JavaScript is disabled in your browser. Please enable JavaScript to view this website.
AB325655

Anti-MR1 antibody [EPR30434-652] - BSA and Azide free

Be the first to review this product! Submit a review

|

(0 Publication)

Rabbit Recombinant Monoclonal MR1 antibody. Carrier free. Suitable for WB and reacts with Human samples.

View Alternative Names

Major histocompatibility complex class I-related gene protein, MHC class I-related gene protein, Class I histocompatibility antigen-like protein, MR1

3 Images
Western blot - Anti-MR1 antibody [EPR30434-652] - BSA and Azide free (AB325655)
  • WB

Lab

Western blot - Anti-MR1 antibody [EPR30434-652] - BSA and Azide free (AB325655)

This data was developed using ab325648 , the same antibody clone in a different buffer formulation.

Blocking and diluting buffer and concentration : 5% NFDM/TBST.

In Western blot, Anti-GAPDH antibody [EPR16891] - Loading Control (ab181602) (1 : 200000) (36KDa).

All lanes:

Western blot - Anti-MR1 antibody [EPR30434-652] (ab325648) at 1/1000 dilution

Lane 1:

T-47D (human ductal breast epithelial tumor epithelial cell) transfected with scrambled siRNA control whole cell lysate at 20 µg

Lane 2:

T-47D transfected with siRNA specifically targeting MR1 whole cell lysate at 20 µg

Secondary

All lanes:

Western blot - Goat Anti-Rabbit IgG H&L (HRP) (<a href='/en-us/products/secondary-antibodies/goat-rabbit-igg-h-l-hrp-ab97051'>ab97051</a>) at 1/20000 dilution

Observed band size: 26 kDa,38 kDa,36 kDa

false

Exposure time: 180s

Western blot - Anti-MR1 antibody [EPR30434-652] - BSA and Azide free (AB325655)
  • WB

Lab

Western blot - Anti-MR1 antibody [EPR30434-652] - BSA and Azide free (AB325655)

This data was developed using ab325648, the same antibody clone in a different buffer formulation.

Blocking and diluting buffer and concentration : 5% NFDM/TBST.

The identity of the higher MW band at approximately 70 kDa is unknown.

In Western blot, Anti-Vinculin antibody [EPR8185] (ab129002) (1 : 10000) (124KDa).

All lanes:

Western blot - Anti-MR1 antibody [EPR30434-652] (ab325648) at 1/1000 dilution

Lane 1:

Human lymph node tissue lysate at 20 µg

Lane 2:

Human tonsil tissue lysate at 20 µg

Secondary

All lanes:

Goat Anti-Rabbit IgG (HRP) with minimal cross-reactivity with human IgG at 1/2000 dilution

Observed band size: 26 kDa,38 kDa,124 kDa

false

Exposure time: 48s

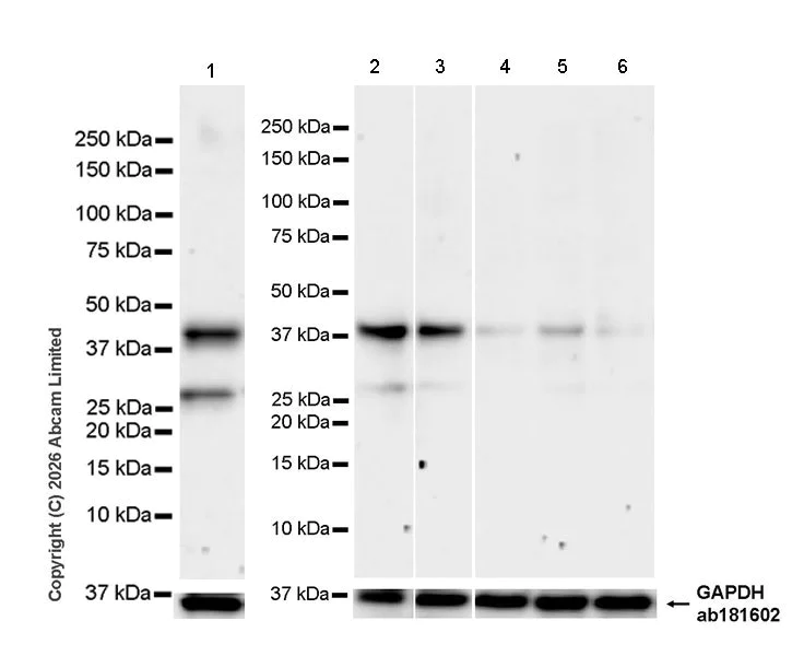
Western blot - Anti-MR1 antibody [EPR30434-652] - BSA and Azide free (AB325655)
  • WB

