JavaScript is disabled in your browser. Please enable JavaScript to view this website.
AB247911

Anti-Mre11 antibody [EPR3471] - BSA and Azide free

Be the first to review this product! Submit a review

|

(0 Publication)

Rabbit Recombinant Monoclonal MRE11 antibody. Carrier free. Suitable for IHC-P, WB and reacts with Human, Mouse, Rat samples.

View Alternative Names

HNGS1, MRE11A, MRE11, Double-strand break repair protein MRE11, Meiotic recombination 11 homolog 1, Meiotic recombination 11 homolog A, MRE11 homolog 1, MRE11 homolog A

2 Images
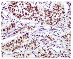
Immunohistochemistry (Formalin/PFA-fixed paraffin-embedded sections) - Anti-Mre11 antibody [EPR3471] - BSA and Azide free (AB247911)
  • IHC-P

Unknown

Immunohistochemistry (Formalin/PFA-fixed paraffin-embedded sections) - Anti-Mre11 antibody [EPR3471] - BSA and Azide free (AB247911)

This data was developed using ab109623, the same antibody clone in a different buffer formulation.

ab109623 at 1/50 dilution staining Mre11 in paraffin-embedded Human cervical carcinoma tissue.

Perform heat mediated antigen retrieval via the pressure cooker method before commencing with IHC staining protocol.

Western blot - Anti-Mre11 antibody [EPR3471] - BSA and Azide free (AB247911)
  • WB

Unknown

Western blot - Anti-Mre11 antibody [EPR3471] - BSA and Azide free (AB247911)

This data was developed using ab109623, the same antibody clone in a different buffer formulation.

All lanes:

Western blot - Anti-Mre11 antibody [EPR3471] (<a href='/en-us/products/primary-antibodies/mre11-antibody-epr3471-ab109623'>ab109623</a>) at 1/1000 dilution

Lane 1:

K562 cell lysate at 10 µg

Lane 2:

HT-29 cell lysate at 10 µg

Lane 3:

Jurkat cell lysate at 10 µg

Lane 4:

HeLa cell lysate at 10 µg

Predicted band size: 80 kDa

false

Key facts

Host species

Rabbit

Clonality

Monoclonal

Clone number

EPR3471

Isotype

IgG

Carrier free

Yes

Reacts with

Human

Applications

IHC-P, WB

applications

Immunogen

The exact immunogen used to generate this antibody is proprietary information.

Reactivity data

{ "title": "Reactivity Data", "filters": { "stats": ["", "Species", "Dilution Info", "Notes"], "tabs": { "all-applications": {"fullname" : "All Applications", "shortname": "All Applications"}, "IHCP" : {"fullname" : "Immunohistochemistry (Formalin/PFA-fixed paraffin-embedded sections)", "shortname":"IHC-P"}, "ICCIF" : {"fullname" : "Immunocytochemistry/ Immunofluorescence", "shortname":"ICC/IF"}, "IP" : {"fullname" : "Immunoprecipitation", "shortname":"IP"}, "FlowCyt" : {"fullname" : "Flow Cytometry", "shortname":"Flow Cyt"}, "WB" : {"fullname" : "Western blot", "shortname":"WB"} }, "product-promise": { "all": "all", "testedAndGuaranteed": "tested", "guaranteed": "expected", "predicted": "predicted", "notRecommended": "not-recommended" } }, "values": { "Human": { "IHCP-species-checked": "testedAndGuaranteed", "IHCP-species-dilution-info": "", "IHCP-species-notes": "<p></p> Perform heat-mediated antigen retrieval via the pressure cooker method before commencing with IHC staining protocol.", "ICCIF-species-checked": "notRecommended", "ICCIF-species-dilution-info": "", "ICCIF-species-notes": "<p></p>", "IP-species-checked": "notRecommended", "IP-species-dilution-info": "", "IP-species-notes": "<p></p>", "FlowCyt-species-checked": "notRecommended", "FlowCyt-species-dilution-info": "", "FlowCyt-species-notes": "<p></p>", "WB-species-checked": "testedAndGuaranteed", "WB-species-dilution-info": "", "WB-species-notes": "<p></p>" }, "Mouse": { "IHCP-species-checked": "predicted", "IHCP-species-dilution-info": "", "IHCP-species-notes": "", "ICCIF-species-checked": "notRecommended", "ICCIF-species-dilution-info": "", "ICCIF-species-notes": "", "IP-species-checked": "notRecommended", "IP-species-dilution-info": "", "IP-species-notes": "", "FlowCyt-species-checked": "notRecommended", "FlowCyt-species-dilution-info": "", "FlowCyt-species-notes": "", "WB-species-checked": "guaranteed", "WB-species-dilution-info": "", "WB-species-notes": "<p></p>" }, "Rat": { "IHCP-species-checked": "predicted", "IHCP-species-dilution-info": "", "IHCP-species-notes": "", "ICCIF-species-checked": "notRecommended", "ICCIF-species-dilution-info": "", "ICCIF-species-notes": "", "IP-species-checked": "notRecommended", "IP-species-dilution-info": "", "IP-species-notes": "", "FlowCyt-species-checked": "notRecommended", "FlowCyt-species-dilution-info": "", "FlowCyt-species-notes": "", "WB-species-checked": "guaranteed", "WB-species-dilution-info": "", "WB-species-notes": "<p></p>" } } }

