JavaScript is disabled in your browser. Please enable JavaScript to view this website.
AB260038

Anti-MRP1 antibody [EPR22841-78]

Be the first to review this product! Submit a review

|

(22 Publications)

Anti-MRP1 antibody [EPR22841-78] (ab260038) is a rabbit monoclonal antibody detecting MRP1 in Western Blot, Flow Cytometry (Intra), IP, IHC-P. Suitable for Human, Mouse.

- KO validated for confirmed specificity
- Biophysical QC for unrivalled batch-batch consistency

View Alternative Names

MRP, MRP1, ABCC1, Multidrug resistance-associated protein 1, ATP-binding cassette sub-family C member 1, Glutathione-S-conjugate-translocating ATPase ABCC1, Leukotriene C(4) transporter, LTC4 transporter

8 Images
Flow Cytometry (Intracellular) - Anti-MRP1 antibody [EPR22841-78] (AB260038)
  • Flow Cyt (Intra)

Unknown

Flow Cytometry (Intracellular) - Anti-MRP1 antibody [EPR22841-78] (AB260038)

Flow cytometric analysis of 4% paraformaldehyde fixed 90% methanol permeabilized HEK-293 (human embryonic kidney epithelial cell, Left) / A549 (human lung carcinoma epithelial cell, Right) cells labelling MRP1 with ab260038 at 1/600 (Red) compared with a Rabbit monoclonal IgG (ab172730) / Black isotype control and an unlabelled control (cells without incubation with primary antibody and secondary antibody) (Blue). A Goat anti rabbit IgG (Alexa Fluor® 488, ab150077) at 1/2000 dilution was used as the secondary antibody. This data was developed using the same antibody clone in a different buffer formulation containing PBS, BSA, glycerol, and sodium azide (ab260038).

Flow Cytometry (Intracellular) - Anti-MRP1 antibody [EPR22841-78] (AB260038)
  • Flow Cyt (Intra)

Unknown

Flow Cytometry (Intracellular) - Anti-MRP1 antibody [EPR22841-78] (AB260038)

Intracellular Flow Cytometry overlay histogram showing wild-type HeLa (green line) and ABCC1 knockout HeLa cells (ab265256). The secondary antibody Goat anti-rabbit IgG H&L (Alexa Fluor® 488 pre-adsorbed) (ab150081) was used at 1/2000 for 30 min at 22°C.) stained with ab260038 (red line). The cells were fixed with 80% methanol (5 min) and then permeabilized with 0.1% PBS-Triton X-100 for 15 min. The cells were then incubated in 1x PBS containing 10% normal goat serum to block non-specific protein-protein interaction followed by the antibody (ab260038) (1x106 in 100μl at 0.2 μg/ml) for 30 min at 22°C.

Isotype control antibody was Rabbit IgG (monoclonal) (ab172730) used at the same concentration and conditions as the primary antibody (wild-type HeLa - black line ABCC1 knockout HeLa - grey line). Unlabelled sample was also used as a control (this line is not shown for the purpose of simplicity).

Acquisition of >5000 events were collected using a 50 mW Blue laser (488nm) and 525/40 bandpass filter.

Immunoprecipitation - Anti-MRP1 antibody [EPR22841-78] (AB260038)
  • IP

Unknown

Immunoprecipitation - Anti-MRP1 antibody [EPR22841-78] (AB260038)

MRP1 was immunoprecipitated from 0.35 mg A549 (human lung carcinoma epithelial cell) whole cell lysate 10ug with ab260038 at 1/30 dilution (2ug in 0.35mg lysates). Western blot was performed on the immunoprecipitate using ab260038 at 1/1000 dilution. VeriBlot for IP Detection Reagent (HRP) (ab131366) was used at 1/1000 dilution. Lane 1 : A549 (human lung carcinoma epithelial cell) whole cell lysate 10ug

Lane 2 : ab260038 IP in A549 (human lung carcinoma epithelial cell) whole cell lysate, boiled 10ug

Lane 3 : A549 whole cell lysate

Blocking and dilution buffer and concentration : 5% NFDM/TBST.

