JavaScript is disabled in your browser. Please enable JavaScript to view this website.
AB230381

Anti-Mre11 antibody [EPR21027] - BSA and Azide free

Be the first to review this product! Submit a review

|

(1 Publication)

Rabbit Recombinant Monoclonal MRE11 antibody. Carrier free. Suitable for IHC-P, ChIP, WB, Flow Cyt (Intra) and reacts with Mouse, Human, Rat samples. Cited in 1 publication.

View Alternative Names

HNGS1, MRE11A, MRE11, Double-strand break repair protein MRE11, Meiotic recombination 11 homolog 1, Meiotic recombination 11 homolog A, MRE11 homolog 1, MRE11 homolog A

7 Images
Flow Cytometry (Intracellular) - Anti-Mre11 antibody [EPR21027] - BSA and Azide free (AB230381)
  • Flow Cyt (Intra)

Supplier Data

Flow Cytometry (Intracellular) - Anti-Mre11 antibody [EPR21027] - BSA and Azide free (AB230381)

Intracellular flow cytometric analysis of 4% paraformaldehyde-fixed, 90% methanol permeabilized �K562 (Human human chronic myelogenous leukemia cell line from bone marrow) cell line labeling Mre11 with ab208020 at 1/500 dilution (red) compared with a Rabbit IgG, monoclonal [EPR25A] - Isotype Control (ab172730) (black) and an unlabelled control (cells without incubation with primary antibody and secondary antibody) (blue). Goat Anti-Rabbit IgG H&L (Alexa Fluor� 488) at 1/2000 dilution was used as the secondary antibody.

This data was developed using the same antibody clone in a different buffer formulation containing PBS, BSA, glycerol, and sodium azide (ab208020).

Immunohistochemistry (Formalin/PFA-fixed paraffin-embedded sections) - Anti-Mre11 antibody [EPR21027] - BSA and Azide free (AB230381)
  • IHC-P

Supplier Data

Immunohistochemistry (Formalin/PFA-fixed paraffin-embedded sections) - Anti-Mre11 antibody [EPR21027] - BSA and Azide free (AB230381)

Immunohistochemical analysis of paraffin-embedded human endometrial carcinoma tissue labeling Mre11 with ab208020 at 1/2000 dilution, followed by Rabbit specific IHC polymer detection kit HRP/DAB (ab209101), ready to use. Nuclear staining in human endometrial carcinoma is observed (PMID : 24927325). Counter stained with Hematoxylin.

Secondary antibody only control : Used PBS instead of primary antibody, secondary antibody is Rabbit specific IHC polymer detection kit HRP/DAB (ab209101), ready to use.

This data was developed using the same antibody clone in a different buffer formulation containing PBS, BSA, glycerol, and sodium azide (ab208020).

Heat mediated antigen retrieval was performed before commencing with IHC staining protocol.

Immunohistochemistry (Formalin/PFA-fixed paraffin-embedded sections) - Anti-Mre11 antibody [EPR21027] - BSA and Azide free (AB230381)
  • IHC-P

Supplier Data

Immunohistochemistry (Formalin/PFA-fixed paraffin-embedded sections) - Anti-Mre11 antibody [EPR21027] - BSA and Azide free (AB230381)

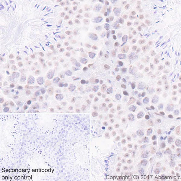
Immunohistochemical analysis of paraffin-embedded human colon tissue labeling Mre11 with ab208020 at 1/2000 dilution, followed by Rabbit specific IHC polymer detection kit HRP/DAB (ab209101), ready to use. Nuclear staining in human colon tissue is observed (PMID : 25447316). Counter stained with Hematoxylin.

Secondary antibody only control : Used PBS instead of primary antibody, secondary antibody is Rabbit specific IHC polymer detection kit HRP/DAB (ab209101), ready to use.

This data was developed using the same antibody clone in a different buffer formulation containing PBS, BSA, glycerol, and sodium azide (ab230381).

Heat mediated antigen retrieval was performed before commencing with IHC staining protocol.

Immunohistochemistry (Formalin/PFA-fixed paraffin-embedded sections) - Anti-Mre11 antibody [EPR21027] - BSA and Azide free (AB230381)
  • IHC-P

Supplier Data

Immunohistochemistry (Formalin/PFA-fixed paraffin-embedded sections) - Anti-Mre11 antibody [EPR21027] - BSA and Azide free (AB230381)

Immunohistochemical analysis of paraffin-embedded human breast carcinoma tissue labeling Mre11 with ab208020 at 1/2000 dilution, followed by Goat Anti-Rabbit IgG H&L (HRP polymer) (ab214880) Ready to use. Counter stained with Hematoxylin. Secondary antibody only control : Used PBS instead of primary antibody, secondary antibody Goat Anti-Rabbit IgG H&L (HRP polymer) (ab214880) Heat mediated antigen retrieval was performed using ab93684 (Tris/EDTA buffer, pH 9.0) Positive staining on human breast carcinoma. The section was incubated with ab208020 at 4°C overnight. This data was developed using the same antibody clone in a different buffer formulation containing PBS, BSA, glycerol, and sodium azide (ab208020).

