JavaScript is disabled in your browser. Please enable JavaScript to view this website.
AB246926

Anti-MRI antibody

Be the first to review this product! Submit a review

|

(0 Publication)

Rabbit Polyclonal MRI antibody. Suitable for IHC-P, WB, ICC/IF and reacts with Human samples. Immunogen corresponding to Recombinant Fragment Protein within Human CYREN aa 1 to C-terminus.

View Alternative Names

C7orf49, MRI, CYREN, Cell cycle regulator of non-homologous end joining, Cell cycle regulator of NHEJ, Modulator of retrovirus infection homolog

6 Images
Immunohistochemistry (Formalin/PFA-fixed paraffin-embedded sections) - Anti-MRI antibody (AB246926)
  • IHC-P

Supplier Data

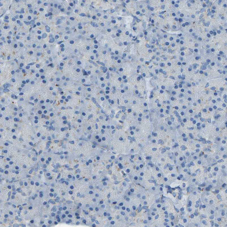
Immunohistochemistry (Formalin/PFA-fixed paraffin-embedded sections) - Anti-MRI antibody (AB246926)

Formalin-fixed, paraffin-embedded human pancreas tissue shows absence of immunoreactivity for MRI when incubated with ab246296 at a 1/50 dilution (negative control).

Immunohistochemistry (Formalin/PFA-fixed paraffin-embedded sections) - Anti-MRI antibody (AB246926)
  • IHC-P

Supplier Data

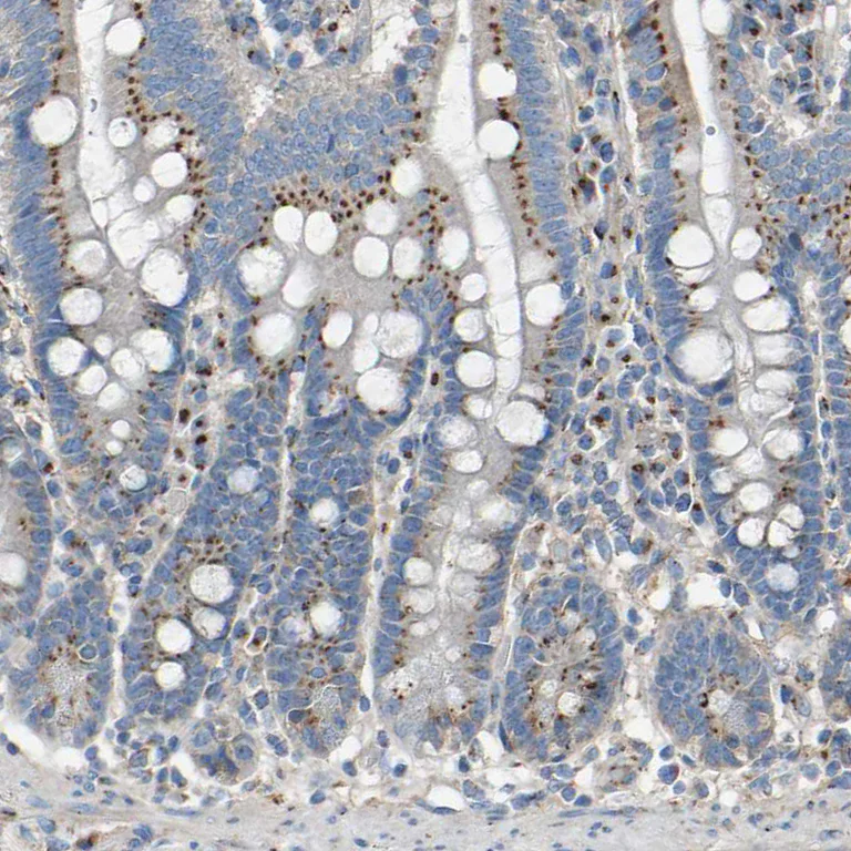
Immunohistochemistry (Formalin/PFA-fixed paraffin-embedded sections) - Anti-MRI antibody (AB246926)

Formalin-fixed, paraffin-embedded human duodenum tissue stained for MRI with ab246926 at a 1/50 dilution in immunohistochemical analysis.

