JavaScript is disabled in your browser. Please enable JavaScript to view this website.
AB176687

Anti-Mov10 antibody [15C1B8]

Be the first to review this product! Submit a review

|

(3 Publications)

Mouse Monoclonal MOV10 antibody. Suitable for IP, WB, IHC-Fr and reacts with Mouse, Human samples. Cited in 3 publications. Immunogen corresponding to Synthetic Peptide within Human MOV10 aa 950 to C-terminus.

View Alternative Names

KIAA1631, MOV10, Helicase MOV-10, Armitage homolog, Moloney leukemia virus 10 protein

3 Images
Western blot - Anti-Mov10 antibody [15C1B8] (AB176687)
  • WB

Supplier Data

Western blot - Anti-Mov10 antibody [15C1B8] (AB176687)

All lanes:

Western blot - Anti-Mov10 antibody [15C1B8] (ab176687) at 0.1 µg/mL

Lane 1:

Mouse NIH-3T3 lysate at 50 µg

Lane 2:

Mouse NIH-3T3 lysate at 15 µg

Lane 3:

293T lysate at 50 µg

Lane 4:

HeLa lysate at 50 µg

Lane 5:

Jurkat lysate at 50 µg

Predicted band size: 114 kDa

true

Exposure time: 3min

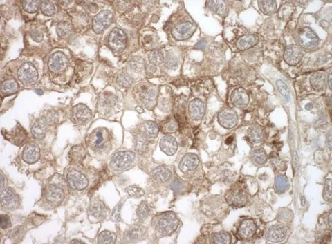
Immunohistochemistry (Frozen sections) - Anti-Mov10 antibody [15C1B8] (AB176687)
  • IHC-Fr

Supplier Data

Immunohistochemistry (Frozen sections) - Anti-Mov10 antibody [15C1B8] (AB176687)

Immunohistochemical analysis of frozen sections of Human testicular seminoma tissue labeling Mov10 with ab176687 at a 1/1000 dilution. DAB staining.

Immunoprecipitation - Anti-Mov10 antibody [15C1B8] (AB176687)
  • IP

Supplier Data

Immunoprecipitation - Anti-Mov10 antibody [15C1B8] (AB176687)

Detection of Human Mov10 by Western Blot of Immunoprecipitates. 1 mg for IP; 20% of IP Mouse NIH3T3 whole cell lysate loaded. ab176687 used for IP at 6 μg/mg lysate. For blotting immunoprecipitated Mov10, ab176687 was used at 1 μg/ml.

All lanes:

Immunoprecipitation - Anti-Mov10 antibody [15C1B8] (ab176687)

Predicted band size: 114 kDa

true

Exposure time: 30s

Key facts

Host species

Mouse

Clonality

Monoclonal

Clone number

15C1B8

Isotype

IgG1

Light chain type

kappa

Carrier free

No

Reacts with

Mouse, Human

Applications

WB, IP, IHC-Fr

applications

Immunogen

Synthetic Peptide within Human MOV10 aa 950 to C-terminus. The exact immunogen used to generate this antibody is proprietary information.

