JavaScript is disabled in your browser. Please enable JavaScript to view this website.
AB208020

Anti-Mre11 antibody [EPR21027] - ChIP Grade

Be the first to review this product! Submit a review

|

(8 Publications)

Anti-Mre11 antibody [EPR21027] - ChIP Grade (ab208020) is a rabbit monoclonal antibody detecting Mre11 in Western Blot, Flow Cytometry (Intra), IP, IHC-P, ChIP. Suitable for Human, Mouse, Rat.

- Biophysical QC for unrivalled batch-batch consistency

View Alternative Names

HNGS1, MRE11A, MRE11, Double-strand break repair protein MRE11, Meiotic recombination 11 homolog 1, Meiotic recombination 11 homolog A, MRE11 homolog 1, MRE11 homolog A

10 Images
Flow Cytometry (Intracellular) - Anti-Mre11 antibody [EPR21027] - ChIP Grade (AB208020)
  • Flow Cyt (Intra)

Supplier Data

Flow Cytometry (Intracellular) - Anti-Mre11 antibody [EPR21027] - ChIP Grade (AB208020)

Intracellular flow cytometric analysis of 4% paraformaldehyde-fixed, 90% methanol permeabilized K562 (Human human chronic myelogenous leukemia cell line from bone marrow) cell line labeling Mre11 with ab208020 at 1/500 dilution (red) compared with a Rabbit IgG, monoclonal [EPR25A] - Isotype Control (ab172730) (black) and an unlabelled control (cells without incubation with primary antibody and secondary antibody) (blue). Goat Anti-Rabbit IgG H&L (Alexa Fluor® 488) at 1/2000 dilution was used as the secondary antibody.

Immunohistochemistry (Formalin/PFA-fixed paraffin-embedded sections) - Anti-Mre11 antibody [EPR21027] - ChIP Grade (AB208020)
  • IHC-P

Supplier Data

Immunohistochemistry (Formalin/PFA-fixed paraffin-embedded sections) - Anti-Mre11 antibody [EPR21027] - ChIP Grade (AB208020)

Immunohistochemical analysis of paraffin-embedded human endometrial carcinoma tissue labeling Mre11 with ab208020 at 1/2000 dilution, followed by Rabbit specific IHC polymer detection kit HRP/DAB (ab209101), ready to use. Nuclear staining in human endometrial carcinoma is observed (PMID : 24927325). Counter stained with Hematoxylin.

Secondary antibody only control : Used PBS instead of primary antibody, secondary antibody is Rabbit specific IHC polymer detection kit HRP/DAB (ab209101), ready to use.

Heat mediated antigen retrieval was performed before commencing with IHC staining protocol.

Immunohistochemistry (Formalin/PFA-fixed paraffin-embedded sections) - Anti-Mre11 antibody [EPR21027] - ChIP Grade (AB208020)
  • IHC-P

Supplier Data

Immunohistochemistry (Formalin/PFA-fixed paraffin-embedded sections) - Anti-Mre11 antibody [EPR21027] - ChIP Grade (AB208020)

Immunohistochemical analysis of paraffin-embedded human breast carcinoma tissue labeling Mre11 with ab208020 at 1/2000 dilution, followed by Goat Anti-Rabbit IgG H&L (HRP polymer) (ab214880) Ready to use. Counter stained with Hematoxylin. Secondary antibody only control : Used PBS instead of primary antibody, secondary antibody Goat Anti-Rabbit IgG H&L (HRP polymer) (ab214880) Heat mediated antigen retrieval was performed using ab93684 (Tris/EDTA buffer, pH 9.0) Positive staining on human breast carcinoma. The section was incubated with ab208020 at 4°C overnight.

Immunohistochemistry (Formalin/PFA-fixed paraffin-embedded sections) - Anti-Mre11 antibody [EPR21027] - ChIP Grade (AB208020)
  • IHC-P

Supplier Data

Immunohistochemistry (Formalin/PFA-fixed paraffin-embedded sections) - Anti-Mre11 antibody [EPR21027] - ChIP Grade (AB208020)

Immunohistochemical analysis of paraffin-embedded human colon tissue labeling Mre11 with ab208020 at 1/2000 dilution, followed by Rabbit specific IHC polymer detection kit HRP/DAB (ab209101), ready to use. Nuclear staining in human colon tissue is observed (PMID : 25447316). Counter stained with Hematoxylin.