Product details

ab247911 is the carrier-free version of ab109623.

Patented technology
Our RabMAb® technology is a patented hybridoma-based technology for making rabbit monoclonal antibodies. For details on our patents, please refer to RabMAb® patents.

What are the advantages of a recombinant monoclonal antibody?
This product is a recombinant monoclonal antibody, which offers several advantages including:

  • - High batch-to-batch consistency and reproducibility
  • - Improved sensitivity and specificity
  • - Long-term security of supply
  • - Animal-free batch production

For more information, read more on recombinant antibodies.

Conjugation ready
Our carrier-free antibodies are typically supplied in a PBS-only formulation, purified and free of BSA, sodium azide and glycerol. This conjugation-ready format is designed for use with fluorochromes, metal isotopes, oligonucleotides, and enzymes, which makes them ideal for antibody labelling, functional and cell-based assays, flow-based assays (e.g. mass cytometry) and Multiplex Imaging applications.

Use our conjugation kits for antibody conjugates that are ready-to-use in as little as 20 minutes with 1 minute hands-on-time and 100% antibody recovery: available for fluorescent dyes, HRP, biotin and gold.

Compatibility
This product is compatible with the Maxpar® Antibody Labeling Kit from Fluidigm, without the need for antibody preparation. Maxpar® is a trademark of Fluidigm Canada Inc.

Properties and storage information

Form
Liquid
Purification technique
Affinity purification Protein A
Storage buffer
pH: 7.2 - 7.4 Constituents: PBS
Shipped at conditions
Blue Ice
Appropriate short-term storage conditions
+4°C
Appropriate long-term storage conditions
+4°C
Storage information
Do Not Freeze

Supplementary information

This supplementary information is collated from multiple sources and compiled automatically.

The Mre11 protein also known as MRE11A serves as an integral part of the DNA repair machinery in cells. It forms a component of the MRE11/RAD50/NBS1 (MRN) complex which is essential for the detection and repair of DNA double-strand breaks (DSBs). The molecular weight of the Mre11 protein is approximately 81 kDa. It is broadly expressed in various human tissues highlighting its extensive role in maintaining genomic stability.
Biological function summary

This protein acts in the repair of DSBs by initiating homologous recombination and non-homologous end joining pathways. Together with the RAD50 and NBS1 proteins Mre11 forms the MRN complex which processes DNA ends and signals to other repair mechanisms. Additionally Mre11's exonuclease and endonuclease activities are important for the resection of DNA at break sites facilitating subsequent repair synthesis.

Pathways

Mre11 is instrumental in the DNA damage response and maintenance of genomic integrity. It operates within the ATM (ataxia-telangiectasia mutated) signaling pathway which activates upon DNA damage and regulates cell cycle checkpoints. Mre11 interacts with the ATM protein modifying the cellular response to DNA damage. The complex also collaborates closely with BRCA1 an important regulator of the repair process and associated with preventing breast cancer development.

