JavaScript is disabled in your browser. Please enable JavaScript to view this website.
AB317323

Anti-MRC2/ENDO180 antibody [EPR29048-48]

  • BOND RX™ Validated
  • 20ul selling size
  • Recombinant
  • RabMAb
  • What is this?

Be the first to review this product! Submit a review

|

(0 Publication)

Rabbit Recombinant Monoclonal MRC2/ENDO180 antibody. Suitable for ICC/IF, Flow Cyt, WB, IHC-P and reacts with Human samples.

View Alternative Names

CD280, CLEC13E, ENDO180, KIAA0709, UPARAP, MRC2, C-type mannose receptor 2, C-type lectin domain family 13 member E, Endocytic receptor 180, Macrophage mannose receptor 2, Urokinase-type plasminogen activator receptor-associated protein, UPAR-associated protein, Urokinase receptor-associated protein

8 Images
Immunocytochemistry/ Immunofluorescence - Anti-MRC2/ENDO180 antibody [EPR29048-48] (AB317323)
  • ICC/IF

Supplier Data

Immunocytochemistry/ Immunofluorescence - Anti-MRC2/ENDO180 antibody [EPR29048-48] (AB317323)

Immunofluorescent analysis of 4% Paraformaldehyde-fixed, 0.1% TritonX-100 permeabilized MG 63 (human osteosarcoma fibroblast) cells labelling MRC2/ENDO180 with ab317323 at 1/100 (4.98 ug/ml) dilution, followed by ab150081 Goat Anti-Rabbit IgG H&L (Alexa Fluor® 488) preadsorbed antibody at 1/1000 2 ug/ml dilution (Green).

Confocal image showing cytoplasmic staining in MG 63 cell line (shown in green). The counterstain was observed in magenta. Nuclear DNA was labeled with DAPI (shown in blue).
Negative control : MCF7 (PMID : 17974964).
Image was taken with a confocal microscope(Leica-Microsystems, TCS SP8).

ab195889 Anti-alpha Tubulin mouse monoclonal antibody - Microtubule Marker (Alexa Fluor® 594) was used to counterstain tubulin at 1/200 2.5ug/ml dilution (Magenta). The Nuclear counterstain was DAPI (Blue).

Secondary antibody only control : Secondary antibody is ab150081 Goat Anti-Rabbit IgG H&L (Alexa Fluor® 488) preadsorbed at 1/1000 2 ug/ml dilution.

Immunohistochemistry (Formalin/PFA-fixed paraffin-embedded sections) - Anti-MRC2/ENDO180 antibody [EPR29048-48] (AB317323)
  • IHC-P

Supplier Data

Immunohistochemistry (Formalin/PFA-fixed paraffin-embedded sections) - Anti-MRC2/ENDO180 antibody [EPR29048-48] (AB317323)

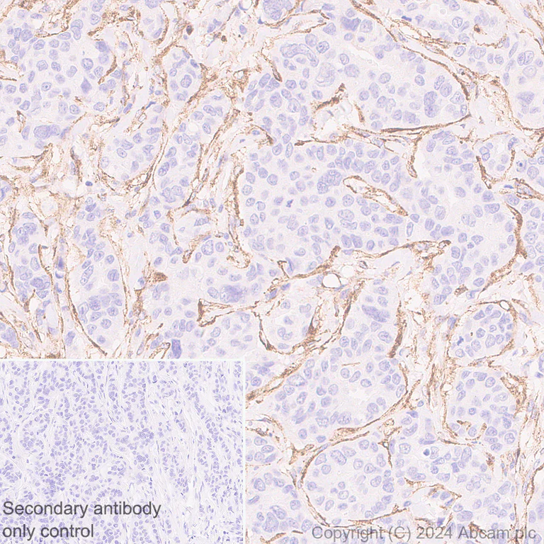
Immunohistochemical analysis of paraffin-embedded Human breast carcinoma tissue labeling MRC2/ENDO180 with ab317323 at 1/500 (0.996 ug/ml) dilution, followed by a ready to use LeicaDS9800 (Bond™ Polymer Refine Detection).

Positive staining on stromal cells of human breast carcinoma
(PMID 26316068).
The section was incubated with ab317323 for 30 mins at room temperature.
The immunostaining was performed on a Leica Biosystems BOND® RX instrument

Counterstained with Hematoxylin.

