JavaScript is disabled in your browser. Please enable JavaScript to view this website.
AB229715

Anti-MR1 antibody

Be the first to review this product! Submit a review

|

(1 Publication)

Rabbit Polyclonal MR1 antibody. Suitable for IHC-P and reacts with Human samples. Cited in 1 publication. Immunogen corresponding to Recombinant Fragment Protein within Human MR1 aa 1-300.

View Alternative Names

Major histocompatibility complex class I-related gene protein, MHC class I-related gene protein, Class I histocompatibility antigen-like protein, MR1

2 Images
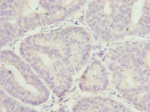
Immunohistochemistry (Formalin/PFA-fixed paraffin-embedded sections) - Anti-MR1 antibody (AB229715)
  • IHC-P

Supplier Data

Immunohistochemistry (Formalin/PFA-fixed paraffin-embedded sections) - Anti-MR1 antibody (AB229715)

Paraffin-embedded human prostate cancer tissue stained for MR1 using ab229715 at 1/100 dilution in immunohistochemical analysis.

Immunohistochemistry (Formalin/PFA-fixed paraffin-embedded sections) - Anti-MR1 antibody (AB229715)
  • IHC-P

Supplier Data

Immunohistochemistry (Formalin/PFA-fixed paraffin-embedded sections) - Anti-MR1 antibody (AB229715)

Paraffin-embedded human endometrial cancer tissue stained for MR1 using ab229715 at 1/100 dilution in immunohistochemical analysis.

Key facts

Host species

Rabbit

Clonality

Polyclonal

Isotype

IgG

Carrier free

No

Reacts with

Human

Applications

IHC-P

applications

Immunogen

Recombinant Fragment Protein within Human MR1 aa 1-300. The exact immunogen used to generate this antibody is proprietary information.

Q95460

Reactivity data

{ "title": "Reactivity Data", "filters": { "stats": ["", "Species", "Dilution Info", "Notes"], "tabs": { "all-applications": {"fullname" : "All Applications", "shortname": "All Applications"}, "IHCP" : {"fullname" : "Immunohistochemistry (Formalin/PFA-fixed paraffin-embedded sections)", "shortname":"IHC-P"} }, "product-promise": { "all": "all", "testedAndGuaranteed": "tested", "guaranteed": "expected", "predicted": "predicted", "notRecommended": "not-recommended" } }, "values": { "Human": { "IHCP-species-checked": "testedAndGuaranteed", "IHCP-species-dilution-info": "1/20 - 1/200", "IHCP-species-notes": "<p></p>" } } }

Properties and storage information

Form
Liquid
Purification technique
Affinity purification Immunogen
Storage buffer
pH: 7.3 Preservative: 0.02% Sodium azide Constituents: PBS, 50% Glycerol (glycerin, glycerine)
Shipped at conditions
Blue Ice
Appropriate short-term storage duration
1-2 weeks
Appropriate short-term storage conditions
+4°C
Appropriate long-term storage conditions
-20°C
Aliquoting information
Upon delivery aliquot
Storage information
Avoid freeze / thaw cycle

Supplementary information

This supplementary information is collated from multiple sources and compiled automatically.

MR1 also known as the MR1 receptor or MR1 protein is an important player in the immune system. It weighs around 37 kilodaltons. This protein expresses prominently in many tissues such as the liver lymphoid tissues and the intestine. MR1 binds a range of small molecules derived from vitamin B metabolites. It presents these metabolites to a specific group of immune cells known as mucosal-associated invariant T (MAIT) cells leading to their activation.
Biological function summary

MR1 varies its mechanism by forming complexes with antigens that lack traditional peptide structure. It performs a major role in the immune response particularly through its interactions with MAIT cells. These cells represent an important intersection between innate and adaptive immunity responding rapidly to many pathogen-associated metabolites presented by MR1. This response contributes importantly to host protection especially against microbial infections.

