JavaScript is disabled in your browser. Please enable JavaScript to view this website.
AB317749

Anti-MRC2/ENDO180 antibody [EPR29048-78] - BSA and Azide free

Be the first to review this product! Submit a review

|

(0 Publication)

Rabbit Recombinant Monoclonal MRC2/ENDO180 antibody. Carrier free. Suitable for IHC-P, IP, WB and reacts with Human, Mouse, Rat samples.

View Alternative Names

CD280, CLEC13E, ENDO180, KIAA0709, UPARAP, MRC2, C-type mannose receptor 2, C-type lectin domain family 13 member E, Endocytic receptor 180, Macrophage mannose receptor 2, Urokinase-type plasminogen activator receptor-associated protein, UPAR-associated protein, Urokinase receptor-associated protein

13 Images
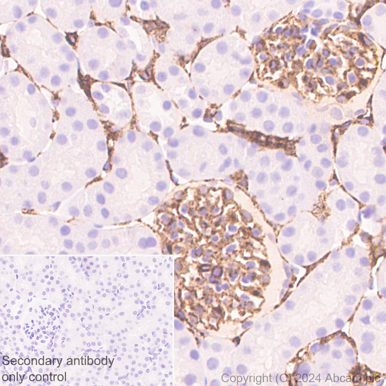
Immunohistochemistry (Formalin/PFA-fixed paraffin-embedded sections) - Anti-MRC2/ENDO180 antibody [EPR29048-78] - BSA and Azide free (AB317749)
  • IHC-P

Supplier Data

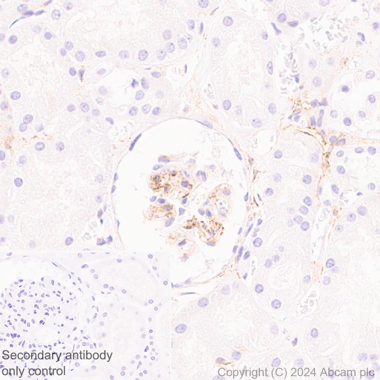
Immunohistochemistry (Formalin/PFA-fixed paraffin-embedded sections) - Anti-MRC2/ENDO180 antibody [EPR29048-78] - BSA and Azide free (AB317749)

This data was developed using ab317748, the same antibody clone in a different buffer formulation.

Immunohistochemical analysis of paraffin-embedded Human kidney tissue labeling MRC2/ENDO180 with ab317748 at 1/2000 (0.251 ug/ml) dilution, followed by a ready to use LeicaDS9800 (Bond™ Polymer Refine Detection).

Positive staining on stromal cells of human kidney (PMID : 11156692).
The section was incubated with ab317748 for 30 mins at room temperature.
The immunostaining was performed on a Leica Biosystems BOND® RX instrument

Counterstained with Hematoxylin.

Secondary antibody only control : Secondary antibody is a ready to use LeicaDS9800 (Bond™ Polymer Refine Detection).

Heat mediated antigen retrieval was performed with Tris-EDTA buffer (pH 9.0, Epitope Retrieval Solution2) for 20 mins

Immunohistochemistry (Formalin/PFA-fixed paraffin-embedded sections) - Anti-MRC2/ENDO180 antibody [EPR29048-78] - BSA and Azide free (AB317749)
  • IHC-P

Supplier Data

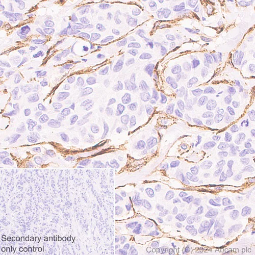
Immunohistochemistry (Formalin/PFA-fixed paraffin-embedded sections) - Anti-MRC2/ENDO180 antibody [EPR29048-78] - BSA and Azide free (AB317749)

This data was developed using ab317748, the same antibody clone in a different buffer formulation.

Immunohistochemical analysis of paraffin-embedded Human breast carcinoma tissue labeling MRC2/ENDO180 with ab317748 at 1/2000 (0.251 ug/ml) dilution, followed by a ready to use LeicaDS9800 (Bond™ Polymer Refine Detection).

Positive staining on stromal cells of human breast carcinoma (PMID 26316068).
The section was incubated with ab317748 for 30 mins at room temperature.
The immunostaining was performed on a Leica Biosystems BOND® RX instrument

Counterstained with Hematoxylin.

