JavaScript is disabled in your browser. Please enable JavaScript to view this website.
AB233383

Anti-MRP1 antibody [EPR21062]

Be the first to review this product! Submit a review

|

(31 Publications)

Rabbit Recombinant Monoclonal MRP1 antibody. Suitable for WB, ICC/IF, IHC-P and reacts with Human samples. Cited in 31 publications.

View Alternative Names

MRP, MRP1, ABCC1, Multidrug resistance-associated protein 1, ATP-binding cassette sub-family C member 1, Glutathione-S-conjugate-translocating ATPase ABCC1, Leukotriene C(4) transporter, LTC4 transporter

9 Images
Immunohistochemistry (Formalin/PFA-fixed paraffin-embedded sections) - Anti-MRP1 antibody [EPR21062] (AB233383)
  • IHC-P

Supplier Data

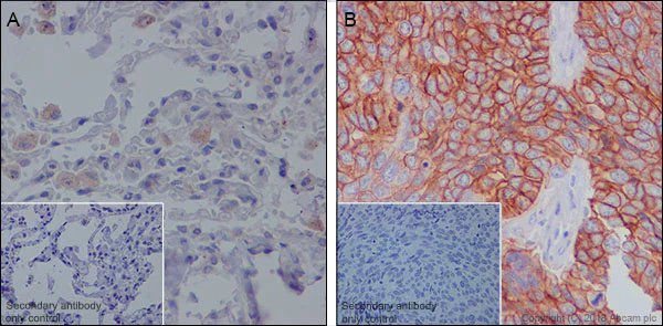
Immunohistochemistry (Formalin/PFA-fixed paraffin-embedded sections) - Anti-MRP1 antibody [EPR21062] (AB233383)

Immunohistochemical analysis of paraffin-embedded human gastric cancer (B) and adjacent non-cancerous stomach tissue (A) labeling MRP1 with ab233383 at 1/4000 dilution, followed by Goat Anti-Rabbit IgG H&L (HRP) ready to use. Membranous and cytoplasmic staining in human gastric cancer tissue (B) with weak staining in its adjacent non-cancerous tissue (A)
(PMID : 23667609) is observed. Counter stained with Hematoxylin.

Secondary antibody only control : Used PBS instead of primary antibody, secondary antibody is Goat Anti-Rabbit IgG H&L (HRP) ready to use.

Perform heat mediated antigen retrieval using ab93684 (Tris/EDTA buffer, pH 9.0).

Immunohistochemistry (Formalin/PFA-fixed paraffin-embedded sections) - Anti-MRP1 antibody [EPR21062] (AB233383)
  • IHC-P

Supplier Data

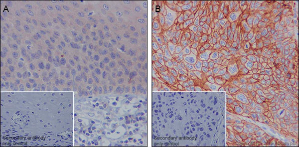
Immunohistochemistry (Formalin/PFA-fixed paraffin-embedded sections) - Anti-MRP1 antibody [EPR21062] (AB233383)

Immunohistochemical analysis of paraffin-embedded human esophagus cancer (B) and adjacent non-cancerous esophagus tissue (A) labeling MRP1 with ab233383 at 1/4000 dilution, followed by Goat Anti-Rabbit IgG H&L (HRP) ready to use. Strong membranous and cytoplasmic staining in human esophageal cancer tissue (B) while staining is weak in its adjacent noncancerous tissue(A) (PMID : 26870278) is observed. Counter stained with Hematoxylin.

Secondary antibody only control : Used PBS instead of primary antibody, secondary antibody is Goat Anti-Rabbit IgG H&L (HRP) ready to use.

Perform heat mediated antigen retrieval using ab93684 (Tris/EDTA buffer, pH 9.0).

