JavaScript is disabled in your browser. Please enable JavaScript to view this website.
AB251741

Anti-MPRIP antibody

Be the first to review this product! Submit a review

|

(1 Publication)

Rabbit Polyclonal MPRIP antibody. Suitable for IHC-P, WB, ICC/IF and reacts with Human, Mouse, Rat samples. Cited in 1 publication. Immunogen corresponding to Recombinant Fragment Protein within Human MPRIP aa 850 to C-terminus.

View Alternative Names

KIAA0864, MRIP, RHOIP3, MPRIP, Myosin phosphatase Rho-interacting protein, M-RIP, Rho-interacting protein 3, p116Rip, RIP3

7 Images
Immunohistochemistry (Formalin/PFA-fixed paraffin-embedded sections) - Anti-MPRIP antibody (AB251741)
  • IHC-P

Supplier Data

Immunohistochemistry (Formalin/PFA-fixed paraffin-embedded sections) - Anti-MPRIP antibody (AB251741)

Immunohistochemical analysis of human cerebral cortex tissue labeling MPRIP with ab251741 at a 1/200 dilution.

Immunohistochemistry (Formalin/PFA-fixed paraffin-embedded sections) - Anti-MPRIP antibody (AB251741)
  • IHC-P

Supplier Data

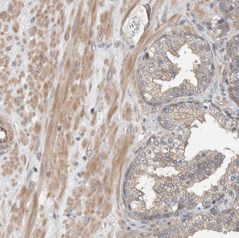
Immunohistochemistry (Formalin/PFA-fixed paraffin-embedded sections) - Anti-MPRIP antibody (AB251741)

Immunohistochemical analysis of human prostate tissue labeling MPRIP with ab251741 at a 1/200 dilution.

Immunocytochemistry/ Immunofluorescence - Anti-MPRIP antibody (AB251741)
  • ICC/IF

Unknown

Immunocytochemistry/ Immunofluorescence - Anti-MPRIP antibody (AB251741)

PFA-fixed, Triton X-100 permeabilized A431 (human epidermoid carcinoma cell line) cells stained for MPRIP (green) using ab251741 at 4 µg/ml in ICC/IF.

Immunohistochemistry (Formalin/PFA-fixed paraffin-embedded sections) - Anti-MPRIP antibody (AB251741)
  • IHC-P

Supplier Data

Immunohistochemistry (Formalin/PFA-fixed paraffin-embedded sections) - Anti-MPRIP antibody (AB251741)

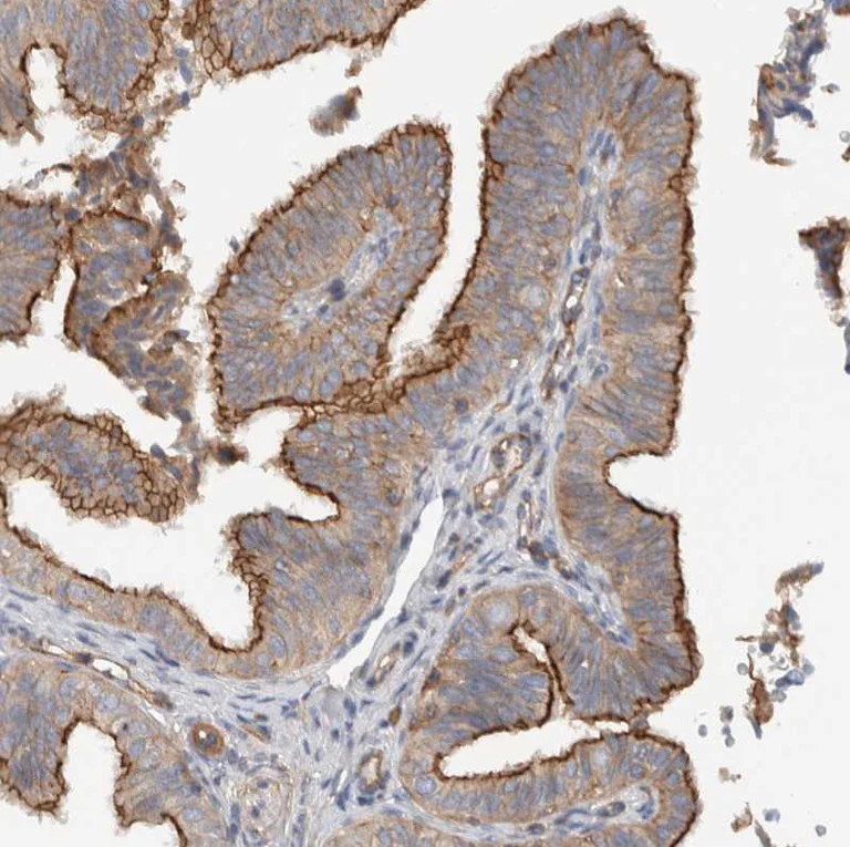
Immunohistochemical analysis of human Fallopian tube tissue labeling MPRIP with ab251741 at a 1/200 dilution.