Immunohistochemistry (Formalin/PFA-fixed paraffin-embedded sections) - Anti-MRI antibody (AB246926)
  • IHC-P

Supplier Data

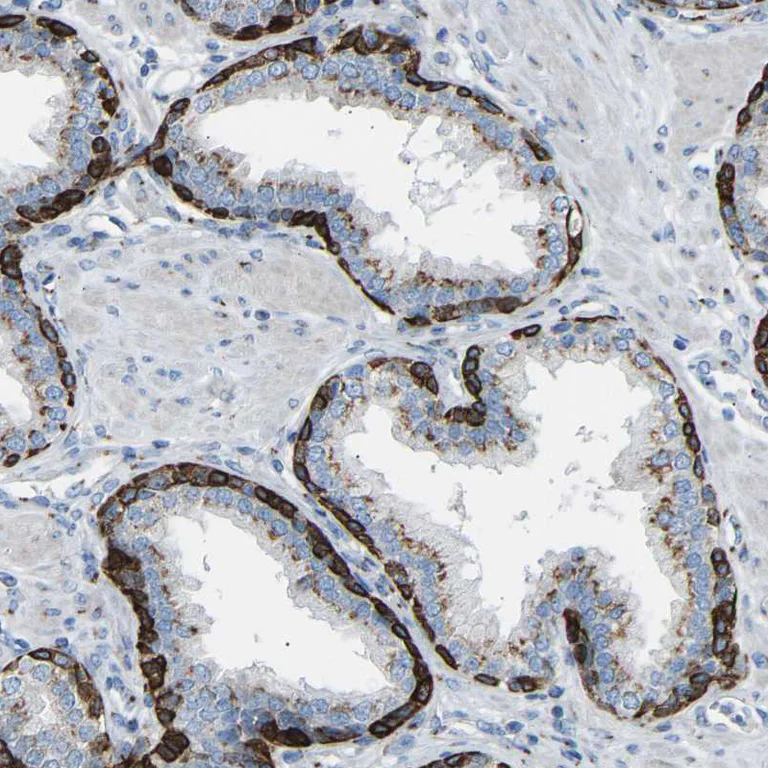
Immunohistochemistry (Formalin/PFA-fixed paraffin-embedded sections) - Anti-MRI antibody (AB246926)

Formalin-fixed, paraffin-embedded human prostate tissue stained for MRI with ab246926 at a 1/50 dilution in immunohistochemical analysis.

Western blot - Anti-MRI antibody (AB246926)
  • WB

Unknown

Western blot - Anti-MRI antibody (AB246926)

All lanes:

Western blot - Anti-MRI antibody (ab246926) at 0.4 µg/mL

Lane 1:

Vector only transfected HEK-293T (Human epithelial cell line from embryonic kidney transformed with large T antigen) lysate

Lane 2:

MRI overexpression HEK-293T lysate

Predicted band size: 17 kDa

false

Immunocytochemistry/ Immunofluorescence - Anti-MRI antibody (AB246926)
  • ICC/IF

Unknown

Immunocytochemistry/ Immunofluorescence - Anti-MRI antibody (AB246926)

PFA fixed, Triton X-100 permeabilized U-251 MG (Human brain glioma cell line) cells labeling MRI using ab246926 at 4 μg/ml (green) in ICC/IF.

Immunohistochemistry (Formalin/PFA-fixed paraffin-embedded sections) - Anti-MRI antibody (AB246926)
  • IHC-P

Unknown

Immunohistochemistry (Formalin/PFA-fixed paraffin-embedded sections) - Anti-MRI antibody (AB246926)

Formalin-fixed, paraffin-embedded human cerebral cortex tissue stained for MRI with ab246926 at a 1/50 dilution in immunohistochemical analysis.

Key facts

Host species

Rabbit

Clonality

Polyclonal

Isotype

IgG

Carrier free

No

Reacts with

Human

Applications

WB, ICC/IF, IHC-P

applications

Immunogen

Recombinant Fragment Protein within Human CYREN aa 1 to C-terminus. The exact immunogen used to generate this antibody is proprietary information.

Q9BWK5

Reactivity data

{ "title": "Reactivity Data", "filters": { "stats": ["", "Species", "Dilution Info", "Notes"], "tabs": { "all-applications": {"fullname" : "All Applications", "shortname": "All Applications"}, "IHCP" : {"fullname" : "Immunohistochemistry (Formalin/PFA-fixed paraffin-embedded sections)", "shortname":"IHC-P"}, "WB" : {"fullname" : "Western blot", "shortname":"WB"}, "ICCIF" : {"fullname" : "Immunocytochemistry/ Immunofluorescence", "shortname":"ICC/IF"} }, "product-promise": { "all": "all", "testedAndGuaranteed": "tested", "guaranteed": "expected", "predicted": "predicted", "notRecommended": "not-recommended" } }, "values": { "Human": { "IHCP-species-checked": "testedAndGuaranteed", "IHCP-species-dilution-info": "1/50 - 1/200", "IHCP-species-notes": "<p></p> Perform heat-mediated antigen retrieval with citrate buffer pH 6 before commencing with IHC staining protocol.", "WB-species-checked": "testedAndGuaranteed", "WB-species-dilution-info": "0.04-0.4 µg/mL", "WB-species-notes": "<p></p>", "ICCIF-species-checked": "testedAndGuaranteed", "ICCIF-species-dilution-info": "0.25-2 µg/mL", "ICCIF-species-notes": "<p>Fixation/Permeabilization: PFA/Triton X-100</p>" } } }