Immunocytochemistry/ Immunofluorescence - Anti-MRP1 antibody [EPR21062] (AB233383)
  • ICC/IF

Supplier Data

Immunocytochemistry/ Immunofluorescence - Anti-MRP1 antibody [EPR21062] (AB233383)

Immunofluorescent analysis of 100% methanol-fixed A549 (human lung carcinoma cell line) cells labeling MRP1 with ab233383 at 1/100 dilution, followed by Goat Anti-Rabbit IgG H&L (Alexa Fluor® 488) (ab150077) secondary antibody at 1/1000 dilution (green). Confocal image showing membranous staining in A549 cell line. The nuclear counterstain is DAPI (blue). Tubulin is detected with Anti-alpha Tubulin antibody [DM1A] - Microtubule Marker (Alexa Fluor® 594) (ab195889) at1/200 dilution.

Secondary antibody only control : Used PBS instead of primary antibody, followed by Goat Anti-Rabbit IgG H&L (Alexa Fluor® 488) (ab150077) secondary antibody at 1/1000 dilution.

Immunocytochemistry/ Immunofluorescence - Anti-MRP1 antibody [EPR21062] (AB233383)
  • ICC/IF

Unknown

Immunocytochemistry/ Immunofluorescence - Anti-MRP1 antibody [EPR21062] (AB233383)

ab233383 staining MRP1 in wild-type HeLa cells (top panel) and ABCC1 knockout HeLa cells (ab265256) (bottom panel). The cells were fixed with 4% paraformaldehyde (10 min) then permeabilized with 0.1% Triton X-100 for 5 minutes and then blocked with 1% BSA/10% normal goat serum/0.3M glycine in 0.1% PBS-Tween for 1h. The cells were then incubated with ab233383 at 1/100 dilution and ab7291 (Mouse monoclonal to alpha Tubulin) at 1/1000 dilution overnight at 4°C followed by a further incubation at room temperature for 1h with a goat secondary antibody to rabbit IgG (Alexa Fluor® 488) (ab150081) at 2 μg/ml (shown in green) and a goat secondary antibody to mouse IgG (Alexa Fluor® 594) (ab150120) at 2 μg/ml (shown in red). Nuclear DNA was labelled in blue with DAPI.
Image was taken with a confocal microscope (Leica-Microsystems TCS SP8).

Immunocytochemistry/ Immunofluorescence - Anti-MRP1 antibody [EPR21062] (AB233383)
  • ICC/IF

Supplier Data

Immunocytochemistry/ Immunofluorescence - Anti-MRP1 antibody [EPR21062] (AB233383)

Immunofluorescent analysis of 100% methanol-fixed BxPC-3 (human pancreas adenocarcinoma cell line) cells labeling MRP1 with ab233383 at 1/100 dilution, followed by Goat Anti-Rabbit IgG H&L (Alexa Fluor® 488) (ab150077) secondary antibody at 1/1000 dilution (green). Confocal image showing membranous staining in BxPC-3 cell line. The nuclear counterstain is DAPI (blue). Tubulin is detected with Anti-alpha Tubulin antibody [DM1A] - Microtubule Marker (Alexa Fluor® 594) (ab195889) at 1/200 dilution.

Secondary antibody only control : Used PBS instead of primary antibody, followed by Goat Anti-Rabbit IgG H&L (Alexa Fluor® 488) (ab150077) secondary antibody at 1/1000 dilution.

Immunohistochemistry (Formalin/PFA-fixed paraffin-embedded sections) - Anti-MRP1 antibody [EPR21062] (AB233383)
  • IHC-P

Supplier Data

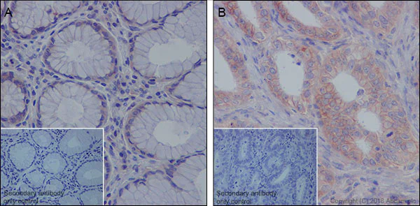
Immunohistochemistry (Formalin/PFA-fixed paraffin-embedded sections) - Anti-MRP1 antibody [EPR21062] (AB233383)

Immunohistochemical analysis of paraffin-embedded human lung cancer (B) and adjacent non-cancerous lung tissue (A) labeling MRP1 with ab233383 at 1/4000 dilution, followed by Goat Anti-Rabbit IgG H&L (HRP) ready to use. Strong membranous and cytoplasmic staining in human lung cancer tissue (B) with weak staining in its adjacent noncancerous tissue (A) (PMID : 23667609) is observed. Counter stained with Hematoxylin.

