JavaScript is disabled in your browser. Please enable JavaScript to view this website.
AB324793

Anti-MPP8 antibody [EPR28268-120] - BSA and Azide free

Be the first to review this product! Submit a review

|

(0 Publication)

Rabbit Recombinant Monoclonal MPP8 antibody. Carrier free. Suitable for IP, WB and reacts with Human samples.

View Alternative Names

MPP8, MPHOSPH8, M-phase phosphoprotein 8, Two hybrid-associated protein 3 with RanBPM, Twa3

3 Images
Immunoprecipitation - Anti-MPP8 antibody [EPR28268-120] - BSA and Azide free (AB324793)
  • IP

Supplier Data

Immunoprecipitation - Anti-MPP8 antibody [EPR28268-120] - BSA and Azide free (AB324793)

This data was developed using ab322868, the same antibody clone in a different buffer formulation.

MPP8 was immunoprecipitated from 0.35 mg K-562 (human chronic myelogenous leukemia lymphoblast) whole cell lysate with ab322868 at 1/30 dilution (2ug in 0.35mg lysates). Western blot was performed on the immunoprecipitate using ab322868 at 1/1000 dilution. VeriBlot for IP secondary antibody(HRP)(ab131366) was used at 1/5000 dilution.

Lane 1 : K-562 (human chronic myelogenous leukemia lymphoblast) whole cell lysate
Lane 2 : ab322868 IP in K-562 (human chronic myelogenous leukemia lymphoblast) whole cell lysate
Lane 3 : Rabbit monoclonal IgG (ab172730) instead of ab322868 in K-562 whole cell lysate

Blocking and dilution buffer and concentration : 5% NFDM/TBST

All lanes:

Immunoprecipitation - Anti-MPP8 antibody [EPR28268-120] (<a href='/en-us/products/primary-antibodies/mpp8-antibody-epr28268-120-ab322868'>ab322868</a>) at 1/30 dilution

All lanes:

K-562 (human chronic myelogenous leukemia lymphoblast) whole cell lysate

Secondary

All lanes:

Immunoprecipitation - VeriBlot for IP Detection Reagent (HRP) (<a href='/en-us/products/reagents/veriblot-for-ip-detection-reagent-hrp-ab131366'>ab131366</a>) at 1/5000 dilution

false

Exposure time: 10s

Western blot - Anti-MPP8 antibody [EPR28268-120] - BSA and Azide free (AB324793)
  • WB

Supplier Data

Western blot - Anti-MPP8 antibody [EPR28268-120] - BSA and Azide free (AB324793)

This data was developed using ab322868, the same antibody clone in a different buffer formulation.

Blocking and diluting buffer and concentration : 5% NFDM/TBST.

The identity of the bands lower than 100 kDa are unknown.

In Western blot, Anti-GAPDH antibody [EPR16891] - Loading Control (ab181602) staining at 1/200000 dilution.

All lanes:

Western blot - Anti-MPP8 antibody [EPR28268-120] (<a href='/en-us/products/primary-antibodies/mpp8-antibody-epr28268-120-ab322868'>ab322868</a>) at 1/1000 dilution

Lane 1:

MCF7 (human breast adenocarcinoma epithelial cell) transfected with scrambled siRNA control whole cell lysate at 20 µg

Lane 2:

MCF7 transfected with siRNA specifically targeting MPP8 whole cell lysate at 20 µg

Secondary

All lanes:

Western blot - Goat Anti-Rabbit IgG H&L (HRP) (<a href='/en-us/products/secondary-antibodies/goat-rabbit-igg-h-l-hrp-ab97051'>ab97051</a>) at 1/20000 dilution

Observed band size: 105 kDa,36 kDa

false

Exposure time: 6s

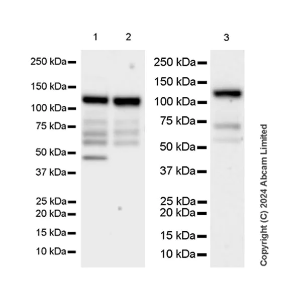
Western blot - Anti-MPP8 antibody [EPR28268-120] - BSA and Azide free (AB324793)
  • WB

Supplier Data

Western blot - Anti-MPP8 antibody [EPR28268-120] - BSA and Azide free (AB324793)

This data was developed using ab322868, the same antibody clone in a different buffer formulation.

Blocking and diluting buffer and concentration : 5% NFDM/TBST.

The identity of the bands lower than 100 kDa are unknown.

Exposure time : Lanes 1-2 : 15 seconds; Lane 3 : 114 seconds.

All lanes:

Western blot - Anti-MPP8 antibody [EPR28268-120] (<a href='/en-us/products/primary-antibodies/mpp8-antibody-epr28268-120-ab322868'>ab322868</a>) at 1/1000 dilution

Lane 1:

HeLa (human cervical adenocarcinoma epithelial cell) whole cell lysate at 20 µg

Lane 2:

293T (human embryonic kidney epithelial cell) whole cell lysate at 20 µg

Lane 3:

K-562 (human chronic myelogenous leukemia lymphoblast) whole cell lysate at 20 µg

Secondary

All lanes:

Western blot - Goat Anti-Rabbit IgG H&L (HRP) (<a href='/en-us/products/secondary-antibodies/goat-rabbit-igg-h-l-hrp-ab97051'>ab97051</a>) at 1/20000 dilution

Observed band size: 105 kDa

false

Key facts

Host species

Rabbit

Clonality

Monoclonal

Clone number

EPR28268-120

Isotype

IgG

Carrier free

Yes

Reacts with

Human

Applications

WB, IP

applications

Immunogen

The exact immunogen used to generate this antibody is proprietary information.