ChIP - Anti-Mre11 antibody [EPR21027] - BSA and Azide free (AB230381)
  • ChIP

Supplier Data

ChIP - Anti-Mre11 antibody [EPR21027] - BSA and Azide free (AB230381)

Chromatin was prepared from non-treated HeLa cells or HeLa cells treated with 1% Methyl methanesulfonate for 1 hour according to the Abcam X-ChIP protocol. Cells were fixed with formaldehyde for 10 minutes. The ChIP was performed with 25 µg of chromatin, 5 µg of ab208020 (blue), and 20 µL of protein A/G sepharose beads slurry (10 µL of sepharose A beads + 10 µL of sepharose G beads). 5 μg of rabbit normal IgG was added to the beads control (yellow). The immunoprecipitated DNA was quantified by real time PCR (Sybr green approach).

This data was developed using the same antibody clone in a different buffer formulation containing PBS, BSA, glycerol, and sodium azide (ab208020).

Immunohistochemistry (Formalin/PFA-fixed paraffin-embedded sections) - Anti-Mre11 antibody [EPR21027] - BSA and Azide free (AB230381)
  • IHC-P

Supplier Data

Immunohistochemistry (Formalin/PFA-fixed paraffin-embedded sections) - Anti-Mre11 antibody [EPR21027] - BSA and Azide free (AB230381)

Immunohistochemical analysis of paraffin-embedded mouse testis tissue labeling Mre11 with ab208020 at 1/2000 dilution, followed by Rabbit specific IHC polymer detection kit HRP/DAB (ab209101), ready to use. Nuclear staining in mouse testis is observed (PMID : 10508516). Counter stained with Hematoxylin.

Secondary antibody only control : Used PBS instead of primary antibody, secondary antibody is Rabbit specific IHC polymer detection kit HRP/DAB (ab209101), ready to use.

This data was developed using the same antibody clone in a different buffer formulation containing PBS, BSA, glycerol, and sodium azide (ab208020).

Heat mediated antigen retrieval was performed before commencing with IHC staining protocol.

Immunohistochemistry (Formalin/PFA-fixed paraffin-embedded sections) - Anti-Mre11 antibody [EPR21027] - BSA and Azide free (AB230381)
  • IHC-P

Supplier Data

Immunohistochemistry (Formalin/PFA-fixed paraffin-embedded sections) - Anti-Mre11 antibody [EPR21027] - BSA and Azide free (AB230381)

Immunohistochemical analysis of paraffin-embedded rat colon tissue labeling Mre11 with ab208020 at 1/2000 dilution, followed by Rabbit specific IHC polymer detection kit HRP/DAB (ab209101), ready to use. Nuclear staining in rat colon tissue is observed (PMID : 28357369). Counter stained with Hematoxylin.

Secondary antibody only control : Used PBS instead of primary antibody, secondary antibody is Rabbit specific IHC polymer detection kit HRP/DAB (ab209101), ready to use.

This data was developed using the same antibody clone in a different buffer formulation containing PBS, BSA, glycerol, and sodium azide (ab208020).

Heat mediated antigen retrieval was performed before commencing with IHC staining protocol.

Key facts

Host species

Rabbit

Clonality

Monoclonal

Clone number

EPR21027

Isotype

IgG

Carrier free

Yes

Reacts with

Mouse, Rat, Human

Applications

ChIP, Flow Cyt (Intra), WB, IHC-P

applications

Immunogen

The exact immunogen used to generate this antibody is proprietary information.