Secondary antibody only control : Secondary antibody is a ready to use LeicaDS9800 (Bond™ Polymer Refine Detection).

Heat mediated antigen retrieval was performed with Tris-EDTA buffer (pH 9.0, Epitope Retrieval Solution2) for 20 mins

Immunohistochemistry (Formalin/PFA-fixed paraffin-embedded sections) - Anti-MRC2/ENDO180 antibody [EPR29048-48] (AB317323)
  • IHC-P

Supplier Data

Immunohistochemistry (Formalin/PFA-fixed paraffin-embedded sections) - Anti-MRC2/ENDO180 antibody [EPR29048-48] (AB317323)

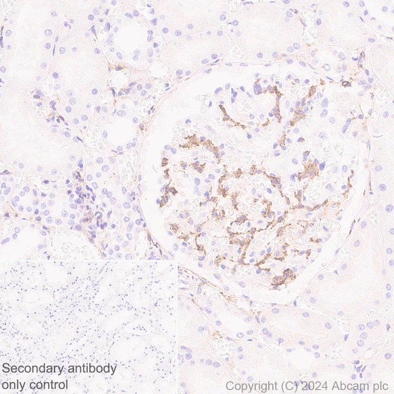
Immunohistochemical analysis of paraffin-embedded Human kidney tissue labeling MRC2/ENDO180 with ab317323 at 1/500 (0.996 ug/ml) dilution, followed by a ready to use LeicaDS9800 (Bond™ Polymer Refine Detection).

Positive staining in endothelial cells of human kidney
(PMID : 11156692).
The section was incubated with ab317323 for 30 mins at room temperature.
The immunostaining was performed on a Leica Biosystems BOND® RX instrument

Counterstained with Hematoxylin.

Secondary antibody only control : Secondary antibody is a ready to use LeicaDS9800 (Bond™ Polymer Refine Detection).

Heat mediated antigen retrieval was performed with Tris-EDTA buffer (pH 9.0, Epitope Retrieval Solution2) for 20 mins

Immunohistochemistry (Formalin/PFA-fixed paraffin-embedded sections) - Anti-MRC2/ENDO180 antibody [EPR29048-48] (AB317323)
  • IHC-P

Supplier Data

Immunohistochemistry (Formalin/PFA-fixed paraffin-embedded sections) - Anti-MRC2/ENDO180 antibody [EPR29048-48] (AB317323)

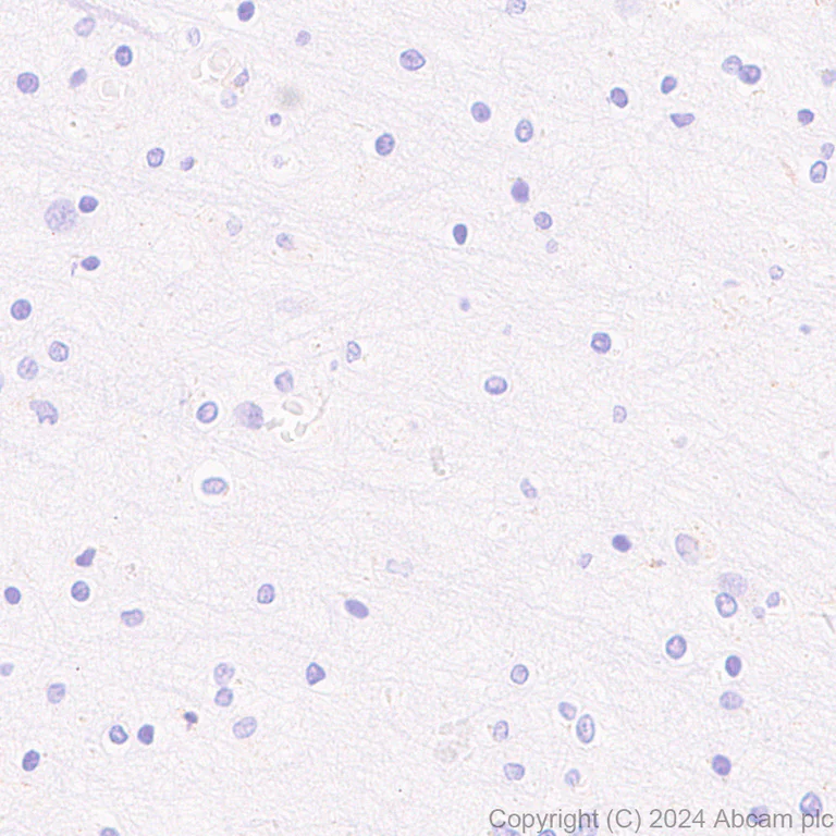
Immunohistochemical analysis of paraffin-embedded Human cerebrum tissue labeling MRC2/ENDO180 with ab317323 at 1/500 (0.996 ug/ml) dilution, followed by a ready to use LeicaDS9800 (Bond™ Polymer Refine Detection).

