JavaScript is disabled in your browser. Please enable JavaScript to view this website.
AB172630

Anti-MRP2 antibody [EPR10998]

  • BOND RX™ Validated
  • RabMAb
  • Recombinant
  • KO Validated
  • 20ul selling size
  • What is this?

Be the first to review this product! Submit a review

|

(26 Publications)

Anti-MRP2 antibody [EPR10998] (ab172630) is a rabbit monoclonal antibody detecting MRP2 in Western Blot, Flow Cytometry (Intra), Flow Cytometry, IHC-P, ICC/IF. Suitable for Human, Mouse.

- KO validated for confirmed specificity
- Biophysical QC for unrivalled batch-batch consistency
- Over 10 publications

View Alternative Names

CMOAT, CMOAT1, CMRP, MRP2, ABCC2, ATP-binding cassette sub-family C member 2, Canalicular multidrug resistance protein, Canalicular multispecific organic anion transporter 1, Multidrug resistance-associated protein 2

12 Images
Flow Cytometry (Intracellular) - Anti-MRP2 antibody [EPR10998] (AB172630)
  • Flow Cyt (Intra)

Supplier Data

Flow Cytometry (Intracellular) - Anti-MRP2 antibody [EPR10998] (AB172630)

Intracellular flow cytometric analysis of permeabilized A549 cells usingab172630 at a 1/100 dilution (red) or a rabbit IgG (negative) (green).

Immunohistochemistry (Formalin/PFA-fixed paraffin-embedded sections) - Anti-MRP2 antibody [EPR10998] (AB172630)
  • IHC-P

Lab

Immunohistochemistry (Formalin/PFA-fixed paraffin-embedded sections) - Anti-MRP2 antibody [EPR10998] (AB172630)

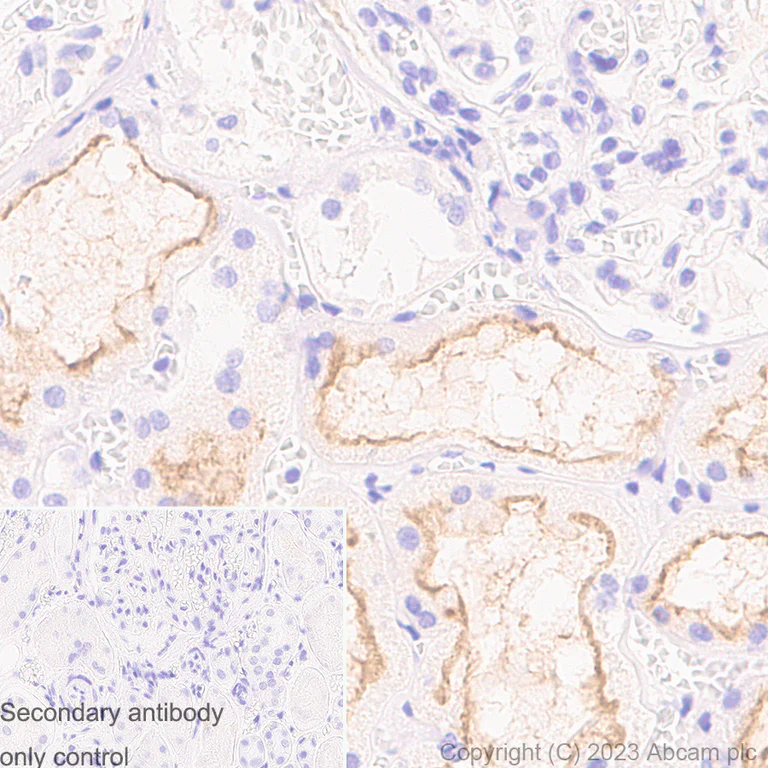
Immunohistochemistry analysis of Paraffin-embedded human kidney tissue sections labeling MRP2 with ab172630 at 10000 dilution followed by LeicaDS9800 (Bond™ Polymer Refine Detection). Sections were counterstained with Hematoxylin. Antigen retrieval  was heat mediated with Tris-EDTA buffer (pH 9.0, Epitope Retrieval Solution2) for 20 mins. Positive staining on human kidney. The section was incubated with ab172630 for 30 mins at room temperature. The immunostaining was performed on a Leica Biosystems BOND® RX instrument