Secondary antibody only control : Used PBS instead of primary antibody, secondary antibody is Rabbit specific IHC polymer detection kit HRP/DAB (ab209101), ready to use.

Heat mediated antigen retrieval was performed before commencing with IHC staining protocol.

ChIP - Anti-Mre11 antibody [EPR21027] - ChIP Grade (AB208020)
  • ChIP

Supplier Data

ChIP - Anti-Mre11 antibody [EPR21027] - ChIP Grade (AB208020)

Chromatin was prepared from non-treated HeLa cells or HeLa cells treated with 1% Methyl methanesulfonate for 1 hour according to the Abcam X-ChIP protocol. Cells were fixed with formaldehyde for 10 minutes. The ChIP was performed with 25 μg of chromatin, 5 μg of ab208020 (blue), and 20 μL of protein A/G sepharose beads slurry (10 μL of sepharose A beads + 10 μL of sepharose G beads). 5 μg of rabbit normal IgG was added to the beads control (yellow). The immunoprecipitated DNA was quantified by real time PCR (Sybr green approach).

Immunohistochemistry (Formalin/PFA-fixed paraffin-embedded sections) - Anti-Mre11 antibody [EPR21027] - ChIP Grade (AB208020)
  • IHC-P

Supplier Data

Immunohistochemistry (Formalin/PFA-fixed paraffin-embedded sections) - Anti-Mre11 antibody [EPR21027] - ChIP Grade (AB208020)

Immunohistochemical analysis of paraffin-embedded rat colon tissue labeling Mre11 with ab208020 at 1/2000 dilution, followed by Rabbit specific IHC polymer detection kit HRP/DAB (ab209101), ready to use. Nuclear staining in rat colon tissue is observed (PMID : 28357369). Counter stained with Hematoxylin.

Secondary antibody only control : Used PBS instead of primary antibody, secondary antibody is Rabbit specific IHC polymer detection kit HRP/DAB (ab209101), ready to use.

Heat mediated antigen retrieval was performed before commencing with IHC staining protocol.

Immunohistochemistry (Formalin/PFA-fixed paraffin-embedded sections) - Anti-Mre11 antibody [EPR21027] - ChIP Grade (AB208020)
  • IHC-P

Supplier Data

Immunohistochemistry (Formalin/PFA-fixed paraffin-embedded sections) - Anti-Mre11 antibody [EPR21027] - ChIP Grade (AB208020)

Immunohistochemical analysis of paraffin-embedded mouse testis tissue labeling Mre11 with ab208020 at 1/2000 dilution, followed by Rabbit specific IHC polymer detection kit HRP/DAB (ab209101), ready to use. Nuclear staining in mouse testis is observed (PMID : 10508516). Counter stained with Hematoxylin.

Secondary antibody only control : Used PBS instead of primary antibody, secondary antibody is Rabbit specific IHC polymer detection kit HRP/DAB (ab209101), ready to use.

Heat mediated antigen retrieval was performed before commencing with IHC staining protocol.

Western blot - Anti-Mre11 antibody [EPR21027] - ChIP Grade (AB208020)
  • WB

Supplier Data

Western blot - Anti-Mre11 antibody [EPR21027] - ChIP Grade (AB208020)

Blocking/Dilution : 5% NFDM/TBST.

Exposure time : 3 minutes.

All lanes:

Western blot - Anti-Mre11 antibody [EPR21027] - ChIP Grade (ab208020) at 1/1000 dilution

All lanes:

Human fetal kidney tissue lysate at 10 µg

Secondary

All lanes:

Western blot - VeriBlot for IP Detection Reagent (HRP) (<a href='/en-us/products/reagents/veriblot-for-ip-detection-reagent-hrp-ab131366'>ab131366</a>) at 1/4000 dilution

Predicted band size: 80 kDa

Observed band size: 81 kDa

true

Western blot - Anti-Mre11 antibody [EPR21027] - ChIP Grade (AB208020)
  • WB

Supplier Data

Western blot - Anti-Mre11 antibody [EPR21027] - ChIP Grade (AB208020)

Blocking/Dilution : 5% NFDM/TBST.

Exposure time : 3 minutes.

