JavaScript is disabled in your browser. Please enable JavaScript to view this website.
AB234104

Anti-MRP1 antibody [EPR21061] - BSA and Azide free

Be the first to review this product! Submit a review

|

(1 Publication)

Rabbit Recombinant Monoclonal MRP1 antibody. Carrier free. Suitable for WB, IHC-P and reacts with Human samples. Cited in 1 publication.

View Alternative Names

MRP, MRP1, ABCC1, Multidrug resistance-associated protein 1, ATP-binding cassette sub-family C member 1, Glutathione-S-conjugate-translocating ATPase ABCC1, Leukotriene C(4) transporter, LTC4 transporter

6 Images
Immunohistochemistry (Formalin/PFA-fixed paraffin-embedded sections) - Anti-MRP1 antibody [EPR21061] - BSA and Azide free (AB234104)
  • IHC-P

Supplier Data

Immunohistochemistry (Formalin/PFA-fixed paraffin-embedded sections) - Anti-MRP1 antibody [EPR21061] - BSA and Azide free (AB234104)

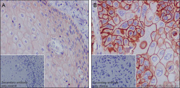
Immunohistochemical analysis of paraffin-embedded human esophagus cancer (B) and its adjacent noncancerous tissue (A) labeling MRP1 with ab230948 at 1/250 dilution, followed by a ready to use Goat Anti-Rabbit IgG H&L (HRP). Strong membranous staining in human esophageal cancer tissue (B) with weak staining in its adjacent noncancerous tissue (A) (PMID : 26870278) is observed. Counter stained with Hematoxylin.
Secondary antibody only control : Used PBS instead of primary antibody, secondary antibody is a ready to use Goat Anti-Rabbit IgG H&L (HRP). Perform heat mediated antigen retrieval using ab93684 (Tris/EDTA buffer, pH 9.0).

This data was developed using the same antibody clone in a different buffer formulation containing PBS, BSA, glycerol, and sodium azide (ab230948).

Immunohistochemistry (Formalin/PFA-fixed paraffin-embedded sections) - Anti-MRP1 antibody [EPR21061] - BSA and Azide free (AB234104)
  • IHC-P

Supplier Data

Immunohistochemistry (Formalin/PFA-fixed paraffin-embedded sections) - Anti-MRP1 antibody [EPR21061] - BSA and Azide free (AB234104)

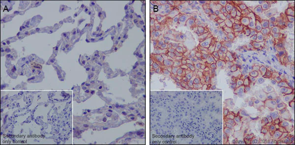
Immunohistochemical analysis of paraffin-embedded human lung cancer (B) and its adjacent noncancerous tissue (A) labeling MRP1 with ab230948 at 1/250 dilution, followed by a ready to use Goat Anti-Rabbit IgG H&L (HRP). Strong membranous and cytoplasmic staining in human lung cancer tissue (B) with weak staining in its adjacent noncancerous tissue (A) (PMID : 23667609) is observed. Counter stained with Hematoxylin.
Secondary antibody only control : Used PBS instead of primary antibody, secondary antibody is a ready to use Goat Anti-Rabbit IgG H&L (HRP).

Perform heat mediated antigen retrieval using ab93684 (Tris/EDTA buffer, pH 9.0).

This data was developed using the same antibody clone in a different buffer formulation containing PBS, BSA, glycerol, and sodium azide (ab230948).

Immunohistochemistry (Formalin/PFA-fixed paraffin-embedded sections) - Anti-MRP1 antibody [EPR21061] - BSA and Azide free (AB234104)
  • IHC-P

Supplier Data

Immunohistochemistry (Formalin/PFA-fixed paraffin-embedded sections) - Anti-MRP1 antibody [EPR21061] - BSA and Azide free (AB234104)

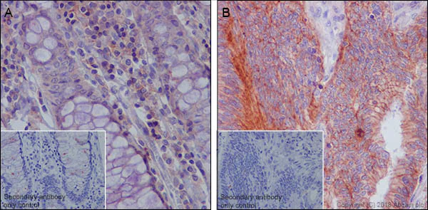
Immunohistochemical analysis of paraffin-embedded human colon cancer (B) and its adjacent noncancerous tissue (A) labeling MRP1 with ab230948 at 1/250 dilution, followed by a ready to use Goat Anti-Rabbit IgG H&L (HRP). Strong membranous and cytoplasmic staining in human colon cancer tissue (B) with weak staining in its adjacent noncancerous tissue (A) (PMID : 23667609) is observed. Counter stained with Hematoxylin.
Secondary antibody only control : Used PBS instead of primary antibody, secondary antibody is a ready to use Goat Anti-Rabbit IgG H&L (HRP).