Immunohistochemistry (Formalin/PFA-fixed paraffin-embedded sections) - Anti-MRP2 antibody [EPR10998] (AB172630)
  • IHC-P

Lab

Immunohistochemistry (Formalin/PFA-fixed paraffin-embedded sections) - Anti-MRP2 antibody [EPR10998] (AB172630)

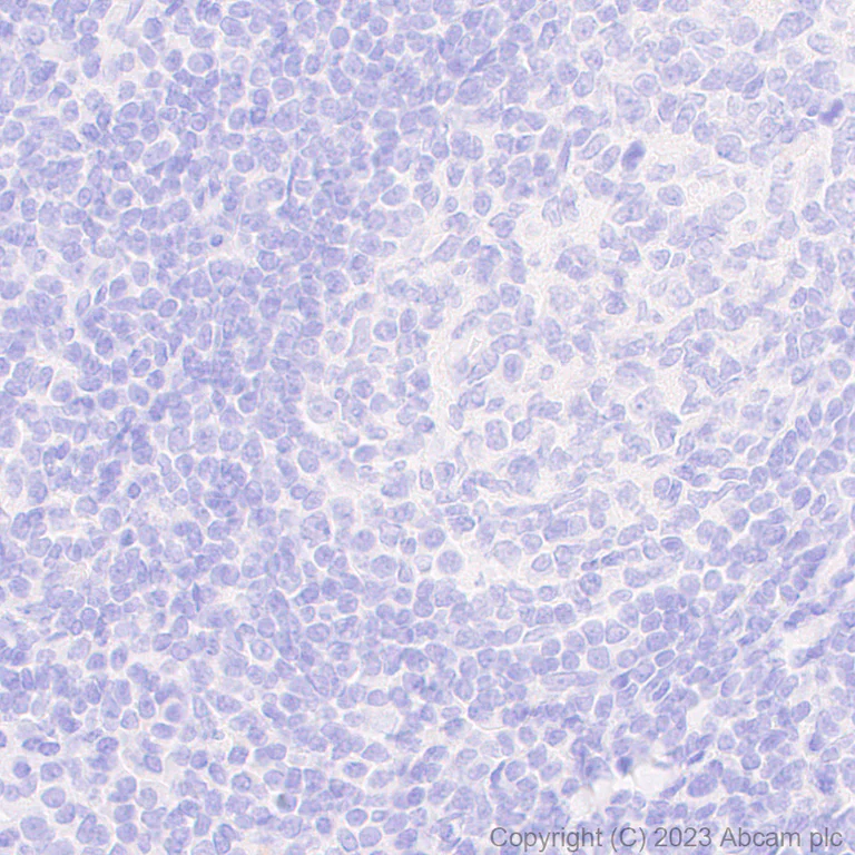
Immunohistochemistry analysis of Paraffin-embedded human tonsil tissue sections labeling MRP2 with ab172630 at 10000 dilution followed by LeicaDS9800 (Bond™ Polymer Refine Detection). Sections were counterstained with Hematoxylin. Antigen retrieval  was heat mediated with Tris-EDTA buffer (pH 9.0, Epitope Retrieval Solution2) for 20 mins. Negative control : no staining on the human tonsil. The section was incubated with ab172630 for 30 mins at room temperature. The immunostaining was performed on a Leica Biosystems BOND® RX instrument.