Low expression tissue : No staining on human cerebrum
(PMID : 8702911).
The section was incubated with ab317323 for 30 mins at room temperature.
The immunostaining was performed on a Leica Biosystems BOND® RX instrument

Counterstained with Hematoxylin.

Secondary antibody only control : Secondary antibody is a ready to use LeicaDS9800 (Bond™ Polymer Refine Detection).

Heat mediated antigen retrieval was performed with Tris-EDTA buffer (pH 9.0, Epitope Retrieval Solution2) for 20 mins

Immunohistochemistry (Formalin/PFA-fixed paraffin-embedded sections) - Anti-MRC2/ENDO180 antibody [EPR29048-48] (AB317323)
  • IHC-P

Supplier Data

Immunohistochemistry (Formalin/PFA-fixed paraffin-embedded sections) - Anti-MRC2/ENDO180 antibody [EPR29048-48] (AB317323)

Immunohistochemical analysis of paraffin-embedded Human tonsil tissue labeling MRC2/ENDO180 with ab317323 at 1/500 (0.996 ug/ml) dilution, followed by a ready to use LeicaDS9800 (Bond™ Polymer Refine Detection).

Positive staining in macrophages of human tonsil
(PMID : 8702911).
The section was incubated with ab317323 for 30 mins at room temperature.
The immunostaining was performed on a Leica Biosystems BOND® RX instrument

Counterstained with Hematoxylin.

Secondary antibody only control : Secondary antibody is a ready to use LeicaDS9800 (Bond™ Polymer Refine Detection).

Heat mediated antigen retrieval was performed with Tris-EDTA buffer (pH 9.0, Epitope Retrieval Solution2) for 20 mins

Flow Cytometry - Anti-MRC2/ENDO180 antibody [EPR29048-48] (AB317323)
  • Flow Cyt

Supplier Data

Flow Cytometry - Anti-MRC2/ENDO180 antibody [EPR29048-48] (AB317323)

Flow cytometric analysis of MCF7 (human breast adenocarcinoma epithelial cell, Left) / MG-63(human osteosarcoma fibroblast, Right) cells labelling MRC2/ENDO180 with ab317323 at 1/500 dilution (0.1 ug)/Red compared with a Rabbit monoclonal IgG (ab172730) (Black) isotype control and an unlabelled control (cells without incubation with primary antibody and secondary antibody) (Blue).

Goat Anti-Rabbit IgG (Alexa Fluor® 488, ab150081) at 1/5000 dilution was used as the secondary antibody.

Negative control : MCF7
Gated on viable cell.

Western blot - Anti-MRC2/ENDO180 antibody [EPR29048-48] (AB317323)
  • WB

Supplier Data

Western blot - Anti-MRC2/ENDO180 antibody [EPR29048-48] (AB317323)

Low expression : MCF7, HepG2.

In Western blot, Anti-GAPDH antibody [EPR16891] - Loading Control (ab181602) staining at 1/200000 dilution.

All lanes:

Western blot - Anti-MRC2/ENDO180 antibody [EPR29048-48] (ab317323) at 1/1000 dilution

Lane 1:

Saos-2 (human osteosarcoma epithelial cell) whole cell lysate at 20 µg

Lane 2:

MG-63 (human osteosarcoma fibroblast) whole cell lysate at 20 µg

Lane 3:

MCF7 (human breast adenocarcinoma epithelial cell) whole cell lysate at 20 µg

Lane 4:

HepG2 (human hepatocellar carcinoma epithelial cell) whole cell lysate at 20 µg

Lane 5:

U-2 OS (human bone osteosarcoma epithelial cell) whole cell lysate at 20 µg

Lane 6:

A-172 (human brain glioblastoma cell ) whole cell lysate at 20 µg

Secondary

All lanes:

Western blot - Goat Anti-Rabbit IgG H&L (HRP) (<a href='/en-us/products/secondary-antibodies/goat-rabbit-igg-h-l-hrp-ab97051'>ab97051</a>) at 1/20000 dilution

Observed band size: 180 kDa,36 kDa

false

Exposure time: 6s

Western blot - Anti-MRC2/ENDO180 antibody [EPR29048-48] (AB317323)
  • WB

Supplier Data

Western blot - Anti-MRC2/ENDO180 antibody [EPR29048-48] (AB317323)

Low expression tissue : human brain (PMID : 8702911).