Secondary antibody only control : Secondary antibody is a ready to use LeicaDS9800 (Bond™ Polymer Refine Detection).

Heat mediated antigen retrieval was performed with Tris-EDTA buffer (pH 9.0, Epitope Retrieval Solution2) for 20 mins

Immunohistochemistry (Formalin/PFA-fixed paraffin-embedded sections) - Anti-MRC2/ENDO180 antibody [EPR29048-78] - BSA and Azide free (AB317749)
  • IHC-P

Supplier Data

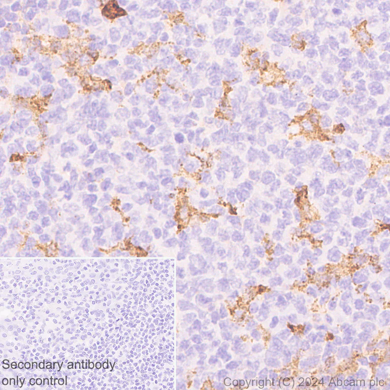
Immunohistochemistry (Formalin/PFA-fixed paraffin-embedded sections) - Anti-MRC2/ENDO180 antibody [EPR29048-78] - BSA and Azide free (AB317749)

This data was developed using ab317748, the same antibody clone in a different buffer formulation.

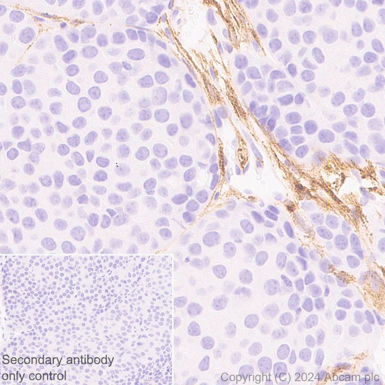
Immunohistochemical analysis of paraffin-embedded Human tonsil tissue labeling MRC2/ENDO180 with ab317748 at 1/2000 (0.251 ug/ml) dilution, followed by a ready to use LeicaDS9800 (Bond™ Polymer Refine Detection).

Positive staining on human tonsil (PMID : 8702911).
The section was incubated with ab317748 for 30 mins at room temperature.
The immunostaining was performed on a Leica Biosystems BOND® RX instrument

Counterstained with Hematoxylin.

Secondary antibody only control : Secondary antibody is a ready to use LeicaDS9800 (Bond™ Polymer Refine Detection).

Heat mediated antigen retrieval was performed with Tris-EDTA buffer (pH 9.0, Epitope Retrieval Solution2) for 20 mins

Immunohistochemistry (Formalin/PFA-fixed paraffin-embedded sections) - Anti-MRC2/ENDO180 antibody [EPR29048-78] - BSA and Azide free (AB317749)
  • IHC-P

Supplier Data

Immunohistochemistry (Formalin/PFA-fixed paraffin-embedded sections) - Anti-MRC2/ENDO180 antibody [EPR29048-78] - BSA and Azide free (AB317749)

This data was developed using ab317748, the same antibody clone in a different buffer formulation.

Immunohistochemical analysis of paraffin-embedded Human cerebrum tissue labeling MRC2/ENDO180 with ab317748 at 1/2000 (0.251 ug/ml) dilution, followed by a ready to use LeicaDS9800 (Bond™ Polymer Refine Detection).

Low expression tissue : weak staining on endothelium cells of human cerebrum (PMID : 8702911).
The section was incubated with ab317748 for 30 mins at room temperature.
The immunostaining was performed on a Leica Biosystems BOND® RX instrument

Counterstained with Hematoxylin.

Secondary antibody only control : Secondary antibody is a ready to use LeicaDS9800 (Bond™ Polymer Refine Detection).

Heat mediated antigen retrieval was performed with Tris-EDTA buffer (pH 9.0, Epitope Retrieval Solution2) for 20 mins

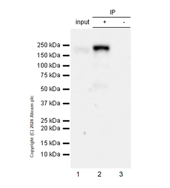
Immunoprecipitation - Anti-MRC2/ENDO180 antibody [EPR29048-78] - BSA and Azide free (AB317749)
  • IP

Supplier Data

Immunoprecipitation - Anti-MRC2/ENDO180 antibody [EPR29048-78] - BSA and Azide free (AB317749)

This data was developed using ab317748, the same antibody clone in a different buffer formulation.