Immunohistochemistry (Formalin/PFA-fixed paraffin-embedded sections) - Anti-MRP2 antibody [EPR10998] (AB172630)
  • IHC-P

Supplier Data

Immunohistochemistry (Formalin/PFA-fixed paraffin-embedded sections) - Anti-MRP2 antibody [EPR10998] (AB172630)

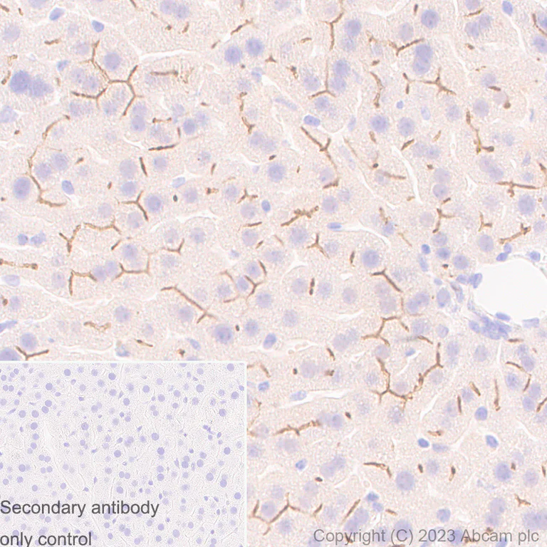
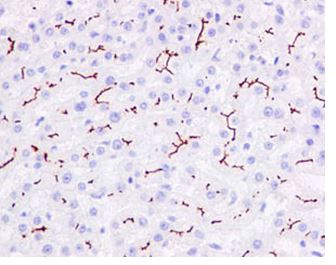
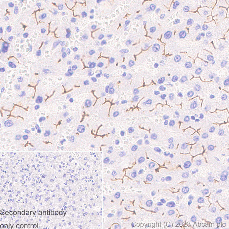
Immunohistochemistry analysis of Paraffin-embedded human liver tissue sections labeling MRP2 with ab172630 at 10000 dilution followed by LeicaDS9800 (Bond™ Polymer Refine Detection). Sections were counterstained with Hematoxylin. Antigen retrieval  was heat mediated with Tris-EDTA buffer (pH 9.0, Epitope Retrieval Solution2) for 20 mins. Positive staining on the bile ducts in human liver. The section was incubated with ab172630 for 30 mins at room temperature. The immunostaining was performed on a Leica Biosystems BOND® RX instrument.

Immunocytochemistry/ Immunofluorescence - Anti-MRP2 antibody [EPR10998] (AB172630)
  • ICC/IF

Unknown

Immunocytochemistry/ Immunofluorescence - Anti-MRP2 antibody [EPR10998] (AB172630)

Immunocytochemistry/ Immunofluorescence analysis of HepG2 (Human hepatocellular carcinoma epithelial cell) cells labeling MRP2 with purified ab172630 at 1 : 100 dilution (7.1 µg/ml). Cells were fixed in 4% Paraformaldehyde and permeabilized with 0.1% tritonX-100. Cells were counterstained with None. Goat anti rabbit IgG (Alexa Fluor® 488, ab150077) was used as the secondary antibody at 1 : 1000 (2 µg/ml) dilution. DAPI nuclear counterstain. PBS instead of the primary antibody was used as the secondary antibody only control.

Immunocytochemistry/ Immunofluorescence - Anti-MRP2 antibody [EPR10998] (AB172630)
  • ICC/IF

Supplier Data

Immunocytochemistry/ Immunofluorescence - Anti-MRP2 antibody [EPR10998] (AB172630)

Immunocytochemistry/ Immunofluorescence analysis of A549 cells labeling MRP2 with ab172630 at a 1/250 dilution.

Flow Cytometry (Intracellular) - Anti-MRP2 antibody [EPR10998] (AB172630)
  • Flow Cyt (Intra)

Unknown

Flow Cytometry (Intracellular) - Anti-MRP2 antibody [EPR10998] (AB172630)

Intracellular Flow Cytometry analysis of A549 (Human lung carcinoma epithelial cell) cells labeling MRP2 with purified ab172630 at 1/70 dilution (10 μg/ml) (red). Cells were fixed with 4% Paraformaldehyde. A Goat anti rabbit IgG (Alexa Fluor® 488, ab150077) secondary antibody was used at 1/2000. Isotype control - Rabbit monoclonal IgG (Black). Unlabeled control - Cell without incubation with primary antibody and secondary antibody (Blue).

