rabbit IgG H&L (Alexa Fluor® 594) at 1/1000 dilution (Red). The nuclear counterstain was DAPI (Blue).

Confocal image showing no staining in HeLa cells.

Negative control 1 : ab280974 at a 1/20 dilution followed by ab150113 at a 1/1000 dilution.

Negative control 2 : ab179513 at a 1/200 dilution followed by ab150080 at a 1/1000 dilution.

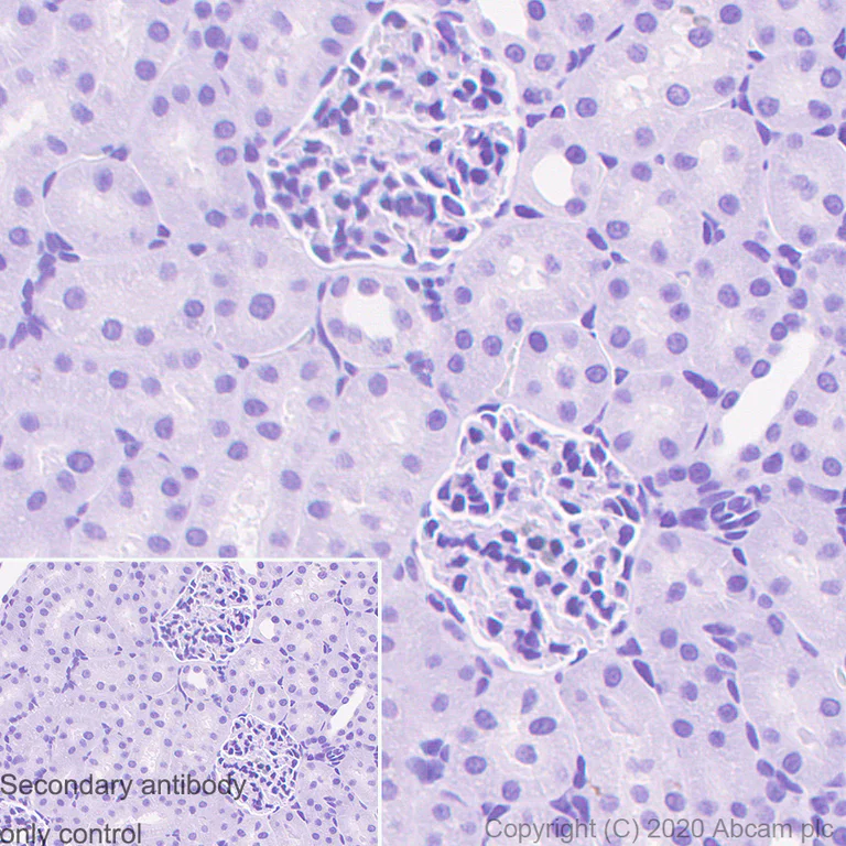
Immunohistochemistry (Formalin/PFA-fixed paraffin-embedded sections) - Mouse IgG1 monoclonal [R312-MouseIgG1]-Isotype control (AB280974)
  • IHC-P

Supplier Data

Immunohistochemistry (Formalin/PFA-fixed paraffin-embedded sections) - Mouse IgG1 monoclonal [R312-MouseIgG1]-Isotype control (AB280974)

Immunohistochemical analysis of paraffin-embedded mouse kidney tissue labeling Mouse IgG1 with ab280974 at 1/100 dilution followed by a ready to use LeicaDS9800 (Bond™ Polymer Refine Detection). The section was incubated with ab280974 for 30 mins at room temperature. The immunostaining was performed on a Leica Biosystems BOND® RX instrument. Counterstained with Hematoxylin.

No staining on the mouse kidney.

Secondary antibody only control : Secondary antibody is ready to use LeicaDS9800 (Bond™ Polymer Refine Detection).

Heat mediated antigen retrieval with Citrate buffer (pH 6.0, epitope retrieval solution 1) for 20 mins.

Immunohistochemistry (Formalin/PFA-fixed paraffin-embedded sections) - Mouse IgG1 monoclonal [R312-MouseIgG1]-Isotype control (AB280974)
  • IHC-P

Supplier Data

Immunohistochemistry (Formalin/PFA-fixed paraffin-embedded sections) - Mouse IgG1 monoclonal [R312-MouseIgG1]-Isotype control (AB280974)

Immunohistochemical analysis of paraffin-embedded rat kidney tissue labeling Mouse IgG1 with ab280974 at 1/100 dilution followed by ready to use LeicaDS9800 (Bond™ Polymer Refine Detection). The section was incubated with ab280974 for 30 mins at room temperature. The immunostaining was performed on a Leica Biosystems BOND® RX instrument. Counterstained with Hematoxylin.

No staining on the rat kidney.

Secondary antibody only control : Secondary antibody is ready to use LeicaDS9800 (Bond™ Polymer Refine Detection).

Heat mediated antigen retrieval with Citrate buffer (pH 6.0, epitope retrieval solution 1) for 20 mins.

