JavaScript is disabled in your browser. Please enable JavaScript to view this website.
AB234098

Anti-MRP1 antibody [EPR21062] - BSA and Azide free

Be the first to review this product! Submit a review

|

(2 Publications)

Rabbit Recombinant Monoclonal MRP1 antibody. Carrier free. Suitable for WB, ICC/IF, IHC-P and reacts with Human samples. Cited in 2 publications.

View Alternative Names

MRP, MRP1, ABCC1, Multidrug resistance-associated protein 1, ATP-binding cassette sub-family C member 1, Glutathione-S-conjugate-translocating ATPase ABCC1, Leukotriene C(4) transporter, LTC4 transporter

8 Images
Immunohistochemistry (Formalin/PFA-fixed paraffin-embedded sections) - Anti-MRP1 antibody [EPR21062] - BSA and Azide free (AB234098)
  • IHC-P

Supplier Data

Immunohistochemistry (Formalin/PFA-fixed paraffin-embedded sections) - Anti-MRP1 antibody [EPR21062] - BSA and Azide free (AB234098)

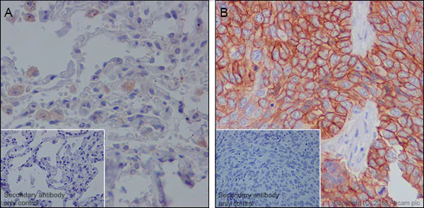
Immunohistochemical analysis of paraffin-embedded human esophagus cancer (B) and adjacent non-cancerous esophagus tissue (A) labeling MRP1 with ab233383 at 1/4000 dilution, followed by Goat Anti-Rabbit IgG H&L (HRP) ready to use. Strong membranous and cytoplasmic staining in human esophageal cancer tissue (B) while staining is weak in its adjacent noncancerous tissue (A) (PMID : 26870278) is observed. Counter stained with Hematoxylin.

Secondary antibody only control : Used PBS instead of primary antibody, secondary antibody is Goat Anti-Rabbit IgG H&L (HRP) ready to use.

Perform heat mediated antigen retrieval using ab93684 (Tris/EDTA buffer, pH 9.0).

This data was developed using the same antibody clone in a different buffer formulation containing PBS, BSA, glycerol, and sodium azide (ab233383).

Immunocytochemistry/ Immunofluorescence - Anti-MRP1 antibody [EPR21062] - BSA and Azide free (AB234098)
  • ICC/IF

Supplier Data

Immunocytochemistry/ Immunofluorescence - Anti-MRP1 antibody [EPR21062] - BSA and Azide free (AB234098)

Immunofluorescent analysis of 100% methanol-fixed A549 (human lung carcinoma cell line) cells labeling MRP1 with ab233383 at 1/100 dilution, followed by Goat Anti-Rabbit IgG H&L (Alexa Fluor® 488) (ab150077) secondary antibody at 1/1000 dilution (green). Confocal image showing membranous staining in A549 cell line. The nuclear counterstain is DAPI (blue). Tubulin is detected with Anti-alpha Tubulin antibody [DM1A] - Microtubule Marker (Alexa Fluor® 594) (ab195889) at1/200 dilution.

Secondary antibody only control : Used PBS instead of primary antibody, followed by Goat Anti-Rabbit IgG H&L (Alexa Fluor® 488) (ab150077) secondary antibody at 1/1000 dilution.

This data was developed using the same antibody clone in a different buffer formulation containing PBS, BSA, glycerol, and sodium azide (ab233383).

Immunocytochemistry/ Immunofluorescence - Anti-MRP1 antibody [EPR21062] - BSA and Azide free (AB234098)
  • ICC/IF

Unknown

Immunocytochemistry/ Immunofluorescence - Anti-MRP1 antibody [EPR21062] - BSA and Azide free (AB234098)

This data was developed using the same antibody clone in a different buffer formulation (ab233383).