Secondary antibody only control : Used PBS instead of primary antibody, secondary antibody is Goat Anti-Rabbit IgG H&L (HRP) ready to use.

Perform heat mediated antigen retrieval using ab93684 (Tris/EDTA buffer, pH 9.0).

Western blot - Anti-MRP1 antibody [EPR21062] (AB233383)
  • WB

Lab

Western blot - Anti-MRP1 antibody [EPR21062] (AB233383)

Western blot : Rabbit Monoclonal [EPR21062] to MRP1 ab233383 staining at 1/1000 dilution, shown in green; Mouse anti alpha Tubulin (ab7291) loading control staining at 1/20,000 dilution, shown in magenta.

A band was observed at 172 kDa in Wild-type MCF7 cell lysates with no signal observed at this size in abCC1 knockout MCF7 cell line.

To generate this image, samples were run on an SDS-PAGE gel then transferred onto a nitrocellulose membrane. Membranes were blocked in 3pc Milk in TBS-0.1 % Tween® 20 (TBS-T) before incubation with primary antibodies overnight at 4 °C. Blots were washed four times in TBS-T, incubated with secondary antibodies for 1 h at room temperature, washed again four times then imaged.

Secondary antibodies used were Goat anti-Rabbit 800CW & Goat anti-Mouse 680RD at 1/20,000 dilution.

All lanes:

Western blot - Anti-MRP1 antibody [EPR21062] (ab233383) at 1/1000 dilution

Lane 1:

Wild-type MCF7 at 20 µg

Lane 2:

ABCC1 knockout MCF7 at 20 µg

Lane 2:

Western blot - Human ABCC1 knockout MCF7 cell line (<a href='/en-us/products/cell-lines/human-abcc1-knockout-mcf7-cell-line-ab286378'>ab286378</a>) at 20 µg

Lane 3:

DU 145 at 20 µg

Lane 4:

Ramos at 20 µg

Secondary

All lanes:

Goat anti-Rabbit 800CW & Goat anti-Mouse 680RD at 1/20000 dilution

Predicted band size: 172 kDa

Observed band size: 172 kDa

false

Western blot - Anti-MRP1 antibody [EPR21062] (AB233383)
  • WB

Lab

Western blot - Anti-MRP1 antibody [EPR21062] (AB233383)

Lanes 1-4 : Merged signal (red and green). Green - ab233383 observed at 250 kDa. Red - loading control ab7291 observed at 50 kDa.

ab233383 Anti-MRP1 antibody [EPR21062] was shown to specifically react with MRP1 in wild-type HeLa cells. Loss of signal was observed when knockout cell line ab265256 (knockout cell lysate ab257242) was used. Wild-type and MRP1 knockout samples were subjected to SDS-PAGE. ab233383 and Anti-alpha Tubulin antibody [DM1A] - Loading Control (ab7291) were incubated overnight at 4°C at 1 in 1000 dilution and 1 in 20000 dilution respectively. Blots were developed with Goat anti-Rabbit IgG H&L (IRDye® 800CW) preadsorbed (ab216773) and Goat anti-Mouse IgG H&L (IRDye® 680RD) preadsorbed (ab216776) secondary antibodies at 1 in 20000 dilution for 1 hour at room temperature before imaging.

All lanes:

Western blot - Anti-MRP1 antibody [EPR21062] (ab233383) at 1/1000 dilution

Lane 1:

Wild-type HeLa (Human epithelial cell line from cervix adenocarcinoma) whole cell lysate at 20 µg

Lane 2:

MRP1 knockout HeLa (Human epithelial cell line from cervix adenocarcinoma) whole cell lysate at 20 µg

Lane 2:

Western blot - Human ABCC1 (MRP1) knockout HeLa cell line (<a href='/en-us/products/cell-lines/human-abcc1-mrp1-knockout-hela-cell-line-ab265256'>ab265256</a>)

Lane 3:

Wild-type A549 (Human lung carcinoma cell line) whole cell lysate at 20 µg

Lane 4:

MRP1 knockout A549 (Human lung carcinoma cell line) whole cell lysate at 20 µg

Secondary

All lanes:

Western blot - Goat anti-Rabbit IgG H&L (IRDye® 800CW) preadsorbed (<a href='/en-us/products/secondary-antibodies/goat-rabbit-igg-h-l-irdye-800cw-preadsorbed-ab216773'>ab216773</a>) at 1/20000 dilution

Predicted band size: 171 kDa

Observed band size: 250 kDa

false

Western blot - Anti-MRP1 antibody [EPR21062] (AB233383)
  • WB

Supplier Data

Western blot - Anti-MRP1 antibody [EPR21062] (AB233383)

Blocking and dilution buffer : 5% NFDM/TBST.