MRC2/ENDO180 was immunoprecipitated from 0.35 mg A-172 (human brain glioblastoma cell ) whole cell lysate with ab317748 at 1/30 dilution (2ug in 0.35mg lysates). Western blot was performed on the immunoprecipitate using ab317748 at 1/1000 dilution. VeriBlot for IP secondary antibody(HRP)(ab131366) was used at 1/5000 dilution.

Lane 1 : A-172 (human brain glioblastoma cell ) whole cell lysate
Lane 2 : ab317748 IP in A-172 (human brain glioblastoma cell ) whole cell lysate
Lane 3 : Rabbit monoclonal IgG (ab172730) instead of ab317748 in A-172 whole cell lysate

All lanes:

Immunoprecipitation - Anti-MRC2/ENDO180 antibody [EPR29048-78] (<a href='/en-us/products/primary-antibodies/mrc2-endo180-antibody-epr29048-78-ab317748'>ab317748</a>) at 1/30 dilution

All lanes:

A-172 (human brain glioblastoma cell) whole cell lysate

Secondary

All lanes:

Immunoprecipitation - VeriBlot for IP Detection Reagent (HRP) (<a href='/en-us/products/reagents/veriblot-for-ip-detection-reagent-hrp-ab131366'>ab131366</a>) at 1/5000 dilution

false

Exposure time: 32s

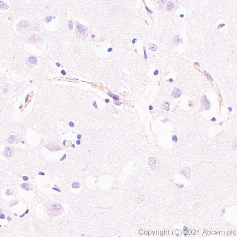
Immunohistochemistry (Formalin/PFA-fixed paraffin-embedded sections) - Anti-MRC2/ENDO180 antibody [EPR29048-78] - BSA and Azide free (AB317749)
  • IHC-P

Supplier Data

Immunohistochemistry (Formalin/PFA-fixed paraffin-embedded sections) - Anti-MRC2/ENDO180 antibody [EPR29048-78] - BSA and Azide free (AB317749)

This data was developed using ab317748, the same antibody clone in a different buffer formulation.

Immunohistochemical analysis of paraffin-embedded Mouse cerebrum tissue labeling MRC2/ENDO180 with ab317748 at 1/2000 (0.251 ug/ml) dilution, followed by a ready to use LeicaDS9800 (Bond™ Polymer Refine Detection).

Low expression tissue : weak staining on endothelium cells of mouse cerebrum.
The section was incubated with ab317748 for 30 mins at room temperature.
The immunostaining was performed on a Leica Biosystems BOND® RX instrument

Counterstained with Hematoxylin.

Secondary antibody only control : Secondary antibody is a ready to use LeicaDS9800 (Bond™ Polymer Refine Detection).

Heat mediated antigen retrieval was performed with Tris-EDTA buffer (pH 9.0, Epitope Retrieval Solution2) for 20 mins

Immunohistochemistry (Formalin/PFA-fixed paraffin-embedded sections) - Anti-MRC2/ENDO180 antibody [EPR29048-78] - BSA and Azide free (AB317749)
  • IHC-P

Supplier Data

Immunohistochemistry (Formalin/PFA-fixed paraffin-embedded sections) - Anti-MRC2/ENDO180 antibody [EPR29048-78] - BSA and Azide free (AB317749)

This data was developed using ab317748, the same antibody clone in a different buffer formulation.

Immunohistochemical analysis of paraffin-embedded Mouse breast carcinoma tissue labeling MRC2/ENDO180 with ab317748 at 1/2000 (0.251 ug/ml) dilution, followed by a ready to use LeicaDS9800 (Bond™ Polymer Refine Detection).

Positive staining on stromal cells of mouse breast carcinoma.
The section was incubated with ab317748 for 30 mins at room temperature.
The immunostaining was performed on a Leica Biosystems BOND® RX instrument

Counterstained with Hematoxylin.

Secondary antibody only control : Secondary antibody is a ready to use LeicaDS9800 (Bond™ Polymer Refine Detection).

