JavaScript is disabled in your browser. Please enable JavaScript to view this website.
AB170191

Mouse IgG2c, kappa monoclonal [18C8BC7AD10] - Isotype Control

Be the first to review this product! Submit a review

|

(14 Publications)

Mouse IgG2c, kappa monoclonal [18C8BC7AD10] - Isotype Control (ab170191) is a mouse monoclonal antibody used in Flow Cytometry.
3 Images
Flow Cytometry - Mouse IgG2c, kappa monoclonal [18C8BC7AD10] - Isotype Control (AB170191)
  • Flow Cyt

Supplier Data

Flow Cytometry - Mouse IgG2c, kappa monoclonal [18C8BC7AD10] - Isotype Control (AB170191)

Flow cytometry staining of C57 BL/6 mouse bone marrow cells with ab320708 (right) or Mouse IgG2c, kappa monoclonal (ab170191), isotype control (left). Cells were incubated for 30 min on ice in 1x PBS containing 10%rat serum 10% normal goat serum to block FC receptors and non-specific protein-protein interaction followed by the antibody ab320708 or Mouse IgG2c, kappa monoclonal (ab170191), isotype control (1x 10e6 in 100 μl at 1.0 μg/ml) for 30min on ice. The cells were simultaneously stained with APC anti-mouse Ly-6C Antibody.

The secondary antibody Goat Anti-Mouse IgG H&L (Alexa Fluor® 488) preadsorbed was incubated at 1/4000 for 30min on ice.

Acquisition of >30000 events were collected using a 50 mW Blue laser (488nm) and 525/40 bandpass filter. Events were gated on live cells.

Immunoprecipitation - Mouse IgG2c, kappa monoclonal [18C8BC7AD10] - Isotype Control (AB170191)
  • IP

Lab

Immunoprecipitation - Mouse IgG2c, kappa monoclonal [18C8BC7AD10] - Isotype Control (AB170191)

TATA binding protein TBP was immunoprecipitated from 0.35 mg HeLa (human cervix adenocarcinoma epithelial cell) whole cell lysate (10 µg) with ab300656 at 1/30 dilution (2µg in 0.35mg lysates). Western blot was performed on the immunoprecipitate using ab300656 at 1/2000 dilution. Mouse IgG for IP (HRP) (ab131368) was used as the secondary at 1/5000 dilution.

Blocking and dilution buffer and concentration : 5% NFDM/TBST.

All lanes:

Immunoprecipitation - Anti-TATA binding protein TBP antibody [mAbcam51841] - Loading Control (<a href='/en-us/products/primary-antibodies/tata-binding-protein-tbp-antibody-mabcam51841-loading-control-ab300656'>ab300656</a>) at 1/30 dilution

Lane 1:

HeLa (human cervix adenocarcinoma epithelial cell) whole cell lysate at 10 µg

Lane 2:

HeLa whole cell lysate

Secondary

All lanes:

Immunoprecipitation - Anti-mouse IgG for IP (HRP) (<a href='/en-us/products/secondary-antibodies/mouse-igg-for-ip-hrp-ab131368'>ab131368</a>) at 1/5000 dilution

Observed band size: 35 kDa,38 kDa

false

Exposure time: 24s

Immunoprecipitation - Mouse IgG2c, kappa monoclonal [18C8BC7AD10] - Isotype Control (AB170191)
  • IP

Lab

Immunoprecipitation - Mouse IgG2c, kappa monoclonal [18C8BC7AD10] - Isotype Control (AB170191)

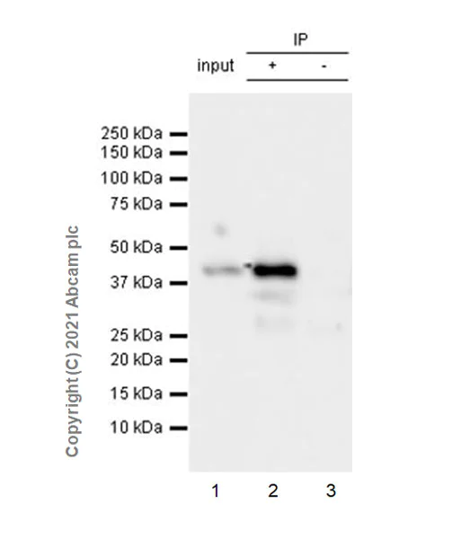
TATA binding protein TBP was immunoprecipitated from 0.35 mg NIH/3T3 (mouse embryonic fibroblast) whole cell lysate (10 µg) with ab300656 at 1/30 dilution (2µg in 0.35mg lysates). Western blot was performed on the immunoprecipitate using ab300656 at 1/2000 dilution. Mouse IgG for IP (HRP) (ab131368) was used as the secondary at 1/5000 dilution.