The expression profile is consistent with what has been described in the literature (PMID : 22353810).

All lanes:

Western blot - Anti-MRP1 antibody [EPR21062] (ab233383) at 1/1000 dilution

Lane 1:

HeLa (human epithelial cell line from cervix adenocarcinoma) whole cell lysate at 10 µg

Lane 2:

A549 (human lung carcinoma cell line) whole cell lysate at 10 µg

Lane 3:

BxPC-3 (human pancreas adenocarcinoma cell line) whole cell lysate at 10 µg

Lane 4:

SK-OV-3 (human ovarian cancer cell line) whole cell lysate at 10 µg

Lane 5:

HCT 116 (human colorectal carcinoma cell line) whole cell lysate at 10 µg

Secondary

All lanes:

Western blot - Goat Anti-Rabbit IgG H&L (HRP) (<a href='/en-us/products/secondary-antibodies/goat-rabbit-igg-h-l-hrp-ab97051'>ab97051</a>) at 1/50000 dilution

Predicted band size: 171 kDa

Observed band size: 250 kDa

true

Exposure time: 3min

  • Carrier free

    Anti-MRP1 antibody [EPR21062] - BSA and Azide free

Key facts

Host species

Rabbit

Clonality

Monoclonal

Clone number

EPR21062

Isotype

IgG

Carrier free

No

Reacts with

Human

Applications

ICC/IF, IHC-P, WB

applications

Immunogen

The exact immunogen used to generate this antibody is proprietary information.

Reactivity data

{ "title": "Reactivity Data", "filters": { "stats": ["", "Species", "Dilution Info", "Notes"], "tabs": { "all-applications": {"fullname" : "All Applications", "shortname": "All Applications"}, "WB" : {"fullname" : "Western blot", "shortname":"WB"}, "ICCIF" : {"fullname" : "Immunocytochemistry/ Immunofluorescence", "shortname":"ICC/IF"}, "IHCP" : {"fullname" : "Immunohistochemistry (Formalin/PFA-fixed paraffin-embedded sections)", "shortname":"IHC-P"} }, "product-promise": { "all": "all", "testedAndGuaranteed": "tested", "guaranteed": "expected", "predicted": "predicted", "notRecommended": "not-recommended" } }, "values": { "Human": { "WB-species-checked": "testedAndGuaranteed", "WB-species-dilution-info": "1/1000", "WB-species-notes": "<p></p>", "ICCIF-species-checked": "testedAndGuaranteed", "ICCIF-species-dilution-info": "1/100", "ICCIF-species-notes": "<p></p>", "IHCP-species-checked": "testedAndGuaranteed", "IHCP-species-dilution-info": "1/4000", "IHCP-species-notes": "<p></p>" } } }

Product details

Patented technology
Our RabMAb® technology is a patented hybridoma-based technology for making rabbit monoclonal antibodies. For details on our patents, please refer to RabMAb® patents.

What are the advantages of a recombinant monoclonal antibody?
This product is a recombinant monoclonal antibody, which offers several advantages including:

  • - High batch-to-batch consistency and reproducibility
  • - Improved sensitivity and specificity
  • - Long-term security of supply
  • - Animal-free batch production

For more information, read more on recombinant antibodies.