Perform heat mediated antigen retrieval using ab93684 (Tris/EDTA buffer, pH 9.0).

This data was developed using the same antibody clone in a different buffer formulation containing PBS, BSA, glycerol, and sodium azide (ab230948).

Flow Cytometry (Intracellular) - Anti-MRP1 antibody [EPR21061] - BSA and Azide free (AB234104)
  • Flow Cyt (Intra)

Unknown

Flow Cytometry (Intracellular) - Anti-MRP1 antibody [EPR21061] - BSA and Azide free (AB234104)

Intracellular flow cytometric analysis of 4% paraformaldehyde-fixed, 90% methanol permeabilized HeLa (human cervix adenocarcinoma epithelial cell) cell line labeling MRP1 with ab230948 at 1/50 (red) compared with a Rabbit monoclonal IgG (ab172730) (black) and an unlabeled control (cells incubated with secondary antibody only) (blue). Goat anti rabbit IgG (Alexa Fluor® 488, ab150077), at 1/2000 dilution was used as the secondary antibody.

This data was developed using the same antibody clone in a different buffer formulation containing PBS, BSA, glycerol, and sodium azide (ab230948).

Western blot - Anti-MRP1 antibody [EPR21061] - BSA and Azide free (AB234104)
  • WB

Lab

Western blot - Anti-MRP1 antibody [EPR21061] - BSA and Azide free (AB234104)

This data was developed using the same antibody clone in a different buffer formulation (ab230948).

Lanes 1 - 4 : Merged signal (red and green). Green - ab230948 observed at 170 kDa. Red - loading control ab7291 (Mouse anti-Alpha Tubulin [DM1A]) observed at 55 kDa.

ab230948 was shown to react with MRP1 in wild-type HeLa cells in Western blot with loss of signal observed in ABCC1 knockout cell line None (ABCC1 knockout cell lysate None). Wild-type HeLa and ABCC1 knockout cell lysates were subjected to SDS-PAGE. Membranes were blocked in 3 % milk in TBS-T (0.1 % Tween®) before incubation with ab230948 and ab7291 (Mouse anti-Alpha Tubulin [DM1A]) overnight at 4 °C at a 1 in 1000 dilution and a 1 in 20000 dilution respectively. Blots were incubated with Goat anti-Rabbit IgG H&L (IRDye® 800CW) preabsorbed (ab216773) and Goat anti-Mouse IgG H&L (IRDye® 680RD) preabsorbed (ab216776) secondary antibodies at 1 in 20000 dilution for 1 h at room temperature before imaging.

All lanes:

Western blot - Anti-MRP1 antibody [EPR21061] (<a href='/en-us/products/primary-antibodies/mrp1-antibody-epr21061-ab230948'>ab230948</a>) at 1/1000 dilution

Lane 1:

Wild-type A549 cell lysate at 20 µg

Lane 2:

ABCC1 knockout A549 cell lysate at 20 µg

Lane 3:

Wild-type HeLa cell lysate at 20 µg

Lane 4:

ABCC1 knockout HeLa cell lysate at 20 µg

Predicted band size: 171 kDa

Observed band size: 170 kDa

false

Western blot - Anti-MRP1 antibody [EPR21061] - BSA and Azide free (AB234104)
  • WB

Lab

Western blot - Anti-MRP1 antibody [EPR21061] - BSA and Azide free (AB234104)

This data was developed using ab230948, the same antibody clone in a different buffer formulation.

Western blot : Rabbit Monoclonal [EPR21061] to MRP1 ab230948 staining at 1/1000 dilution, shown in green; Mouse anti alpha Tubulin (ab7291) loading control staining at 1/20,000 dilution, shown in magenta.