Lab

Western blot - Anti-MR1 antibody [EPR30434-652] - BSA and Azide free (AB325655)

This data was developed using ab325648, the same antibody clone in a different buffer formulation.

Blocking and diluting buffer and concentration : 5% NFDM/TBST.

Low expression : Daudi, MOLT-4, HeLa.

In Western blot, Anti-GAPDH antibody [EPR16891] - Loading Control (ab181602) (1 : 200000) (36KDa).

All lanes:

Western blot - Anti-MR1 antibody [EPR30434-652] (ab325648) at 1/1000 dilution

Lane 1:

T-47D (human ductal breast epithelial tumor epithelial cell) whole cell lysate at 20 µg

Lane 2:

THP-1 (human monocytic leukemia monocyte) whole cell lysate at 50 µg

Lane 3:

KARPAS-299 (human T cell lymphoma cell) whole cell lysate at 50 µg

Lane 4:

Daudi (human Burkitt's lymphoma lymphoblast) whole cell lysate at 50 µg

Lane 5:

MOLT-4 (human lymphoblastic leukemia T lymphoblast) whole cell lysate at 50 µg

Lane 6:

HeLa (human cervical adenocarcinoma epithelial cell) whole cell lysate at 50 µg

Secondary

All lanes:

Goat Anti-Rabbit IgG (HRP) with minimal cross-reactivity with human IgG at 1/2000 dilution

Observed band size: 26 kDa,38 kDa,36 kDa

false

Exposure time: 26s

Key facts

Host species

Rabbit

Clonality

Monoclonal

Clone number

EPR30434-652

Isotype

IgG

Carrier free

Yes

Reacts with

Human

Applications

WB

applications

Immunogen

The exact immunogen used to generate this antibody is proprietary information.

Reactivity data

{ "title": "Reactivity Data", "filters": { "stats": ["", "Species", "Dilution Info", "Notes"], "tabs": { "all-applications": {"fullname" : "All Applications", "shortname": "All Applications"}, "WB" : {"fullname" : "Western blot", "shortname":"WB"}, "ICCIF" : {"fullname" : "Immunocytochemistry/ Immunofluorescence", "shortname":"ICC/IF"}, "IHCP" : {"fullname" : "Immunohistochemistry (Formalin/PFA-fixed paraffin-embedded sections)", "shortname":"IHC-P"} }, "product-promise": { "all": "all", "testedAndGuaranteed": "tested", "guaranteed": "expected", "predicted": "predicted", "notRecommended": "not-recommended" } }, "values": { "Human": { "WB-species-checked": "testedAndGuaranteed", "WB-species-dilution-info": "", "WB-species-notes": "<p></p>", "ICCIF-species-checked": "notRecommended", "ICCIF-species-dilution-info": "", "ICCIF-species-notes": "<p></p>", "IHCP-species-checked": "notRecommended", "IHCP-species-dilution-info": "", "IHCP-species-notes": "<p></p>" } } }

Product details

ab325655 is the carrier-free version of ab325648

Patented technology
Our RabMAb® technology is a patented hybridoma-based technology for making rabbit monoclonal antibodies. For details on our patents, please refer to RabMAb® patents.

What are the advantages of a recombinant monoclonal antibody?
This product is a recombinant monoclonal antibody, which offers several advantages including:

  • - High batch-to-batch consistency and reproducibility
  • - Improved sensitivity and specificity
  • - Long-term security of supply
  • - Animal-free batch production

For more information, read more on recombinant antibodies.