Heat mediated antigen retrieval was performed with Tris-EDTA buffer (pH 9.0, Epitope Retrieval Solution2) for 20 mins

Immunohistochemistry (Formalin/PFA-fixed paraffin-embedded sections) - Anti-MRC2/ENDO180 antibody [EPR29048-78] - BSA and Azide free (AB317749)
  • IHC-P

Supplier Data

Immunohistochemistry (Formalin/PFA-fixed paraffin-embedded sections) - Anti-MRC2/ENDO180 antibody [EPR29048-78] - BSA and Azide free (AB317749)

This data was developed using ab317748, the same antibody clone in a different buffer formulation.

Immunohistochemical analysis of paraffin-embedded Rat kidney tissue labeling MRC2/ENDO180 with ab317748 at 1/2000 (0.251 ug/ml) dilution, followed by a ready to use LeicaDS9800 (Bond™ Polymer Refine Detection).

Positive staining on stromal cells of rat kidney.
The section was incubated with ab317748 for 30 mins at room temperature.
The immunostaining was performed on a Leica Biosystems BOND® RX instrument

Counterstained with Hematoxylin.

Secondary antibody only control : Secondary antibody is a ready to use LeicaDS9800 (Bond™ Polymer Refine Detection).

Heat mediated antigen retrieval was performed with Tris-EDTA buffer (pH 9.0, Epitope Retrieval Solution2) for 20 mins

Immunohistochemistry (Formalin/PFA-fixed paraffin-embedded sections) - Anti-MRC2/ENDO180 antibody [EPR29048-78] - BSA and Azide free (AB317749)
  • IHC-P

Supplier Data

Immunohistochemistry (Formalin/PFA-fixed paraffin-embedded sections) - Anti-MRC2/ENDO180 antibody [EPR29048-78] - BSA and Azide free (AB317749)

This data was developed using ab317748, the same antibody clone in a different buffer formulation.

Immunohistochemical analysis of paraffin-embedded Mouse kidney tissue labeling MRC2/ENDO180 with ab317748 at 1/2000 (0.251 ug/ml) dilution, followed by a ready to use LeicaDS9800 (Bond™ Polymer Refine Detection).

Positive staining on stromal cells of mouse kidney.
The section was incubated with ab317748 for 30 mins at room temperature.
The immunostaining was performed on a Leica Biosystems BOND® RX instrument

Counterstained with Hematoxylin.

Secondary antibody only control : Secondary antibody is a ready to use LeicaDS9800 (Bond™ Polymer Refine Detection).

Heat mediated antigen retrieval was performed with Tris-EDTA buffer (pH 9.0, Epitope Retrieval Solution2) for 20 mins

Immunohistochemistry (Formalin/PFA-fixed paraffin-embedded sections) - Anti-MRC2/ENDO180 antibody [EPR29048-78] - BSA and Azide free (AB317749)
  • IHC-P

Supplier Data

Immunohistochemistry (Formalin/PFA-fixed paraffin-embedded sections) - Anti-MRC2/ENDO180 antibody [EPR29048-78] - BSA and Azide free (AB317749)

This data was developed using ab317748, the same antibody clone in a different buffer formulation.

Immunohistochemical analysis of paraffin-embedded Rat cerebrum tissue labeling MRC2/ENDO180 with ab317748 at 1/2000 (0.251 ug/ml) dilution, followed by a ready to use LeicaDS9800 (Bond™ Polymer Refine Detection).

Low expression tissue : weak staining on endothelium cells of rat cerebrum.
The section was incubated with ab317748 for 30 mins at room temperature.
The immunostaining was performed on a Leica Biosystems BOND® RX instrument

Counterstained with Hematoxylin.

Secondary antibody only control : Secondary antibody is a ready to use LeicaDS9800 (Bond™ Polymer Refine Detection).

Heat mediated antigen retrieval was performed with Tris-EDTA buffer (pH 9.0, Epitope Retrieval Solution2) for 20 mins

Western blot - Anti-MRC2/ENDO180 antibody [EPR29048-78] - BSA and Azide free (AB317749)
  • WB

Supplier Data

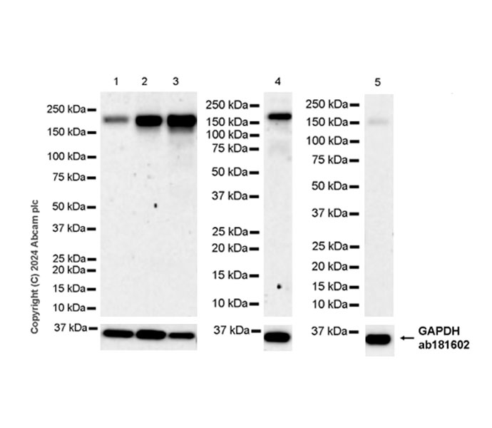
Western blot - Anti-MRC2/ENDO180 antibody [EPR29048-78] - BSA and Azide free (AB317749)

This data was developed using ab317748, the same antibody clone in a different buffer formulation.