Immunohistochemistry (Formalin/PFA-fixed paraffin-embedded sections) - Anti-MRP2 antibody [EPR10998] (AB172630)
  • IHC-P

Lab

Immunohistochemistry (Formalin/PFA-fixed paraffin-embedded sections) - Anti-MRP2 antibody [EPR10998] (AB172630)

Immunohistochemistry analysis of Paraffin-embedded mouse liver tissue sections labeling MRP2 with ab172630 at 10000 dilution followed by LeicaDS9800 (Bond™ Polymer Refine Detection). Sections were counterstained with Hematoxylin. Antigen retrieval  was heat mediated with Tris-EDTA buffer (pH 9.0, Epitope Retrieval Solution2) for 20 mins. Positive staining on the bile ducts in mouse liver. The section was incubated with ab172630 for 30 mins at room temperature. The immunostaining was performed on a Leica Biosystems BOND® RX instrument.

Western blot - Anti-MRP2 antibody [EPR10998] (AB172630)
  • WB

Lab

Western blot - Anti-MRP2 antibody [EPR10998] (AB172630)

The multiple bands are consistent with what has been described in PMID : 18832477

All lanes:

Western blot - Anti-MRP2 antibody [EPR10998] (ab172630) at 1/2000 dilution

All lanes:

HepG2 (Human hepatocellular carcinoma epithelial cell) whole cell lysate at 20 µg

Secondary

All lanes:

Western blot - Goat Anti-Rabbit IgG H&L (HRP) (<a href='/en-us/products/secondary-antibodies/goat-rabbit-igg-h-l-hrp-ab97051'>ab97051</a>) at 1/20000 dilution

Predicted band size: 174 kDa

Observed band size: >190 kDa

false

Western blot - Anti-MRP2 antibody [EPR10998] (AB172630)
  • WB

Supplier Data

Western blot - Anti-MRP2 antibody [EPR10998] (AB172630)

All lanes:

Western blot - Anti-MRP2 antibody [EPR10998] (ab172630) at 1/1000 dilution

Lane 1:

Human fetal liver lysate at 10 µg

Lane 2:

HepG2 lysate at 10 µg

Lane 3:

A549 lysate at 10 µg

Predicted band size: 174 kDa

false

Western blot - Anti-MRP2 antibody [EPR10998] (AB172630)
  • WB

Lab

Western blot - Anti-MRP2 antibody [EPR10998] (AB172630)

Lanes 1 - 4 : Merged signal (red and green). Green - ab172630 observed at 210 kDa. Red - loading control, ab130007, observed at 130 kDa.

ab172630 was shown to recognize MRP2 in wild-type A549 cells as signal was lost at the expected MW in ABCC2 knockout cells. Additional cross-reactive bands were observed in the wild-type and knockout cells. Wild-type and ABCC2 knockout samples were subjected to SDS-PAGE. The membrane was blocked with 3% Milk. ab172630 and ab130007 (Mouse anti-Vinculin loading control) were incubated overnight at 4°C at 1/1000 dilution and 1/1000 dilution respectively. Blots were developed with Goat anti-Rabbit IgG H&L (IRDye® 800CW) preabsorbed ab216773 and Goat anti-Mouse IgG H&L (IRDye® 680RD) preabsorbed ab216776 secondary antibodies at 1/20000 dilution for 1 hour at room temperature before imaging.