ab233383 staining MRP1 in wild-type HeLa cells (top panel) and ABCC1 knockout HeLa cells (ab265256) (bottom panel). The cells were fixed with 4% paraformaldehyde (10 min) then permeabilized with 0.1% Triton X-100 for 5 minutes and then blocked with 1% BSA/10% normal goat serum/0.3M glycine in 0.1% PBS-Tween for 1h. The cells were then incubated with ab233383 at 1/100 dilution and ab7291 (Mouse monoclonal to alpha Tubulin) at 1/1000 dilution overnight at 4°C followed by a further incubation at room temperature for 1h with a goat secondary antibody to rabbit IgG (Alexa Fluor® 488) (ab150081) at 2 μg/ml (shown in green) and a goat secondary antibody to mouse IgG (Alexa Fluor® 594) (ab150120) at 2 μg/ml (shown in red). Nuclear DNA was labelled in blue with DAPI.
Image was taken with a confocal microscope (Leica-Microsystems TCS SP8).

Immunocytochemistry/ Immunofluorescence - Anti-MRP1 antibody [EPR21062] - BSA and Azide free (AB234098)
  • ICC/IF

Supplier Data

Immunocytochemistry/ Immunofluorescence - Anti-MRP1 antibody [EPR21062] - BSA and Azide free (AB234098)

Immunofluorescent analysis of 100% methanol-fixed BxPC-3 (human pancreas adenocarcinoma cell line) cells labeling MRP1 with ab233383 at 1/100 dilution, followed by Goat Anti-Rabbit IgG H&L (Alexa Fluor® 488) (ab150077) secondary antibody at 1/1000 dilution (green). Confocal image showing membranous staining in BxPC-3 cell line. The nuclear counterstain is DAPI (blue). Tubulin is detected with Anti-alpha Tubulin antibody [DM1A] - Microtubule Marker (Alexa Fluor® 594) (ab195889) at 1/200 dilution.

Secondary antibody only control : Used PBS instead of primary antibody, followed by Goat Anti-Rabbit IgG H&L (Alexa Fluor® 488) (ab150077) secondary antibody at 1/1000 dilution.

This data was developed using the same antibody clone in a different buffer formulation containing PBS, BSA, glycerol, and sodium azide (ab233383).

Immunohistochemistry (Formalin/PFA-fixed paraffin-embedded sections) - Anti-MRP1 antibody [EPR21062] - BSA and Azide free (AB234098)
  • IHC-P

Supplier Data

Immunohistochemistry (Formalin/PFA-fixed paraffin-embedded sections) - Anti-MRP1 antibody [EPR21062] - BSA and Azide free (AB234098)

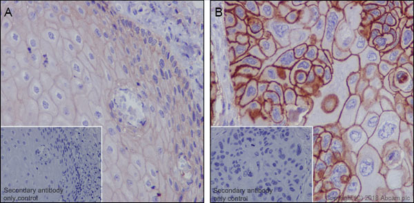
Immunohistochemical analysis of paraffin-embedded human lung cancer (B) and adjacent non-cancerous lung tissue (A) labeling MRP1 with ab233383 at 1/4000 dilution, followed by Goat Anti-Rabbit IgG H&L (HRP) ready to use. Strong membranous and cytoplasmic staining in human lung cancer tissue (B) with weak staining in its adjacent noncancerous tissue (A) (PMID : 23667609) is observed. Counter stained with Hematoxylin.

Secondary antibody only control : Used PBS instead of primary antibody, secondary antibody is Goat Anti-Rabbit IgG H&L (HRP) ready to use.

Perform heat mediated antigen retrieval using ab93684 (Tris/EDTA buffer, pH 9.0).

This data was developed using the same antibody clone in a different buffer formulation containing PBS, BSA, glycerol, and sodium azide (ab233383).

Immunohistochemistry (Formalin/PFA-fixed paraffin-embedded sections) - Anti-MRP1 antibody [EPR21062] - BSA and Azide free (AB234098)
  • IHC-P

Supplier Data

Immunohistochemistry (Formalin/PFA-fixed paraffin-embedded sections) - Anti-MRP1 antibody [EPR21062] - BSA and Azide free (AB234098)

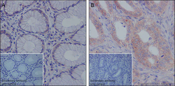
Immunohistochemical analysis of paraffin-embedded human gastric cancer (B) and adjacent non-cancerous stomach tissue (A) labeling MRP1 with ab233383 at 1/4000 dilution, followed by Goat Anti-Rabbit IgG H&L (HRP) ready to use. Membranous and cytoplasmic staining in human gastric cancer tissue (B) with weak staining in its adjacent non-cancerous tissue (A)
(PMID : 23667609) is observed. Counter stained with Hematoxylin.

