JavaScript is disabled in your browser. Please enable JavaScript to view this website.
AB324682

Anti-MPC1 antibody [EPR29172-82]

Be the first to review this product! Submit a review

|

(0 Publication)

Rabbit Recombinant Monoclonal MPC1 antibody. Suitable for WB and reacts with Human, Mouse samples.

View Alternative Names

BRP44L, CGI-129, HSPC040, PNAS-115, MPC1, Mitochondrial pyruvate carrier 1, Brain protein 44-like protein

4 Images
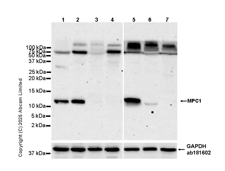
Western blot - Anti-MPC1 antibody [EPR29172-82] (AB324682)
  • WB

Supplier Data

Western blot - Anti-MPC1 antibody [EPR29172-82] (AB324682)

Blocking and diluting buffer and concentration : 5% NFDM/TBST.

Low expression : lung, spleen, pancreas (PMID : 27176894)

The identity of the higher MW bands above 75 kDa are unknow.

Lanes 1-4 are incubated with Goat Anti-Rabbit IgG, (H+L), Peroxidase conjugated (ab97051) at 1/100000, lanes 5-7 are incubated with Goat Anti-Rabbit IgG (HRP) with minimal cross-reactivity with human IgG at 1/2000.

In Western blot, Anti-GAPDH antibody [EPR16891] - Loading Control (ab181602) staining at 1/200000 dilution.

All lanes:

Western blot - Anti-MPC1 antibody [EPR29172-82] (ab324682) at 1/1000 dilution

Lane 1:

Mouse kidney tissue lysate at 20 µg

Lane 2:

Mouse liver tissue lysate  at 20 µg

Lane 3:

Mouse lung tissue lysate at 20 µg

Lane 4:

Mouse spleen tissue lysate at 20 µg

Lane 5:

Human liver tissue lysate at 20 µg

Lane 6:

Human lung tissue lysate at 20 µg

Lane 7:

Human pancreas tissue lysate at 20 µg

Secondary

Lanes 1 - 4:

Western blot - Goat Anti-Rabbit IgG H&L (HRP) (<a href='/en-us/products/secondary-antibodies/goat-rabbit-igg-h-l-hrp-ab97051'>ab97051</a>) at 1/100000 dilution

Lanes 5 - 7:

Goat Anti-Rabbit IgG (HRP) with minimal cross-reactivity with human IgG at 1/2000 dilution

Observed band size: 12 kDa,36 kDa

false

Exposure time: 180s

Western blot - Anti-MPC1 antibody [EPR29172-82] (AB324682)
  • WB

Supplier Data

Western blot - Anti-MPC1 antibody [EPR29172-82] (AB324682)

Blocking and diluting buffer and concentration : 5% NFDM/TBST.

The identity of the higher MW bands above 75 kDa are unknow.

In Western blot, Anti-GAPDH antibody [EPR16891] - Loading Control (ab181602) staining at 1/200000 dilution.

All lanes:

Western blot - Anti-MPC1 antibody [EPR29172-82] (ab324682) at 1/1000 dilution

Lane 1:

293T mitochondrial fraction at 20 µg

Lane 2:

293T non-mitochondrial fraction at 20 µg

Secondary

All lanes:

Western blot - Goat Anti-Rabbit IgG H&L (HRP) (<a href='/en-us/products/secondary-antibodies/goat-rabbit-igg-h-l-hrp-ab97051'>ab97051</a>) at 1/20000 dilution

Observed band size: 12 kDa,16 kDa,36 kDa

false

Exposure time: 26s

Western blot - Anti-MPC1 antibody [EPR29172-82] (AB324682)
  • WB

Supplier Data

Western blot - Anti-MPC1 antibody [EPR29172-82] (AB324682)

Blocking and diluting buffer and concentration : 5% NFDM/TBST.

The identity of the higher MW bands above 75 kDa are unknow.

In Western blot, Anti-GAPDH antibody [EPR16891] - Loading Control (ab181602) staining at 1/200000 dilution.

All lanes:

Western blot - Anti-MPC1 antibody [EPR29172-82] (ab324682) at 1/1000 dilution

Lane 1:

HEK-293 (human embryonic kidney epithelial cell) transfected with scrambled siRNA control whole cell lysate  at 20 µg

Lane 2:

HEK-293 transfected with siRNA specifically targeting MPC1 whole cell lysate at 20 µg

Secondary

All lanes:

Western blot - Goat Anti-Rabbit IgG H&L (HRP) (<a href='/en-us/products/secondary-antibodies/goat-rabbit-igg-h-l-hrp-ab97051'>ab97051</a>) at 1/100000 dilution

Observed band size: 12 kDa,36 kDa

false

Exposure time: 180s

Western blot - Anti-MPC1 antibody [EPR29172-82] (AB324682)
  • WB

Supplier Data

Western blot - Anti-MPC1 antibody [EPR29172-82] (AB324682)

Blocking and diluting buffer and concentration : 5% NFDM/TBST.