Reactivity data

{ "title": "Reactivity Data", "filters": { "stats": ["", "Species", "Dilution Info", "Notes"], "tabs": { "all-applications": {"fullname" : "All Applications", "shortname": "All Applications"}, "IHCP" : {"fullname" : "Immunohistochemistry (Formalin/PFA-fixed paraffin-embedded sections)", "shortname":"IHC-P"}, "ChIP" : {"fullname" : "ChIP", "shortname":"ChIP"}, "WB" : {"fullname" : "Western blot", "shortname":"WB"}, "FlowCytIntra" : {"fullname" : "Flow Cytometry (Intracellular)", "shortname":"Flow Cyt (Intra)"} }, "product-promise": { "all": "all", "testedAndGuaranteed": "tested", "guaranteed": "expected", "predicted": "predicted", "notRecommended": "not-recommended" } }, "values": { "Human": { "IHCP-species-checked": "guaranteed", "IHCP-species-dilution-info": "", "IHCP-species-notes": "", "ChIP-species-checked": "testedAndGuaranteed", "ChIP-species-dilution-info": "", "ChIP-species-notes": "<p></p>", "WB-species-checked": "guaranteed", "WB-species-dilution-info": "", "WB-species-notes": "<p></p>", "FlowCytIntra-species-checked": "testedAndGuaranteed", "FlowCytIntra-species-dilution-info": "", "FlowCytIntra-species-notes": "<p></p>" }, "Mouse": { "IHCP-species-checked": "testedAndGuaranteed", "IHCP-species-dilution-info": "", "IHCP-species-notes": "<p></p>", "ChIP-species-checked": "guaranteed", "ChIP-species-dilution-info": "", "ChIP-species-notes": "", "WB-species-checked": "guaranteed", "WB-species-dilution-info": "", "WB-species-notes": "<p></p>", "FlowCytIntra-species-checked": "guaranteed", "FlowCytIntra-species-dilution-info": "", "FlowCytIntra-species-notes": "" }, "Rat": { "IHCP-species-checked": "predicted", "IHCP-species-dilution-info": "", "IHCP-species-notes": "", "ChIP-species-checked": "predicted", "ChIP-species-dilution-info": "", "ChIP-species-notes": "", "WB-species-checked": "guaranteed", "WB-species-dilution-info": "", "WB-species-notes": "<p></p>", "FlowCytIntra-species-checked": "predicted", "FlowCytIntra-species-dilution-info": "", "FlowCytIntra-species-notes": "" } } }

Product details

ab230381 is the carrier-free version of ab208020.

Patented technology
Our RabMAb® technology is a patented hybridoma-based technology for making rabbit monoclonal antibodies. For details on our patents, please refer to RabMAb® patents.

What are the advantages of a recombinant monoclonal antibody?
This product is a recombinant monoclonal antibody, which offers several advantages including:

  • - High batch-to-batch consistency and reproducibility
  • - Improved sensitivity and specificity
  • - Long-term security of supply
  • - Animal-free batch production

For more information, read more on recombinant antibodies.

Conjugation ready
Our carrier-free antibodies are typically supplied in a PBS-only formulation, purified and free of BSA, sodium azide and glycerol. This conjugation-ready format is designed for use with fluorochromes, metal isotopes, oligonucleotides, and enzymes, which makes them ideal for antibody labelling, functional and cell-based assays, flow-based assays (e.g. mass cytometry) and Multiplex Imaging applications.

Use our conjugation kits for antibody conjugates that are ready-to-use in as little as 20 minutes with 1 minute hands-on-time and 100% antibody recovery: available for fluorescent dyes, HRP, biotin and gold.

Compatibility
This product is compatible with the Maxpar® Antibody Labeling Kit from Fluidigm, without the need for antibody preparation. Maxpar® is a trademark of Fluidigm Canada Inc.

Properties and storage information

Form
Liquid
Purification technique
Affinity purification Protein A
Storage buffer
pH: 7.2 - 7.4 Constituents: PBS
Shipped at conditions
Blue Ice
Appropriate short-term storage conditions
+4°C
Appropriate long-term storage conditions
+4°C
Storage information
Do Not Freeze

Supplementary information

This supplementary information is collated from multiple sources and compiled automatically.

The Mre11 protein also known as MRE11A serves as an integral part of the DNA repair machinery in cells. It forms a component of the MRE11/RAD50/NBS1 (MRN) complex which is essential for the detection and repair of DNA double-strand breaks (DSBs). The molecular weight of the Mre11 protein is approximately 81 kDa. It is broadly expressed in various human tissues highlighting its extensive role in maintaining genomic stability.
Biological function summary

This protein acts in the repair of DSBs by initiating homologous recombination and non-homologous end joining pathways. Together with the RAD50 and NBS1 proteins Mre11 forms the MRN complex which processes DNA ends and signals to other repair mechanisms. Additionally Mre11's exonuclease and endonuclease activities are important for the resection of DNA at break sites facilitating subsequent repair synthesis.

Pathways

Mre11 is instrumental in the DNA damage response and maintenance of genomic integrity. It operates within the ATM (ataxia-telangiectasia mutated) signaling pathway which activates upon DNA damage and regulates cell cycle checkpoints. Mre11 interacts with the ATM protein modifying the cellular response to DNA damage. The complex also collaborates closely with BRCA1 an important regulator of the repair process and associated with preventing breast cancer development.