All lanes:

Western blot - Anti-Mre11 antibody [EPR21027] - ChIP Grade (ab208020) at 1/5000 dilution

Lane 1:

K562 (human chronic myelogenous leukemia cell line from bone marrow) whole cell lysate at 20 µg

Lane 2:

Jurkat (human T cell leukemia cell line from peripheral blood) whole cell lysate at 20 µg

Lane 3:

HEK-293T (human epithelial cell line from embryonic kidney transformed with large T antigen) whole cell lysate at 20 µg

Lane 4:

D3 (mouse embryo stem cell) whole cell lysate at 20 µg

Secondary

All lanes:

Western blot - Goat Anti-Rabbit IgG H&L (HRP) (<a href='/en-us/products/secondary-antibodies/goat-rabbit-igg-h-l-hrp-ab97051'>ab97051</a>) at 1/100000 dilution

Predicted band size: 80 kDa

Observed band size: 81 kDa

false

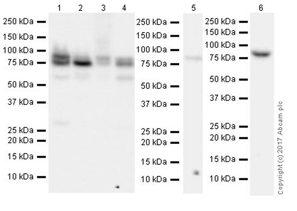
Western blot - Anti-Mre11 antibody [EPR21027] - ChIP Grade (AB208020)
  • WB

Supplier Data

Western blot - Anti-Mre11 antibody [EPR21027] - ChIP Grade (AB208020)

Blocking/Dilution : 5% NFDM/TBST.

Exposure time : 3 minutes.

All lanes:

Western blot - Anti-Mre11 antibody [EPR21027] - ChIP Grade (ab208020) at 1/1000 dilution

Lane 1:

C6 (rat glial tumor cell line) whole cell lysate at 10 µg

Lane 2:

RAW 264.7 (mouse macrophage cell line transformed with Abelson murine leukemia virus) whole cell lysate at 10 µg

Lane 3:

PC-12 (rat adrenal gland pheochromocytoma cell line) whole cell lysate at 10 µg

Lane 4:

NIH/3T3 (mouse embryo fibroblast cell line) whole cell lysate at 10 µg

Lane 5:

Mouse brain tissue lysate at 10 µg

Lane 6:

Rat brain tissue lysate at 10 µg

Secondary

All lanes:

Western blot - Goat Anti-Rabbit IgG H&L (HRP) (<a href='/en-us/products/secondary-antibodies/goat-rabbit-igg-h-l-hrp-ab97051'>ab97051</a>) at 1/100000 dilution

Predicted band size: 80 kDa

Observed band size: 81 kDa

false

  • Carrier free

    Anti-Mre11 antibody [EPR21027] - BSA and Azide free

Key facts

Host species

Rabbit

Clonality

Monoclonal

Clone number

EPR21027

Isotype

IgG

Carrier free

No

Reacts with

Mouse, Rat, Human

Applications

WB, ChIP, IHC-P, Flow Cyt (Intra)

applications

Immunogen

The exact immunogen used to generate this antibody is proprietary information.

Reactivity data

{ "title": "Reactivity Data", "filters": { "stats": ["", "Species", "Dilution Info", "Notes"], "tabs": { "all-applications": {"fullname" : "All Applications", "shortname": "All Applications"}, "IHCP" : {"fullname" : "Immunohistochemistry (Formalin/PFA-fixed paraffin-embedded sections)", "shortname":"IHC-P"}, "ChIP" : {"fullname" : "ChIP", "shortname":"ChIP"}, "WB" : {"fullname" : "Western blot", "shortname":"WB"}, "FlowCytIntra" : {"fullname" : "Flow Cytometry (Intracellular)", "shortname":"Flow Cyt (Intra)"} }, "product-promise": { "all": "all", "testedAndGuaranteed": "tested", "guaranteed": "expected", "predicted": "predicted", "notRecommended": "not-recommended" } }, "values": { "Human": { "IHCP-species-checked": "testedAndGuaranteed", "IHCP-species-dilution-info": "1/2000", "IHCP-species-notes": "<p></p>", "ChIP-species-checked": "testedAndGuaranteed", "ChIP-species-dilution-info": "", "ChIP-species-notes": "<p>5μg</p>", "WB-species-checked": "testedAndGuaranteed", "WB-species-dilution-info": "1/1000", "WB-species-notes": "<p></p>", "FlowCytIntra-species-checked": "testedAndGuaranteed", "FlowCytIntra-species-dilution-info": "1/500", "FlowCytIntra-species-notes": "<p></p>" }, "Mouse": { "IHCP-species-checked": "testedAndGuaranteed", "IHCP-species-dilution-info": "1/2000", "IHCP-species-notes": "<p></p>", "ChIP-species-checked": "guaranteed", "ChIP-species-dilution-info": "", "ChIP-species-notes": "", "WB-species-checked": "guaranteed", "WB-species-dilution-info": "", "WB-species-notes": "", "FlowCytIntra-species-checked": "guaranteed", "FlowCytIntra-species-dilution-info": "", "FlowCytIntra-species-notes": "" }, "Rat": { "IHCP-species-checked": "testedAndGuaranteed", "IHCP-species-dilution-info": "1/2000", "IHCP-species-notes": "<p></p>", "ChIP-species-checked": "guaranteed", "ChIP-species-dilution-info": "", "ChIP-species-notes": "", "WB-species-checked": "testedAndGuaranteed", "WB-species-dilution-info": "1/1000", "WB-species-notes": "<p></p>", "FlowCytIntra-species-checked": "guaranteed", "FlowCytIntra-species-dilution-info": "", "FlowCytIntra-species-notes": "" } } }