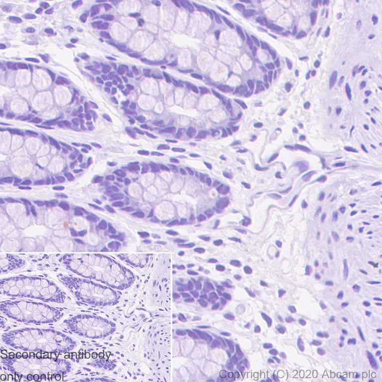
Immunohistochemistry (Formalin/PFA-fixed paraffin-embedded sections) - Mouse IgG1 monoclonal [R312-MouseIgG1]-Isotype control (AB280974)
  • IHC-P

Supplier Data

Immunohistochemistry (Formalin/PFA-fixed paraffin-embedded sections) - Mouse IgG1 monoclonal [R312-MouseIgG1]-Isotype control (AB280974)

Immunohistochemical analysis of paraffin-embedded human colon tissue labeling Mouse IgG1 with ab280974 at 1/100 dilution followed by ready to use LeicaDS9800 (Bond™ Polymer Refine Detection). The section was incubated with ab280974 for 30 mins at room temperature. The immunostaining was performed on a Leica Biosystems BOND® RX instrument. Counterstained with Hematoxylin.

No staining on the human colon.

Secondary antibody only control : Secondary antibody is ready to use LeicaDS9800 (Bond™ Polymer Refine Detection).

Heat mediated antigen retrieval with Citrate buffer (pH 6.0, epitope retrieval solution 1) for 20 mins.

Flow Cytometry (Intracellular) - Mouse IgG1 monoclonal [R312-MouseIgG1]-Isotype control (AB280974)
  • Flow Cyt (Intra)

Supplier Data

Flow Cytometry (Intracellular) - Mouse IgG1 monoclonal [R312-MouseIgG1]-Isotype control (AB280974)

Flow cytometric analysis of 4% paraformaldehyde fixed 90% methanol permeabilized RAW 264.7 (Human cervix adenocarcinoma epithelial cell, Left) / PC-12 (Rat adrenal gland pheochromocytoma, Right) cells labelling Mouse IgG1 with ab280974 at 1/500 dilution (0.1μg) (Red) compared with a Mouse IgG1, kappa monoclonal [MOPC-21] - isotype control ab18443 (Black) and an unlabelled control (cells without incubation with primary antibody and secondary antibody) (Blue). A Goat anti mouse IgG (Alexa Fluor® 488, ab150113) at 1/2000 dilution was used as the secondary antibody.

Immunocytochemistry/ Immunofluorescence - Mouse IgG1 monoclonal [R312-MouseIgG1]-Isotype control (AB280974)
  • ICC/IF

Supplier Data

Immunocytochemistry/ Immunofluorescence - Mouse IgG1 monoclonal [R312-MouseIgG1]-Isotype control (AB280974)

Immunofluorescent analysis of 4% Paraformaldehyde-fixed, 0.1% Triton X-100 permeabilized PC-12 cells labelling Mouse IgG1 with ab280974 at 1/20 dilution, followed by ab150113 Goat Anti-Mouse IgG H&L (Alexa Fluor® 488) antibody at 1/1000 dilution (Green). ab179513 Anti-beta Tubulin rabbit monoclonal antibody was used to counterstain tubulin at 1/200 dilution followed by ab150080 Goat Anti-Rabbit IgG H&L (Alexa Fluor® 594) at 1/1000 dilution (Red). The nuclear counterstain was DAPI (Blue).

Confocal image showing no staining in PC-12 cells.

Negative control 1 : ab280974 at a 1/20 dilution followed by ab150080 at a 1/1000 dilution.

Negative control 2 : ab179513 at a 1/200 dilution followed by ab150113 at a 1/1000 dilution.

  • Carrier free

    Mouse IgG1 monoclonal [R312-MouseIgG1] - Isotype control - BSA and Azide free

  • 519 FITC

    FITC Mouse IgG1 monoclonal [R312-MouseIgG1]-Isotype control

  • 578 PE

    PE Mouse IgG1 monoclonal [R312-MouseIgG1]-Isotype control

Key facts

Host species

Mouse

Clonality

Monoclonal

Clone number

R312-MouseIgG1

Isotype

IgG1

Carrier free

No

Applications

IHC-P, ICC/IF, Flow Cyt (Intra)

