JavaScript is disabled in your browser. Please enable JavaScript to view this website.
AB70132

Anti-MRC2/ENDO180 antibody

4

(4 Reviews)

|

(13 Publications)

Rabbit Polyclonal MRC2/ENDO180 antibody. Suitable for WB, IHC-P, ICC/IF and reacts with Human samples. Cited in 13 publications.

View Alternative Names

CD280, CLEC13E, ENDO180, KIAA0709, UPARAP, MRC2, C-type mannose receptor 2, C-type lectin domain family 13 member E, Endocytic receptor 180, Macrophage mannose receptor 2, Urokinase-type plasminogen activator receptor-associated protein, UPAR-associated protein, Urokinase receptor-associated protein

3 Images
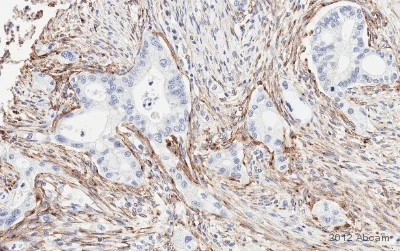
Immunohistochemistry (Formalin/PFA-fixed paraffin-embedded sections) - Anti-MRC2/ENDO180 antibody (AB70132)
  • IHC-P

AbReview33477****

Immunohistochemistry (Formalin/PFA-fixed paraffin-embedded sections) - Anti-MRC2/ENDO180 antibody (AB70132)

ab70132 staining MRC2/ENDO180 in Human pancreatic cancer tissue sections by Immunohistochemistry (IHC-P - paraformaldehyde-fixed, paraffin-embedded sections). Tissue was fixed with formaldehyde and blocked with Inhibitor CM for 4 minutes at 37°C; antigen retrieval was by heat mediation in Tris/Borate/EDTA buffer pH 8. Samples were incubated with primary antibody (1/50 ) for 32 minutes at 37°C. An undiluted HRP-conjugated Goat anti-rabbit IgG polyclonal was used as the secondary antibody.

This image is courtesy of an anonymous Abreview

Immunohistochemistry (Formalin/PFA-fixed paraffin-embedded sections) - Anti-MRC2/ENDO180 antibody (AB70132)
  • IHC-P

Unknown

Immunohistochemistry (Formalin/PFA-fixed paraffin-embedded sections) - Anti-MRC2/ENDO180 antibody (AB70132)

ab70132, at a 1/50 dilution, staining MRC2/ENDO180 in paraffin embedded human brain tissue by Immunohistochemistry, in the absence or presence of the immunising peptide.

Western blot - Anti-MRC2/ENDO180 antibody (AB70132)
  • WB

Unknown

Western blot - Anti-MRC2/ENDO180 antibody (AB70132)

All lanes:

Western blot - Anti-MRC2/ENDO180 antibody (ab70132) at 1/500 dilution

Lane 1:

293 cell extracts at 5 µg

Lane 2:

293 cell extracts at 5 µg with immunising peptide

Predicted band size: 167 kDa

Observed band size: 167 kDa

false

Key facts

Host species

Rabbit

Clonality

Polyclonal

Isotype

IgG

Carrier free

No

Reacts with

Human

Applications

WB, IHC-P, ICC/IF

applications

Immunogen

The exact immunogen used to generate this antibody is proprietary information.

Reactivity data

{ "title": "Reactivity Data", "filters": { "stats": ["", "Species", "Dilution Info", "Notes"], "tabs": { "all-applications": {"fullname" : "All Applications", "shortname": "All Applications"}, "WB" : {"fullname" : "Western blot", "shortname":"WB"}, "IHCP" : {"fullname" : "Immunohistochemistry (Formalin/PFA-fixed paraffin-embedded sections)", "shortname":"IHC-P"}, "ICCIF" : {"fullname" : "Immunocytochemistry/ Immunofluorescence", "shortname":"ICC/IF"} }, "product-promise": { "all": "all", "testedAndGuaranteed": "tested", "guaranteed": "expected", "predicted": "predicted", "notRecommended": "not-recommended" } }, "values": { "Human": { "WB-species-checked": "testedAndGuaranteed", "WB-species-dilution-info": "1/500 - 1/1000", "WB-species-notes": "<p></p>", "IHCP-species-checked": "testedAndGuaranteed", "IHCP-species-dilution-info": "1/50 - 1/100", "IHCP-species-notes": "<p></p>", "ICCIF-species-checked": "testedAndGuaranteed", "ICCIF-species-dilution-info": "1/500 - 1/1000", "ICCIF-species-notes": "<p></p>" } } }

Properties and storage information

Form
Liquid
Purification technique
Affinity purification Immunogen
Purification notes
ab70132 was affinity purified from rabbit antiserum by affinity chromatography using epitope specific immunogen.
Storage buffer
pH: 7.4 Preservative: 0.02% Sodium azide Constituents: PBS, 50% Glycerol (glycerin, glycerine), 0.87% Sodium chloride
Shipped at conditions
Blue Ice
Appropriate short-term storage conditions
+4°C
Appropriate long-term storage conditions
-20°C
Aliquoting information
Upon delivery aliquot
Storage information
Avoid freeze / thaw cycle

Supplementary information

This supplementary information is collated from multiple sources and compiled automatically.