Properties and storage information

Form
Liquid
Purification technique
Affinity purification Immunogen
Storage buffer
pH: 7.2 Preservative: 0.02% Sodium azide Constituents: PBS, 40% Glycerol (glycerin, glycerine)
Shipped at conditions
Blue Ice
Appropriate short-term storage duration
1-2 weeks
Appropriate short-term storage conditions
+4°C
Appropriate long-term storage conditions
-20°C
Aliquoting information
Upon delivery aliquot
Storage information
Avoid freeze / thaw cycle

Supplementary information

This supplementary information is collated from multiple sources and compiled automatically.

Magnetic Resonance Imaging (MRI) is not a protein or biological target in the traditional sense but is a powerful imaging technique used in the life sciences. MRI functions mechanically by generating strong magnetic fields and radio waves to produce detailed images of organs and tissues. It does not express any mass because it is an instrument not a biomolecule. MRI is widely used across many fields and is essential in hospitals and research settings. Despite not being a protein MRI relies on the interaction with hydrogen protons particularly prevalent in water and fat to provide high-resolution images of soft tissues.
Biological function summary

MRI provides critical insights into the structure and function of the human body by visualizing soft tissues in great detail. This technology plays a powerful role in identifying the complex anatomy of tissues and organs giving it a significant presence in medical diagnostics. MRI can assess functional aspects of biological processes through techniques like functional MRI (fMRI) which measures brain activity by detecting changes in blood flow. Though MRI is not a biological molecule or part of any specific complex it contributes substantially to biological research by helping understand tissue composition and organ dysfunctions.

Pathways

MRI significantly impacts the study of biological processes and pathways by allowing detailed observation of real-time physiological processes. MRI is indispensable in evaluating the pathways related to neurological and cardiovascular systems. For example it aids in the visualization of neural connections and the assessment of blood vessels offering insights into the dynamic processes within these networks. Despite not being directly involved with molecular pathways MRI complements studies involving proteins such as those implicated in neural signaling or cardiac muscle contractions by enabling precise structural and functional assessments.

MRI offers invaluable aid in diagnosing and monitoring various conditions including brain disorders and cardiovascular diseases. MRI’s high-resolution imaging helps identify abnormalities like tumors lesions or ischemic areas with precision often involving proteins like amyloid beta in Alzheimer's disease or troponin in conditions related to the heart. By visualizing disease progression or treatment impact MRI supports the understanding and management of these disorders making it an important tool in clinical practice and research.

Product protocols

For this product, it's our understanding that no specific protocols are required. You can visit:

Target data

Cell-cycle-specific regulator of classical non-homologous end joining (NHEJ) of DNA double-strand break (DSB) repair, which can act both as an activator or inhibitor of NHEJ, depending on the cell cycle phase (PubMed : 24610814, PubMed : 28959974). Acts as a regulator of DNA repair pathway choice by specifically inhibiting classical NHEJ during the S and G2 phases, thereby promoting error-free repair by homologous recombination during cell cycle phases when sister chromatids are present (PubMed : 28959974). Preferentially protects single-stranded overhangs at break sites by inhibiting classical NHEJ, thereby creating a local environment that favors homologous recombination (PubMed : 28959974). Acts via interaction with XRCC5/Ku80 and XRCC6/Ku70 (PubMed : 28959974). In contrast, acts as an activator of NHEJ during G1 phase of the cell cycle : promotes classical NHEJ in G1 phase cells via multivalent interactions that increase the affinity of DNA damage response proteins for DSB-associated chromatin. Also involved in immunoglobulin V(D)J recombination (By similarity). May also act as an indirect regulator of proteasome (By similarity).
See full target information CYREN

Product promise

We are committed to supporting your work with high-quality reagents, and we're here for you every step of the way. In the unlikely event that one of our products does not perform as expected, you're protected by our Product Promise.
For full details, please see our Terms & Conditions

Please note: All products are 'FOR RESEARCH USE ONLY. NOT FOR USE IN DIAGNOSTIC OR THERAPEUTIC PROCEDURES'.

For licensing inquiries, please contact partnerships@abcam.com