Low expression : MCF7, HepG2.

In Western blot, Anti-GAPDH antibody [EPR16891] - Loading Control (ab181602) staining at 1/200000 dilution.

Exposure time : Lanes 1-4 : 26 seconds; Lanes 5-6 : 8 seconds.

All lanes:

Western blot - Anti-MRC2/ENDO180 antibody [EPR29048-78] (<a href='/en-us/products/primary-antibodies/mrc2-endo180-antibody-epr29048-78-ab317748'>ab317748</a>) at 1/1000 dilution

Lane 1:

Saos-2 (human osteosarcoma epithelial cell) whole cell lysate at 20 µg

Lane 2:

MG-63 (human osteosarcoma fibroblast) whole cell lysate at 20 µg

Lane 3:

MCF7 (human breast adenocarcinoma epithelial cell) whole cell lysate at 20 µg

Lane 4:

HepG2 (human hepatocellar carcinoma epithelial cell) whole cell lysate at 20 µg

Lane 5:

U-2 OS (human bone osteosarcoma epithelial cell) whole cell lysate at 20 µg

Lane 6:

A-172 (human brain glioblastoma cell) whole cell lysate at 20 µg

Secondary

All lanes:

Western blot - Goat Anti-Rabbit IgG H&L (HRP) (<a href='/en-us/products/secondary-antibodies/goat-rabbit-igg-h-l-hrp-ab97051'>ab97051</a>) at 1/20000 dilution

Observed band size: 180 kDa,36 kDa

false

Western blot - Anti-MRC2/ENDO180 antibody [EPR29048-78] - BSA and Azide free (AB317749)
  • WB

Supplier Data

Western blot - Anti-MRC2/ENDO180 antibody [EPR29048-78] - BSA and Azide free (AB317749)

This data was developed using ab317748, the same antibody clone in a different buffer formulation.

Low expression tissue : brain (PMID : 8702911).

In Western blot, Anti-GAPDH antibody [EPR16891] - Loading Control (ab181602) staining at 1/200000 dilution.

All lanes:

Western blot - Anti-MRC2/ENDO180 antibody [EPR29048-78] (<a href='/en-us/products/primary-antibodies/mrc2-endo180-antibody-epr29048-78-ab317748'>ab317748</a>) at 1/1000 dilution

Lane 1:

Human liver cancer tissue lysate at 20 µg

Lane 2:

Human tonsil tissue lysate at 20 µg

Lane 3:

Human breast tissue lysate at 20 µg

Lane 4:

Human kidney tissue lysate at 20 µg

Lane 5:

Human brain tissue lysate at 20 µg

Secondary

All lanes:

Goat Anti-Rabbit IgG (HRP) with minimal cross-reactivity with human IgG at 1/2000 dilution

Observed band size: 180 kDa,36 kDa

false

Exposure time: 180s

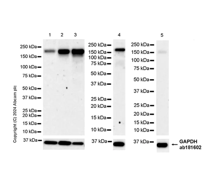
Western blot - Anti-MRC2/ENDO180 antibody [EPR29048-78] - BSA and Azide free (AB317749)
  • WB

Supplier Data

Western blot - Anti-MRC2/ENDO180 antibody [EPR29048-78] - BSA and Azide free (AB317749)

This data was developed using ab317748, the same antibody clone in a different buffer formulation.

Low expression tissue : brain (PMID : 8702911).

In Western blot, Anti-GAPDH antibody [EPR16891] - Loading Control (ab181602) staining at 1/200000 dilution.

Exposure time : Lanes 1-3 : 180 seconds; Lane 4 : 15 seconds; Lanes 5-7 : 59 seconds.