Exposure time : 3 seconds

This data was developed using the same antibody clone in a different buffer formulation containing PBS, BSA, glycerol, and sodium azide (ab260038).

All lanes:

Immunoprecipitation - Anti-MRP1 antibody [EPR22841-78] (ab260038)

Predicted band size: 171 kDa

Observed band size: 190 kDa

false

Flow Cytometry (Intracellular) - Anti-MRP1 antibody [EPR22841-78] (AB260038)
  • Flow Cyt (Intra)

Unknown

Flow Cytometry (Intracellular) - Anti-MRP1 antibody [EPR22841-78] (AB260038)

Flow cytometric analysis of 4% paraformaldehyde fixed 90% methanol permeabilized NIH/3T3 (mouse embryonic fibroblast) cells labelling MRP1 with ab260038 at 1/600 (Red) compared with a Rabbit monoclonal IgG (ab172730) / Black isotype control and an unlabelled control (cells without incubation with primary antibody and secondary antibody) (Blue). A Goat anti rabbit IgG (Alexa Fluor® 488, ab150077) at 1/2000 dilution was used as the secondary antibody. This data was developed using the same antibody clone in a different buffer formulation containing PBS, BSA, glycerol, and sodium azide (ab260038).

Immunoprecipitation - Anti-MRP1 antibody [EPR22841-78] (AB260038)
  • IP

Unknown

Immunoprecipitation - Anti-MRP1 antibody [EPR22841-78] (AB260038)

MRP1 was immunoprecipitated from 0.35 mg NIH/3T3 (mouse embryonic fibroblast) whole cell lysate 10ug with ab260038 at 1/30 dilution (2ug in 0.35mg lysates). Western blot was performed on the immunoprecipitate using ab260038 at 1/1000 dilution. VeriBlot for IP Detection Reagent (HRP) (ab131366) was used at 1/1000 dilution. Lane 1 : NIH/3T3 (mouse embryonic fibroblast) whole cell lysate 10ug

Lane 2 : ab260038 IP in NIH/3T3 (mouse embryonic fibroblast) whole cell lysate, boiled 10ug

Lane 3 : NIH/3T3 whole cell lysate

Blocking and dilution buffer and concentration : 5% NFDM/TBST.

Exposure time : 75 seconds

This data was developed using the same antibody clone in a different buffer formulation containing PBS, BSA, glycerol, and sodium azide (ab260038).

All lanes:

Immunoprecipitation - Anti-MRP1 antibody [EPR22841-78] (ab260038)

Predicted band size: 171 kDa

Observed band size: 190 kDa

false

Western blot - Anti-MRP1 antibody [EPR22841-78] (AB260038)
  • WB

Lab

Western blot - Anti-MRP1 antibody [EPR22841-78] (AB260038)

Western blot : Rabbit Monoclonal [EPR22841-78] to MRP1 ab260038 staining at 1/1000 dilution, shown in green; Mouse anti alpha Tubulin (ab7291) loading control staining at 1/20,000 dilution, shown in magenta.

A band was observed at 172 kDa in Wild-type MCF7 cell lysates with no signal observed at this size in abCC1 knockout MCF7 cell line.

To generate this image, samples were run on an SDS-PAGE gel then transferred onto a nitrocellulose membrane. Membranes were blocked in 3pc Milk in TBS-0.1 % Tween® 20 (TBS-T) before incubation with primary antibodies overnight at 4 °C. Blots were washed four times in TBS-T, incubated with secondary antibodies for 1 h at room temperature, washed again four times then imaged.

Secondary antibodies used were Goat anti-Rabbit 800CW & Goat anti-Mouse 680RD at 1/20,000 dilution.