Secondary antibody only control : Used PBS instead of primary antibody, secondary antibody is Goat Anti-Rabbit IgG H&L (HRP) ready to use.

Perform heat mediated antigen retrieval using ab93684 (Tris/EDTA buffer, pH 9.0).

This data was developed using the same antibody clone in a different buffer formulation containing PBS, BSA, glycerol, and sodium azide (ab233383).

Western blot - Anti-MRP1 antibody [EPR21062] - BSA and Azide free (AB234098)
  • WB

Lab

Western blot - Anti-MRP1 antibody [EPR21062] - BSA and Azide free (AB234098)

This data was developed using ab234098, the same antibody clone in a different buffer formulation. Western blot : Rabbit Monoclonal [EPR21062] to MRP1 ab233383 staining at 1/1000 dilution, shown in green; Mouse anti alpha Tubulin (ab7291) loading control staining at 1/20,000 dilution, shown in magenta.

A band was observed at 172 kDa in Wild-type MCF7 cell lysates with no signal observed at this size in abCC1 knockout MCF7 cell line.

To generate this image, samples were run on an SDS-PAGE gel then transferred onto a nitrocellulose membrane. Membranes were blocked in 3pc Milk in TBS-0.1 % Tween® 20 (TBS-T) before incubation with primary antibodies overnight at 4 °C. Blots were washed four times in TBS-T, incubated with secondary antibodies for 1 h at room temperature, washed again four times then imaged.

Secondary antibodies used were Goat anti-Rabbit 800CW & Goat anti-Mouse 680RD at 1/20,000 dilution.

All lanes:

Western blot - Anti-MRP1 antibody [EPR21062] (<a href='/en-us/products/primary-antibodies/mrp1-antibody-epr21062-ab233383'>ab233383</a>) at 1/1000 dilution

Lane 1:

Wild-type MCF7 at 20 µg

Lane 2:

ABCC1 knockout MCF7 at 20 µg

Lane 2:

Western blot - Human ABCC1 knockout MCF7 cell line (<a href='/en-us/products/cell-lines/human-abcc1-knockout-mcf7-cell-line-ab286378'>ab286378</a>) at 20 µg

Lane 3:

DU 145 at 20 µg

Lane 4:

Ramos at 20 µg

Secondary

All lanes:

Goat anti-Rabbit 800CW & Goat anti-Mouse 680RD at 1/20000 dilution

Predicted band size: 172 kDa

Observed band size: 172 kDa

false

Western blot - Anti-MRP1 antibody [EPR21062] - BSA and Azide free (AB234098)
  • WB

Lab

Western blot - Anti-MRP1 antibody [EPR21062] - BSA and Azide free (AB234098)

This data was developed using the same antibody clone in a different buffer formulation (ab233383).

Lanes 1-4 : Merged signal (red and green). Green - ab233383 observed at 250 kDa. Red - loading control ab7291 observed at 50 kDa.

ab233383 Anti-MRP1 antibody [EPR21062] was shown to specifically react with MRP1 in wild-type HeLa cells. Loss of signal was observed when knockout cell line ab265256 (knockout cell lysate ab257242) was used. Wild-type and MRP1 knockout samples were subjected to SDS-PAGE. ab233383 and Anti-alpha Tubulin antibody [DM1A] - Loading Control (ab7291) were incubated overnight at 4°C at 1 in 1000 dilution and 1 in 20000 dilution respectively. Blots were developed with Goat anti-Rabbit IgG H&L (IRDye® 800CW) preadsorbed (ab216773) and Goat anti-Mouse IgG H&L (IRDye® 680RD) preadsorbed (ab216776) secondary antibodies at 1 in 20000 dilution for 1 hour at room temperature before imaging.