Product details

What is this antibody validated in?
Anti-Mre11 antibody [EPR21027] - ChIP Grade (ab208020) is a rabbit recombinant monoclonal antibody and is validated for use in Western Blot (WB), Flow Cytometry (Intra), Flow Cytometry (Flow Cyt), Immunoprecipitation (IP), Immunohistochemistry (IHC-P), ChIP in Human, Mouse, Rat samples.

What is the molecular weight of Mre11?
Anti-Mre11 [EPR21027] - ChIP Grade (ab208020) specifically detects a band for Mre11 (UniProt: P49959) at a molecular weight of 81kDa.

Trial sizes available!
Test your antibody or perform pre-screening before committing to a larger quantity. Sold in 10µl. Discover our selection of trial-size antibodies.

Other related products
We have a range of other formats of antibody clone [EPR21027] also available for your convenience: ab208020, Carrier free - ab230381

Patented technology
Our RabMAb® technology is a patented hybridoma-based technology for making rabbit monoclonal antibodies. For details on our patents, please refer to RabMAb® patents.

What are the advantages of a recombinant monoclonal antibody?
This product is a recombinant monoclonal antibody, which offers several advantages including:

  • - High batch-to-batch consistency and reproducibility
  • - Improved sensitivity and specificity
  • - Long-term security of supply
  • - Animal-free batch production

For more information, read more on recombinant antibodies.

Properties and storage information

Form
Liquid
Purification technique
Affinity purification Protein A
Storage buffer
pH: 7.2 - 7.4 Preservative: 0.01% Sodium azide Constituents: PBS, 40% Glycerol (glycerin, glycerine), 0.05% BSA
Shipped at conditions
Blue Ice
Appropriate short-term storage duration
1-2 weeks
Appropriate short-term storage conditions
+4°C
Appropriate long-term storage conditions
-20°C
Aliquoting information
Upon delivery aliquot
Storage information
Avoid freeze / thaw cycle

Supplementary information

This supplementary information is collated from multiple sources and compiled automatically.

The Mre11 protein also known as MRE11A serves as an integral part of the DNA repair machinery in cells. It forms a component of the MRE11/RAD50/NBS1 (MRN) complex which is essential for the detection and repair of DNA double-strand breaks (DSBs). The molecular weight of the Mre11 protein is approximately 81 kDa. It is broadly expressed in various human tissues highlighting its extensive role in maintaining genomic stability.
Biological function summary

This protein acts in the repair of DSBs by initiating homologous recombination and non-homologous end joining pathways. Together with the RAD50 and NBS1 proteins Mre11 forms the MRN complex which processes DNA ends and signals to other repair mechanisms. Additionally Mre11's exonuclease and endonuclease activities are important for the resection of DNA at break sites facilitating subsequent repair synthesis.

Pathways

Mre11 is instrumental in the DNA damage response and maintenance of genomic integrity. It operates within the ATM (ataxia-telangiectasia mutated) signaling pathway which activates upon DNA damage and regulates cell cycle checkpoints. Mre11 interacts with the ATM protein modifying the cellular response to DNA damage. The complex also collaborates closely with BRCA1 an important regulator of the repair process and associated with preventing breast cancer development.