All lanes:

Western blot - Anti-MRP1 antibody [EPR22841-78] (ab260038) at 1/1000 dilution

Lane 1:

Wild-type MCF7 at 20 µg

Lane 2:

ABCC1 knockout MCF7 at 20 µg

Lane 2:

Western blot - Human ABCC1 knockout MCF7 cell line (<a href='/en-us/products/cell-lines/human-abcc1-knockout-mcf7-cell-line-ab286378'>ab286378</a>) at 20 µg

Lane 3:

DU 145 at 20 µg

Lane 4:

Ramos at 20 µg

Secondary

All lanes:

Goat anti-Rabbit 800CW & Goat anti-Mouse 680RD at 1/20000 dilution

Predicted band size: 172 kDa

Observed band size: 172 kDa

false

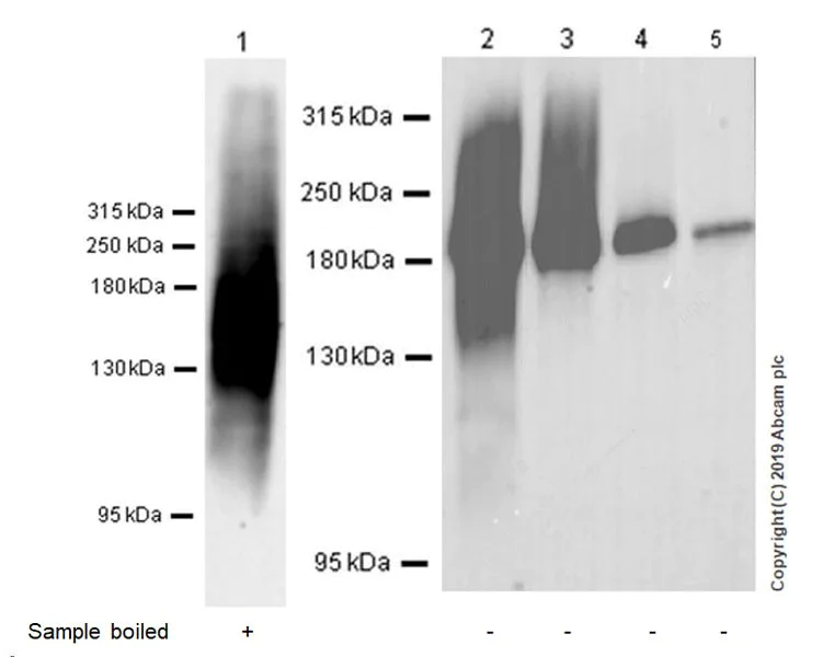
Western blot - Anti-MRP1 antibody [EPR22841-78] (AB260038)
  • WB

Lab

Western blot - Anti-MRP1 antibody [EPR22841-78] (AB260038)

Blocking and diluting buffer and concentration : 5% NFDM/TBST.

The expression profile observed is consistent with what has been described in the literature (PMID : 27634913).

Weakly expressing control : K-562, lung, liver, HEK293 (PMID : 18347152, 25880778,11059771, 29615646, 26853103).

Samples (except lane1) are non-boiled as boiling may cause protein aggregates. The Lane 1 lysate was boiled on 100℃ water.

Exposure time : 3 minutes.

All lanes:

Western blot - Anti-MRP1 antibody [EPR22841-78] (ab260038) at 1/1000 dilution

Lanes 1 - 2:

A549 (human lung carcinoma epithelial cell) whole cell lysate at 20 µg

Lane 3:

HepG2 (human hepatocellular carcinoma epithelial cell) whole cell lysate

Lane 4:

K-562 (human chronic myelogenous leukemia lymphoblast) whole cell lysate at 20 µg

Lane 5:

Human lung cancer lysate at 20 µg

Secondary

Lanes 1, 4 and 5:

Western blot - Goat Anti-Rabbit IgG H&L (HRP) (<a href='/en-us/products/secondary-antibodies/goat-rabbit-igg-h-l-hrp-ab97051'>ab97051</a>) at 1/100000 dilution