Mutations or dysfunction in the MRE11A gene can be linked to several conditions including ataxia-telangiectasia-like disorder (ATLD) and Nijmegen breakage syndrome (NBS). These disorders result from impaired DNA repair mechanisms leading to increased sensitivity to radiation and predisposition to cancer. The NBS1 protein as part of the MRN complex works closely with Mre11 in these conditions. Both disorders highlight the critical role of Mre11 in safeguarding genomic stability and preventing disease.

Product protocols

For this product, it's our understanding that no specific protocols are required. You can visit:

Target data

Core component of the MRN complex, which plays a central role in double-strand break (DSB) repair, DNA recombination, maintenance of telomere integrity and meiosis (PubMed : 11741547, PubMed : 14657032, PubMed : 22078559, PubMed : 23080121, PubMed : 24316220, PubMed : 26240375, PubMed : 27889449, PubMed : 28867292, PubMed : 29670289, PubMed : 30464262, PubMed : 30612738, PubMed : 31353207, PubMed : 37696958, PubMed : 38128537, PubMed : 9590181, PubMed : 9651580, PubMed : 9705271). The MRN complex is involved in the repair of DNA double-strand breaks (DSBs) via homologous recombination (HR), an error-free mechanism which primarily occurs during S and G2 phases (PubMed : 24316220, PubMed : 28867292, PubMed : 31353207, PubMed : 38128537). The complex (1) mediates the end resection of damaged DNA, which generates proper single-stranded DNA, a key initial steps in HR, and is (2) required for the recruitment of other repair factors and efficient activation of ATM and ATR upon DNA damage (PubMed : 24316220, PubMed : 27889449, PubMed : 28867292, PubMed : 36050397, PubMed : 38128537). Within the MRN complex, MRE11 possesses both single-strand endonuclease activity and double-strand-specific 3'-5' exonuclease activity (PubMed : 11741547, PubMed : 22078559, PubMed : 24316220, PubMed : 26240375, PubMed : 27889449, PubMed : 29670289, PubMed : 31353207, PubMed : 36563124, PubMed : 9590181, PubMed : 9651580, PubMed : 9705271). After DSBs, MRE11 is loaded onto DSBs sites and cleaves DNA by cooperating with RBBP8/CtIP to initiate end resection (PubMed : 27814491, PubMed : 27889449, PubMed : 30787182). MRE11 first endonucleolytically cleaves the 5' strand at DNA DSB ends to prevent non-homologous end joining (NHEJ) and licence HR (PubMed : 24316220). It then generates a single-stranded DNA gap via 3' to 5' exonucleolytic degradation to create entry sites for EXO1- and DNA2-mediated 5' to 3' long-range resection, which is required for single-strand invasion and recombination (PubMed : 24316220, PubMed : 28867292). RBBP8/CtIP specifically promotes the endonuclease activity of MRE11 to clear protein-DNA adducts and generate clean double-strand break ends (PubMed : 27814491, PubMed : 27889449, PubMed : 30787182). The MRN complex is also required for DNA damage signaling via activation of the ATM and ATR kinases : the nuclease activity of MRE11 is not required to activate ATM and ATR (PubMed : 14657032, PubMed : 15064416, PubMed : 15790808, PubMed : 16622404). The MRN complex is also required for the processing of R-loops (PubMed : 31537797). The MRN complex is involved in the activation of the cGAS-STING pathway induced by DNA damage during tumorigenesis : the MRN complex acts by displacing CGAS from nucleosome sequestration, thereby activating it (By similarity). In telomeres the MRN complex may modulate t-loop formation (PubMed : 10888888).. MRE11 contains two DNA-binding domains (DBDs), enabling it to bind both single-stranded DNA (ssDNA) and double-stranded DNA (dsDNA).
See full target information MRE11

Publications (1)

Recent publications for all applications. Explore the full list and refine your search

JCI insight 5: PubMed32897880

2020

Role of defective calcium regulation in cardiorespiratory dysfunction in Huntington's disease.

Applications

Unspecified application

Species

Unspecified reactive species

Haikel Dridi,Xiaoping Liu,Qi Yuan,Steve Reiken,Mohamad Yehia,Leah Sittenfeld,Panagiota Apostolou,Julie Buron,Pierre Sicard,Stefan Matecki,Jérome Thireau,Clement Menuet,Alain Lacampagne,Andrew R Marks
View all publications

Product promise

We are committed to supporting your work with high-quality reagents, and we're here for you every step of the way. In the unlikely event that one of our products does not perform as expected, you're protected by our Product Promise.
For full details, please see our Terms & Conditions

Please note: All products are 'FOR RESEARCH USE ONLY. NOT FOR USE IN DIAGNOSTIC OR THERAPEUTIC PROCEDURES'.

For licensing inquiries, please contact partnerships@abcam.com