The identity of the lower MW band at approximately 65 kDa (in lane 3) is unknown.

In Western blot, Anti-GAPDH antibody [EPR16891] - Loading Control (ab181602) staining at 1/200000 dilution.

Exposure time : Lane 1 : 103 seconds; Lanes 2-3 : 180 seconds.

All lanes:

Western blot - Anti-MRC2/ENDO180 antibody [EPR29048-48] (ab317323) at 1/1000 dilution

Lane 1:

Human liver cancer tissue lysate at 20 µg

Lane 2:

Human tonsil tissue lysate at 20 µg

Lane 3:

Human brain tissue lysate at 20 µg

Secondary

All lanes:

Goat Anti-Rabbit IgG (HRP) with minimal cross-reactivity with human IgG at 1/2000 dilution

Observed band size: 180 kDa,36 kDa

false

  • Carrier free

    Anti-MRC2/ENDO180 antibody [EPR29048-48] - BSA and Azide free

Key facts

Host species

Rabbit

Clonality

Monoclonal

Clone number

EPR29048-48

Isotype

IgG

Carrier free

No

Reacts with

Human

Applications

IHC-P, ICC/IF, Flow Cyt, WB

applications

Immunogen

The exact immunogen used to generate this antibody is proprietary information.

Reactivity data

{ "title": "Reactivity Data", "filters": { "stats": ["", "Species", "Dilution Info", "Notes"], "tabs": { "all-applications": {"fullname" : "All Applications", "shortname": "All Applications"}, "ICCIF" : {"fullname" : "Immunocytochemistry/ Immunofluorescence", "shortname":"ICC/IF"}, "FlowCyt" : {"fullname" : "Flow Cytometry", "shortname":"Flow Cyt"}, "WB" : {"fullname" : "Western blot", "shortname":"WB"}, "IHCP" : {"fullname" : "Immunohistochemistry (Formalin/PFA-fixed paraffin-embedded sections)", "shortname":"IHC-P"}, "IP" : {"fullname" : "Immunoprecipitation", "shortname":"IP"} }, "product-promise": { "all": "all", "testedAndGuaranteed": "tested", "guaranteed": "expected", "predicted": "predicted", "notRecommended": "not-recommended" } }, "values": { "Human": { "ICCIF-species-checked": "testedAndGuaranteed", "ICCIF-species-dilution-info": "1/100", "ICCIF-species-notes": "<p></p>", "FlowCyt-species-checked": "testedAndGuaranteed", "FlowCyt-species-dilution-info": "1/500", "FlowCyt-species-notes": "<p></p>", "WB-species-checked": "testedAndGuaranteed", "WB-species-dilution-info": "1/1000", "WB-species-notes": "<p></p>", "IHCP-species-checked": "testedAndGuaranteed", "IHCP-species-dilution-info": "1/500", "IHCP-species-notes": "<p></p> Perform heat-mediated antigen retrieval with Tris/EDTA buffer pH 9.0 before commencing with IHC staining protocol.", "IP-species-checked": "notRecommended", "IP-species-dilution-info": "", "IP-species-notes": "<p></p>" }, "Mouse": { "ICCIF-species-checked": "notRecommended", "ICCIF-species-dilution-info": "", "ICCIF-species-notes": "", "FlowCyt-species-checked": "notRecommended", "FlowCyt-species-dilution-info": "", "FlowCyt-species-notes": "", "WB-species-checked": "notRecommended", "WB-species-dilution-info": "", "WB-species-notes": "<p></p>", "IHCP-species-checked": "notRecommended", "IHCP-species-dilution-info": "", "IHCP-species-notes": "<p></p>", "IP-species-checked": "notRecommended", "IP-species-dilution-info": "", "IP-species-notes": "" }, "Rat": { "ICCIF-species-checked": "notRecommended", "ICCIF-species-dilution-info": "", "ICCIF-species-notes": "", "FlowCyt-species-checked": "notRecommended", "FlowCyt-species-dilution-info": "", "FlowCyt-species-notes": "", "WB-species-checked": "notRecommended", "WB-species-dilution-info": "", "WB-species-notes": "<p></p>", "IHCP-species-checked": "notRecommended", "IHCP-species-dilution-info": "", "IHCP-species-notes": "<p></p>", "IP-species-checked": "notRecommended", "IP-species-dilution-info": "", "IP-species-notes": "" } } }