Lanes 2 - 3:

Western blot - Goat Anti-Rabbit IgG H&L (HRP) (<a href='/en-us/products/secondary-antibodies/goat-rabbit-igg-h-l-hrp-ab97051'>ab97051</a>) at 1/25000 dilution

Predicted band size: 171 kDa

Observed band size: 120-250 kDa

false

Western blot - Anti-MRP1 antibody [EPR22841-78] (AB260038)
  • WB

Lab

Western blot - Anti-MRP1 antibody [EPR22841-78] (AB260038)

Blocking and diluting buffer and concentration : 5% NFDM/TBST.

The expression profile observed is consistent with what has been described in the literature (PMID : 27634913).

Weakly expressing control : K-562, lung, liver, HEK293 (PMID : 18347152, 25880778,11059771, 29615646, 26853103).

All lysates were unboiled.

Exposure time : Lanes 1-3 : 10 seconds; Lanes 4-8 : 3 minutes.

All lanes:

Western blot - Anti-MRP1 antibody [EPR22841-78] (ab260038) at 1/1000 dilution

Lane 1:

A549 (human lung carcinoma epithelial cell) whole cell lysate at 20 µg

Lane 2:

HepG2 (human hepatocellular carcinoma epithelial cell) whole cell lysate at 20 µg

Lane 3:

K-562 (human chronic myelogenous leukemia lymphoblast) whole cell lysate at 20 µg

Lane 4:

Human lung cancer lysate at 20 µg

Lane 5:

Human lung lysate at 20 µg

Lane 6:

NIH/3T3 (mouse embryonic fibroblast) whole cell lysate at 10 µg

Lane 7:

Mouse liver lysate at 10 µg

Lane 8:

Mouse stomach lysate at 10 µg

Secondary

All lanes:

Western blot - Goat Anti-Rabbit IgG H&L (HRP) (<a href='/en-us/products/secondary-antibodies/goat-rabbit-igg-h-l-hrp-ab97051'>ab97051</a>) at 1/100000 dilution

Predicted band size: 171 kDa

Observed band size: 190 kDa

false

  • Carrier free

    Anti-MRP1 antibody [EPR22841-78] - BSA and Azide free

Key facts

Host species

Rabbit

Clonality

Monoclonal

Clone number

EPR22841-78

Isotype

IgG

Carrier free

No

Reacts with

Mouse, Human

Applications

Flow Cyt (Intra), WB, IP, IHC-P

applications

Immunogen

The exact immunogen used to generate this antibody is proprietary information.

Reactivity data

{ "title": "Reactivity Data", "filters": { "stats": ["", "Species", "Dilution Info", "Notes"], "tabs": { "all-applications": {"fullname" : "All Applications", "shortname": "All Applications"}, "IP" : {"fullname" : "Immunoprecipitation", "shortname":"IP"}, "WB" : {"fullname" : "Western blot", "shortname":"WB"}, "ICCIF" : {"fullname" : "Immunocytochemistry/ Immunofluorescence", "shortname":"ICC/IF"}, "FlowCytIntra" : {"fullname" : "Flow Cytometry (Intracellular)", "shortname":"Flow Cyt (Intra)"}, "IHCP" : {"fullname" : "Immunohistochemistry (Formalin/PFA-fixed paraffin-embedded sections)", "shortname":"IHC-P"} }, "product-promise": { "all": "all", "testedAndGuaranteed": "tested", "guaranteed": "expected", "predicted": "predicted", "notRecommended": "not-recommended" } }, "values": { "Human": { "IP-species-checked": "testedAndGuaranteed", "IP-species-dilution-info": "1/30", "IP-species-notes": "<p></p>", "WB-species-checked": "testedAndGuaranteed", "WB-species-dilution-info": "1/1000", "WB-species-notes": "<p></p>", "ICCIF-species-checked": "notRecommended", "ICCIF-species-dilution-info": "", "ICCIF-species-notes": "<p></p>", "FlowCytIntra-species-checked": "testedAndGuaranteed", "FlowCytIntra-species-dilution-info": "1/600", "FlowCytIntra-species-notes": "<p></p>", "IHCP-species-checked": "testedAndGuaranteed", "IHCP-species-dilution-info": "1/1000", "IHCP-species-notes": "<p></p>" }, "Mouse": { "IP-species-checked": "testedAndGuaranteed", "IP-species-dilution-info": "1/30", "IP-species-notes": "<p></p>", "WB-species-checked": "testedAndGuaranteed", "WB-species-dilution-info": "1/1000", "WB-species-notes": "<p></p>", "ICCIF-species-checked": "notRecommended", "ICCIF-species-dilution-info": "", "ICCIF-species-notes": "<p></p>", "FlowCytIntra-species-checked": "testedAndGuaranteed", "FlowCytIntra-species-dilution-info": "1/600", "FlowCytIntra-species-notes": "<p></p>", "IHCP-species-checked": "testedAndGuaranteed", "IHCP-species-dilution-info": "1/1000", "IHCP-species-notes": "<p></p>" } } }