applications

Reactivity data

{ "title": "Reactivity Data", "filters": { "stats": ["", "Species", "Dilution Info", "Notes"], "tabs": { "all-applications": {"fullname" : "All Applications", "shortname": "All Applications"}, "FlowCytIntra" : {"fullname" : "Flow Cytometry (Intracellular)", "shortname":"Flow Cyt (Intra)"}, "ICCIF" : {"fullname" : "Immunocytochemistry/ Immunofluorescence", "shortname":"ICC/IF"}, "IHCP" : {"fullname" : "Immunohistochemistry (Formalin/PFA-fixed paraffin-embedded sections)", "shortname":"IHC-P"} }, "product-promise": { "all": "all", "testedAndGuaranteed": "tested", "guaranteed": "expected", "predicted": "predicted", "notRecommended": "not-recommended" } }, "values": { "": { "FlowCytIntra-species-checked": "testedAndGuaranteed", "FlowCytIntra-species-dilution-info": "1/500", "FlowCytIntra-species-notes": "<p></p>", "ICCIF-species-checked": "testedAndGuaranteed", "ICCIF-species-dilution-info": "1/20", "ICCIF-species-notes": "<p></p>", "IHCP-species-checked": "testedAndGuaranteed", "IHCP-species-dilution-info": "1/100", "IHCP-species-notes": "<p></p> Perform heat-mediated antigen retrieval with citrate buffer pH 6 before commencing with IHC staining protocol." } } }

Product details

What is this antibody validated in?
Mouse IgG1 monoclonal [R312-MouseIgG1]-Isotype control (ab280974) is a mouse recombinant monoclonal antibody and is validated for use in Flow Cytometry (Intra), Flow Cytometry (Flow Cyt), Immunohistochemistry (IHC-P), Immunocytochemistry/immunofluorescence (ICC/IF). Other related products
We have a range of other formats of antibody clone [R312-MouseIgG1] also available for your convenience: ab280974, Carrier free - ab281291, FITC - ab314952, PE - ab322670

What are the advantages of a recombinant monoclonal antibody?
This product is a recombinant monoclonal antibody, which offers several advantages including:

  • - High batch-to-batch consistency and reproducibility
  • - Improved sensitivity and specificity
  • - Long-term security of supply
  • - Animal-free batch production

For more information, read more on recombinant antibodies.

Properties and storage information

Form
Liquid
Purification technique
Affinity purification Protein A
Storage buffer
Preservative: 0.01% Sodium azide Constituents: PBS, 40% Glycerol (glycerin, glycerine), 0.05% BSA
Shipped at conditions
Blue Ice
Appropriate short-term storage duration
1-2 weeks
Appropriate short-term storage conditions
+4°C
Appropriate long-term storage conditions
-20°C
Aliquoting information
Upon delivery aliquot
Storage information
Avoid freeze / thaw cycle

Product protocols

For this product, it's our understanding that no specific protocols are required. You can visit:

Target data

Publications (4)

Recent publications for all applications. Explore the full list and refine your search

PLoS pathogens 20:e1012725 PubMed39585899

2024

N6-methyladenosine RNA modification promotes Severe Fever with Thrombocytopenia Syndrome Virus infection.

Applications

Unspecified application

Species

Unspecified reactive species

Zhiqiang Chen,Jinyu Zhang,Jun Wang,Hao Tong,Wen Pan,Feng Ma,Qihan Wu,Jianfeng Dai

JCI insight 8: PubMed37471168

2023

Pansclerotic morphea is characterized by IFN-γ responses priming dendritic cell fibroblast crosstalk to promote fibrosis.

Applications

Unspecified application

Species

Unspecified reactive species

Enze Xing,Feiyang Ma,Rachael Wasikowski,Allison C Billi,Mehrnaz Gharaee-Kermani,Jennifer Fox,Craig Dobry,Amanda Victory,Mrinal K Sarkar,Xianying Xing,Olesya Plazyo,Henry W Chen,Grant Barber,Heidi Jacobe,Pei-Suen Tsou,Robert L Modlin,John Varga,J Michelle Kahlenberg,Lam C Tsoi,Johann E Gudjonsson,Dinesh Khanna

Aging and disease 14:484-501 PubMed37008056

2023

CO-Induced TTP Activation Alleviates Cellular Senescence and Age-Dependent Hepatic Steatosis Downregulation of .

Applications

Unspecified application

Species

Unspecified reactive species

Jeongmin Park,Yingqing Chen,Jeongha Kim,Eunyeong Hwang,Gyu Hwan Park,Chae Ha Yang,Stefan W Ryter,Jeong Woo Park,Hun Taeg Chung,Yeonsoo Joe

British journal of cancer 128:1466-1477 PubMed36759726

2023

Prevalence of tumour-infiltrating CD103 cells identifies therapeutic-sensitive prostate cancer with poor clinical outcome.

Applications

Unspecified application

Species

Unspecified reactive species

Quan Zhou,Yuxi Ou,Xiyu Dai,Xinan Chen,Siqi Wu,Wensun Chen,Mengbo Hu,Chen Yang,Limin Zhang,Haowen Jiang
View all publications

Product promise

We are committed to supporting your work with high-quality reagents, and we're here for you every step of the way. In the unlikely event that one of our products does not perform as expected, you're protected by our Product Promise.
For full details, please see our Terms & Conditions

Please note: All products are 'FOR RESEARCH USE ONLY. NOT FOR USE IN DIAGNOSTIC OR THERAPEUTIC PROCEDURES'.

For licensing inquiries, please contact partnerships@abcam.com