Blocking and dilution buffer and concentration : 5% NFDM/TBST.

All lanes:

Immunoprecipitation - Anti-TATA binding protein TBP antibody [mAbcam51841] - Loading Control (<a href='/en-us/products/primary-antibodies/tata-binding-protein-tbp-antibody-mabcam51841-loading-control-ab300656'>ab300656</a>) at 1/30 dilution

Lane 1:

NIH/3T3 (mouse embryonic fibroblast) whole cell lysate at 10 µg

Lane 2:

NIH/3T3 whole cell lysate

Secondary

All lanes:

Immunoprecipitation - Anti-mouse IgG for IP (HRP) (<a href='/en-us/products/secondary-antibodies/mouse-igg-for-ip-hrp-ab131368'>ab131368</a>) at 1/5000 dilution

Predicted band size: 38 kDa

Observed band size: 36 kDa

false

Exposure time: 24s

  • Carrier free

    Mouse IgG2c, kappa monoclonal [18C8BC7AD10] - Isotype Control - BSA and Azide free

  • Unconjugated

    Anti-PEP1 antibody [18C8BC7AD10]

Key facts

Host species

Mouse

Clonality

Monoclonal

Clone number

18C8BC7AD10

Isotype

IgG2c

Light chain type

kappa

Carrier free

No

Applications

Flow Cyt, ICC

applications

Specificity

This Mouse IgG2c Isotype Control Antibody was raised in mouse against a yeast-specific protein making it unsuitable for yeast experiments.

Product details

What is this antibody validated in?
Mouse IgG2c, kappa monoclonal [18C8BC7AD10] - Isotype Control (ab170191) is a mouse monoclonal antibody and is validated for use in Flow Cytometry (Flow Cyt). Trusted by the scientific community
Anti- Mouse IgG2c, kappa monoclonal [18C8BC7AD10] - Isotype Control (ab170191) was first used in a scientific publication in 2013 and has been cited over 10 times in peer-reviewed journals.

Other related products
We have a range of other formats of antibody clone [18C8BC7AD10] also available for your convenience: ab170191, Carrier free - ab221849

Want a custom formulation?
This antibody clone is manufactured by Abcam. If you require a custom buffer formulation or conjugation for your experiments, please contact orders@abcam.com

Properties and storage information

Form
Liquid
Purification technique
Precipitation Ammonium Sulphate
Storage buffer
pH: 7.5 Preservative: 0.02% Sodium azide Constituents: HEPES buffered saline
Shipped at conditions
Blue Ice
Appropriate short-term storage conditions
+4°C
Appropriate long-term storage conditions
+4°C

Product protocols

For this product, it's our understanding that no specific protocols are required. You can visit:

Target data

Publications (14)

Recent publications for all applications. Explore the full list and refine your search

PloS one 18:e0282176 PubMed36972253

2023

Deep learning neural network image analysis of immunohistochemical protein expression reveals a significantly reduced expression of biglycan in breast cancer.

Applications

Unspecified application

Species

Unspecified reactive species

Ana Paula Thiesen,Bruna Mielczarski,Ricardo Francalacci Savaris

Cells 12: PubMed36766855

2023

Pharmacological Targeting of the RAGE-NFκB Signalling Axis Impedes Monocyte Activation under Diabetic Conditions through the Repression of SHP-2 Tyrosine Phosphatase Function.

Applications

Unspecified application

Species

Unspecified reactive species

Marc Dorenkamp,Madina Nasiry,Dilvin Semo,Sybille Koch,Ivonne Löffler,Gunter Wolf,Holger Reinecke,Rinesh Godfrey

NPJ Regenerative medicine 6:77 PubMed34815400

2021

Long-term repair of porcine articular cartilage using cryopreservable, clinically compatible human embryonic stem cell-derived chondrocytes.

