JavaScript is disabled in your browser. Please enable JavaScript to view this website.
AB187644

Anti-MRP2 antibody [EPR10997(2)]

0

(3 Reviews)

|

(6 Publications)

Rabbit Recombinant Monoclonal MRP2 antibody. Suitable for WB, IHC-P and reacts with Human samples. Cited in 6 publications.

View Alternative Names

CMOAT, CMOAT1, CMRP, MRP2, ABCC2, ATP-binding cassette sub-family C member 2, Canalicular multidrug resistance protein, Canalicular multispecific organic anion transporter 1, Multidrug resistance-associated protein 2

3 Images
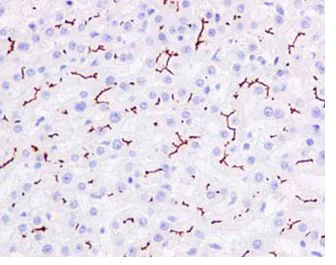
Immunohistochemistry (Formalin/PFA-fixed paraffin-embedded sections) - Anti-MRP2 antibody [EPR10997(2)] (AB187644)
  • IHC-P

Supplier Data

Immunohistochemistry (Formalin/PFA-fixed paraffin-embedded sections) - Anti-MRP2 antibody [EPR10997(2)] (AB187644)

Immunohistochemistry analysis of paraffin-embedded Human liver tissue labeling MRP2 with ab187644 at 1/1000 dilution. A prediluted HRP polymer for Rabbit IgG used as secondary antibody. Counterstained with Hematoxylin.

Perform heat mediated antigen retrieval with Tris/EDTA buffer pH 9.0 before commencing with IHC staining protocol.

Western blot - Anti-MRP2 antibody [EPR10997(2)] (AB187644)
  • WB

Lab

Western blot - Anti-MRP2 antibody [EPR10997(2)] (AB187644)

Lanes 1 - 4 : Merged signal (red and green). Green - ab187644 observed at 210 kDa. Red - loading control, ab130007, observed at 130 kDa.

ab187644 was shown to recognize MRP2 in wild-type A549 cells as signal was lost at the expected MW in ABCC2 knockout cells. Additional cross-reactive bands were observed in the wild-type and knockout cells. Wild-type and ABCC2 knockout samples were subjected to SDS-PAGE. The membrane was blocked with 3% Milk. ab187644 and ab130007 (Mouse anti-Vinculin loading control) were incubated overnight at 4°C at 1/1000 dilution and 1/1000 dilution respectively. Blots were developed with Goat anti-Rabbit IgG H&L (IRDye® 800CW) preabsorbed ab216773 and Goat anti-Mouse IgG H&L (IRDye® 680RD) preabsorbed ab216776 secondary antibodies at 1/20000 dilution for 1 hour at room temperature before imaging.

All lanes:

Western blot - Anti-MRP2 antibody [EPR10997(2)] (ab187644) at 1/1000 dilution

Lane 1:

Wild-type A549 (Human lung carcinoma cell line) whole cell lysate at 20 µg

Lane 2:

ABCC2 knockout A549 (Human lung carcinoma cell line) whole cell lysate at 20 µg

Lane 2:

Western blot - Human ABCC2 knockout A549 cell line (<a href='/en-us/products/cell-lines/human-abcc2-knockout-a549-cell-line-ab261855'>ab261855</a>)

Lane 3:

Hep G2 (Human liver hepatocellular carcinoma cell line) whole cell lysate at 20 µg

Lane 4:

HeLa (Human epithelial cell line from cervix adenocarcinoma) whole cell lysate at 20 µg

Predicted band size: 174 kDa

false

Western blot - Anti-MRP2 antibody [EPR10997(2)] (AB187644)
  • WB

Supplier Data

Western blot - Anti-MRP2 antibody [EPR10997(2)] (AB187644)

All lanes:

Western blot - Anti-MRP2 antibody [EPR10997(2)] (ab187644) at 1/1000 dilution

Lane 1:

HepG2 lysate at 20 µg

Lane 2:

A549 lysate at 20 µg

Lane 3:

Human fetal liver lysate at 20 µg

Secondary

All lanes:

Goat Anti-Rabbit IgG, (H+L), Peroxidase conjugated at 1/1000 dilution

Predicted band size: 174 kDa

false

Key facts

Host species

Rabbit

Clonality

Monoclonal

Clone number

EPR10997(2)

Isotype

IgG

Carrier free

No

Reacts with

Human

Applications

WB, IHC-P

applications

Immunogen

The exact immunogen used to generate this antibody is proprietary information.