A band was observed at 172 kDa in Wild-type MCF7 cell lysates with no signal observed at this size in abCC1 knockout MCF7 cell line.

To generate this image, samples were run on an SDS-PAGE gel then transferred onto a nitrocellulose membrane. Membranes were blocked in 3pc Milk in TBS-0.1 % Tween® 20 (TBS-T) before incubation with primary antibodies overnight at 4 °C. Blots were washed four times in TBS-T, incubated with secondary antibodies for 1 h at room temperature, washed again four times then imaged.

Secondary antibodies used were Goat anti-Rabbit 800CW & Goat anti-Mouse 680RD at 1/20,000 dilution.

All lanes:

Western blot - Anti-MRP1 antibody [EPR21061] (<a href='/en-us/products/primary-antibodies/mrp1-antibody-epr21061-ab230948'>ab230948</a>) at 1/1000 dilution

Lane 1:

Wild-type MCF7 at 20 µg

Lane 2:

ABCC1 knockout MCF7 at 20 µg

Lane 2:

Western blot - Human ABCC1 knockout MCF7 cell line (<a href='/en-us/products/cell-lines/human-abcc1-knockout-mcf7-cell-line-ab286378'>ab286378</a>) at 20 µg

Lane 3:

DU 145 at 20 µg

Lane 4:

Ramos at 20 µg

Secondary

All lanes:

Goat anti-Rabbit 800CW & Goat anti-Mouse 680RD at 1/20000 dilution

Predicted band size: 172 kDa

Observed band size: 172 kDa

false

Key facts

Host species

Rabbit

Clonality

Monoclonal

Clone number

EPR21061

Isotype

IgG

Carrier free

Yes

Reacts with

Human

Applications

IHC-P, WB

applications

Immunogen

The exact immunogen used to generate this antibody is proprietary information.

Reactivity data

{ "title": "Reactivity Data", "filters": { "stats": ["", "Species", "Dilution Info", "Notes"], "tabs": { "all-applications": {"fullname" : "All Applications", "shortname": "All Applications"}, "WB" : {"fullname" : "Western blot", "shortname":"WB"}, "IHCP" : {"fullname" : "Immunohistochemistry (Formalin/PFA-fixed paraffin-embedded sections)", "shortname":"IHC-P"} }, "product-promise": { "all": "all", "testedAndGuaranteed": "tested", "guaranteed": "expected", "predicted": "predicted", "notRecommended": "not-recommended" } }, "values": { "Human": { "WB-species-checked": "testedAndGuaranteed", "WB-species-dilution-info": "", "WB-species-notes": "<p></p>", "IHCP-species-checked": "testedAndGuaranteed", "IHCP-species-dilution-info": "", "IHCP-species-notes": "<p></p>" } } }

Product details

ab234104 is the carrier-free version of ab230948.

Patented technology
Our RabMAb® technology is a patented hybridoma-based technology for making rabbit monoclonal antibodies. For details on our patents, please refer to RabMAb® patents.

What are the advantages of a recombinant monoclonal antibody?
This product is a recombinant monoclonal antibody, which offers several advantages including:

  • - High batch-to-batch consistency and reproducibility
  • - Improved sensitivity and specificity
  • - Long-term security of supply
  • - Animal-free batch production

For more information, read more on recombinant antibodies.

Conjugation ready
Our carrier-free antibodies are typically supplied in a PBS-only formulation, purified and free of BSA, sodium azide and glycerol. This conjugation-ready format is designed for use with fluorochromes, metal isotopes, oligonucleotides, and enzymes, which makes them ideal for antibody labelling, functional and cell-based assays, flow-based assays (e.g. mass cytometry) and Multiplex Imaging applications.

Use our conjugation kits for antibody conjugates that are ready-to-use in as little as 20 minutes with 1 minute hands-on-time and 100% antibody recovery: available for fluorescent dyes, HRP, biotin and gold.

Compatibility
This product is compatible with the Maxpar® Antibody Labeling Kit from Fluidigm, without the need for antibody preparation. Maxpar® is a trademark of Fluidigm Canada Inc.