Product details

Patented technology
Our RabMAb® technology is a patented hybridoma-based technology for making rabbit monoclonal antibodies. For details on our patents, please refer to RabMAb® patents.

What are the advantages of a recombinant monoclonal antibody?
This product is a recombinant monoclonal antibody, which offers several advantages including:

  • - High batch-to-batch consistency and reproducibility
  • - Improved sensitivity and specificity
  • - Long-term security of supply
  • - Animal-free batch production

For more information, read more on recombinant antibodies.

Properties and storage information

Form
Liquid
Purification technique
Affinity purification Protein A
Storage buffer
pH: 7.2 - 7.4 Preservative: 0.01% Sodium azide Constituents: PBS, 40% Glycerol (glycerin, glycerine), 0.05% BSA
Shipped at conditions
Blue Ice
Appropriate short-term storage duration
1-2 weeks
Appropriate short-term storage conditions
+4°C
Appropriate long-term storage conditions
-20°C
Aliquoting information
Upon delivery aliquot
Storage information
Avoid freeze / thaw cycle

Supplementary information

This supplementary information is collated from multiple sources and compiled automatically.

MRC2 also known as the Endo180 protein is a type 1 transmembrane receptor with a structure that includes a fibronectin type II domain eight C-type lectin domains and a cysteine-rich domain. This protein has an approximate molecular mass of 180 kDa. MRC2 is widely expressed in various human tissues with noticeable expression in fibroblasts macrophages and certain endothelial cells. The protein plays a role in endocytosis involving the binding and internalization of collagen and other extracellular matrix components.
Biological function summary

MRC2 serves several significant roles including its involvement in tissue remodeling cellular migration and extracellular matrix turnover. The protein forms part of a larger complex involving other matrix-interacting proteins allowing for efficient capture and presentation of ligands. MRC2 contributes to the regulation of collagen homeostasis through interaction with collagenase and facilitates uptake and processing of collagen.

Pathways

MRC2 takes part in cellular processes connected to collagen metabolism and tissue remodeling. It is particularly involved in pathways such as the receptor-mediated endocytosis pathway and collagen degradation pathway. Interactions between MRC2 and proteins like uPAR (urokinase receptor) highlight its role in plasminogen activation which is essential for extracellular matrix breakdown and cell migration.

MRC2 displays connection to tissue fibrosis and cancer metastasis. In fibrosis dysregulation of MRC2 can lead to excessive collagen deposition which contributes to disease progression. In cancer abnormal MRC2 activity associates with enhanced tumor cell invasion and metastasis. Additionally MRC2's interaction with uPAR suggests its involvement in tumor progression further emphasizing its potential as a therapeutic target for disease modulation.

Product protocols

For this product, it's our understanding that no specific protocols are required. You can visit:

Target data

May play a role as endocytotic lectin receptor displaying calcium-dependent lectin activity. Internalizes glycosylated ligands from the extracellular space for release in an endosomal compartment via clathrin-mediated endocytosis. May be involved in plasminogen activation system controlling the extracellular level of PLAUR/PLAU, and thus may regulate protease activity at the cell surface. May contribute to cellular uptake, remodeling and degradation of extracellular collagen matrices. May play a role during cancer progression as well as in other chronic tissue destructive diseases acting on collagen turnover. May participate in remodeling of extracellular matrix cooperating with the matrix metalloproteinases (MMPs).
See full target information MRC2

Product promise

We are committed to supporting your work with high-quality reagents, and we're here for you every step of the way. In the unlikely event that one of our products does not perform as expected, you're protected by our Product Promise.
For full details, please see our Terms & Conditions

Please note: All products are 'FOR RESEARCH USE ONLY. NOT FOR USE IN DIAGNOSTIC OR THERAPEUTIC PROCEDURES'.

For licensing inquiries, please contact partnerships@abcam.com