JavaScript is disabled in your browser. Please enable JavaScript to view this website.
AB250927

Anti-MRP2 antibody [EPR10997(2)] - BSA and Azide free

Be the first to review this product! Submit a review

|

(0 Publication)

Rabbit Recombinant Monoclonal MRP2 antibody. Carrier free. Suitable for WB, IHC-P and reacts with Human samples.

View Alternative Names

CMOAT, CMOAT1, CMRP, MRP2, ABCC2, ATP-binding cassette sub-family C member 2, Canalicular multidrug resistance protein, Canalicular multispecific organic anion transporter 1, Multidrug resistance-associated protein 2

3 Images
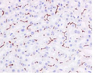
Immunohistochemistry (Formalin/PFA-fixed paraffin-embedded sections) - Anti-MRP2 antibody [EPR10997(2)] - BSA and Azide free (AB250927)
  • IHC-P

Supplier Data

Immunohistochemistry (Formalin/PFA-fixed paraffin-embedded sections) - Anti-MRP2 antibody [EPR10997(2)] - BSA and Azide free (AB250927)

This data was developed using ab187644, the same antibody clone in a different buffer formulation.

Immunohistochemistry analysis of paraffin-embedded Human liver tissue labeling MRP2 with ab187644 at 1/1000 dilution. A prediluted HRP polymer for Rabbit IgG used as secondary antibody. Counterstained with Hematoxylin.

Perform heat mediated antigen retrieval with Tris/EDTA buffer pH 9.0 before commencing with IHC staining protocol.

Western blot - Anti-MRP2 antibody [EPR10997(2)] - BSA and Azide free (AB250927)
  • WB

Lab

Western blot - Anti-MRP2 antibody [EPR10997(2)] - BSA and Azide free (AB250927)

This data was developed using ab187644, the same antibody clone in a different buffer formulation.

Lanes 1 - 4 : Merged signal (red and green). Green - ab187644 observed at 210 kDa. Red - loading control, ab130007, observed at 130 kDa.

ab187644 was shown to recognize MRP2 in wild-type A549 cells as signal was lost at the expected MW in ABCC2 knockout cells. Additional cross-reactive bands were observed in the wild-type and knockout cells. Wild-type and ABCC2 knockout samples were subjected to SDS-PAGE. The membrane was blocked with 3% Milk. ab187644 and ab130007 (Mouse anti-Vinculin loading control) were incubated overnight at 4°C at 1/1000 dilution and 1/1000 dilution respectively. Blots were developed with Goat anti-Rabbit IgG H&L (IRDye® 800CW) preabsorbed ab216773 and Goat anti-Mouse IgG H&L (IRDye® 680RD) preabsorbed ab216776 secondary antibodies at 1/20000 dilution for 1 hour at room temperature before imaging.

All lanes:

Western blot - Anti-MRP2 antibody [EPR10997(2)] (<a href='/en-us/products/primary-antibodies/mrp2-antibody-epr109972-ab187644'>ab187644</a>) at 1/1000 dilution

Lane 1:

Wild-type A549 (Human lung carcinoma cell line) whole cell lysate at 20 µg

Lane 2:

ABCC2 knockout A549 (Human lung carcinoma cell line) whole cell lysate at 20 µg

Lane 2:

Western blot - Human ABCC2 knockout A549 cell line (<a href='/en-us/products/cell-lines/human-abcc2-knockout-a549-cell-line-ab261855'>ab261855</a>)

Lane 3:

Hep G2 (Human liver hepatocellular carcinoma cell line) whole cell lysate at 20 µg

Lane 4:

HeLa (Human epithelial cell line from cervix adenocarcinoma) whole cell lysate at 20 µg

Predicted band size: 174 kDa

false

Western blot - Anti-MRP2 antibody [EPR10997(2)] - BSA and Azide free (AB250927)
  • WB

Supplier Data

Western blot - Anti-MRP2 antibody [EPR10997(2)] - BSA and Azide free (AB250927)

This data was developed using ab187644, the same antibody clone in a different buffer formulation.

All lanes:

Western blot - Anti-MRP2 antibody [EPR10997(2)] (<a href='/en-us/products/primary-antibodies/mrp2-antibody-epr109972-ab187644'>ab187644</a>) at 1/1000 dilution

Lane 1:

HepG2 lysate at 20 µg

Lane 2:

A549 lysate at 20 µg

Lane 3:

Human fetal liver lysate at 20 µg

Secondary

All lanes:

Goat Anti-Rabbit IgG, (H+L), Peroxidase conjugated at 1/1000 dilution

Predicted band size: 174 kDa

false

Key facts

Host species

Rabbit

Clonality

Monoclonal

Clone number

EPR10997(2)

Isotype

IgG

Carrier free

Yes

Reacts with

Human

Applications

IHC-P, WB

applications

Immunogen

The exact immunogen used to generate this antibody is proprietary information.

Reactivity data

{ "title": "Reactivity Data", "filters": { "stats": ["", "Species", "Dilution Info", "Notes"], "tabs": { "all-applications": {"fullname" : "All Applications", "shortname": "All Applications"}, "WB" : {"fullname" : "Western blot", "shortname":"WB"}, "IHCP" : {"fullname" : "Immunohistochemistry (Formalin/PFA-fixed paraffin-embedded sections)", "shortname":"IHC-P"} }, "product-promise": { "all": "all", "testedAndGuaranteed": "tested", "guaranteed": "expected", "predicted": "predicted", "notRecommended": "not-recommended" } }, "values": { "Human": { "WB-species-checked": "testedAndGuaranteed", "WB-species-dilution-info": "", "WB-species-notes": "<p></p> Perform heat-mediated antigen retrieval with Tris/EDTA buffer pH 9.0 before commencing with IHC staining protocol.", "IHCP-species-checked": "testedAndGuaranteed", "IHCP-species-dilution-info": "", "IHCP-species-notes": "<p></p> Perform heat-mediated antigen retrieval with Tris/EDTA buffer pH 9.0 before commencing with IHC staining protocol." } } }

Product details

ab250927 is the carrier-free version of ab187644.