Q9HCE1

Reactivity data

{ "title": "Reactivity Data", "filters": { "stats": ["", "Species", "Dilution Info", "Notes"], "tabs": { "all-applications": {"fullname" : "All Applications", "shortname": "All Applications"}, "IP" : {"fullname" : "Immunoprecipitation", "shortname":"IP"}, "WB" : {"fullname" : "Western blot", "shortname":"WB"}, "IHCFr" : {"fullname" : "Immunohistochemistry (Frozen sections)", "shortname":"IHC-Fr"} }, "product-promise": { "all": "all", "testedAndGuaranteed": "tested", "guaranteed": "expected", "predicted": "predicted", "notRecommended": "not-recommended" } }, "values": { "Human": { "IP-species-checked": "guaranteed", "IP-species-dilution-info": "", "IP-species-notes": "", "WB-species-checked": "guaranteed", "WB-species-dilution-info": "", "WB-species-notes": "", "IHCFr-species-checked": "testedAndGuaranteed", "IHCFr-species-dilution-info": "1/20.00000 - 1/80.00000", "IHCFr-species-notes": "<p>Epitope retrieval with citrate buffer pH 6.0 is recommended for FFPE tissue sections.</p>" }, "Mouse": { "IP-species-checked": "testedAndGuaranteed", "IP-species-dilution-info": "2.00000-5.00000 µg/mg of lysate", "IP-species-notes": "<p></p>", "WB-species-checked": "testedAndGuaranteed", "WB-species-dilution-info": "1/1000.00000 - 1/10000.00000", "WB-species-notes": "<p></p>", "IHCFr-species-checked": "guaranteed", "IHCFr-species-dilution-info": "", "IHCFr-species-notes": "" }, "Chimpanzee": { "IP-species-checked": "predicted", "IP-species-dilution-info": "", "IP-species-notes": "", "WB-species-checked": "predicted", "WB-species-dilution-info": "", "WB-species-notes": "", "IHCFr-species-checked": "predicted", "IHCFr-species-dilution-info": "", "IHCFr-species-notes": "" }, "Cow": { "IP-species-checked": "predicted", "IP-species-dilution-info": "", "IP-species-notes": "", "WB-species-checked": "predicted", "WB-species-dilution-info": "", "WB-species-notes": "", "IHCFr-species-checked": "predicted", "IHCFr-species-dilution-info": "", "IHCFr-species-notes": "" }, "Dog": { "IP-species-checked": "predicted", "IP-species-dilution-info": "", "IP-species-notes": "", "WB-species-checked": "predicted", "WB-species-dilution-info": "", "WB-species-notes": "", "IHCFr-species-checked": "predicted", "IHCFr-species-dilution-info": "", "IHCFr-species-notes": "" }, "Gorilla": { "IP-species-checked": "predicted", "IP-species-dilution-info": "", "IP-species-notes": "", "WB-species-checked": "predicted", "WB-species-dilution-info": "", "WB-species-notes": "", "IHCFr-species-checked": "predicted", "IHCFr-species-dilution-info": "", "IHCFr-species-notes": "" }, "Orangutan": { "IP-species-checked": "predicted", "IP-species-dilution-info": "", "IP-species-notes": "", "WB-species-checked": "predicted", "WB-species-dilution-info": "", "WB-species-notes": "", "IHCFr-species-checked": "predicted", "IHCFr-species-dilution-info": "", "IHCFr-species-notes": "" }, "Rhesus monkey": { "IP-species-checked": "predicted", "IP-species-dilution-info": "", "IP-species-notes": "", "WB-species-checked": "predicted", "WB-species-dilution-info": "", "WB-species-notes": "", "IHCFr-species-checked": "predicted", "IHCFr-species-dilution-info": "", "IHCFr-species-notes": "" } } }

Properties and storage information

Form
Liquid
Purification technique
Affinity purification Immunogen
Storage buffer
pH: 6.8 - 7.4 Preservative: 0.09% Sodium azide Constituents: 99% Tris buffered saline, 0.1% BSA
Shipped at conditions
Blue Ice
Appropriate short-term storage duration
1-2 weeks
Appropriate short-term storage conditions
+4°C
Appropriate long-term storage conditions
-20°C
Aliquoting information
Upon delivery aliquot
Storage information
Avoid freeze / thaw cycle

Supplementary information

This supplementary information is collated from multiple sources and compiled automatically.

Mov10 also known as Mov10 RNA helicase is an ATP-dependent helicase involved in RNA silencing mechanisms. It belongs to the UPF1-like helicase family and has a molecular weight of approximately 106 kDa. Mov10 localizes in the cytoplasm and also associates with the Argonaute protein in processing (P) bodies. It is expressed in many tissues with notable presence in the brain heart and testis. Mov10 contributes to RNA regulation by unwinding RNA structures facilitating degradation or inhibition.
Biological function summary

Mov10 plays roles in RNA interference (RNAi) processes. It forms complexes including interactions with enzymes like Dicer and Argonaute proteins aiding in microRNA (miRNA) and small interfering RNA (siRNA) pathways. These complexes regulate gene expression by degrading or repressing target mRNAs. Mov10 influences translational repression mechanisms by modulating the availability of specific mRNA transcripts which affects cellular protein synthesis.

Pathways

Mov10 is instrumental in RNA processing and regulation pathways. It notably interacts with the RNA-induced silencing complex (RISC) and influences the mRNA surveillance pathway. Through these pathways Mov10 works alongside the proteins Dicer and Argonaute to mediate gene silencing and mRNA decay. These interactions play a part in modulating gene expression responses under various cellular conditions and stresses.

Research links Mov10 to neurodegenerative diseases and certain cancers. In Alzheimer's disease Mov10 interacts with proteins such as amyloid precursor protein (APP) influencing amyloid-beta peptide accumulation a known pathogenic process. Additionally Mov10 overexpression is observed in hepatocellular carcinoma associating with disrupted mRNA regulation and cancer cell proliferation. Understanding Mov10's role in these disorders could highlight potential therapeutic targets.