Reactivity data

{ "title": "Reactivity Data", "filters": { "stats": ["", "Species", "Dilution Info", "Notes"], "tabs": { "all-applications": {"fullname" : "All Applications", "shortname": "All Applications"}, "IP" : {"fullname" : "Immunoprecipitation", "shortname":"IP"}, "ChIPseq" : {"fullname" : "ChIP-sequencing", "shortname":"ChIP-seq"}, "ICCIF" : {"fullname" : "Immunocytochemistry/ Immunofluorescence", "shortname":"ICC/IF"}, "WB" : {"fullname" : "Western blot", "shortname":"WB"} }, "product-promise": { "all": "all", "testedAndGuaranteed": "tested", "guaranteed": "expected", "predicted": "predicted", "notRecommended": "not-recommended" } }, "values": { "Human": { "IP-species-checked": "testedAndGuaranteed", "IP-species-dilution-info": "", "IP-species-notes": "<p></p>", "ChIPseq-species-checked": "notRecommended", "ChIPseq-species-dilution-info": "", "ChIPseq-species-notes": "<p></p>", "ICCIF-species-checked": "notRecommended", "ICCIF-species-dilution-info": "", "ICCIF-species-notes": "<p></p>", "WB-species-checked": "testedAndGuaranteed", "WB-species-dilution-info": "", "WB-species-notes": "<p></p>" }, "Mouse": { "IP-species-checked": "notRecommended", "IP-species-dilution-info": "", "IP-species-notes": "<p></p>", "ChIPseq-species-checked": "notRecommended", "ChIPseq-species-dilution-info": "", "ChIPseq-species-notes": "", "ICCIF-species-checked": "notRecommended", "ICCIF-species-dilution-info": "", "ICCIF-species-notes": "<p></p>", "WB-species-checked": "notRecommended", "WB-species-dilution-info": "", "WB-species-notes": "<p></p>" } } }

Product details

ab324793 is the carrier-free version of ab322868.

Patented technology
Our RabMAb® technology is a patented hybridoma-based technology for making rabbit monoclonal antibodies. For details on our patents, please refer to RabMAb® patents.

What are the advantages of a recombinant monoclonal antibody?
This product is a recombinant monoclonal antibody, which offers several advantages including:

  • - High batch-to-batch consistency and reproducibility
  • - Improved sensitivity and specificity
  • - Long-term security of supply
  • - Animal-free batch production

For more information, read more on recombinant antibodies.

Conjugation ready
Our carrier-free antibodies are typically supplied in a PBS-only formulation, purified and free of BSA, sodium azide and glycerol. This conjugation-ready format is designed for use with fluorochromes, metal isotopes, oligonucleotides, and enzymes, which makes them ideal for antibody labelling, functional and cell-based assays, flow-based assays (e.g. mass cytometry) and Multiplex Imaging applications.

Use our conjugation kits for antibody conjugates that are ready-to-use in as little as 20 minutes with 1 minute hands-on-time and 100% antibody recovery: available for fluorescent dyes, HRP, biotin and gold.

Compatibility
This product is compatible with the Maxpar® Antibody Labeling Kit from Fluidigm, without the need for antibody preparation. Maxpar® is a trademark of Fluidigm Canada Inc.

Properties and storage information

Form
Liquid
Purification technique
Affinity purification Protein A
Storage buffer
pH: 7.2 - 7.4 Constituents: PBS
Shipped at conditions
Blue Ice
Appropriate short-term storage conditions
+4°C
Appropriate long-term storage conditions
+4°C

Product protocols

For this product, it's our understanding that no specific protocols are required. You can visit:

Target data

Heterochromatin component that specifically recognizes and binds methylated 'Lys-9' of histone H3 (H3K9me) and promotes recruitment of proteins that mediate epigenetic repression (PubMed : 20871592, PubMed : 26022416). Mediates recruitment of the HUSH complex to H3K9me3 sites : the HUSH complex is recruited to genomic loci rich in H3K9me3 and is required to maintain transcriptional silencing by promoting recruitment of SETDB1, a histone methyltransferase that mediates further deposition of H3K9me3, as well as MORC2 (PubMed : 26022416, PubMed : 28581500). Binds H3K9me and promotes DNA methylation by recruiting DNMT3A to target CpG sites; these can be situated within the coding region of the gene (PubMed : 20871592). Mediates down-regulation of CDH1 expression (PubMed : 20871592). Also represses L1 retrotransposons in collaboration with MORC2 and, probably, SETDB1, the silencing is dependent of repressive epigenetic modifications, such as H3K9me3 mark. Silencing events often occur within introns of transcriptionally active genes, and lead to the down-regulation of host gene expression (PubMed : 29211708). The HUSH complex is also involved in the silencing of unintegrated retroviral DNA by being recruited by ZNF638 : some part of the retroviral DNA formed immediately after infection remains unintegrated in the host genome and is transcriptionally repressed (PubMed : 30487602).
See full target information MPHOSPH8

Product promise

We are committed to supporting your work with high-quality reagents, and we're here for you every step of the way. In the unlikely event that one of our products does not perform as expected, you're protected by our Product Promise.
For full details, please see our Terms & Conditions

Please note: All products are 'FOR RESEARCH USE ONLY. NOT FOR USE IN DIAGNOSTIC OR THERAPEUTIC PROCEDURES'.

For licensing inquiries, please contact partnerships@abcam.com