All lanes:

Western blot - Anti-MRP2 antibody [EPR10998] (ab172630) at 1/1000 dilution

Lane 1:

Wild-type A549 (Human lung carcinoma cell line) whole cell lysate at 20 µg

Lane 2:

ABCC2 knockout A549 (Human lung carcinoma cell line) whole cell lysate at 20 µg

Lane 2:

Western blot - Human ABCC2 knockout A549 cell line (<a href='/en-us/products/cell-lines/human-abcc2-knockout-a549-cell-line-ab261855'>ab261855</a>)

Lane 3:

Hep G2 (Human liver hepatocellular carcinoma cell line) whole cell lysate at 20 µg

Lane 4:

HeLa (Human epithelial cell line from cervix adenocarcinoma) whole cell lysate at 20 µg

Predicted band size: 174 kDa

false

Western blot - Anti-MRP2 antibody [EPR10998] (AB172630)
  • WB

CiteAb

Western blot - Anti-MRP2 antibody [EPR10998] (AB172630)

MRP2 western blot using anti-MRP2 antibody [EPR10998] ab172630. Publication image and figure legend from Wu, L., Li, Y., et al., 2020, Orphanet J Rare Dis, PubMed 32183854.

ab172630 was used in this publication in western blot. This may not be the same as the application(s) guaranteed by Abcam. For a full list of applications guaranteed by Abcam for ab172630 please see the product overview.

The MRP2 p.G693R mutant showed decreased expression and mislocalization in three cell lines in vitro. a Western blot demonstrated significantly decreased expression of MRP2 in three cell lines expressing the p.G693R mutant compared with those expressing wild-type MRP2. **p < 0.05. b Immunofluorescence assay showed the mislocalization of the MRP2 p.G693R mutant, which was predominantly retained in the cytoplasm rather than the cell surface

false

  • Carrier free

    Anti-MRP2 antibody [EPR10998] - BSA and Azide free

  • 519 Alexa Fluor® 488

    Alexa Fluor® 488 Anti-MRP2 antibody [EPR10998]

  • 665 Alexa Fluor® 647

    Alexa Fluor® 647 Anti-MRP2 antibody [EPR10998]

  • 565 Alexa Fluor® 555

    Alexa Fluor® 555 Anti-MRP2 antibody [EPR10998]

  • 617 Alexa Fluor® 594

    Alexa Fluor® 594 Anti-MRP2 antibody [EPR10998]

  • 578 PE

    PE Anti-MRP2 antibody [EPR10998]

  • 660 APC

    APC Anti-MRP2 antibody [EPR10998]

Key facts

Host species

Rabbit

Clonality

Monoclonal

Clone number

EPR10998

Isotype

IgG

Carrier free

No

Reacts with

Human, Mouse

Applications

IHC-P, ICC/IF, WB, Flow Cyt (Intra)

applications

Immunogen

The exact immunogen used to generate this antibody is proprietary information.

Reactivity data

{ "title": "Reactivity Data", "filters": { "stats": ["", "Species", "Dilution Info", "Notes"], "tabs": { "all-applications": {"fullname" : "All Applications", "shortname": "All Applications"}, "IP" : {"fullname" : "Immunoprecipitation", "shortname":"IP"}, "WB" : {"fullname" : "Western blot", "shortname":"WB"}, "IHCP" : {"fullname" : "Immunohistochemistry (Formalin/PFA-fixed paraffin-embedded sections)", "shortname":"IHC-P"}, "ICCIF" : {"fullname" : "Immunocytochemistry/ Immunofluorescence", "shortname":"ICC/IF"}, "FlowCytIntra" : {"fullname" : "Flow Cytometry (Intracellular)", "shortname":"Flow Cyt (Intra)"} }, "product-promise": { "all": "all", "testedAndGuaranteed": "tested", "guaranteed": "expected", "predicted": "predicted", "notRecommended": "not-recommended" } }, "values": { "Human": { "IP-species-checked": "notRecommended", "IP-species-dilution-info": "", "IP-species-notes": "<p></p>", "WB-species-checked": "testedAndGuaranteed", "WB-species-dilution-info": "1/1000 - 1/10000", "WB-species-notes": "<p></p>", "IHCP-species-checked": "testedAndGuaranteed", "IHCP-species-dilution-info": "", "IHCP-species-notes": "<p></p>", "ICCIF-species-checked": "testedAndGuaranteed", "ICCIF-species-dilution-info": "1/100", "ICCIF-species-notes": "<p><strong>For unpurified use at 1/250 - 1/500.</strong></p>", "FlowCytIntra-species-checked": "testedAndGuaranteed", "FlowCytIntra-species-dilution-info": "1/70", "FlowCytIntra-species-notes": "<p><a href='/en-us/products/primary-antibodies/rabbit-igg-monoclonal-epr25a-isotype-control-ab172730'>ab172730</a> - Rabbit monoclonal IgG, is suitable for use as an isotype control with this antibody. For unpurified use at 1/100 - 1/500.</p>" }, "Mouse": { "IP-species-checked": "notRecommended", "IP-species-dilution-info": "", "IP-species-notes": "", "WB-species-checked": "notRecommended", "WB-species-dilution-info": "", "WB-species-notes": "<p></p>", "IHCP-species-checked": "testedAndGuaranteed", "IHCP-species-dilution-info": "", "IHCP-species-notes": "<p></p>", "ICCIF-species-checked": "guaranteed", "ICCIF-species-dilution-info": "", "ICCIF-species-notes": "", "FlowCytIntra-species-checked": "guaranteed", "FlowCytIntra-species-dilution-info": "", "FlowCytIntra-species-notes": "" } } }