Product details

What is this antibody validated in?
Anti-MRP1 antibody [EPR22841-78] (ab260038) is a rabbit recombinant monoclonal antibody and is validated for use in Western Blot (WB), Flow Cytometry (Intra), Flow Cytometry (Flow Cyt), Immunoprecipitation (IP), Immunohistochemistry (IHC-P) in Human, Mouse samples.

What is the molecular weight of MRP1?
Anti-MRP1 [EPR22841-78] (ab260038) specifically detects a band for MRP1 (UniProt: P33527) at a molecular weight of 171kDa.

Trial sizes available!
Test your antibody or perform pre-screening before committing to a larger quantity. Sold in 10µl. Discover our selection of trial-size antibodies.

Specificity confirmed
The specificity of Anti-MRP1 antibody [EPR22841-78] (ab260038) has been confirmed by Flow Cytometry testing in ABCC1 Knockout HeLa cell line, ab265256.

Other related products
We have a range of other formats of antibody clone [EPR22841-78] also available for your convenience: ab260038, Carrier free - ab263865

Patented technology
Our RabMAb® technology is a patented hybridoma-based technology for making rabbit monoclonal antibodies. For details on our patents, please refer to RabMAb® patents.

What are the advantages of a recombinant monoclonal antibody?
This product is a recombinant monoclonal antibody, which offers several advantages including:

  • - High batch-to-batch consistency and reproducibility
  • - Improved sensitivity and specificity
  • - Long-term security of supply
  • - Animal-free batch production

For more information, read more on recombinant antibodies.

Properties and storage information

Form
Liquid
Purification technique
Affinity purification Protein A
Storage buffer
pH: 7.2 - 7.4 Preservative: 0.01% Sodium azide Constituents: PBS, 40% Glycerol (glycerin, glycerine), 0.05% BSA
Shipped at conditions
Blue Ice
Appropriate short-term storage duration
1-2 weeks
Appropriate short-term storage conditions
+4°C
Appropriate long-term storage conditions
-20°C
Aliquoting information
Upon delivery aliquot
Storage information
Avoid freeze / thaw cycle

Supplementary information

This supplementary information is collated from multiple sources and compiled automatically.

MRP1 also known as ABCC1 is a transporter protein with a mass of approximately 190 kDa. This protein belongs to the ATP-binding cassette (ABC) transporter family. MRP1 actively exports a variety of substrates from cells by hydrolyzing ATP to ADP and inorganic phosphate. You can find MRP1 expressed in many tissues including the lung testis and kidney. It helps in cellular detoxification by exporting organic anions and other conjugated metabolites.
Biological function summary

This protein functions as an important determinant of multidrug resistance in cancer treatment. MRP1 can form part of a larger protein complex that includes other transporters like MRP2. Through its activity MRP1 protects tissues from toxic substances by transporting them out of the cell. Its role in transporting glutathione-conjugated compounds highlights its importance in cellular defense mechanisms against oxidative stress and xenobiotics.

