JavaScript is disabled in your browser. Please enable JavaScript to view this website.
AB268263

Anti-MRP3 antibody [ABCC3/2971] - BSA and Azide free

Be the first to review this product! Submit a review

|

(0 Publication)

Mouse Monoclonal MRP3 antibody. Carrier free. Suitable for Protein Array, IHC-P and reacts with Human samples. Immunogen corresponding to Recombinant Fragment Protein within Human ABCC3 aa 800-1000.

View Alternative Names

CMOAT2, MLP2, MRP3, ABCC3, ATP-binding cassette sub-family C member 3, Canalicular multispecific organic anion transporter 2, Multi-specific organic anion transporter D, Multidrug resistance-associated protein 3, MOAT-D

4 Images
Immunohistochemistry (Formalin/PFA-fixed paraffin-embedded sections) - Anti-MRP3 antibody [ABCC3/2971] - BSA and Azide free (AB268263)
  • IHC-P

Unknown

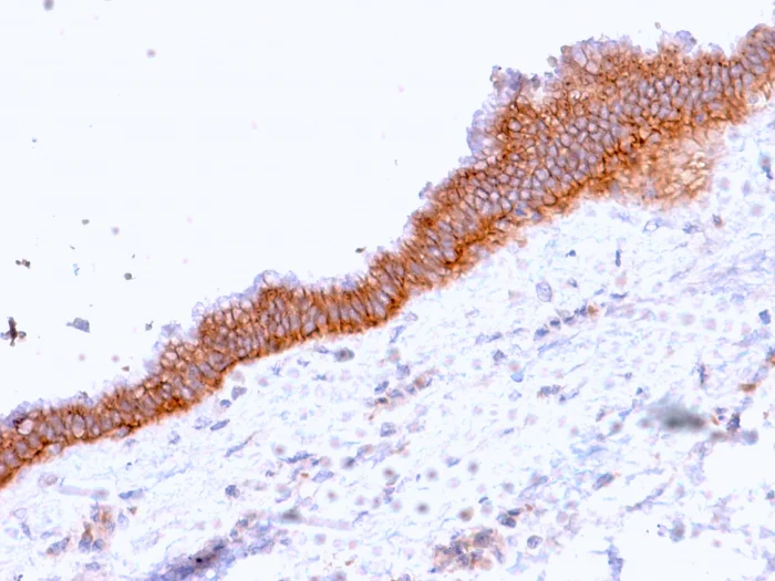
Immunohistochemistry (Formalin/PFA-fixed paraffin-embedded sections) - Anti-MRP3 antibody [ABCC3/2971] - BSA and Azide free (AB268263)

Formalin-fixed, paraffin-embedded human pancreatic carcinoma tissue stained for MRP3 using ab268139 at 2μg/ml in immunohistochemical analysis.

This data was developed using the same antibody clone in a different buffer formulation containing PBS, BSA and Sodium azide (ab268139)

Immunohistochemistry (Formalin/PFA-fixed paraffin-embedded sections) - Anti-MRP3 antibody [ABCC3/2971] - BSA and Azide free (AB268263)
  • IHC-P

Unknown

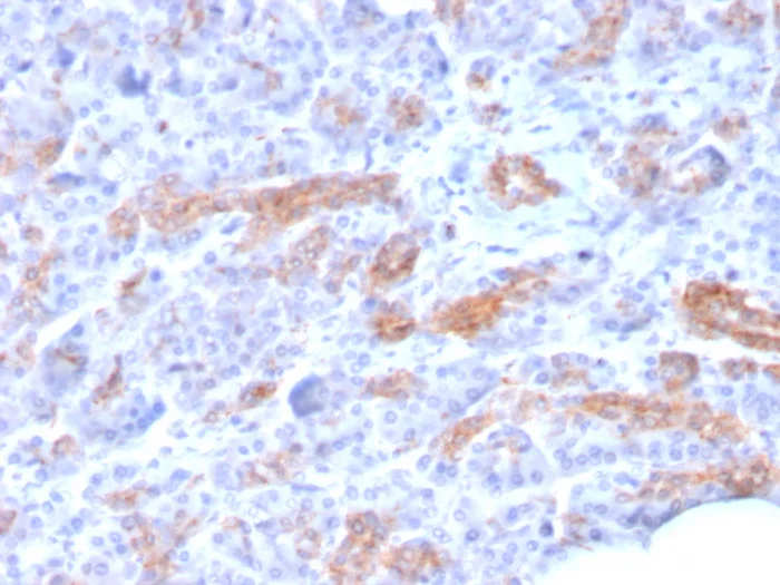
Immunohistochemistry (Formalin/PFA-fixed paraffin-embedded sections) - Anti-MRP3 antibody [ABCC3/2971] - BSA and Azide free (AB268263)

Formalin-fixed, paraffin-embedded human pancreatic carcinoma tissue stained for MRP3 using ab268139 at 2μg/ml in immunohistochemical analysis.