Mutations or dysfunction in the MRE11A gene can be linked to several conditions including ataxia-telangiectasia-like disorder (ATLD) and Nijmegen breakage syndrome (NBS). These disorders result from impaired DNA repair mechanisms leading to increased sensitivity to radiation and predisposition to cancer. The NBS1 protein as part of the MRN complex works closely with Mre11 in these conditions. Both disorders highlight the critical role of Mre11 in safeguarding genomic stability and preventing disease.

Product protocols

For this product, it's our understanding that no specific protocols are required. You can visit:

Target data

Core component of the MRN complex, which plays a central role in double-strand break (DSB) repair, DNA recombination, maintenance of telomere integrity and meiosis (PubMed : 11741547, PubMed : 14657032, PubMed : 22078559, PubMed : 23080121, PubMed : 24316220, PubMed : 26240375, PubMed : 27889449, PubMed : 28867292, PubMed : 29670289, PubMed : 30464262, PubMed : 30612738, PubMed : 31353207, PubMed : 37696958, PubMed : 38128537, PubMed : 9590181, PubMed : 9651580, PubMed : 9705271). The MRN complex is involved in the repair of DNA double-strand breaks (DSBs) via homologous recombination (HR), an error-free mechanism which primarily occurs during S and G2 phases (PubMed : 24316220, PubMed : 28867292, PubMed : 31353207, PubMed : 38128537). The complex (1) mediates the end resection of damaged DNA, which generates proper single-stranded DNA, a key initial steps in HR, and is (2) required for the recruitment of other repair factors and efficient activation of ATM and ATR upon DNA damage (PubMed : 24316220, PubMed : 27889449, PubMed : 28867292, PubMed : 36050397, PubMed : 38128537). Within the MRN complex, MRE11 possesses both single-strand endonuclease activity and double-strand-specific 3'-5' exonuclease activity (PubMed : 11741547, PubMed : 22078559, PubMed : 24316220, PubMed : 26240375, PubMed : 27889449, PubMed : 29670289, PubMed : 31353207, PubMed : 36563124, PubMed : 9590181, PubMed : 9651580, PubMed : 9705271). After DSBs, MRE11 is loaded onto DSBs sites and cleaves DNA by cooperating with RBBP8/CtIP to initiate end resection (PubMed : 27814491, PubMed : 27889449, PubMed : 30787182). MRE11 first endonucleolytically cleaves the 5' strand at DNA DSB ends to prevent non-homologous end joining (NHEJ) and licence HR (PubMed : 24316220). It then generates a single-stranded DNA gap via 3' to 5' exonucleolytic degradation to create entry sites for EXO1- and DNA2-mediated 5' to 3' long-range resection, which is required for single-strand invasion and recombination (PubMed : 24316220, PubMed : 28867292). RBBP8/CtIP specifically promotes the endonuclease activity of MRE11 to clear protein-DNA adducts and generate clean double-strand break ends (PubMed : 27814491, PubMed : 27889449, PubMed : 30787182). MRE11 endonuclease activity is also enhanced by AGER/RAGE (By similarity). The MRN complex is also required for DNA damage signaling via activation of the ATM and ATR kinases : the nuclease activity of MRE11 is not required to activate ATM and ATR (PubMed : 14657032, PubMed : 15064416, PubMed : 15790808, PubMed : 16622404). The MRN complex is also required for the processing of R-loops (PubMed : 31537797). The MRN complex is involved in the activation of the cGAS-STING pathway induced by DNA damage during tumorigenesis : the MRN complex acts by displacing CGAS from nucleosome sequestration, thereby activating it (By similarity). In telomeres the MRN complex may modulate t-loop formation (PubMed : 10888888).. MRE11 contains two DNA-binding domains (DBDs), enabling it to bind both single-stranded DNA (ssDNA) and double-stranded DNA (dsDNA).
See full target information MRE11

Publications (8)

Recent publications for all applications. Explore the full list and refine your search

Nature communications 15:1446 PubMed38365788

2024

PAF1c links S-phase progression to immune evasion and MYC function in pancreatic carcinoma.

Applications

Unspecified application

Species

Unspecified reactive species

Abdallah Gaballa,Anneli Gebhardt-Wolf,Bastian Krenz,Greta Mattavelli,Mara John,Giacomo Cossa,Silvia Andreani,Christina Schülein-Völk,Francisco Montesinos,Raphael Vidal,Carolin Kastner,Carsten P Ade,Burkhard Kneitz,Georg Gasteiger,Peter Gallant,Mathias Rosenfeldt,Angela Riedel,Martin Eilers

Nature communications 14:7430 PubMed37973845

2023

Repression of LSD1 potentiates homologous recombination-proficient ovarian cancer to PARP inhibitors through down-regulation of BRCA1/2 and RAD51.