Properties and storage information

Form
Liquid
Purification technique
Affinity purification Protein A
Storage buffer
pH: 7.2 - 7.4 Preservative: 0.01% Sodium azide Constituents: PBS, 40% Glycerol (glycerin, glycerine), 0.05% BSA
Shipped at conditions
Blue Ice
Appropriate short-term storage duration
1-2 weeks
Appropriate short-term storage conditions
+4°C
Appropriate long-term storage conditions
-20°C
Aliquoting information
Upon delivery aliquot
Storage information
Avoid freeze / thaw cycle

Supplementary information

This supplementary information is collated from multiple sources and compiled automatically.

MRP1 also known as ABCC1 is a transporter protein with a mass of approximately 190 kDa. This protein belongs to the ATP-binding cassette (ABC) transporter family. MRP1 actively exports a variety of substrates from cells by hydrolyzing ATP to ADP and inorganic phosphate. You can find MRP1 expressed in many tissues including the lung testis and kidney. It helps in cellular detoxification by exporting organic anions and other conjugated metabolites.
Biological function summary

This protein functions as an important determinant of multidrug resistance in cancer treatment. MRP1 can form part of a larger protein complex that includes other transporters like MRP2. Through its activity MRP1 protects tissues from toxic substances by transporting them out of the cell. Its role in transporting glutathione-conjugated compounds highlights its importance in cellular defense mechanisms against oxidative stress and xenobiotics.

Pathways

MRP1 participates in the glutathione metabolism and the xenobiotic efflux pathways. Both pathways involve cellular detoxification and the accumulation of anomalies can cause harmful effects in the body. MRP1 works with proteins such as GSTP1 which conjugates toxic substances with glutathione preparing them for export by MRP1. This coordination ensures efficient detoxification and protection of cells from damage.

MRP1 has associations with several conditions particularly drug resistance in various cancers and chronic obstructive pulmonary disease (COPD). In cancer MRP1 overexpression often results in reduced treatment efficacy due to chemotherapy drugs being expelled from the cell helping to resist their cytotoxic effects. Research indicates a connection between MRP1 and P-glycoprotein (ABCB1) in cancer drug resistance pointing to a broader resistive mechanism in which multiple transporters are involved.

Product protocols

For this product, it's our understanding that no specific protocols are required. You can visit:

Target data

Mediates export of organic anions and drugs from the cytoplasm (PubMed : 10064732, PubMed : 11114332, PubMed : 16230346, PubMed : 7961706, PubMed : 9281595). Mediates ATP-dependent transport of glutathione and glutathione conjugates, leukotriene C4, estradiol-17-beta-o-glucuronide, methotrexate, antiviral drugs and other xenobiotics (PubMed : 10064732, PubMed : 11114332, PubMed : 16230346, PubMed : 7961706, PubMed : 9281595). Confers resistance to anticancer drugs by decreasing accumulation of drug in cells, and by mediating ATP- and GSH-dependent drug export (PubMed : 9281595). Hydrolyzes ATP with low efficiency (PubMed : 16230346). Catalyzes the export of sphingosine 1-phosphate from mast cells independently of their degranulation (PubMed : 17050692). Participates in inflammatory response by allowing export of leukotriene C4 from leukotriene C4-synthezing cells (By similarity). Mediates ATP-dependent, GSH-independent cyclic GMP-AMP (cGAMP) export (PubMed : 36070769). Thus, by limiting intracellular cGAMP concentrations negatively regulates the cGAS-STING pathway (PubMed : 36070769).
See full target information ABCC1

Publications (31)

Recent publications for all applications. Explore the full list and refine your search

Regenerative biomaterials 12:rbaf056 PubMed40741620

2025

Matrix stiffness boosts PDAC chemoresistance via SCD1-dependent lipid metabolic reprogramming.

Applications

Unspecified application

Species

Unspecified reactive species

Xue Zhang,Biwen Zhu,Jiashuai Yan,Xi Chen,Di Wu,Zhen Wang,Xiaoqi Guan,Yan Huang,Yahong Zhao,Yumin Yang,Yibing Guo

Journal, genetic engineering & biotechnology 23:100496 PubMed40390503

2025

Co-expression of HIF1A with multi-drug transporters (P-GP, MRP1, and BCRP) in chemoresistant breast, colorectal, and ovarian cancer cells.

