JavaScript is disabled in your browser. Please enable JavaScript to view this website.
AB213681

Anti-MRF antibody

1

(2 Reviews)

|

(2 Publications)

Rabbit Polyclonal MRF antibody. Suitable for IHC-P, WB and reacts with Rat, Mouse samples. Cited in 2 publications. Immunogen corresponding to Synthetic Peptide within Human MYRF aa 450-550 conjugated to Keyhole Limpet Haemocyanin.

View Alternative Names

C11orf9, KIAA0954, MRF, MYRF, Myelin regulatory factor, Myelin gene regulatory factor

2 Images
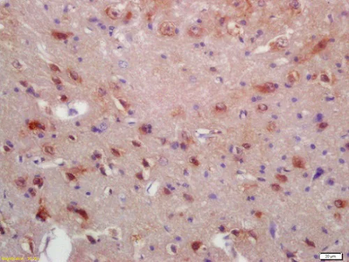
Immunohistochemistry (Formalin/PFA-fixed paraffin-embedded sections) - Anti-MRF antibody (AB213681)
  • IHC-P

Supplier Data

Immunohistochemistry (Formalin/PFA-fixed paraffin-embedded sections) - Anti-MRF antibody (AB213681)

Immunohistochemical analysis of formalin-fixed, paraffin-embedded rat brain tissue labeling MRF with ab213681 at 1/200 dilution, followed by conjugation to the secondary antibody and DAB staining.

Western blot - Anti-MRF antibody (AB213681)
  • WB

Supplier Data

Western blot - Anti-MRF antibody (AB213681)

6% gel

All lanes:

Western blot - Anti-MRF antibody (ab213681) at 1/200 dilution

All lanes:

mouse brain lysate

Secondary

All lanes:

Goat Anti-Rabbit IgG Antibody (H+L), HRP Conjugated at 1/3000 dilution

Predicted band size: 124 kDa

false

Key facts

Host species

Rabbit

Clonality

Polyclonal

Isotype

IgG

Carrier free

No

Reacts with

Mouse, Rat

Applications

IHC-P, WB

applications

Immunogen

Synthetic Peptide within Human MYRF aa 450-550 conjugated to Keyhole Limpet Haemocyanin. The exact immunogen used to generate this antibody is proprietary information.

Q9Y2G1

Reactivity data

{ "title": "Reactivity Data", "filters": { "stats": ["", "Species", "Dilution Info", "Notes"], "tabs": { "all-applications": {"fullname" : "All Applications", "shortname": "All Applications"}, "IHCP" : {"fullname" : "Immunohistochemistry (Formalin/PFA-fixed paraffin-embedded sections)", "shortname":"IHC-P"}, "WB" : {"fullname" : "Western blot", "shortname":"WB"} }, "product-promise": { "all": "all", "testedAndGuaranteed": "tested", "guaranteed": "expected", "predicted": "predicted", "notRecommended": "not-recommended" } }, "values": { "Human": { "IHCP-species-checked": "predicted", "IHCP-species-dilution-info": "", "IHCP-species-notes": "", "WB-species-checked": "predicted", "WB-species-dilution-info": "", "WB-species-notes": "" }, "Mouse": { "IHCP-species-checked": "guaranteed", "IHCP-species-dilution-info": "", "IHCP-species-notes": "", "WB-species-checked": "testedAndGuaranteed", "WB-species-dilution-info": "1/100 - 1/1000", "WB-species-notes": "<p></p>" }, "Rat": { "IHCP-species-checked": "testedAndGuaranteed", "IHCP-species-dilution-info": "1/100 - 1/500", "IHCP-species-notes": "<p></p> Perform heat-mediated antigen retrieval with citrate buffer pH 6 before commencing with IHC staining protocol.", "WB-species-checked": "guaranteed", "WB-species-dilution-info": "", "WB-species-notes": "" } } }

Properties and storage information

Form
Liquid
Purification technique
Affinity purification Protein A
Storage buffer
pH: 7.4 Preservative: 0.02% Proclin 300 Constituents: 50% Glycerol (glycerin, glycerine), 48.98% TBS, 1X, 1% BSA
Shipped at conditions
Blue Ice
Appropriate short-term storage duration
1-2 weeks
Appropriate short-term storage conditions
+4°C
Appropriate long-term storage conditions
-20°C
Aliquoting information
Upon delivery aliquot
Storage information
Avoid freeze / thaw cycle

Supplementary information

This supplementary information is collated from multiple sources and compiled automatically.