MRC2 also known as the Endo180 protein is a type 1 transmembrane receptor with a structure that includes a fibronectin type II domain eight C-type lectin domains and a cysteine-rich domain. This protein has an approximate molecular mass of 180 kDa. MRC2 is widely expressed in various human tissues with noticeable expression in fibroblasts macrophages and certain endothelial cells. The protein plays a role in endocytosis involving the binding and internalization of collagen and other extracellular matrix components.
Biological function summary

MRC2 serves several significant roles including its involvement in tissue remodeling cellular migration and extracellular matrix turnover. The protein forms part of a larger complex involving other matrix-interacting proteins allowing for efficient capture and presentation of ligands. MRC2 contributes to the regulation of collagen homeostasis through interaction with collagenase and facilitates uptake and processing of collagen.

Pathways

MRC2 takes part in cellular processes connected to collagen metabolism and tissue remodeling. It is particularly involved in pathways such as the receptor-mediated endocytosis pathway and collagen degradation pathway. Interactions between MRC2 and proteins like uPAR (urokinase receptor) highlight its role in plasminogen activation which is essential for extracellular matrix breakdown and cell migration.

MRC2 displays connection to tissue fibrosis and cancer metastasis. In fibrosis dysregulation of MRC2 can lead to excessive collagen deposition which contributes to disease progression. In cancer abnormal MRC2 activity associates with enhanced tumor cell invasion and metastasis. Additionally MRC2's interaction with uPAR suggests its involvement in tumor progression further emphasizing its potential as a therapeutic target for disease modulation.

Product protocols

For this product, it's our understanding that no specific protocols are required. You can visit:

Target data

May play a role as endocytotic lectin receptor displaying calcium-dependent lectin activity. Internalizes glycosylated ligands from the extracellular space for release in an endosomal compartment via clathrin-mediated endocytosis. May be involved in plasminogen activation system controlling the extracellular level of PLAUR/PLAU, and thus may regulate protease activity at the cell surface. May contribute to cellular uptake, remodeling and degradation of extracellular collagen matrices. May play a role during cancer progression as well as in other chronic tissue destructive diseases acting on collagen turnover. May participate in remodeling of extracellular matrix cooperating with the matrix metalloproteinases (MMPs).
See full target information MRC2

Publications (13)

Recent publications for all applications. Explore the full list and refine your search

Pharmaceuticals (Basel, Switzerland) 18: PubMed40430436

2025

Epigallocatechin Gallate in Ameliorates Skin Aging by Reducing Mitochondrial ROS Production.

Applications

Unspecified application

Species

Unspecified reactive species

Ji Ho Park,Eun Young Jeong,Ye Hyang Kim,So Yoon Cha,Ha Yeon Kim,Yeon Kyung Nam,Jin Seong Park,So Yeon Kim,Yoo Jin Lee,Jee Hee Yoon,Byeonghyeon So,Duyeol Kim,Minseon Kim,Youngjoo Byun,Yun Haeng Lee,Song Seok Shin,Joon Tae Park

Molecular cancer therapeutics 21:903-913 PubMed35312779

2022

Comprehensive Surfaceome Profiling to Identify and Validate Novel Cell-Surface Targets in Osteosarcoma.

Applications

Unspecified application

Species

Unspecified reactive species

Yifei Wang,Xiangjun Tian,Wendong Zhang,Zhongting Zhang,Rossana Lazcano,Pooja Hingorani,Michael E Roth,Jonathan D Gill,Douglas J Harrison,Zhaohui Xu,Sylvester Jusu,Sankaranarayanan Kannan,Jing Wang,Alexander J Lazar,Eric J Earley,Stephen W Erickson,Tara Gelb,Philip Huxley,Johanna Lahdenranta,Gemma Mudd,Raushan T Kurmasheva,Peter J Houghton,Malcolm A Smith,Edward A Kolb,Richard Gorlick

Oxidative medicine and cellular longevity 2021:5574130 PubMed34336102

2021

Elevated LINC00909 Promotes Tumor Progression of Ovarian Cancer via Regulating the miR-23b-3p/MRC2 Axis.