All lanes:

Western blot - Anti-MRC2/ENDO180 antibody [EPR29048-78] (<a href='/en-us/products/primary-antibodies/mrc2-endo180-antibody-epr29048-78-ab317748'>ab317748</a>) at 1/1000 dilution

Lane 1:

Mouse breast tissue lysate at 20 µg

Lane 2:

Mouse brain tissue lysate at 20 µg

Lane 3:

Mouse spleen tissue lysate at 20 µg

Lane 4:

Mouse lung tissue lysate at 20 µg

Lane 5:

Rat kidney tissue lysate at 20 µg

Lane 6:

Rat spleen tissue lysate at 20 µg

Lane 7:

Rat brain tissue lysate at 20 µg

Secondary

All lanes:

Western blot - Goat Anti-Rabbit IgG H&L (HRP) (<a href='/en-us/products/secondary-antibodies/goat-rabbit-igg-h-l-hrp-ab97051'>ab97051</a>) at 1/20000 dilution

Observed band size: 180 kDa,36 kDa

false

Key facts

Host species

Rabbit

Clonality

Monoclonal

Clone number

EPR29048-78

Isotype

IgG

Carrier free

Yes

Reacts with

Human, Mouse, Rat

Applications

IHC-P, WB, IP

applications

Immunogen

The exact immunogen used to generate this antibody is proprietary information.

Reactivity data

{ "title": "Reactivity Data", "filters": { "stats": ["", "Species", "Dilution Info", "Notes"], "tabs": { "all-applications": {"fullname" : "All Applications", "shortname": "All Applications"}, "IHCP" : {"fullname" : "Immunohistochemistry (Formalin/PFA-fixed paraffin-embedded sections)", "shortname":"IHC-P"}, "IP" : {"fullname" : "Immunoprecipitation", "shortname":"IP"}, "WB" : {"fullname" : "Western blot", "shortname":"WB"}, "FlowCyt" : {"fullname" : "Flow Cytometry", "shortname":"Flow Cyt"}, "ICCIF" : {"fullname" : "Immunocytochemistry/ Immunofluorescence", "shortname":"ICC/IF"} }, "product-promise": { "all": "all", "testedAndGuaranteed": "tested", "guaranteed": "expected", "predicted": "predicted", "notRecommended": "not-recommended" } }, "values": { "Human": { "IHCP-species-checked": "testedAndGuaranteed", "IHCP-species-dilution-info": "", "IHCP-species-notes": "<p></p>", "IP-species-checked": "testedAndGuaranteed", "IP-species-dilution-info": "", "IP-species-notes": "<p></p>", "WB-species-checked": "testedAndGuaranteed", "WB-species-dilution-info": "", "WB-species-notes": "<p></p>", "FlowCyt-species-checked": "notRecommended", "FlowCyt-species-dilution-info": "", "FlowCyt-species-notes": "<p></p>", "ICCIF-species-checked": "notRecommended", "ICCIF-species-dilution-info": "", "ICCIF-species-notes": "<p></p>" }, "Mouse": { "IHCP-species-checked": "testedAndGuaranteed", "IHCP-species-dilution-info": "", "IHCP-species-notes": "<p></p>", "IP-species-checked": "guaranteed", "IP-species-dilution-info": "", "IP-species-notes": "", "WB-species-checked": "testedAndGuaranteed", "WB-species-dilution-info": "", "WB-species-notes": "<p></p>", "FlowCyt-species-checked": "notRecommended", "FlowCyt-species-dilution-info": "", "FlowCyt-species-notes": "", "ICCIF-species-checked": "notRecommended", "ICCIF-species-dilution-info": "", "ICCIF-species-notes": "" }, "Rat": { "IHCP-species-checked": "testedAndGuaranteed", "IHCP-species-dilution-info": "", "IHCP-species-notes": "<p></p>", "IP-species-checked": "guaranteed", "IP-species-dilution-info": "", "IP-species-notes": "", "WB-species-checked": "testedAndGuaranteed", "WB-species-dilution-info": "", "WB-species-notes": "<p></p>", "FlowCyt-species-checked": "notRecommended", "FlowCyt-species-dilution-info": "", "FlowCyt-species-notes": "", "ICCIF-species-checked": "notRecommended", "ICCIF-species-dilution-info": "", "ICCIF-species-notes": "" } } }

Product details

ab317749 is the carrier-free version of ab317748.