All lanes:

Western blot - Anti-MRP1 antibody [EPR21062] (<a href='/en-us/products/primary-antibodies/mrp1-antibody-epr21062-ab233383'>ab233383</a>) at 1/1000 dilution

Lane 1:

Wild-type HeLa (Human epithelial cell line from cervix adenocarcinoma) whole cell lysate at 20 µg

Lane 2:

MRP1 knockout HeLa (Human epithelial cell line from cervix adenocarcinoma) whole cell lysate at 20 µg

Lane 2:

Western blot - Human ABCC1 (MRP1) knockout HeLa cell line (<a href='/en-us/products/cell-lines/human-abcc1-mrp1-knockout-hela-cell-line-ab265256'>ab265256</a>)

Lane 3:

Wild-type A549 (Human lung carcinoma cell line) whole cell lysate at 20 µg

Lane 4:

MRP1 knockout A549 (Human lung carcinoma cell line) whole cell lysate at 20 µg

Secondary

All lanes:

Western blot - Goat anti-Rabbit IgG H&L (IRDye® 800CW) preadsorbed (<a href='/en-us/products/secondary-antibodies/goat-rabbit-igg-h-l-irdye-800cw-preadsorbed-ab216773'>ab216773</a>) at 1/20000 dilution

Predicted band size: 171 kDa

Observed band size: 250 kDa

false

Key facts

Host species

Rabbit

Clonality

Monoclonal

Clone number

EPR21062

Isotype

IgG

Carrier free

Yes

Reacts with

Human

Applications

ICC/IF, IHC-P, WB

applications

Immunogen

The exact immunogen used to generate this antibody is proprietary information.

Reactivity data

{ "title": "Reactivity Data", "filters": { "stats": ["", "Species", "Dilution Info", "Notes"], "tabs": { "all-applications": {"fullname" : "All Applications", "shortname": "All Applications"}, "WB" : {"fullname" : "Western blot", "shortname":"WB"}, "ICCIF" : {"fullname" : "Immunocytochemistry/ Immunofluorescence", "shortname":"ICC/IF"}, "IHCP" : {"fullname" : "Immunohistochemistry (Formalin/PFA-fixed paraffin-embedded sections)", "shortname":"IHC-P"} }, "product-promise": { "all": "all", "testedAndGuaranteed": "tested", "guaranteed": "expected", "predicted": "predicted", "notRecommended": "not-recommended" } }, "values": { "Human": { "WB-species-checked": "testedAndGuaranteed", "WB-species-dilution-info": "", "WB-species-notes": "<p></p>", "ICCIF-species-checked": "testedAndGuaranteed", "ICCIF-species-dilution-info": "1/100", "ICCIF-species-notes": "<p></p>", "IHCP-species-checked": "testedAndGuaranteed", "IHCP-species-dilution-info": "", "IHCP-species-notes": "<p></p>" } } }

Product details

ab234098 is the carrier-free version of ab233383.

Patented technology
Our RabMAb® technology is a patented hybridoma-based technology for making rabbit monoclonal antibodies. For details on our patents, please refer to RabMAb® patents.

What are the advantages of a recombinant monoclonal antibody?
This product is a recombinant monoclonal antibody, which offers several advantages including:

  • - High batch-to-batch consistency and reproducibility
  • - Improved sensitivity and specificity
  • - Long-term security of supply
  • - Animal-free batch production

For more information, read more on recombinant antibodies.

Conjugation ready
Our carrier-free antibodies are typically supplied in a PBS-only formulation, purified and free of BSA, sodium azide and glycerol. This conjugation-ready format is designed for use with fluorochromes, metal isotopes, oligonucleotides, and enzymes, which makes them ideal for antibody labelling, functional and cell-based assays, flow-based assays (e.g. mass cytometry) and Multiplex Imaging applications.

Use our conjugation kits for antibody conjugates that are ready-to-use in as little as 20 minutes with 1 minute hands-on-time and 100% antibody recovery: available for fluorescent dyes, HRP, biotin and gold.

Compatibility
This product is compatible with the Maxpar® Antibody Labeling Kit from Fluidigm, without the need for antibody preparation. Maxpar® is a trademark of Fluidigm Canada Inc.

Properties and storage information

Form
Liquid
Purification technique
Affinity purification Protein A
Storage buffer
pH: 7.2 - 7.4 Constituents: PBS
Shipped at conditions
Blue Ice
Appropriate short-term storage conditions
+4°C
Appropriate long-term storage conditions
+4°C
Storage information
Do Not Freeze

Supplementary information

This supplementary information is collated from multiple sources and compiled automatically.