Applications

Unspecified application

Species

Unspecified reactive species

Xu Yang,Guixia Wu,Fan Yang,Lang He,Xiaohui Xie,Lan Li,Lei Yang,Yulan Ma,Qin Zhang,Jiao Chen,SiYing Zou,Qian Han,Yan Wang,Shuai Liu,Juan Li,Bin Han,KaiJiang Liu

International journal of molecular medicine 45:103-114 PubMed31746414

2019

Margatoxin mitigates CCl4‑induced hepatic fibrosis in mice via macrophage polarization, cytokine secretion and STAT signaling.

Applications

Unspecified application

Species

Unspecified reactive species

Bao-Ming Wu,Jun-Da Liu,Yuan-Hai Li,Jun Li

Nature 566:344-349 PubMed30700907

2019

PU.1 controls fibroblast polarization and tissue fibrosis.

Applications

Unspecified application

Species

Unspecified reactive species

Thomas Wohlfahrt,Simon Rauber,Steffen Uebe,Markus Luber,Alina Soare,Arif Ekici,Stefanie Weber,Alexandru-Emil Matei,Chih-Wei Chen,Christiane Maier,Emmanuel Karouzakis,Hans P Kiener,Elena Pachera,Clara Dees,Christian Beyer,Christoph Daniel,Kolja Gelse,Andreas E Kremer,Elisabeth Naschberger,Michael Stürzl,Falk Butter,Michael Sticherling,Susetta Finotto,Alexander Kreuter,Mark H Kaplan,Astrid Jüngel,Steffen Gay,Stephen L Nutt,David W Boykin,Gregory M K Poon,Oliver Distler,Georg Schett,Jörg H W Distler,Andreas Ramming

Scientific reports 8:7530 PubMed29760458

2018

Hyperglycemia does not affect tissue repair responses in shear stress-induced atherosclerotic plaques in ApoE-/- mice.

Applications

Unspecified application

Species

Unspecified reactive species

Sabrina Hsiung,Anki Knutsson,Jenifer Vallejo,Pontus Dunér,Suvi E Heinonen,Ann-Cathrine Jönsson-Rylander,Eva Bengtsson,Jan Nilsson,Anna Hultgårdh-Nilsson

Nature communications 8:16031 PubMed28685754

2017

Collagen-derived proline promotes pancreatic ductal adenocarcinoma cell survival under nutrient limited conditions.

Applications

IHC, WB

Species

Unspecified reactive species, Unspecified reactive species

Orianne Olivares,Jared R Mayers,Victoire Gouirand,Margaret E Torrence,Tristan Gicquel,Laurence Borge,Sophie Lac,Julie Roques,Marie-Noëlle Lavaut,Patrice Berthezène,Marion Rubis,Veronique Secq,Stéphane Garcia,Vincent Moutardier,Dominique Lombardo,Juan Lucio Iovanna,Richard Tomasini,Fabienne Guillaumond,Matthew G Vander Heiden,Sophie Vasseur

Molecular & cellular proteomics : MCP 16:770-785 PubMed28336715

2017

Monitoring Cell-surface -Glycoproteome Dynamics by Quantitative Proteomics Reveals Mechanistic Insights into Macrophage Differentiation.

Applications

Unspecified application

Species

Unspecified reactive species

Mathias Kalxdorf,Stephan Gade,H Christian Eberl,Marcus Bantscheff

Journal of immunology (Baltimore, Md. : 1950) 197:2229-38 PubMed27534550

2016

Folate Receptor β Regulates Integrin CD11b/CD18 Adhesion of a Macrophage Subset to Collagen.

Applications

Unspecified application

Species

Unspecified reactive species

Christian Machacek,Verena Supper,Vladimir Leksa,Goran Mitulovic,Andreas Spittler,Karel Drbal,Miloslav Suchanek,Anna Ohradanova-Repic,Hannes Stockinger

International journal of molecular sciences 15:15011-25 PubMed25162823

2014

MRC2 expression correlates with TGFβ1 and survival in hepatocellular carcinoma.

Applications

IHC-P

Species

Human

Xiaohong Gai,Kangsheng Tu,Zhongtang Lu,Xin Zheng
View all publications

Product promise

We are committed to supporting your work with high-quality reagents, and we're here for you every step of the way. In the unlikely event that one of our products does not perform as expected, you're protected by our Product Promise.
For full details, please see our Terms & Conditions

Please note: All products are 'FOR RESEARCH USE ONLY. NOT FOR USE IN DIAGNOSTIC OR THERAPEUTIC PROCEDURES'.

For licensing inquiries, please contact partnerships@abcam.com