JavaScript is disabled in your browser. Please enable JavaScript to view this website.
AB232641

Anti-Mov10 antibody [EPR14478] - BSA and Azide free

Be the first to review this product! Submit a review

|

(1 Publication)

Rabbit Recombinant Monoclonal MOV10 antibody. Carrier free. Suitable for WB, IHC-P and reacts with Mouse, Rat, Human samples. Cited in 1 publication.

View Alternative Names

KIAA1631, MOV10, Helicase MOV-10, Armitage homolog, Moloney leukemia virus 10 protein

1 Images
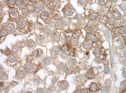
Immunohistochemistry (Formalin/PFA-fixed paraffin-embedded sections) - Anti-Mov10 antibody [EPR14478] - BSA and Azide free (AB232641)
  • IHC-P

Supplier Data

Immunohistochemistry (Formalin/PFA-fixed paraffin-embedded sections) - Anti-Mov10 antibody [EPR14478] - BSA and Azide free (AB232641)

Immunohistochemical analysis of paraffin-embedded human pancreas tissue labeling Mov10 with ab189919 at 1/100 dilution followed by prediluted HRP Polymer for Rabbit IgG. Counter stained with Hematoxylin.

This data was developed using the same antibody clone in a different buffer formulation containing PBS, BSA, glycerol, and sodium azide (ab189919).

Heat mediated antigen retrieval was performed with Tris/EDTA buffer pH 9.0 before commencing with IHC staining protocol.

Key facts

Host species

Rabbit

Clonality

Monoclonal

Clone number

EPR14478

Isotype

IgG

Carrier free

Yes

Reacts with

Mouse, Rat, Human

Applications

IHC-P, WB

applications

Immunogen

The exact immunogen used to generate this antibody is proprietary information.

Reactivity data

{ "title": "Reactivity Data", "filters": { "stats": ["", "Species", "Dilution Info", "Notes"], "tabs": { "all-applications": {"fullname" : "All Applications", "shortname": "All Applications"}, "WB" : {"fullname" : "Western blot", "shortname":"WB"}, "IHCP" : {"fullname" : "Immunohistochemistry (Formalin/PFA-fixed paraffin-embedded sections)", "shortname":"IHC-P"} }, "product-promise": { "all": "all", "testedAndGuaranteed": "tested", "guaranteed": "expected", "predicted": "predicted", "notRecommended": "not-recommended" } }, "values": { "Human": { "WB-species-checked": "guaranteed", "WB-species-dilution-info": "", "WB-species-notes": "<p></p>", "IHCP-species-checked": "testedAndGuaranteed", "IHCP-species-dilution-info": "", "IHCP-species-notes": "<p></p>" }, "Mouse": { "WB-species-checked": "guaranteed", "WB-species-dilution-info": "", "WB-species-notes": "<p></p>", "IHCP-species-checked": "predicted", "IHCP-species-dilution-info": "", "IHCP-species-notes": "" }, "Rat": { "WB-species-checked": "guaranteed", "WB-species-dilution-info": "", "WB-species-notes": "<p></p>", "IHCP-species-checked": "predicted", "IHCP-species-dilution-info": "", "IHCP-species-notes": "" } } }

Product details

ab232641 is the carrier-free version of ab189919.

Patented technology
Our RabMAb® technology is a patented hybridoma-based technology for making rabbit monoclonal antibodies. For details on our patents, please refer to RabMAb® patents.

What are the advantages of a recombinant monoclonal antibody?
This product is a recombinant monoclonal antibody, which offers several advantages including:

  • - High batch-to-batch consistency and reproducibility
  • - Improved sensitivity and specificity
  • - Long-term security of supply
  • - Animal-free batch production

For more information, read more on recombinant antibodies.

Conjugation ready
Our carrier-free antibodies are typically supplied in a PBS-only formulation, purified and free of BSA, sodium azide and glycerol. This conjugation-ready format is designed for use with fluorochromes, metal isotopes, oligonucleotides, and enzymes, which makes them ideal for antibody labelling, functional and cell-based assays, flow-based assays (e.g. mass cytometry) and Multiplex Imaging applications.

Use our conjugation kits for antibody conjugates that are ready-to-use in as little as 20 minutes with 1 minute hands-on-time and 100% antibody recovery: available for fluorescent dyes, HRP, biotin and gold.

Compatibility
This product is compatible with the Maxpar® Antibody Labeling Kit from Fluidigm, without the need for antibody preparation. Maxpar® is a trademark of Fluidigm Canada Inc.

Properties and storage information

Form
Liquid
Purification technique
Affinity purification Protein A
Storage buffer
pH: 7.2 - 7.4 Constituents: PBS
Shipped at conditions
Blue Ice
Appropriate short-term storage conditions
+4°C
Appropriate long-term storage conditions
+4°C
Storage information
Do Not Freeze

Supplementary information

This supplementary information is collated from multiple sources and compiled automatically.