Pathways

MR1 is an integral component in the vitamin B antigen presentation pathway. It interacts significantly with other molecules involved in antigen presentation. MR1's function anchors it within the host-pathogen interaction pathways and connects with proteins like beta-2-microglobulin (β2M) which is important for surface expression. Its activity complements classical MHC pathways although it operates independently in presenting non-peptide antigens.

MR1 contributes to understanding certain autoimmune conditions and infectious diseases. It connects to infectious diseases such as tuberculosis where MAIT cell activation plays a critical role in the immune response. Additionally MR1 has links to inflammatory bowel disease (IBD) a condition where gut microbiota activation of MAIT cells through MR1 may influence the disease outcome. Understanding its role in these diseases can provide insights into how MR1 or related proteins might be targeted for therapeutic interventions.

Product protocols

For this product, it's our understanding that no specific protocols are required. You can visit:

Target data

Antigen-presenting molecule specialized in displaying microbial pyrimidine-based metabolites to alpha-beta T cell receptors (TCR) on innate-type mucosal-associated invariant T (MAIT) cells (PubMed : 12794138, PubMed : 19416870, PubMed : 22692454, PubMed : 23051753, PubMed : 23846752, PubMed : 26795251). In complex with B2M preferentially presents riboflavin-derived metabolites to semi-invariant TRAV1-2 TCRs on MAIT cells, guiding immune surveillance of the microbial metabolome at mucosal epithelial barriers (PubMed : 20581831, PubMed : 24695216, PubMed : 26795251). Signature pyrimidine-based microbial antigens are generated via non-enzymatic condensation of metabolite intermediates of the riboflavin pathway with by-products arising from other metabolic pathways such as glycolysis. Typical potent antigenic metabolites are 5-(2-oxoethylideneamino)-6-D-ribitylaminouracil (5-OE-RU) and 5-(2-oxopropylideneamino)-6-D-ribitylaminouracil (5-OP-RU), products of condensation of 5-amino-6-D-ribityaminouracil (5-A-RU) with glyoxal or methylglyoxal by-products, respectively (PubMed : 24695216). May present microbial antigens to various TRAV1-2-negative MAIT cell subsets, providing for unique recognition of diverse microbes, including pathogens that do not synthesize riboflavin (PubMed : 27527800, PubMed : 31113973). Upon antigen recognition, elicits rapid innate-type MAIT cell activation to eliminate pathogenic microbes by directly killing infected cells (PubMed : 23846752, PubMed : 24695216, PubMed : 27527800). During T cell development, drives thymic selection and post-thymic terminal differentiation of MAIT cells in a process dependent on commensal microflora (By similarity). Acts as an immune sensor of cancer cell metabolome (PubMed : 31959982). May present a tumor-specific or -associated metabolite essential for cancer cell survival to a pan-cancer TCR consisting of TRAV38.2-DV8*TRAJ31 alpha chain paired with a TRBV25.1*TRBJ2.3 beta chain on a non-MAIT CD8-positive T cell clone (MC.7.G5), triggering T cell-mediated killing of a wide range of cancer cell types (PubMed : 31959982).
See full target information MR1

Publications (1)

Recent publications for all applications. Explore the full list and refine your search

Journal of cellular and molecular medicine 23:6822-6834 PubMed31386303

2019

Molecular mechanism of tumour necrosis factor alpha regulates hypocretin (orexin) expression, sleep and behaviour.

Applications

Unspecified application

Species

Unspecified reactive species

Shuqin Zhan,Pulin Che,Xue-Ke Zhao,Ning Li,Yan Ding,Jianghong Liu,Spring Li,Karyn Ding,Lynn Han,Zhaoyang Huang,Liyong Wu,Yuping Wang,Meng Hu,Xiaosi Han,Qiang Ding
View all publications

Product promise

We are committed to supporting your work with high-quality reagents, and we're here for you every step of the way. In the unlikely event that one of our products does not perform as expected, you're protected by our Product Promise.
For full details, please see our Terms & Conditions

Please note: All products are 'FOR RESEARCH USE ONLY. NOT FOR USE IN DIAGNOSTIC OR THERAPEUTIC PROCEDURES'.

For licensing inquiries, please contact partnerships@abcam.com