Patented technology
Our RabMAb® technology is a patented hybridoma-based technology for making rabbit monoclonal antibodies. For details on our patents, please refer to RabMAb® patents.

What are the advantages of a recombinant monoclonal antibody?
This product is a recombinant monoclonal antibody, which offers several advantages including:

  • - High batch-to-batch consistency and reproducibility
  • - Improved sensitivity and specificity
  • - Long-term security of supply
  • - Animal-free batch production

For more information, read more on recombinant antibodies.

Conjugation ready
Our carrier-free antibodies are typically supplied in a PBS-only formulation, purified and free of BSA, sodium azide and glycerol. This conjugation-ready format is designed for use with fluorochromes, metal isotopes, oligonucleotides, and enzymes, which makes them ideal for antibody labelling, functional and cell-based assays, flow-based assays (e.g. mass cytometry) and Multiplex Imaging applications.

Use our conjugation kits for antibody conjugates that are ready-to-use in as little as 20 minutes with 1 minute hands-on-time and 100% antibody recovery: available for fluorescent dyes, HRP, biotin and gold.

Compatibility
This product is compatible with the Maxpar® Antibody Labeling Kit from Fluidigm, without the need for antibody preparation. Maxpar® is a trademark of Fluidigm Canada Inc.

Properties and storage information

Form
Liquid
Purification technique
Affinity purification Protein A
Storage buffer
pH: 7.2 - 7.4 Constituents: PBS
Shipped at conditions
Blue Ice
Appropriate short-term storage conditions
+4°C
Appropriate long-term storage conditions
+4°C
Storage information
Do Not Freeze

Supplementary information

This supplementary information is collated from multiple sources and compiled automatically.

MRP2 also known as ABCC2 or MRP-2 transporter is an ATP-binding cassette transporter. This protein with a molecular mass of about 190 kDa is widely expressed in tissues such as the liver kidney and intestine. MRP2 plays a role in drug and metabolite transport moving various organic anions across cellular membranes. It locates to the canalicular membrane of hepatocytes where it functions in secreting conjugated bilirubin and drugs into bile.
Biological function summary

MRP2 contributes to cellular detoxification processes. It does not form part of a larger protein complex but works as an independent entity. MRP2 protein actively transports conjugated substances out of cells protecting tissues from potential damage from toxins drugs and other organic anions. This transporter mediates the excretion of glucuronide sulfate and glutathione conjugates playing an important role in phase III of drug metabolism.

Pathways

MRP2 transporter is integral to xenobiotic metabolism. It interconnects with the conjugation pathways that prepare compounds for excretion. The pathway functions with cytochrome P450 enzymes and other related transport proteins like MDR1 facilitating the secretion of detoxified metabolites. MRP2 activity influences pharmacokinetics and pharmacodynamics by modulating drug disposition and excretion.

MRP2 is associated with Dubin-Johnson syndrome and cholestasis. Dubin-Johnson syndrome arises from mutations in the ABCC2 gene leading to defective bilirubin excretion and jaundice. Cholestasis involves impaired bile excretion where MRP2 and possibly related proteins like BSEP play roles in bile salt export. Understanding MRP2 functioning aids in assessing risk and treatment strategies for these conditions.

Product protocols

For this product, it's our understanding that no specific protocols are required. You can visit:

Target data

ATP-dependent transporter of the ATP-binding cassette (ABC) family that binds and hydrolyzes ATP to enable active transport of various substrates including many drugs, toxicants and endogenous compound across cell membranes. Transports a wide variety of conjugated organic anions such as sulfate-, glucuronide- and glutathione (GSH)-conjugates of endo- and xenobiotics substrates (PubMed : 10220572, PubMed : 10421658, PubMed : 11500505, PubMed : 16332456). Mediates hepatobiliary excretion of mono- and bis-glucuronidated bilirubin molecules and therefore play an important role in bilirubin detoxification (PubMed : 10421658). Mediates also hepatobiliary excretion of others glucuronide conjugates such as 17beta-estradiol 17-glucosiduronic acid and leukotriene C4 (PubMed : 11500505). Transports sulfated bile salt such as taurolithocholate sulfate (PubMed : 16332456). Transports various anticancer drugs, such as anthracycline, vinca alkaloid and methotrexate and HIV-drugs such as protease inhibitors (PubMed : 10220572, PubMed : 11500505, PubMed : 12441801). Confers resistance to several anti-cancer drugs including cisplatin, doxorubicin, epirubicin, methotrexate, etoposide and vincristine (PubMed : 10220572, PubMed : 11500505).
See full target information ABCC2

Product promise

We are committed to supporting your work with high-quality reagents, and we're here for you every step of the way. In the unlikely event that one of our products does not perform as expected, you're protected by our Product Promise.
For full details, please see our Terms & Conditions

Please note: All products are 'FOR RESEARCH USE ONLY. NOT FOR USE IN DIAGNOSTIC OR THERAPEUTIC PROCEDURES'.

For licensing inquiries, please contact partnerships@abcam.com