Properties and storage information

Form
Liquid
Purification technique
Affinity purification Protein A
Storage buffer
pH: 7.2 - 7.4 Constituents: PBS
Shipped at conditions
Blue Ice
Appropriate short-term storage conditions
+4°C
Appropriate long-term storage conditions
+4°C
Storage information
Do Not Freeze

Supplementary information

This supplementary information is collated from multiple sources and compiled automatically.

MRP1 also known as ABCC1 is a transporter protein with a mass of approximately 190 kDa. This protein belongs to the ATP-binding cassette (ABC) transporter family. MRP1 actively exports a variety of substrates from cells by hydrolyzing ATP to ADP and inorganic phosphate. You can find MRP1 expressed in many tissues including the lung testis and kidney. It helps in cellular detoxification by exporting organic anions and other conjugated metabolites.
Biological function summary

This protein functions as an important determinant of multidrug resistance in cancer treatment. MRP1 can form part of a larger protein complex that includes other transporters like MRP2. Through its activity MRP1 protects tissues from toxic substances by transporting them out of the cell. Its role in transporting glutathione-conjugated compounds highlights its importance in cellular defense mechanisms against oxidative stress and xenobiotics.

Pathways

MRP1 participates in the glutathione metabolism and the xenobiotic efflux pathways. Both pathways involve cellular detoxification and the accumulation of anomalies can cause harmful effects in the body. MRP1 works with proteins such as GSTP1 which conjugates toxic substances with glutathione preparing them for export by MRP1. This coordination ensures efficient detoxification and protection of cells from damage.

MRP1 has associations with several conditions particularly drug resistance in various cancers and chronic obstructive pulmonary disease (COPD). In cancer MRP1 overexpression often results in reduced treatment efficacy due to chemotherapy drugs being expelled from the cell helping to resist their cytotoxic effects. Research indicates a connection between MRP1 and P-glycoprotein (ABCB1) in cancer drug resistance pointing to a broader resistive mechanism in which multiple transporters are involved.

Product protocols

For this product, it's our understanding that no specific protocols are required. You can visit:

Target data

Mediates export of organic anions and drugs from the cytoplasm (PubMed : 10064732, PubMed : 11114332, PubMed : 16230346, PubMed : 7961706, PubMed : 9281595). Mediates ATP-dependent transport of glutathione and glutathione conjugates, leukotriene C4, estradiol-17-beta-o-glucuronide, methotrexate, antiviral drugs and other xenobiotics (PubMed : 10064732, PubMed : 11114332, PubMed : 16230346, PubMed : 7961706, PubMed : 9281595). Confers resistance to anticancer drugs by decreasing accumulation of drug in cells, and by mediating ATP- and GSH-dependent drug export (PubMed : 9281595). Hydrolyzes ATP with low efficiency (PubMed : 16230346). Catalyzes the export of sphingosine 1-phosphate from mast cells independently of their degranulation (PubMed : 17050692). Participates in inflammatory response by allowing export of leukotriene C4 from leukotriene C4-synthezing cells (By similarity). Mediates ATP-dependent, GSH-independent cyclic GMP-AMP (cGAMP) export (PubMed : 36070769). Thus, by limiting intracellular cGAMP concentrations negatively regulates the cGAS-STING pathway (PubMed : 36070769).
See full target information ABCC1

Publications (1)

Recent publications for all applications. Explore the full list and refine your search

Bioengineered 13:13300-13311 PubMed35635079

2022

Dexmedetomidine protects H9C2 rat cardiomyocytes against hypoxia/reoxygenation injury by regulating the long non-coding RNA colon cancer-associated transcript 1/microRNA-8063/Wnt/β-catenin axis.

Applications

Unspecified application

Species

Unspecified reactive species

Chundong Liu,Rui Xu
View all publications

Product promise

We are committed to supporting your work with high-quality reagents, and we're here for you every step of the way. In the unlikely event that one of our products does not perform as expected, you're protected by our Product Promise.
For full details, please see our Terms & Conditions

Please note: All products are 'FOR RESEARCH USE ONLY. NOT FOR USE IN DIAGNOSTIC OR THERAPEUTIC PROCEDURES'.

For licensing inquiries, please contact partnerships@abcam.com