Immunohistochemistry (Formalin/PFA-fixed paraffin-embedded sections) - Anti-MPRIP antibody (AB251741)
  • IHC-P

Supplier Data

Immunohistochemistry (Formalin/PFA-fixed paraffin-embedded sections) - Anti-MPRIP antibody (AB251741)

Immunohistochemical analysis of human liver tissue labeling MPRIP with ab251741 at a 1/200 dilution.

Western blot - Anti-MPRIP antibody (AB251741)
  • WB

Unknown

Western blot - Anti-MPRIP antibody (AB251741)

All lanes:

Western blot - Anti-MPRIP antibody (ab251741) at 0.4 µg/mL

All lanes:

PC-3 (human prostate adenocarcinoma cell line line) whole cell lysate

Predicted band size: 117 kDa

false

Western blot - Anti-MPRIP antibody (AB251741)
  • WB

Unknown

Western blot - Anti-MPRIP antibody (AB251741)

All lanes:

Western blot - Anti-MPRIP antibody (ab251741) at 0.4 µg/mL

Lane 1:

NIH/3T3 (mouse embryo fibroblast cell line) whole cell lysate

Lane 2:

NBT-II (rat Wistar bladder tumor cell line) whole cell lysate

Predicted band size: 117 kDa

false

Key facts

Host species

Rabbit

Clonality

Polyclonal

Isotype

IgG

Carrier free

No

Reacts with

Mouse, Rat, Human

Applications

IHC-P, WB, ICC/IF

applications

Immunogen

Recombinant Fragment Protein within Human MPRIP aa 850 to C-terminus. The exact immunogen used to generate this antibody is proprietary information.

Q6WCQ1

Reactivity data

{ "title": "Reactivity Data", "filters": { "stats": ["", "Species", "Dilution Info", "Notes"], "tabs": { "all-applications": {"fullname" : "All Applications", "shortname": "All Applications"}, "IHCP" : {"fullname" : "Immunohistochemistry (Formalin/PFA-fixed paraffin-embedded sections)", "shortname":"IHC-P"}, "WB" : {"fullname" : "Western blot", "shortname":"WB"}, "ICCIF" : {"fullname" : "Immunocytochemistry/ Immunofluorescence", "shortname":"ICC/IF"} }, "product-promise": { "all": "all", "testedAndGuaranteed": "tested", "guaranteed": "expected", "predicted": "predicted", "notRecommended": "not-recommended" } }, "values": { "Human": { "IHCP-species-checked": "testedAndGuaranteed", "IHCP-species-dilution-info": "1/50 - 1/200", "IHCP-species-notes": "<p></p> Perform heat-mediated antigen retrieval with citrate buffer pH 6 before commencing with IHC staining protocol.", "WB-species-checked": "testedAndGuaranteed", "WB-species-dilution-info": "0.04-0.4 µg/mL", "WB-species-notes": "<p></p>", "ICCIF-species-checked": "testedAndGuaranteed", "ICCIF-species-dilution-info": "0.25-2 µg/mL", "ICCIF-species-notes": "<p>Fixation/Permeabilization: PFA/Triton X-100.</p>" }, "Mouse": { "IHCP-species-checked": "guaranteed", "IHCP-species-dilution-info": "", "IHCP-species-notes": "", "WB-species-checked": "testedAndGuaranteed", "WB-species-dilution-info": "0.04-0.4 µg/mL", "WB-species-notes": "<p></p>", "ICCIF-species-checked": "guaranteed", "ICCIF-species-dilution-info": "", "ICCIF-species-notes": "" }, "Rat": { "IHCP-species-checked": "guaranteed", "IHCP-species-dilution-info": "", "IHCP-species-notes": "", "WB-species-checked": "testedAndGuaranteed", "WB-species-dilution-info": "0.04-0.4 µg/mL", "WB-species-notes": "<p></p>", "ICCIF-species-checked": "guaranteed", "ICCIF-species-dilution-info": "", "ICCIF-species-notes": "" } } }