Applications

Unspecified application

Species

Unspecified reactive species

Lei Tao,Yue Zhou,Xiangyu Pan,Yuan Luo,Jiahao Qiu,Xia Zhou,Zhiqian Chen,Yan Li,Lian Xu,Yang Zhou,Zeping Zuo,Chunqi Liu,Liang Wang,Xiaocong Liu,Xinyu Tian,Na Su,Zhengnan Yang,Yu Zhang,Kun Gou,Na Sang,Huan Liu,Jiao Zou,Yuzhou Xiao,Xi Zhong,Jing Xu,Xinyu Yang,Kai Xiao,Yanyang Liu,Shengyong Yang,Yong Peng,Junhong Han,Xiaobo Cen,Yinglan Zhao

Nucleic acids research 51:12207-12223 PubMed37897354

2023

Human HELQ regulates DNA end resection at DNA double-strand breaks and stalled replication forks.

Applications

Unspecified application

Species

Unspecified reactive species

Yuqin Zhao,Kaiping Hou,Youhang Li,Shuailin Hao,Yu Liu,Yinan Na,Chao Li,Jian Cui,Xingzhi Xu,Xiaohua Wu,Hailong Wang

Nucleic acids research 51:10059-10074 PubMed37678882

2023

Engineered lentivirus-derived nanoparticles (LVNPs) for delivery of CRISPR/Cas ribonucleoprotein complexes supporting base editing, prime editing and in vivo gene modification.

Applications

Unspecified application

Species

Unspecified reactive species

Jakob Haldrup,Sofie Andersen,Alexander Rafael LaVilla Labial,Jonas Holst Wolff,Frederik Plum Frandsen,Thomas Wisbech Skov,Anne Bruun Rovsing,Ian Nielsen,Thomas Stax Jakobsen,Anne Louise Askou,Martin K Thomsen,Thomas J Corydon,Emil Aagaard Thomsen,Jacob Giehm Mikkelsen

Advanced science (Weinheim, Baden-Wurttemberg, Germany) 8:e2100779 PubMed34363353

2021

Epigenetic Dysregulation Induces Translocation of Histone H3 into Cytoplasm.

Applications

Unspecified application

Species

Unspecified reactive species

Zhen Wang,Ji Chen,Chuan Gao,Qiong Xiao,Xi-Wei Wang,Shan-Bo Tang,Qing-Lan Li,Bo Zhong,Zhi-Yin Song,Hong-Bing Shu,Lian-Yun Li,Min Wu

Drug design, development and therapy 15:1749-1763 PubMed33953544

2021

MYC/NBS1-Mediated DNA Damage Response is Involved in the Inhibitory Effect of Hydroxysafflor Yellow A on Glioma Cells.

Applications

Unspecified application

Species

Unspecified reactive species

Dongfang Tang,Tao Huang,Qilong Tian,Julei Wang

Oncology reports 44:2152-2164 PubMed32901871

2020

Checkpoint kinase‑1 inhibition and etoposide exhibit a strong synergistic anticancer effect on chronic myeloid leukemia cell line K562 by impairing homologous recombination DNA damage repair.

Applications

Unspecified application

Species

Unspecified reactive species

Zhuoyi Fan,Huacheng Luo,Jie Zhou,Fangce Wang,Wenjun Zhang,Jian Wang,Shuo Li,Qian Lai,Yueshuang Xu,Guangming Wang,Aibin Liang,Jun Xu

Nature protocols 15:1775-1799 PubMed32313254

2020

CRISPR off-target detection with DISCOVER-seq.

Applications

Unspecified application

Species

Unspecified reactive species

Beeke Wienert,Stacia K Wyman,Charles D Yeh,Bruce R Conklin,Jacob E Corn
View all publications

Product promise

We are committed to supporting your work with high-quality reagents, and we're here for you every step of the way. In the unlikely event that one of our products does not perform as expected, you're protected by our Product Promise.
For full details, please see our Terms & Conditions

Please note: All products are 'FOR RESEARCH USE ONLY. NOT FOR USE IN DIAGNOSTIC OR THERAPEUTIC PROCEDURES'.

For licensing inquiries, please contact partnerships@abcam.com