Mov10 also known as Mov10 RNA helicase is an ATP-dependent helicase involved in RNA silencing mechanisms. It belongs to the UPF1-like helicase family and has a molecular weight of approximately 106 kDa. Mov10 localizes in the cytoplasm and also associates with the Argonaute protein in processing (P) bodies. It is expressed in many tissues with notable presence in the brain heart and testis. Mov10 contributes to RNA regulation by unwinding RNA structures facilitating degradation or inhibition.
Biological function summary

Mov10 plays roles in RNA interference (RNAi) processes. It forms complexes including interactions with enzymes like Dicer and Argonaute proteins aiding in microRNA (miRNA) and small interfering RNA (siRNA) pathways. These complexes regulate gene expression by degrading or repressing target mRNAs. Mov10 influences translational repression mechanisms by modulating the availability of specific mRNA transcripts which affects cellular protein synthesis.

Pathways

Mov10 is instrumental in RNA processing and regulation pathways. It notably interacts with the RNA-induced silencing complex (RISC) and influences the mRNA surveillance pathway. Through these pathways Mov10 works alongside the proteins Dicer and Argonaute to mediate gene silencing and mRNA decay. These interactions play a part in modulating gene expression responses under various cellular conditions and stresses.

Research links Mov10 to neurodegenerative diseases and certain cancers. In Alzheimer's disease Mov10 interacts with proteins such as amyloid precursor protein (APP) influencing amyloid-beta peptide accumulation a known pathogenic process. Additionally Mov10 overexpression is observed in hepatocellular carcinoma associating with disrupted mRNA regulation and cancer cell proliferation. Understanding Mov10's role in these disorders could highlight potential therapeutic targets.

Product protocols

For this product, it's our understanding that no specific protocols are required. You can visit:

Target data

5' to 3' RNA helicase that is involved in a number of cellular roles ranging from mRNA metabolism and translation, modulation of viral infectivity, inhibition of retrotransposition, or regulation of synaptic transmission (PubMed : 23093941). Plays an important role in innate antiviral immunity by promoting type I interferon production (PubMed : 27016603, PubMed : 27974568, PubMed : 35157734). Mechanistically, specifically uses IKKepsilon/IKBKE as the mediator kinase for IRF3 activation (PubMed : 27016603, PubMed : 35157734). Blocks HIV-1 virus replication at a post-entry step (PubMed : 20215113). Counteracts HIV-1 Vif-mediated degradation of APOBEC3G through its helicase activity by interfering with the ubiquitin-proteasome pathway (PubMed : 29258557). Inhibits also hepatitis B virus/HBV replication by interacting with HBV RNA and thereby inhibiting the early step of viral reverse transcription (PubMed : 31722967). Contributes to UPF1 mRNA target degradation by translocation along 3' UTRs (PubMed : 24726324). Required for microRNA (miRNA)-mediated gene silencing by the RNA-induced silencing complex (RISC). Required for both miRNA-mediated translational repression and miRNA-mediated cleavage of complementary mRNAs by RISC (PubMed : 16289642, PubMed : 17507929, PubMed : 22791714). In cooperation with FMR1, regulates miRNA-mediated translational repression by AGO2 (PubMed : 25464849). Restricts retrotransposition of long interspersed element-1 (LINE-1) in cooperation with TUT4 and TUT7 counteracting the RNA chaperonne activity of L1RE1 (PubMed : 23093941, PubMed : 30122351). Facilitates LINE-1 uridylation by TUT4 and TUT7 (PubMed : 30122351). Required for embryonic viability and for normal central nervous system development and function. Plays two critical roles in early brain development : suppresses retroelements in the nucleus by directly inhibiting cDNA synthesis, while regulates cytoskeletal mRNAs to influence neurite outgrowth in the cytosol (By similarity). May function as a messenger ribonucleoprotein (mRNP) clearance factor (PubMed : 24726324).. (Microbial infection) Required for RNA-directed transcription and replication of the human hepatitis delta virus (HDV). Interacts with small capped HDV RNAs derived from genomic hairpin structures that mark the initiation sites of RNA-dependent HDV RNA transcription.
See full target information MOV10

Publications (1)

Recent publications for all applications. Explore the full list and refine your search

Nature communications 15:9664 PubMed39511206

2024

mRNA delivery enabled by metal-organic nanoparticles.

Applications

Unspecified application

Species

Unspecified reactive species

Yuang Gu,Jingqu Chen,Zhaoran Wang,Chang Liu,Tianzheng Wang,Chan-Jin Kim,Helena Durikova,Soraia Fernandes,Darryl N Johnson,Robert De Rose,Christina Cortez-Jugo,Frank Caruso
View all publications

Product promise

We are committed to supporting your work with high-quality reagents, and we're here for you every step of the way. In the unlikely event that one of our products does not perform as expected, you're protected by our Product Promise.
For full details, please see our Terms & Conditions

Please note: All products are 'FOR RESEARCH USE ONLY. NOT FOR USE IN DIAGNOSTIC OR THERAPEUTIC PROCEDURES'.

For licensing inquiries, please contact partnerships@abcam.com