Conjugation ready
Our carrier-free antibodies are typically supplied in a PBS-only formulation, purified and free of BSA, sodium azide and glycerol. This conjugation-ready format is designed for use with fluorochromes, metal isotopes, oligonucleotides, and enzymes, which makes them ideal for antibody labelling, functional and cell-based assays, flow-based assays (e.g. mass cytometry) and Multiplex Imaging applications.

Use our conjugation kits for antibody conjugates that are ready-to-use in as little as 20 minutes with 1 minute hands-on-time and 100% antibody recovery: available for fluorescent dyes, HRP, biotin and gold.

Compatibility
This product is compatible with the Maxpar® Antibody Labeling Kit from Fluidigm, without the need for antibody preparation. Maxpar® is a trademark of Fluidigm Canada Inc.

Properties and storage information

Form
Liquid
Purification technique
Affinity purification Protein A
Storage buffer
pH: 7.2 - 7.4 Constituents: PBS
Shipped at conditions
Blue Ice
Appropriate short-term storage conditions
+4°C
Appropriate long-term storage conditions
+4°C

Product protocols

For this product, it's our understanding that no specific protocols are required. You can visit:

Target data

Antigen-presenting molecule specialized in displaying microbial pyrimidine-based metabolites to alpha-beta T cell receptors (TCR) on innate-type mucosal-associated invariant T (MAIT) cells (PubMed : 12794138, PubMed : 19416870, PubMed : 22692454, PubMed : 23051753, PubMed : 23846752, PubMed : 26795251). In complex with B2M preferentially presents riboflavin-derived metabolites to semi-invariant TRAV1-2 TCRs on MAIT cells, guiding immune surveillance of the microbial metabolome at mucosal epithelial barriers (PubMed : 20581831, PubMed : 24695216, PubMed : 26795251). Signature pyrimidine-based microbial antigens are generated via non-enzymatic condensation of metabolite intermediates of the riboflavin pathway with by-products arising from other metabolic pathways such as glycolysis. Typical potent antigenic metabolites are 5-(2-oxoethylideneamino)-6-D-ribitylaminouracil (5-OE-RU) and 5-(2-oxopropylideneamino)-6-D-ribitylaminouracil (5-OP-RU), products of condensation of 5-amino-6-D-ribityaminouracil (5-A-RU) with glyoxal or methylglyoxal by-products, respectively (PubMed : 24695216). May present microbial antigens to various TRAV1-2-negative MAIT cell subsets, providing for unique recognition of diverse microbes, including pathogens that do not synthesize riboflavin (PubMed : 27527800, PubMed : 31113973). Upon antigen recognition, elicits rapid innate-type MAIT cell activation to eliminate pathogenic microbes by directly killing infected cells (PubMed : 23846752, PubMed : 24695216, PubMed : 27527800). During T cell development, drives thymic selection and post-thymic terminal differentiation of MAIT cells in a process dependent on commensal microflora (By similarity). Acts as an immune sensor of cancer cell metabolome (PubMed : 31959982). May present a tumor-specific or -associated metabolite essential for cancer cell survival to a pan-cancer TCR consisting of TRAV38.2-DV8*TRAJ31 alpha chain paired with a TRBV25.1*TRBJ2.3 beta chain on a non-MAIT CD8-positive T cell clone (MC.7.G5), triggering T cell-mediated killing of a wide range of cancer cell types (PubMed : 31959982).
See full target information MR1

Product promise

We are committed to supporting your work with high-quality reagents, and we're here for you every step of the way. In the unlikely event that one of our products does not perform as expected, you're protected by our Product Promise.
For full details, please see our Terms & Conditions

Please note: All products are 'FOR RESEARCH USE ONLY. NOT FOR USE IN DIAGNOSTIC OR THERAPEUTIC PROCEDURES'.

For licensing inquiries, please contact partnerships@abcam.com