The identity of the higher MW bands above 75 kDa are unknow.

This blot was developed using a high-sensitivity ECL substrate, allowing for the detection of proteins in the mid-femtogram range.

In Western blot, Anti-GAPDH antibody [EPR16891] - Loading Control (ab181602) staining at 1/200000 dilution.

All lanes:

Western blot - Anti-MPC1 antibody [EPR29172-82] (ab324682) at 1/1000 dilution

Lane 1:

HepG2 (human hepatocellular carcinoma epithelial cell) whole cell lysate at 20 µg

Lane 2:

Huh7 (human hepatocellular carcinoma epithelial cell) whole cell lysate at 20 µg

Lane 3:

K-562 (human chronic myelogenous leukemia lymphoblast) whole cell lysate at 20 µg

Secondary

All lanes:

Western blot - Goat Anti-Rabbit IgG H&L (HRP) (<a href='/en-us/products/secondary-antibodies/goat-rabbit-igg-h-l-hrp-ab97051'>ab97051</a>) at 1/100000 dilution

Observed band size: 12 kDa,36 kDa

true

Exposure time: 180s

Key facts

Host species

Rabbit

Clonality

Monoclonal

Clone number

EPR29172-82

Isotype

IgG

Carrier free

No

Reacts with

Human, Mouse

Applications

WB

applications

Immunogen

The exact immunogen used to generate this antibody is proprietary information.

Specificity

The immunogen shares no sequence similarity with family members of MPC2. Based on the immunogen sequence, we do not expect this antibody to cross-react with family members of MCP2. No cross-reactivity testing has been performed.

Reactivity data

{ "title": "Reactivity Data", "filters": { "stats": ["", "Species", "Dilution Info", "Notes"], "tabs": { "all-applications": {"fullname" : "All Applications", "shortname": "All Applications"}, "WB" : {"fullname" : "Western blot", "shortname":"WB"}, "IHCP" : {"fullname" : "Immunohistochemistry (Formalin/PFA-fixed paraffin-embedded sections)", "shortname":"IHC-P"} }, "product-promise": { "all": "all", "testedAndGuaranteed": "tested", "guaranteed": "expected", "predicted": "predicted", "notRecommended": "not-recommended" } }, "values": { "Human": { "WB-species-checked": "testedAndGuaranteed", "WB-species-dilution-info": "1/1000", "WB-species-notes": "<p></p>", "IHCP-species-checked": "notRecommended", "IHCP-species-dilution-info": "", "IHCP-species-notes": "<p></p>" }, "Mouse": { "WB-species-checked": "testedAndGuaranteed", "WB-species-dilution-info": "1/1000", "WB-species-notes": "<p></p>", "IHCP-species-checked": "notRecommended", "IHCP-species-dilution-info": "", "IHCP-species-notes": "<p></p>" } } }

Product details

Patented technology
Our RabMAb® technology is a patented hybridoma-based technology for making rabbit monoclonal antibodies. For details on our patents, please refer to RabMAb® patents.

What are the advantages of a recombinant monoclonal antibody?
This product is a recombinant monoclonal antibody, which offers several advantages including:

  • - High batch-to-batch consistency and reproducibility
  • - Improved sensitivity and specificity
  • - Long-term security of supply
  • - Animal-free batch production

For more information, read more on recombinant antibodies.

Properties and storage information

Form
Liquid
Purification technique
Affinity purification Protein A
Storage buffer
pH: 7.2 - 7.4 Preservative: 0.01% Sodium azide Constituents: PBS, 40% Glycerol (glycerin, glycerine), 0.05% BSA
Shipped at conditions
Blue Ice
Appropriate short-term storage duration
1-2 weeks
Appropriate short-term storage conditions
+4°C
Appropriate long-term storage conditions
-20°C
Aliquoting information
Upon delivery aliquot
Storage information
Avoid freeze / thaw cycle

Product protocols

For this product, it's our understanding that no specific protocols are required. You can visit:

Target data

Mediates the uptake of pyruvate into mitochondria.
See full target information MPC1

Product promise

We are committed to supporting your work with high-quality reagents, and we're here for you every step of the way. In the unlikely event that one of our products does not perform as expected, you're protected by our Product Promise.
For full details, please see our Terms & Conditions

Please note: All products are 'FOR RESEARCH USE ONLY. NOT FOR USE IN DIAGNOSTIC OR THERAPEUTIC PROCEDURES'.

For licensing inquiries, please contact partnerships@abcam.com