Mutations or dysfunction in the MRE11A gene can be linked to several conditions including ataxia-telangiectasia-like disorder (ATLD) and Nijmegen breakage syndrome (NBS). These disorders result from impaired DNA repair mechanisms leading to increased sensitivity to radiation and predisposition to cancer. The NBS1 protein as part of the MRN complex works closely with Mre11 in these conditions. Both disorders highlight the critical role of Mre11 in safeguarding genomic stability and preventing disease.

Product protocols

For this product, it's our understanding that no specific protocols are required. You can visit:

Target data

Core component of the MRN complex, which plays a central role in double-strand break (DSB) repair, DNA recombination, maintenance of telomere integrity and meiosis (PubMed : 11741547, PubMed : 14657032, PubMed : 22078559, PubMed : 23080121, PubMed : 24316220, PubMed : 26240375, PubMed : 27889449, PubMed : 28867292, PubMed : 29670289, PubMed : 30464262, PubMed : 30612738, PubMed : 31353207, PubMed : 37696958, PubMed : 38128537, PubMed : 9590181, PubMed : 9651580, PubMed : 9705271). The MRN complex is involved in the repair of DNA double-strand breaks (DSBs) via homologous recombination (HR), an error-free mechanism which primarily occurs during S and G2 phases (PubMed : 24316220, PubMed : 28867292, PubMed : 31353207, PubMed : 38128537). The complex (1) mediates the end resection of damaged DNA, which generates proper single-stranded DNA, a key initial steps in HR, and is (2) required for the recruitment of other repair factors and efficient activation of ATM and ATR upon DNA damage (PubMed : 24316220, PubMed : 27889449, PubMed : 28867292, PubMed : 36050397, PubMed : 38128537). Within the MRN complex, MRE11 possesses both single-strand endonuclease activity and double-strand-specific 3'-5' exonuclease activity (PubMed : 11741547, PubMed : 22078559, PubMed : 24316220, PubMed : 26240375, PubMed : 27889449, PubMed : 29670289, PubMed : 31353207, PubMed : 36563124, PubMed : 9590181, PubMed : 9651580, PubMed : 9705271). After DSBs, MRE11 is loaded onto DSBs sites and cleaves DNA by cooperating with RBBP8/CtIP to initiate end resection (PubMed : 27814491, PubMed : 27889449, PubMed : 30787182). MRE11 first endonucleolytically cleaves the 5' strand at DNA DSB ends to prevent non-homologous end joining (NHEJ) and licence HR (PubMed : 24316220). It then generates a single-stranded DNA gap via 3' to 5' exonucleolytic degradation to create entry sites for EXO1- and DNA2-mediated 5' to 3' long-range resection, which is required for single-strand invasion and recombination (PubMed : 24316220, PubMed : 28867292). RBBP8/CtIP specifically promotes the endonuclease activity of MRE11 to clear protein-DNA adducts and generate clean double-strand break ends (PubMed : 27814491, PubMed : 27889449, PubMed : 30787182). The MRN complex is also required for DNA damage signaling via activation of the ATM and ATR kinases : the nuclease activity of MRE11 is not required to activate ATM and ATR (PubMed : 14657032, PubMed : 15064416, PubMed : 15790808, PubMed : 16622404). The MRN complex is also required for the processing of R-loops (PubMed : 31537797). The MRN complex is involved in the activation of the cGAS-STING pathway induced by DNA damage during tumorigenesis : the MRN complex acts by displacing CGAS from nucleosome sequestration, thereby activating it (By similarity). In telomeres the MRN complex may modulate t-loop formation (PubMed : 10888888).. MRE11 contains two DNA-binding domains (DBDs), enabling it to bind both single-stranded DNA (ssDNA) and double-stranded DNA (dsDNA).
See full target information MRE11

Product promise

We are committed to supporting your work with high-quality reagents, and we're here for you every step of the way. In the unlikely event that one of our products does not perform as expected, you're protected by our Product Promise.
For full details, please see our Terms & Conditions

Please note: All products are 'FOR RESEARCH USE ONLY. NOT FOR USE IN DIAGNOSTIC OR THERAPEUTIC PROCEDURES'.

For licensing inquiries, please contact partnerships@abcam.com