Product details

What is this antibody validated in?
Anti-MRP2 antibody [EPR10998] (ab172630) is a rabbit recombinant monoclonal antibody and is validated for use in Western Blot (WB), Flow Cytometry (Intra), Flow Cytometry (Flow Cyt), Immunohistochemistry (IHC-P), Immunocytochemistry/immunofluorescence (ICC/IF) in Human, Mouse samples.

What is the molecular weight of MRP2?
Anti-MRP2 [EPR10998] (ab172630) specifically detects a band for MRP2 (UniProt: Q92887) at a molecular weight of 174kDa.

Trusted by the scientific community
Anti-MRP2 [EPR10998] (ab172630) was first used in a scientific publication in 2013 and has been cited over 10 times in peer-reviewed journals.

Trial sizes available!
Test your antibody or perform pre-screening before committing to a larger quantity. Sold in 10µl. Discover our selection of trial-size antibodies.

Specificity confirmed
The specificity of Anti-MRP2 antibody [EPR10998] (ab172630) has been confirmed by Western blot testing in ABCC2 Knockout A549 cells.

Other related products
We have a range of other formats of antibody clone [EPR10998] also available for your convenience: ab172630, Carrier free - ab240169, Alexa Fluor® 488 - ab320174, Alexa Fluor® 647 - ab320175, Alexa Fluor® 555 - ab320176, Alexa Fluor® 594 - ab320177, PE - ab320178, APC - ab320179

Species reactivity
Mouse, Rat: We have preliminary internal testing data to indicate this antibody may not react with these species.
Please contact us for more information.

Patented technology
Our RabMAb® technology is a patented hybridoma-based technology for making rabbit monoclonal antibodies. For details on our patents, please refer to RabMAb® patents.

What are the advantages of a recombinant monoclonal antibody?
This product is a recombinant monoclonal antibody, which offers several advantages including:

  • - High batch-to-batch consistency and reproducibility
  • - Improved sensitivity and specificity
  • - Long-term security of supply
  • - Animal-free batch production

For more information, read more on recombinant antibodies.

Properties and storage information

Form
Liquid
Purification technique
Affinity purification Protein A
Storage buffer
Preservative: 0.01% Sodium azide Constituents: PBS, 40% Glycerol (glycerin, glycerine), 0.05% BSA
Shipped at conditions
Blue Ice
Appropriate short-term storage duration
1-2 weeks
Appropriate short-term storage conditions
+4°C
Appropriate long-term storage conditions
-20°C
Aliquoting information
Upon delivery aliquot
Storage information
Avoid freeze / thaw cycle

Supplementary information

This supplementary information is collated from multiple sources and compiled automatically.

