JavaScript is disabled in your browser. Please enable JavaScript to view this website.
AB222827

Anti-MRF-1 antibody

Be the first to review this product! Submit a review

|

(1 Publication)

Rabbit Polyclonal MRF-1 antibody. Suitable for WB, IHC-P and reacts with Human samples. Cited in 1 publication. Immunogen corresponding to Recombinant Fragment Protein within Human MTRF1.

View Alternative Names

MRF-1, MtRF-1, MTRF1

2 Images
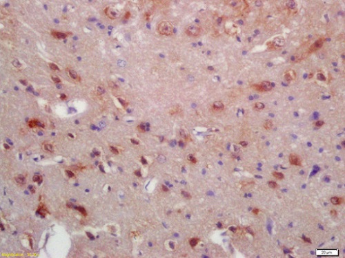
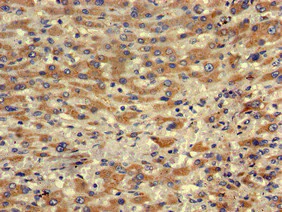
Immunohistochemistry (Formalin/PFA-fixed paraffin-embedded sections) - Anti-MRF-1 antibody (AB222827)
  • IHC-P

Supplier Data

Immunohistochemistry (Formalin/PFA-fixed paraffin-embedded sections) - Anti-MRF-1 antibody (AB222827)

Paraffin-embedded sections of human liver cancer tissue were stained for MRF-1 using ab222827 at 1/100 dilution in immunohistochemical analysis.

Western blot - Anti-MRF-1 antibody (AB222827)
  • WB

Supplier Data

Western blot - Anti-MRF-1 antibody (AB222827)

All lanes:

Western blot - Anti-MRF-1 antibody (ab222827) at 1/500 dilution

All lanes:

HeLa (human epithelial cell line from cervix adenocarcinoma) whole cell lysate

Secondary

All lanes:

Goat Anti-Rabbit IgG at 1/50000 dilution

Predicted band size: 52 kDa

Observed band size: 53 kDa

false

Key facts

Host species

Rabbit

Clonality

Polyclonal

Isotype

IgG

Carrier free

No

Reacts with

Human

Applications

IHC-P, WB

applications

Immunogen

Recombinant Fragment Protein within Human MTRF1. The exact immunogen used to generate this antibody is proprietary information.

O75570

Reactivity data

{ "title": "Reactivity Data", "filters": { "stats": ["", "Species", "Dilution Info", "Notes"], "tabs": { "all-applications": {"fullname" : "All Applications", "shortname": "All Applications"}, "WB" : {"fullname" : "Western blot", "shortname":"WB"}, "IHCP" : {"fullname" : "Immunohistochemistry (Formalin/PFA-fixed paraffin-embedded sections)", "shortname":"IHC-P"} }, "product-promise": { "all": "all", "testedAndGuaranteed": "tested", "guaranteed": "expected", "predicted": "predicted", "notRecommended": "not-recommended" } }, "values": { "Human": { "WB-species-checked": "testedAndGuaranteed", "WB-species-dilution-info": "1/500 - 1/5000", "WB-species-notes": "<p></p>", "IHCP-species-checked": "testedAndGuaranteed", "IHCP-species-dilution-info": "1/20 - 1/200", "IHCP-species-notes": "<p></p>" } } }

Properties and storage information

Form
Liquid
Purification technique
Affinity purification Protein G
Purification notes
>95%
Storage buffer
pH: 7.4 Preservative: 0.03% Proclin 300 Constituents: PBS, 50% Glycerol (glycerin, glycerine)
Shipped at conditions
Blue Ice
Appropriate short-term storage duration
1-2 weeks
Appropriate short-term storage conditions
+4°C
Appropriate long-term storage conditions
-20°C
Aliquoting information
Upon delivery aliquot
Storage information
Avoid freeze / thaw cycle

Supplementary information

This supplementary information is collated from multiple sources and compiled automatically.

MRF-1 commonly known as Muscle Ring Finger-1 is a protein that functions as an E3 ubiquitin ligase. It plays a role in tagging proteins for degradation by the proteasome. This protein has a molecular mass of approximately 40 kDa. MRF-1 is mainly expressed in skeletal muscle tissue though it is also found in cardiac muscle. Researchers have identified its involvement in muscle atrophy making it a target of interest in muscle biology studies.
Biological function summary

The protein contributes to muscle protein turnover and homeostasis. It forms part of a complex that includes other ubiquitin ligases like MuRF2 and atrogin-1. MRF-1 facilitates the modification of target proteins through ubiquitination which marks them for destruction. This role is important during the muscle-wasting process where the turnover of muscle proteins is heightened. As a result MRF-1 assists in maintaining muscle structure and function under conditions that promote catabolism.

Pathways

MRF-1 is significantly involved in pathways regulating muscle protein degradation including the ubiquitin-proteasome pathway. It associates with proteins like myosin heavy chain and tropomyosin linking it to the cellular processes governing muscle contraction and structure. MRF-1 often works alongside signaling pathways like the NF-kB pathway emphasizing its role in response to inflammatory signals and stress-inducing conditions.

MRF-1 is particularly relevant to conditions such as muscle atrophy and cachexia. It shows elevated expression in atrophic muscles marking it as a potential contributor to muscle-wasting disorders. The protein also connects with atrogin-1 another key player in muscle degradation indicating a collaborative function in such conditions. The study of MRF-1 in these contexts sheds light on therapeutic approaches that may mitigate muscle loss offering hope for affected individuals.

Product protocols

For this product, it's our understanding that no specific protocols are required. You can visit:

Target data

Mitochondrial peptide chain release factor that directs the termination of translation in response to the peptide chain non-canonical stop codons AGG and AGA (PubMed : 36302763, PubMed : 36596788, PubMed : 37141370). Non-canonical termination codons AGG and AGA are found at the end of MT-CO1/COX1 and MT-ND6/ND6 open reading frames, respectively (PubMed : 37141370). Recognizes non-canonical stop codons via a network of interactions between the codon, MTRF1 and the ribosomal RNA (rRNA) : in contrast to other translation release factors, which identify the codon in the A-site via direct interactions of amino acid side chains with the bases, MTRF1 repositions the first 2 bases of the stop codon to use an intricate network of interactions that includes residues of the release factor, the rRNA of the small ribosomal subunit, as well as neighboring bases of the mRNA (PubMed : 37141370).
See full target information MTRF1

Publications (1)

Recent publications for all applications. Explore the full list and refine your search

International journal of biological sciences 16:2835-2852 PubMed33061800

2020

Rictor promotes cell migration and actin polymerization through regulating ABLIM1 phosphorylation in Hepatocellular Carcinoma.

Applications

Unspecified application

Species

Unspecified reactive species

Xin Dong,Mei Feng,Hui Yang,Hengkang Liu,Hua Guo,Xianshu Gao,Yucun Liu,Rong Liu,Ning Zhang,Ruibing Chen,Ruirui Kong
View all publications

Product promise

We are committed to supporting your work with high-quality reagents, and we're here for you every step of the way. In the unlikely event that one of our products does not perform as expected, you're protected by our Product Promise.
For full details, please see our Terms & Conditions

Please note: All products are 'FOR RESEARCH USE ONLY. NOT FOR USE IN DIAGNOSTIC OR THERAPEUTIC PROCEDURES'.

For licensing inquiries, please contact partnerships@abcam.com