Product protocols

For this product, it's our understanding that no specific protocols are required. You can visit:

Target data

5' to 3' RNA helicase that is involved in a number of cellular roles ranging from mRNA metabolism and translation, modulation of viral infectivity, inhibition of retrotransposition, or regulation of synaptic transmission (PubMed : 23093941). Plays an important role in innate antiviral immunity by promoting type I interferon production (PubMed : 27016603, PubMed : 27974568, PubMed : 35157734). Mechanistically, specifically uses IKKepsilon/IKBKE as the mediator kinase for IRF3 activation (PubMed : 27016603, PubMed : 35157734). Blocks HIV-1 virus replication at a post-entry step (PubMed : 20215113). Counteracts HIV-1 Vif-mediated degradation of APOBEC3G through its helicase activity by interfering with the ubiquitin-proteasome pathway (PubMed : 29258557). Inhibits also hepatitis B virus/HBV replication by interacting with HBV RNA and thereby inhibiting the early step of viral reverse transcription (PubMed : 31722967). Contributes to UPF1 mRNA target degradation by translocation along 3' UTRs (PubMed : 24726324). Required for microRNA (miRNA)-mediated gene silencing by the RNA-induced silencing complex (RISC). Required for both miRNA-mediated translational repression and miRNA-mediated cleavage of complementary mRNAs by RISC (PubMed : 16289642, PubMed : 17507929, PubMed : 22791714). In cooperation with FMR1, regulates miRNA-mediated translational repression by AGO2 (PubMed : 25464849). Restricts retrotransposition of long interspersed element-1 (LINE-1) in cooperation with TUT4 and TUT7 counteracting the RNA chaperonne activity of L1RE1 (PubMed : 23093941, PubMed : 30122351). Facilitates LINE-1 uridylation by TUT4 and TUT7 (PubMed : 30122351). Required for embryonic viability and for normal central nervous system development and function. Plays two critical roles in early brain development : suppresses retroelements in the nucleus by directly inhibiting cDNA synthesis, while regulates cytoskeletal mRNAs to influence neurite outgrowth in the cytosol (By similarity). May function as a messenger ribonucleoprotein (mRNP) clearance factor (PubMed : 24726324).. (Microbial infection) Required for RNA-directed transcription and replication of the human hepatitis delta virus (HDV). Interacts with small capped HDV RNAs derived from genomic hairpin structures that mark the initiation sites of RNA-dependent HDV RNA transcription.
See full target information MOV10

Publications (3)

Recent publications for all applications. Explore the full list and refine your search

Viruses 14: PubMed35893693

2022

Inhibition of Venezuelan Equine Encephalitis Virus Using Small Interfering RNAs.

Applications

Unspecified application

Species

Unspecified reactive species

Amrita Haikerwal,Michael D Barrera,Nishank Bhalla,Weidong Zhou,Niloufar Boghdeh,Carol Anderson,Farhang Alem,Aarthi Narayanan

Viruses 11: PubMed31319455

2019

Effects of Moloney Leukemia Virus 10 Protein on Hepatitis B Virus Infection and Viral Replication.

Applications

Unspecified application

Species

Unspecified reactive species

Maritza N Puray-Chavez,Mahmoud H Farghali,Vincent Yapo,Andrew D Huber,Dandan Liu,Tanyaradzwa P Ndongwe,Mary C Casey,Thomas G Laughlin,Mark Hannink,Philip R Tedbury,Stefan G Sarafianos

The EMBO journal 37: PubMed29712715

2018

NMDAR-dependent Argonaute 2 phosphorylation regulates miRNA activity and dendritic spine plasticity.

Applications

Unspecified application

Species

Unspecified reactive species

Dipen Rajgor,Thomas M Sanderson,Mascia Amici,Graham L Collingridge,Jonathan G Hanley
View all publications

Product promise

We are committed to supporting your work with high-quality reagents, and we're here for you every step of the way. In the unlikely event that one of our products does not perform as expected, you're protected by our Product Promise.
For full details, please see our Terms & Conditions

Associated Products

Select an associated product type
Alternative Product
Primary Antibodies

AB80613

Anti-Mov10 antibody

primary-antibodies

mov10-antibody-ab80613

3

(1 reviews)

Alternative Product
Primary Antibodies

AB189919

Anti-Mov10 antibody [EPR14478]

primary-antibodies

mov10-antibody-epr14478-ab189919

0

(0 reviews)

Alternative Product
Primary Antibodies

AB232641

Anti-Mov10 antibody [EPR14478] - BSA and Azide free

primary-antibodies

mov10-antibody-epr14478-bsa-and-azide-free-ab232641

0

(0 reviews)

Please note: All products are 'FOR RESEARCH USE ONLY. NOT FOR USE IN DIAGNOSTIC OR THERAPEUTIC PROCEDURES'.

For licensing inquiries, please contact partnerships@abcam.com