MRP2 also known as ABCC2 or MRP-2 transporter is an ATP-binding cassette transporter. This protein with a molecular mass of about 190 kDa is widely expressed in tissues such as the liver kidney and intestine. MRP2 plays a role in drug and metabolite transport moving various organic anions across cellular membranes. It locates to the canalicular membrane of hepatocytes where it functions in secreting conjugated bilirubin and drugs into bile.
Biological function summary

MRP2 contributes to cellular detoxification processes. It does not form part of a larger protein complex but works as an independent entity. MRP2 protein actively transports conjugated substances out of cells protecting tissues from potential damage from toxins drugs and other organic anions. This transporter mediates the excretion of glucuronide sulfate and glutathione conjugates playing an important role in phase III of drug metabolism.

Pathways

MRP2 transporter is integral to xenobiotic metabolism. It interconnects with the conjugation pathways that prepare compounds for excretion. The pathway functions with cytochrome P450 enzymes and other related transport proteins like MDR1 facilitating the secretion of detoxified metabolites. MRP2 activity influences pharmacokinetics and pharmacodynamics by modulating drug disposition and excretion.

MRP2 is associated with Dubin-Johnson syndrome and cholestasis. Dubin-Johnson syndrome arises from mutations in the ABCC2 gene leading to defective bilirubin excretion and jaundice. Cholestasis involves impaired bile excretion where MRP2 and possibly related proteins like BSEP play roles in bile salt export. Understanding MRP2 functioning aids in assessing risk and treatment strategies for these conditions.

Product protocols

For this product, it's our understanding that no specific protocols are required. You can visit:

Target data

ATP-dependent transporter of the ATP-binding cassette (ABC) family that binds and hydrolyzes ATP to enable active transport of various substrates including many drugs, toxicants and endogenous compound across cell membranes. Transports a wide variety of conjugated organic anions such as sulfate-, glucuronide- and glutathione (GSH)-conjugates of endo- and xenobiotics substrates (PubMed : 10220572, PubMed : 10421658, PubMed : 11500505, PubMed : 16332456). Mediates hepatobiliary excretion of mono- and bis-glucuronidated bilirubin molecules and therefore play an important role in bilirubin detoxification (PubMed : 10421658). Mediates also hepatobiliary excretion of others glucuronide conjugates such as 17beta-estradiol 17-glucosiduronic acid and leukotriene C4 (PubMed : 11500505). Transports sulfated bile salt such as taurolithocholate sulfate (PubMed : 16332456). Transports various anticancer drugs, such as anthracycline, vinca alkaloid and methotrexate and HIV-drugs such as protease inhibitors (PubMed : 10220572, PubMed : 11500505, PubMed : 12441801). Confers resistance to several anti-cancer drugs including cisplatin, doxorubicin, epirubicin, methotrexate, etoposide and vincristine (PubMed : 10220572, PubMed : 11500505).
See full target information ABCC2

Publications (26)

Recent publications for all applications. Explore the full list and refine your search

Cells 14: PubMed40558556

2025

A Novel Modulator of Resistance for Oxaliplatin-Based Therapy for Colorectal Cancer: The ESCRT Family Member VPS4A.

Applications

Unspecified application

Species

Unspecified reactive species

Noha M Abdelrazik,Anjana Patel,Andrew Conn,Christopher W Sutton,Sriharsha Kantamneni,Steven D Shnyder

Parasitology :1-8 PubMed40539550

2025

An accessible 3D HepG2/C3A liver spheroid model supporting the complete intrahepatocytic lifecycle of .

Applications

Unspecified application

Species

Unspecified reactive species

Claire H Caygill,Salwa Omar Alqurashi,Adriana Adolfi,Jessica Carson,Angelika Sturm,Daniel S Evans,Jess B Jinks,Koen J Dechering,Lisa Reimer,Shaun H Pennington,Parveen Sharma,Stephen A Ward,Giancarlo A Biagini

International journal of biological sciences 21:1632-1648 PubMed39990675

2025

BAP31-ELAVL1-SPINK6 axis induces loss of cell polarity and promotes metastasis in hepatocellular carcinoma.