Pathways

MRP1 participates in the glutathione metabolism and the xenobiotic efflux pathways. Both pathways involve cellular detoxification and the accumulation of anomalies can cause harmful effects in the body. MRP1 works with proteins such as GSTP1 which conjugates toxic substances with glutathione preparing them for export by MRP1. This coordination ensures efficient detoxification and protection of cells from damage.

MRP1 has associations with several conditions particularly drug resistance in various cancers and chronic obstructive pulmonary disease (COPD). In cancer MRP1 overexpression often results in reduced treatment efficacy due to chemotherapy drugs being expelled from the cell helping to resist their cytotoxic effects. Research indicates a connection between MRP1 and P-glycoprotein (ABCB1) in cancer drug resistance pointing to a broader resistive mechanism in which multiple transporters are involved.

Product protocols

For this product, it's our understanding that no specific protocols are required. You can visit:

Target data

Mediates export of organic anions and drugs from the cytoplasm (PubMed : 10064732, PubMed : 11114332, PubMed : 16230346, PubMed : 7961706, PubMed : 9281595). Mediates ATP-dependent transport of glutathione and glutathione conjugates, leukotriene C4, estradiol-17-beta-o-glucuronide, methotrexate, antiviral drugs and other xenobiotics (PubMed : 10064732, PubMed : 11114332, PubMed : 16230346, PubMed : 7961706, PubMed : 9281595). Confers resistance to anticancer drugs by decreasing accumulation of drug in cells, and by mediating ATP- and GSH-dependent drug export (PubMed : 9281595). Hydrolyzes ATP with low efficiency (PubMed : 16230346). Catalyzes the export of sphingosine 1-phosphate from mast cells independently of their degranulation (PubMed : 17050692). Participates in inflammatory response by allowing export of leukotriene C4 from leukotriene C4-synthesizing cells (By similarity). Mediates ATP-dependent, GSH-independent cyclic GMP-AMP (cGAMP) export (PubMed : 36070769). Thus, by limiting intracellular cGAMP concentrations negatively regulates the cGAS-STING pathway (PubMed : 36070769). Exports S-geranylgeranyl-glutathione (GGG) in lymphoid cells and stromal compartments of lymphoid organs. ABCC1 (via extracellular transport) with GGT5 (via GGG catabolism) establish GGG gradients within lymphoid tissues to position P2RY8-positive lymphocytes at germinal centers in lymphoid follicles and restrict their chemotactic transmigration from blood vessels to the bone marrow parenchyma (By similarity). Mediates basolateral export of GSH-conjugated R- and S-prostaglandin A2 diastereomers in polarized epithelial cells (PubMed : 9426231).
See full target information ABCC1

Publications (22)

Recent publications for all applications. Explore the full list and refine your search

Journal of orthopaedic surgery and research 20:220 PubMed40022160

2025

A novel mechanism in regulating drug sensitivity, growth, and apoptosis of bortezomib-resistant multiple myeloma cells: the USP4/KLF2/HMGA2 cascade.

Applications

Unspecified application

Species

Unspecified reactive species

Ziyi Liu,Xiaoliang Li,Yin He,Fengqun Xie,Yanrong Zhang,Mufang Huang,Yinjingwen Wang,Weijian Zhu

International journal of molecular medicine 54: PubMed38994756

2024

Luteolin enhances drug chemosensitivity by downregulating the FAK/PI3K/AKT pathway in paclitaxel‑resistant esophageal squamous cell carcinoma.

Applications

Unspecified application

Species

Unspecified reactive species

Zhenzhen Yang,Hongtao Liu,Yinsen Song,Na Gao,Pan Gao,Yiran Hui,Yueheng Li,Tianli Fan

Clinical genetics 106:462-475 PubMed38951883

2024

Low-intensity noise exposure takes an essential part in the mechanism of late-onset hereditary hearing loss caused by Abcc1 mutation.