MRF also known as Myelin Gene Regulatory Factor is a protein that functions in regulating myelin gene expression. It is an 81 kDa protein that plays an important role in the development and maintenance of the myelin sheath in the nervous system. MRF is strongly expressed in oligodendrocytes of the central nervous system which are cells responsible for producing the myelin sheath. It acts mechanistically by activating transcription of genes associated with myelin production ensuring proper neural transmission.
Biological function summary

MRF is essential for myelination in the central nervous system. It acts as a transcription factor coordinating the expression of specific myelin-associated genes. MRF does not function alone; it operates as part of a larger transcriptional complex that involves other regulatory proteins. This complex fine-tunes the expression of myelin genes facilitating the proper assembly of the myelin sheath that insulates nerve fibers and ensures rapid signal conduction.

Pathways

MRF is important for the differentiation and maturation of oligodendrocytes. It integrates into oligodendrocyte differentiation pathways particularly involving the Wnt signaling pathway. This pathway regulates the expression of myelin-basic proteins and supports neural cell development. MRF also interacts with transcriptional proteins such as OLIG2 which are vital for the proliferation of precursor cells and subsequent myelination processes.

MRF dysfunction is linked to demyelinating diseases like multiple sclerosis and leukodystrophies. In multiple sclerosis MRF fails to activate the necessary myelin genes leading to improper myelin sheath maintenance. This disorder includes OLIG2-related disruptions affecting oligodendrocyte function and myelin production. MRF's role in leukodystrophies a group of genetic disorders affecting myelin shows how its regulatory functions are critical for proper myelin formation and neurological health.

Product protocols

For this product, it's our understanding that no specific protocols are required. You can visit:

Target data

Myelin regulatory factor. Constitutes a precursor of the transcription factor. Mediates the autocatalytic cleavage that releases the Myelin regulatory factor, N-terminal component that specifically activates transcription of central nervous system (CNS) myelin genes (PubMed : 23966832).. Myelin regulatory factor, C-terminal. Membrane-bound part that has no transcription factor activity and remains attached to the endoplasmic reticulum membrane following cleavage.. Myelin regulatory factor, N-terminal. Transcription factor that specifically activates expression of myelin genes such as MBP, MOG, MAG, DUSP15 and PLP1 during oligodendrocyte (OL) maturation, thereby playing a central role in oligodendrocyte maturation and CNS myelination. Specifically recognizes and binds DNA sequence 5'-CTGGYAC-3' in the regulatory regions of myelin-specific genes and directly activates their expression. Not only required during oligodendrocyte differentiation but is also required on an ongoing basis for the maintenance of expression of myelin genes and for the maintenance of a mature, viable oligodendrocyte phenotype (PubMed : 23966832).
See full target information MYRF

Publications (2)

Recent publications for all applications. Explore the full list and refine your search

Journal of cellular signaling 2:9-26 PubMed33554216

2021

FOXP1 Interacts with MyoD to Repress its Transcription and Myoblast Conversion.

Applications

Unspecified application

Species

Unspecified reactive species

Woodring E Wright,Chuan Li,Chang-Xue Zheng,Haley O Tucker

Glia 67:1775-1792 PubMed31184779

2019

BRCA1/BRCA2-containing complex subunit 3 controls oligodendrocyte differentiation by dynamically regulating lysine 63-linked ubiquitination.

Applications

Unspecified application

Species

Unspecified reactive species

Chih-Yen Wang,Benjamin Deneen,Shun-Fen Tzeng
View all publications

Product promise

We are committed to supporting your work with high-quality reagents, and we're here for you every step of the way. In the unlikely event that one of our products does not perform as expected, you're protected by our Product Promise.
For full details, please see our Terms & Conditions

Please note: All products are 'FOR RESEARCH USE ONLY. NOT FOR USE IN DIAGNOSTIC OR THERAPEUTIC PROCEDURES'.

For licensing inquiries, please contact partnerships@abcam.com