MRP1 also known as ABCC1 is a transporter protein with a mass of approximately 190 kDa. This protein belongs to the ATP-binding cassette (ABC) transporter family. MRP1 actively exports a variety of substrates from cells by hydrolyzing ATP to ADP and inorganic phosphate. You can find MRP1 expressed in many tissues including the lung testis and kidney. It helps in cellular detoxification by exporting organic anions and other conjugated metabolites.
Biological function summary

This protein functions as an important determinant of multidrug resistance in cancer treatment. MRP1 can form part of a larger protein complex that includes other transporters like MRP2. Through its activity MRP1 protects tissues from toxic substances by transporting them out of the cell. Its role in transporting glutathione-conjugated compounds highlights its importance in cellular defense mechanisms against oxidative stress and xenobiotics.

Pathways

MRP1 participates in the glutathione metabolism and the xenobiotic efflux pathways. Both pathways involve cellular detoxification and the accumulation of anomalies can cause harmful effects in the body. MRP1 works with proteins such as GSTP1 which conjugates toxic substances with glutathione preparing them for export by MRP1. This coordination ensures efficient detoxification and protection of cells from damage.

MRP1 has associations with several conditions particularly drug resistance in various cancers and chronic obstructive pulmonary disease (COPD). In cancer MRP1 overexpression often results in reduced treatment efficacy due to chemotherapy drugs being expelled from the cell helping to resist their cytotoxic effects. Research indicates a connection between MRP1 and P-glycoprotein (ABCB1) in cancer drug resistance pointing to a broader resistive mechanism in which multiple transporters are involved.

Product protocols

For this product, it's our understanding that no specific protocols are required. You can visit:

Target data

Mediates export of organic anions and drugs from the cytoplasm (PubMed : 10064732, PubMed : 11114332, PubMed : 16230346, PubMed : 7961706, PubMed : 9281595). Mediates ATP-dependent transport of glutathione and glutathione conjugates, leukotriene C4, estradiol-17-beta-o-glucuronide, methotrexate, antiviral drugs and other xenobiotics (PubMed : 10064732, PubMed : 11114332, PubMed : 16230346, PubMed : 7961706, PubMed : 9281595). Confers resistance to anticancer drugs by decreasing accumulation of drug in cells, and by mediating ATP- and GSH-dependent drug export (PubMed : 9281595). Hydrolyzes ATP with low efficiency (PubMed : 16230346). Catalyzes the export of sphingosine 1-phosphate from mast cells independently of their degranulation (PubMed : 17050692). Participates in inflammatory response by allowing export of leukotriene C4 from leukotriene C4-synthezing cells (By similarity). Mediates ATP-dependent, GSH-independent cyclic GMP-AMP (cGAMP) export (PubMed : 36070769). Thus, by limiting intracellular cGAMP concentrations negatively regulates the cGAS-STING pathway (PubMed : 36070769).
See full target information ABCC1

Publications (2)

Recent publications for all applications. Explore the full list and refine your search

Open biology 14:240205 PubMed39657822

2024

Phosphorylation of 'SDT-like' motifs in ATRX mediates its interaction with the MRN complex and is important for ALT pathway suppression.

Applications

Unspecified application

Species

Unspecified reactive species

Tomas Goncalves,Harshangda Bhatnagar,Siobhan Cunniffe,Richard J Gibbons,Anna M Rose,David Clynes

Cancer management and research 12:11257-11269 PubMed33177876

2020

Down-Regulation of Circ_0032833 Sensitizes Colorectal Cancer to 5-Fluorouracil and Oxaliplatin Partly Depending on the Regulation of miR-125-5p and MSI1.

Applications

Unspecified application

Species

Unspecified reactive species

Shouchao Li,Sheng Zheng
View all publications

Product promise

We are committed to supporting your work with high-quality reagents, and we're here for you every step of the way. In the unlikely event that one of our products does not perform as expected, you're protected by our Product Promise.
For full details, please see our Terms & Conditions

Please note: All products are 'FOR RESEARCH USE ONLY. NOT FOR USE IN DIAGNOSTIC OR THERAPEUTIC PROCEDURES'.

For licensing inquiries, please contact partnerships@abcam.com