Applications

Unspecified application

Species

Unspecified reactive species

Mengzhu Jiang,Shuai Zhang,Jing Liu,Bo Pang,Yijiang Bai,Yongjia Chen,Huping Huang,Jie Ling,Lingyun Mei

Redox biology 74:103218 PubMed38870779

2024

ABCC1 deficiency potentiated noise-induced hearing loss in mice by impairing cochlear antioxidant capacity.

Applications

Unspecified application

Species

Unspecified reactive species

Jing Liu,Yijiang Bai,Yong Feng,Xianlin Liu,Bo Pang,Shuai Zhang,Mengzhu Jiang,Anhai Chen,Huping Huang,Yongjia Chen,Jie Ling,Lingyun Mei

ACS omega 9:18375-18384 PubMed38680328

2024

Ultrasound-Assisted Extraction of (DC.) Koidz. Polysaccharides and the Synergistic Antigastric Cancer Effect in Combination with Oxaliplatin.

Applications

Unspecified application

Species

Unspecified reactive species

Minjie Liang,Yayun Wu,Jimin Sun,Ya Zhao,Lijuan Liu,Ruizhi Zhao,Yan Wang

Environmental toxicology 39:2166-2181 PubMed38115220

2023

Myoglobin improves doxycycline sensitivity in pancreatic cancer through promoting heme oxygenase-1-mediated ferroptosis.

Applications

Unspecified application

Species

Unspecified reactive species

Lun Zhang,Liuxu Yang,Keyuan Du,Yixuan Yang

Environmental toxicology 39:1269-1282 PubMed37927237

2023

SNHG1, interacting with SND1, contributes to sorafenib resistance of liver cancer cells by increasing m6A-mediated SLC7A11 expression and promoting aerobic glycolysis.

Applications

Unspecified application

Species

Unspecified reactive species

Rong Li,Shunle Li,Lin Shen,Junhui Li,Di Zhang,Jinmin Yu,Lanxuan Huang,Na Liu,Hongwei Lu,Meng Xu

Molecular oncology 18:317-335 PubMed37519014

2023

High-content screening of drug combinations of an mPGES-1 inhibitor in multicellular tumor spheroids leads to mechanistic insights into neuroblastoma chemoresistance.

Applications

Unspecified application

Species

Unspecified reactive species

Ahlem Zaghmi,Erdem Aybay,Long Jiang,Mingmei Shang,Julia Steinmetz-Späh,Fredrik Wermeling,Per Kogner,Marina Korotkova,Päivi Östling,Per-Johan Jakobsson,Brinton Seashore-Ludlow,Karin Larsson

Hereditas 160:33 PubMed37518006

2023

Elevated HMGB1 promotes the malignant progression and contributes to cisplatin resistance of non-small cell lung cancer.

Applications

Unspecified application

Species

Unspecified reactive species

Ying Ma,Qin Feng,Bateer Han,Rong Yu,Zhiyong Jin

International journal of molecular sciences 24: PubMed37108784

2023

APC Loss Prevents Doxorubicin-Induced Cell Death by Increasing Drug Efflux and a Chemoresistant Cell Population in Breast Cancer.

Applications

Unspecified application

Species

Unspecified reactive species

Casey D Stefanski,Anne Arnason,Sara Maloney,Janna Kotsen,Elizabeth Powers,Jian-Ting Zhang,Jenifer R Prosperi
View all publications

Product promise

We are committed to supporting your work with high-quality reagents, and we're here for you every step of the way. In the unlikely event that one of our products does not perform as expected, you're protected by our Product Promise.
For full details, please see our Terms & Conditions

Please note: All products are 'FOR RESEARCH USE ONLY. NOT FOR USE IN DIAGNOSTIC OR THERAPEUTIC PROCEDURES'.

For licensing inquiries, please contact partnerships@abcam.com