Applications

Unspecified application

Species

Unspecified reactive species

Xiyang Zhang,Jing Wang,Xiaohua Liang,Dongbo Jiang,Yuanjie Sun,Chenchen Hu,Feiming Hu,Yuanli He,Yubo Sun,Junqi Zhang,Jiaqi Ding,Sirui Cai,Yueyue Wang,Shuya Yang,Kun Yang

Materials today. Bio 31:101515 PubMed39911370

2025

3D bioprinting lobule-like hepatorganoids with induced vascularization for orthotopic implantation.

Applications

Unspecified application

Species

Unspecified reactive species

Jianing Yan,Zhichao Ye,Yiwei Lu,Yuyang Yuan,Xiaofeng Wang,Tingting Yan,Jun Yin,Yifan Wang

STAR protocols 5:103234 PubMed39128008

2024

Protocol to create phenotypic primary human hepatocyte cultures using the RASTRUM 3D cell model platform.

Applications

Unspecified application

Species

Unspecified reactive species

Christine Yee,Yik Lung Chan,Robert Utama,Marie Besnier,Martin Engel,Lisa Belfiore

Bioengineering & translational medicine 9:e10659 PubMed39036087

2024

Human induced pluripotent stem cells-derived liver organoids grown on a Biomimesys® hyaluronic acid-based hydroscaffold as a new model for studying human lipoprotein metabolism.

Applications

Unspecified application

Species

Unspecified reactive species

Meryl Roudaut,Amandine Caillaud,Zied Souguir,Lise Bray,Aurore Girardeau,Antoine Rimbert,Mikaël Croyal,Gilles Lambert,Murielle Patitucci,Gaspard Delpouve,Élodie Vandenhaute,Cédric Le May,Nathalie Maubon,Bertrand Cariou,Karim Si-Tayeb

OncoTargets and therapy 17:471-487 PubMed38895133

2024

Unraveling the Mechanism of Curculiginis Rhizoma in Suppressing Cisplatin Resistance in Non-Small Cell Lung Cancer: An Experimental Study.

Applications

Unspecified application

Species

Unspecified reactive species

Xin Huang,Meng Wang,Baochen Zhu,Yu Hao,Ruoyu Gao,Wenhui Liu,Jiaojiao Cheng,Guodong Hua,Chunmiao Xue

Acta pharmaceutica Sinica. B 13:4477-4501 PubMed37969736

2023

Miriplatin-loaded liposome, as a novel mitophagy inducer, suppresses pancreatic cancer proliferation through blocking POLG and TFAM-mediated mtDNA replication.

Applications

Unspecified application

Species

Unspecified reactive species

Xiaowei Wang,Mengyan Wang,Meilian Cai,Rongguang Shao,Guimin Xia,Wuli Zhao

International journal of molecular sciences 24: PubMed36674764

2023

HOXB9 Overexpression Confers Chemoresistance to Ovarian Cancer Cells by Inducing ERCC-1, MRP-2, and XIAP.

Applications

Unspecified application

Species

Unspecified reactive species

Dong Hoon Suh,Wook Ha Park,Miseon Kim,Kidong Kim,Jae Hong No,Yong Beom Kim

Microbiology spectrum 10:e0324222 PubMed36409145

2022

Transcriptome and Gut Microbiota Profiling Analysis of ANIT-Induced Cholestasis and the Effects of Da-Huang-Xiao-Shi Decoction Intervention.

Applications

Unspecified application

Species

Unspecified reactive species

Wang Wang,Shujun Jiang,Chengcheng Xu,Lili Tang,Yan Liang,Yang Zhao,Guoxue Zhu
View all publications

Product promise

We are committed to supporting your work with high-quality reagents, and we're here for you every step of the way. In the unlikely event that one of our products does not perform as expected, you're protected by our Product Promise.
For full details, please see our Terms & Conditions

Please note: All products are 'FOR RESEARCH USE ONLY. NOT FOR USE IN DIAGNOSTIC OR THERAPEUTIC PROCEDURES'.

For licensing inquiries, please contact partnerships@abcam.com