Applications

Unspecified application

Species

Unspecified reactive species

Frank A Petrigliano,Nancy Q Liu,Siyoung Lee,Jade Tassey,Arijita Sarkar,Yucheng Lin,Liangliang Li,Yifan Yu,Dawei Geng,Jiankang Zhang,Ruzanna Shkhyan,Jacob Bogdanov,Ben Van Handel,Gabriel B Ferguson,Youngjoo Lee,Svenja Hinderer,Kuo-Chang Tseng,Aaron Kavanaugh,J Gage Crump,April D Pyle,Katja Schenke-Layland,Fabrizio Billi,Liming Wang,Jay Lieberman,Mark Hurtig,Denis Evseenko

Stem cell reviews and reports 17:1053-1067 PubMed33423156

2021

Off-the-Shelf, Immune-Compatible Human Embryonic Stem Cells Generated Via CRISPR-Mediated Genome Editing.

Applications

Unspecified application

Species

Unspecified reactive species

Annie Kim,Kun-Gu Lee,Yeongbeen Kwon,Kang-In Lee,Heung-Mo Yang,Omer Habib,Jihun Kim,Sang-Tae Kim,Sung Joo Kim,Jin-Soo Kim,Dong-Youn Hwang

Cell metabolism 33:283-299.e9 PubMed33400911

2021

Platelets Facilitate the Wound-Healing Capability of Mesenchymal Stem Cells by Mitochondrial Transfer and Metabolic Reprogramming.

Applications

Unspecified application

Species

Unspecified reactive species

Jennyfer Levoux,Alexandre Prola,Peggy Lafuste,Marianne Gervais,Nathalie Chevallier,Zeynab Koumaiha,Kaouthar Kefi,Laura Braud,Alain Schmitt,Azzedine Yacia,Aurélie Schirmann,Barbara Hersant,Mounia Sid-Ahmed,Sabrina Ben Larbi,Katerina Komrskova,Jakub Rohlena,Frederic Relaix,Jiri Neuzil,Anne-Marie Rodriguez

Aging 12:18274-18296 PubMed32966240

2020

MSC-derived exosomes promote recovery from traumatic brain injury via microglia/macrophages in rat.

Applications

Unspecified application

Species

Unspecified reactive species

Yunfei Chen,Jing Li,Baitao Ma,Na Li,Shihua Wang,Zhao Sun,Chunling Xue,Qin Han,Junji Wei,Robert Chunhua Zhao

Scientific reports 9:12792 PubMed31488864

2019

Flightless I exacerbation of inflammatory responses contributes to increased colonic damage in a mouse model of dextran sulphate sodium-induced ulcerative colitis.

Applications

Unspecified application

Species

Unspecified reactive species

Z Kopecki,G Yang,S Treloar,S Mashtoub,G S Howarth,A G Cummins,A J Cowin

Molecular cell 73:314-324.e4 PubMed30527663

2018

The Pat1-Lsm Complex Stabilizes ATG mRNA during Nitrogen Starvation-Induced Autophagy.

Applications

Unspecified application

Species

Unspecified reactive species

Damián Gatica,Guowu Hu,Xu Liu,Nannan Zhang,Peter R Williamson,Daniel J Klionsky

Journal of cellular physiology 234:9358-9369 PubMed30456894

2018

Inhibitory effect of MSH6 gene silencing in combination with cisplatin on cell proliferation of human osteosarcoma cell line MG63.

Applications

Unspecified application

Species

Unspecified reactive species

Hu-Cheng Liu,Jin Zeng,Bin Zhang,Xu-Qiang Liu,Min Dai

Molecular imaging and biology 21:473-481 PubMed29998399

2018

SPECT/CT Imaging of Mycobacterium tuberculosis Infection with [I]anti-C3d mAb.

Applications

Unspecified application

Species

Unspecified reactive species

Catherine A Foss,Liudmila Kulik,Alvaro A Ordonez,Sanjay K Jain,V Michael Holers,Joshua M Thurman,Martin G Pomper
View all publications

Product promise

We are committed to supporting your work with high-quality reagents, and we're here for you every step of the way. In the unlikely event that one of our products does not perform as expected, you're protected by our Product Promise.
For full details, please see our Terms & Conditions

Please note: All products are 'FOR RESEARCH USE ONLY. NOT FOR USE IN DIAGNOSTIC OR THERAPEUTIC PROCEDURES'.

For licensing inquiries, please contact partnerships@abcam.com