Properties and storage information

Form
Liquid
Purification technique
Affinity purification Immunogen
Storage buffer
pH: 7.2 Preservative: 0.02% Sodium azide Constituents: PBS, 40% Glycerol (glycerin, glycerine)
Shipped at conditions
Blue Ice
Appropriate short-term storage duration
1-2 weeks
Appropriate short-term storage conditions
+4°C
Appropriate long-term storage conditions
-20°C
Aliquoting information
Upon delivery aliquot
Storage information
Avoid freeze / thaw cycle

Supplementary information

This supplementary information is collated from multiple sources and compiled automatically.

MPRIP also known as Myosin Phosphatase Rho Interacting Protein or p116Rip is an important player in the regulation of the actin cytoskeleton. This protein weighs approximately 116 kDa and is expressed in a variety of tissues including the brain heart and testis. It interacts with the regulatory subunit of myosin phosphatase influencing actin filament dynamics by modulating the interaction between actin and myosin.
Biological function summary

MPRIP serves a critical role in the modulation of actin cytoskeleton rearrangement. It is part of a multi-protein complex that includes myosin phosphatase which is essential for dephosphorylation of myosin light chains. By binding directly to the myosin phosphatase complex MPRIP ensures proper regulation of actin-myosin interactions which are integral to cellular processes such as migration division and shape maintenance.

Pathways

MPRIP plays an important role within the RhoA signaling pathway and the regulation of cytoskeletal rearrangements. It facilitates the interaction between RhoA and myosin phosphatase leading to the deactivation of contractility. Another important protein involved is ROCK as MPRIP counteracts ROCK-induced phosphorylation of myosin light chain therefore influencing cell contractility and motility.

MPRIP dysregulation has implications in cardiovascular diseases and cancer. Its connection with proteins like ROCK and RhoA highlights its role in these pathologies. In cardiovascular diseases improper MPRIP function can lead to aberrant vascular smooth muscle contraction while in cancer altered MPRIP activity may contribute to changes in cell migration and invasion affecting cancer progression and metastasis.

Product protocols

For this product, it's our understanding that no specific protocols are required. You can visit:

Target data

Targets myosin phosphatase to the actin cytoskeleton. Required for the regulation of the actin cytoskeleton by RhoA and ROCK1. Depletion leads to an increased number of stress fibers in smooth muscle cells through stabilization of actin fibers by phosphorylated myosin. Overexpression of MRIP as well as its F-actin-binding region leads to disassembly of stress fibers in neuronal cells.
See full target information MPRIP

Publications (1)

Recent publications for all applications. Explore the full list and refine your search

The Journal of experimental medicine 217: PubMed32453420

2020

Targeting CLK3 inhibits the progression of cholangiocarcinoma by reprogramming nucleotide metabolism.

Applications

Unspecified application

Species

Unspecified reactive species

Qingxin Zhou,Meihua Lin,Xing Feng,Fei Ma,Yuekun Zhu,Xing Liu,Chao Qu,Hong Sui,Bei Sun,Anlong Zhu,Heng Zhang,He Huang,Zhi Gao,Yongxiang Zhao,Jiangyun Sun,Yuxian Bai,Junfei Jin,Xuehui Hong,Chang Zou,Zhiyong Zhang
View all publications

Product promise

We are committed to supporting your work with high-quality reagents, and we're here for you every step of the way. In the unlikely event that one of our products does not perform as expected, you're protected by our Product Promise.
For full details, please see our Terms & Conditions

Please note: All products are 'FOR RESEARCH USE ONLY. NOT FOR USE IN DIAGNOSTIC OR THERAPEUTIC PROCEDURES'.

For licensing inquiries, please contact partnerships@abcam.com