Applications

Unspecified application

Species

Unspecified reactive species

Sudipta Deb Nath,Md Tamzid Hossain Tanim,Md Mahmudul Hasan Akash,Mohammad Golam Mostafa,Abu Ashfaqur Sajib

International journal of molecular sciences 26: PubMed40362377

2025

Acridine-Based Chalcone 1C and ABC Transporters.

Applications

Unspecified application

Species

Unspecified reactive species

Ondrej Franko,Martina Čižmáriková,Martin Kello,Radka Michalková,Olga Wesołowska,Kamila Środa-Pomianek,Sérgio M Marques,David Bednář,Viktória Háziková,Tomáš Ján Liška,Viera Habalová

Cell division 20:9 PubMed40251670

2025

METTL16/IGF2BP2 axis enhances malignant progression and DDP resistance through up-regulating COL4A1 by mediating the m6A methylation modification of LAMA4 in hepatocellular carcinoma.

Applications

Unspecified application

Species

Unspecified reactive species

Liming Cao,Wei Bi

British journal of pharmacology 182:2049-2066 PubMed39909477

2025

Silencing drug transporters in human primary muscle cells modulates atorvastatin pharmacokinetics: A pilot study.

Applications

Unspecified application

Species

Unspecified reactive species

Emilia Hoste,Louise Deldicque,Giulio G Muccioli,Nadtha Panin,Romano Terrasi,Adrien Paquot,Maxime Lingurski,Sébastien Pyr Dit Ruys,Vincent Haufroid,Laure Elens

Journal of biochemical and molecular toxicology 38:e23830 PubMed39467212

2024

Knockdown of circ_0006225 overcomes resistance to cisplatin and suppresses growth in lung cancer by miR-1236-3p/ANKRD22 axis.

Applications

Unspecified application

Species

Unspecified reactive species

Shengyi Zhong,Yanxing Li,Xiaofeng Zhu,Zhenhua Li,Chi Jin,Yuming Zhao

Journal of nanobiotechnology 21:393 PubMed37898773

2023

A carrier-free supramolecular nano-twin-drug for overcoming irinotecan-resistance and enhancing efficacy against colorectal cancer.

Applications

Unspecified application

Species

Unspecified reactive species

Miaomiao Yuan,Tong Chen,Lu Jin,Peng Zhang,Luoyijun Xie,Shuyi Zhou,Lianfeng Fan,Li Wang,Cai Zhang,Ning Tang,LiHao Guo,Chengmei Xie,Yanhong Duo,Ling Li,Leilei Shi

Experimental dermatology 32:529-541 PubMed36635223

2023

Circ_0001402 knockdown suppresses the chemoresistance and development of DDP-resistant cutaneous squamous cell carcinoma cells by functioning as a ceRNA for miR-625-5p.

Applications

Unspecified application

Species

Unspecified reactive species

Min Li,Ming Luo,Pei Liu,Runchao Wang,Haixia Jing

Open medicine (Warsaw, Poland) 17:1568-1583 PubMed36304135

2022

circ-LIMK1 regulates cisplatin resistance in lung adenocarcinoma by targeting miR-512-5p/HMGA1 axis.

Applications

Unspecified application

Species

Unspecified reactive species

Ya Li,Fangfang Li,Yaya Wang,Fangyu Song,Lin Qi,Qiang Hu

International journal of nanomedicine 17:3443-3456 PubMed35959279

2022

Investigation of the "Nose-to-Brain" Pathways in Intranasal HupA Nanoemulsions and Evaluation of Their in vivo Pharmacokinetics and Brain-Targeting Ability.

Applications

Unspecified application

Species

Unspecified reactive species

Yueyao Jiang,Yichuan Jiang,Zhiying Ding,Qian Yu
View all publications

Product promise

We are committed to supporting your work with high-quality reagents, and we're here for you every step of the way. In the unlikely event that one of our products does not perform as expected, you're protected by our Product Promise.
For full details, please see our Terms & Conditions

Please note: All products are 'FOR RESEARCH USE ONLY. NOT FOR USE IN DIAGNOSTIC OR THERAPEUTIC PROCEDURES'.

For licensing inquiries, please contact partnerships@abcam.com