Patented technology
Our RabMAb® technology is a patented hybridoma-based technology for making rabbit monoclonal antibodies. For details on our patents, please refer to RabMAb® patents.

What are the advantages of a recombinant monoclonal antibody?
This product is a recombinant monoclonal antibody, which offers several advantages including:

  • - High batch-to-batch consistency and reproducibility
  • - Improved sensitivity and specificity
  • - Long-term security of supply
  • - Animal-free batch production

For more information, read more on recombinant antibodies.

Conjugation ready
Our carrier-free antibodies are typically supplied in a PBS-only formulation, purified and free of BSA, sodium azide and glycerol. This conjugation-ready format is designed for use with fluorochromes, metal isotopes, oligonucleotides, and enzymes, which makes them ideal for antibody labelling, functional and cell-based assays, flow-based assays (e.g. mass cytometry) and Multiplex Imaging applications.

Use our conjugation kits for antibody conjugates that are ready-to-use in as little as 20 minutes with 1 minute hands-on-time and 100% antibody recovery: available for fluorescent dyes, HRP, biotin and gold.

Compatibility
This product is compatible with the Maxpar® Antibody Labeling Kit from Fluidigm, without the need for antibody preparation. Maxpar® is a trademark of Fluidigm Canada Inc.

Properties and storage information

Form
Liquid
Purification technique
Affinity purification Protein A
Storage buffer
pH: 7.2 - 7.4 Constituents: PBS
Shipped at conditions
Blue Ice
Appropriate short-term storage conditions
+4°C
Appropriate long-term storage conditions
+4°C

Supplementary information

This supplementary information is collated from multiple sources and compiled automatically.

MRC2 also known as the Endo180 protein is a type 1 transmembrane receptor with a structure that includes a fibronectin type II domain eight C-type lectin domains and a cysteine-rich domain. This protein has an approximate molecular mass of 180 kDa. MRC2 is widely expressed in various human tissues with noticeable expression in fibroblasts macrophages and certain endothelial cells. The protein plays a role in endocytosis involving the binding and internalization of collagen and other extracellular matrix components.
Biological function summary

MRC2 serves several significant roles including its involvement in tissue remodeling cellular migration and extracellular matrix turnover. The protein forms part of a larger complex involving other matrix-interacting proteins allowing for efficient capture and presentation of ligands. MRC2 contributes to the regulation of collagen homeostasis through interaction with collagenase and facilitates uptake and processing of collagen.

Pathways

MRC2 takes part in cellular processes connected to collagen metabolism and tissue remodeling. It is particularly involved in pathways such as the receptor-mediated endocytosis pathway and collagen degradation pathway. Interactions between MRC2 and proteins like uPAR (urokinase receptor) highlight its role in plasminogen activation which is essential for extracellular matrix breakdown and cell migration.

MRC2 displays connection to tissue fibrosis and cancer metastasis. In fibrosis dysregulation of MRC2 can lead to excessive collagen deposition which contributes to disease progression. In cancer abnormal MRC2 activity associates with enhanced tumor cell invasion and metastasis. Additionally MRC2's interaction with uPAR suggests its involvement in tumor progression further emphasizing its potential as a therapeutic target for disease modulation.

Product protocols

For this product, it's our understanding that no specific protocols are required. You can visit:

Target data

May play a role as endocytotic lectin receptor displaying calcium-dependent lectin activity. Internalizes glycosylated ligands from the extracellular space for release in an endosomal compartment via clathrin-mediated endocytosis. May be involved in plasminogen activation system controlling the extracellular level of PLAUR/PLAU, and thus may regulate protease activity at the cell surface. May contribute to cellular uptake, remodeling and degradation of extracellular collagen matrices. May play a role during cancer progression as well as in other chronic tissue destructive diseases acting on collagen turnover. May participate in remodeling of extracellular matrix cooperating with the matrix metalloproteinases (MMPs).
See full target information MRC2

Product promise

We are committed to supporting your work with high-quality reagents, and we're here for you every step of the way. In the unlikely event that one of our products does not perform as expected, you're protected by our Product Promise.
For full details, please see our Terms & Conditions

Please note: All products are 'FOR RESEARCH USE ONLY. NOT FOR USE IN DIAGNOSTIC OR THERAPEUTIC PROCEDURES'.

For licensing inquiries, please contact partnerships@abcam.com