Reactivity data

{ "title": "Reactivity Data", "filters": { "stats": ["", "Species", "Dilution Info", "Notes"], "tabs": { "all-applications": {"fullname" : "All Applications", "shortname": "All Applications"}, "WB" : {"fullname" : "Western blot", "shortname":"WB"}, "IHCP" : {"fullname" : "Immunohistochemistry (Formalin/PFA-fixed paraffin-embedded sections)", "shortname":"IHC-P"} }, "product-promise": { "all": "all", "testedAndGuaranteed": "tested", "guaranteed": "expected", "predicted": "predicted", "notRecommended": "not-recommended" } }, "values": { "Human": { "WB-species-checked": "testedAndGuaranteed", "WB-species-dilution-info": "1/1000", "WB-species-notes": "<p></p>", "IHCP-species-checked": "testedAndGuaranteed", "IHCP-species-dilution-info": "1/500 - 1/1000", "IHCP-species-notes": "<p></p>" } } }

Product details

Patented technology
Our RabMAb® technology is a patented hybridoma-based technology for making rabbit monoclonal antibodies. For details on our patents, please refer to RabMAb® patents.

What are the advantages of a recombinant monoclonal antibody?
This product is a recombinant monoclonal antibody, which offers several advantages including:

  • - High batch-to-batch consistency and reproducibility
  • - Improved sensitivity and specificity
  • - Long-term security of supply
  • - Animal-free batch production

For more information, read more on recombinant antibodies.

Properties and storage information

Form
Liquid
Purification technique
Affinity purification Protein A
Storage buffer
pH: 7.2 - 7.4 Preservative: 0.01% Sodium azide Constituents: PBS, 40% Glycerol (glycerin, glycerine), 0.05% BSA
Shipped at conditions
Blue Ice
Appropriate short-term storage duration
1-2 weeks
Appropriate short-term storage conditions
+4°C
Appropriate long-term storage conditions
-20°C
Aliquoting information
Upon delivery aliquot
Storage information
Avoid freeze / thaw cycle

Supplementary information

This supplementary information is collated from multiple sources and compiled automatically.

MRP2 also known as ABCC2 or MRP-2 transporter is an ATP-binding cassette transporter. This protein with a molecular mass of about 190 kDa is widely expressed in tissues such as the liver kidney and intestine. MRP2 plays a role in drug and metabolite transport moving various organic anions across cellular membranes. It locates to the canalicular membrane of hepatocytes where it functions in secreting conjugated bilirubin and drugs into bile.
Biological function summary

MRP2 contributes to cellular detoxification processes. It does not form part of a larger protein complex but works as an independent entity. MRP2 protein actively transports conjugated substances out of cells protecting tissues from potential damage from toxins drugs and other organic anions. This transporter mediates the excretion of glucuronide sulfate and glutathione conjugates playing an important role in phase III of drug metabolism.

Pathways

MRP2 transporter is integral to xenobiotic metabolism. It interconnects with the conjugation pathways that prepare compounds for excretion. The pathway functions with cytochrome P450 enzymes and other related transport proteins like MDR1 facilitating the secretion of detoxified metabolites. MRP2 activity influences pharmacokinetics and pharmacodynamics by modulating drug disposition and excretion.

MRP2 is associated with Dubin-Johnson syndrome and cholestasis. Dubin-Johnson syndrome arises from mutations in the ABCC2 gene leading to defective bilirubin excretion and jaundice. Cholestasis involves impaired bile excretion where MRP2 and possibly related proteins like BSEP play roles in bile salt export. Understanding MRP2 functioning aids in assessing risk and treatment strategies for these conditions.

Product protocols

For this product, it's our understanding that no specific protocols are required. You can visit:

Target data

ATP-dependent transporter of the ATP-binding cassette (ABC) family that binds and hydrolyzes ATP to enable active transport of various substrates including many drugs, toxicants and endogenous compound across cell membranes. Transports a wide variety of conjugated organic anions such as sulfate-, glucuronide- and glutathione (GSH)-conjugates of endo- and xenobiotics substrates (PubMed : 10220572, PubMed : 10421658, PubMed : 11500505, PubMed : 16332456). Mediates hepatobiliary excretion of mono- and bis-glucuronidated bilirubin molecules and therefore play an important role in bilirubin detoxification (PubMed : 10421658). Mediates also hepatobiliary excretion of others glucuronide conjugates such as 17beta-estradiol 17-glucosiduronic acid and leukotriene C4 (PubMed : 11500505). Transports sulfated bile salt such as taurolithocholate sulfate (PubMed : 16332456). Transports various anticancer drugs, such as anthracycline, vinca alkaloid and methotrexate and HIV-drugs such as protease inhibitors (PubMed : 10220572, PubMed : 11500505, PubMed : 12441801). Confers resistance to several anti-cancer drugs including cisplatin, doxorubicin, epirubicin, methotrexate, etoposide and vincristine (PubMed : 10220572, PubMed : 11500505).
See full target information ABCC2

Publications (6)

Recent publications for all applications. Explore the full list and refine your search

Cell reports methods 4:100903 PubMed39561715

2024

Accelerated production of human epithelial organoids in a miniaturized spinning bioreactor.

Applications

Unspecified application

Species

Unspecified reactive species

Shicheng Ye,Ary Marsee,Gilles S van Tienderen,Mohammad Rezaeimoghaddam,Hafsah Sheikh,Roos-Anne Samsom,Eelco J P de Koning,Sabine Fuchs,Monique M A Verstegen,Luc J W van der Laan,Frans van de Vosse,Jos Malda,Keita Ito,Bart Spee,Kerstin Schneeberger

Pathology international 74:222-226 PubMed38456605

2024

Papillary renal neoplasm with reverse polarity is biologically and clinically distinct from eosinophilic papillary renal cell carcinoma.

Applications

Unspecified application

Species

Unspecified reactive species

Vincent Francis Castillo,Kiril Trpkov,Theodorus Van der Kwast,Fabio Rotondo,Malek Hamdani,Rola Saleeb

Toxicological sciences : an official journal of the Society of Toxicology 199:227-245 PubMed38335931

2024

Development of a human liver microphysiological coculture system for higher throughput chemical safety assessment.

Applications

Unspecified application

Species

Unspecified reactive species

Blanche C Ip,Samantha J Madnick,Sophia Zheng,Tessa C A van Tongeren,Susan J Hall,Hui Li,Suzanne Martin,Sandrine Spriggs,Paul Carmichael,Wei Chen,David Ames,Lori A Breitweiser,Heather E Pence,Andrew J Bowling,Kamin J Johnson,Richard Cubberley,Jeffrey R Morgan,Kim Boekelheide

Biomacromolecules 25:590-604 PubMed38174962

2024

Gelatin-Based Hybrid Hydrogels as Matrices for Organoid Culture.

Applications

Unspecified application

Species

Unspecified reactive species

Nathan Carpentier,Shicheng Ye,Maarten D Delemarre,Louis Van der Meeren,André G Skirtach,Luc J W van der Laan,Kerstin Schneeberger,Bart Spee,Peter Dubruel,Sandra Van Vlierberghe

Journal of tissue engineering and regenerative medicine 12:2287-2298 PubMed30353697

2018

Time-dependent structural and functional characterization of subcutaneous human liver tissue.

Applications

Unspecified application

Species

Unspecified reactive species

Yusuke Sakai,Makiko Koike,Kosho Yamanouchi,Akihiko Soyama,Masaaki Hidaka,Tamotsu Kuroki,Susumu Eguchi

Scientific reports 8:11808 PubMed30087368

2018

Increased expression and altered localization of cathepsin Z are associated with progression to jaundice stage in primary biliary cholangitis.

Applications

Unspecified application

Species

Unspecified reactive species

Yoshihiro Aiba,Kenichi Harada,Masahiro Ito,Takashi Suematsu,Shinichi Aishima,Yuki Hitomi,Nao Nishida,Minae Kawashima,Mitsuhisa Takatsuki,Susumu Eguchi,Shinji Shimoda,Hitomi Nakamura,Atsumasa Komori,Seigo Abiru,Shinya Nagaoka,Kiyoshi Migita,Hiroshi Yatsuhashi,Katsushi Tokunaga,Minoru Nakamura
View all publications

Product promise

We are committed to supporting your work with high-quality reagents, and we're here for you every step of the way. In the unlikely event that one of our products does not perform as expected, you're protected by our Product Promise.
For full details, please see our Terms & Conditions

Please note: All products are 'FOR RESEARCH USE ONLY. NOT FOR USE IN DIAGNOSTIC OR THERAPEUTIC PROCEDURES'.

For licensing inquiries, please contact partnerships@abcam.com