This data was developed using the same antibody clone in a different buffer formulation containing PBS, BSA and Sodium azide (ab268139)

Immunohistochemistry (Formalin/PFA-fixed paraffin-embedded sections) - Anti-MRP3 antibody [ABCC3/2971] - BSA and Azide free (AB268263)
  • IHC-P

Unknown

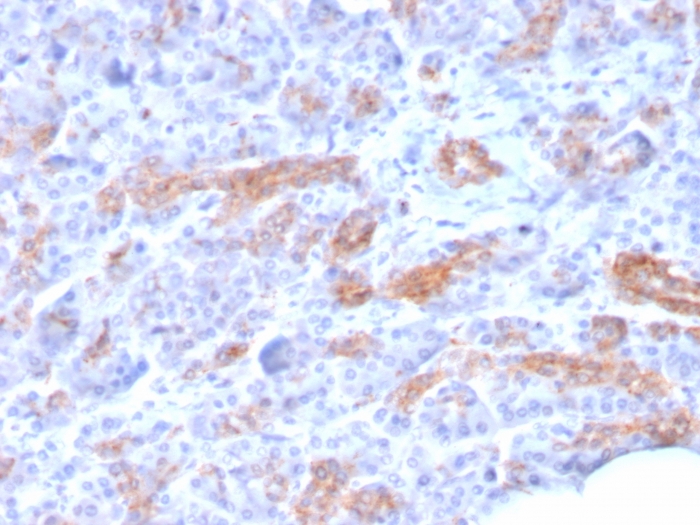
Immunohistochemistry (Formalin/PFA-fixed paraffin-embedded sections) - Anti-MRP3 antibody [ABCC3/2971] - BSA and Azide free (AB268263)

Formalin-fixed, paraffin-embedded human pancreatic carcinoma tissue stained for MRP3 using ab268139 at 2μg/ml in immunohistochemical analysis.

This data was developed using the same antibody clone in a different buffer formulation containing PBS, BSA and Sodium azide (ab268139)

Protein Array - Anti-MRP3 antibody [ABCC3/2971] - BSA and Azide free (AB268263)
  • Protein Array

Unknown

Protein Array - Anti-MRP3 antibody [ABCC3/2971] - BSA and Azide free (AB268263)

Protein Array containing more than 19,000 full-length human proteins using ab268139.

Z- and S- Score : The Z-score represents the strength of a signal that a monoclonal antibody (MAb) (in combination with a fluorescently-tagged anti-IgG secondary antibody) produces when binding to a particular protein on the HuProtTM array. Z-scores are described in units of standard deviations (SD's) above the mean value of all signals generated on that array. If targets on HuProtTM are arranged in descending order of the Z-score, the S-score is the difference (also in units of SD's) between the Z-score. S-score therefore represents the relative target specificity of a MAb to its intended target. A MAb is considered to specific to its intended target, if the MAb has an S-score of at least 2.5. For example, if a MAb binds to protein X with a Z-score of 43 and to protein Y with a Z-score of 14, then the S-score for the binding of that MAb to protein X is equal to 29.

This data was developed using the same antibody clone in a different buffer formulation containing PBS, BSA and Sodium azide (ab268139)

Key facts

Host species

Mouse

Clonality

Monoclonal

Clone number

ABCC3/2971

Isotype

IgG1

Light chain type

kappa

Carrier free

Yes

Reacts with

Human

Applications

Protein Array, IHC-P

applications

Immunogen

Recombinant Fragment Protein within Human ABCC3 aa 800-1000. The exact immunogen used to generate this antibody is proprietary information.

O15438

Reactivity data

{ "title": "Reactivity Data", "filters": { "stats": ["", "Species", "Dilution Info", "Notes"], "tabs": { "all-applications": {"fullname" : "All Applications", "shortname": "All Applications"}, "ProteinArray" : {"fullname" : "Protein Array", "shortname":"Protein Array"}, "IHCP" : {"fullname" : "Immunohistochemistry (Formalin/PFA-fixed paraffin-embedded sections)", "shortname":"IHC-P"} }, "product-promise": { "all": "all", "testedAndGuaranteed": "tested", "guaranteed": "expected", "predicted": "predicted", "notRecommended": "not-recommended" } }, "values": { "Human": { "ProteinArray-species-checked": "testedAndGuaranteed", "ProteinArray-species-dilution-info": "", "ProteinArray-species-notes": "<p></p>", "IHCP-species-checked": "testedAndGuaranteed", "IHCP-species-dilution-info": "1-2 µg/mL", "IHCP-species-notes": "<p></p> Perform heat-mediated antigen retrieval with Tris/EDTA buffer pH 9.0 before commencing with IHC staining protocol." } } }

Properties and storage information

Form
Liquid
Purification technique
Affinity purification Protein A/G
Purification notes
Purified from bioreactor concentrate.
Storage buffer
pH: 7.2 - 7.4 Constituents: PBS
Shipped at conditions
Blue Ice
Appropriate short-term storage duration
1-2 weeks
Appropriate short-term storage conditions
+4°C
Appropriate long-term storage conditions
-20°C
Aliquoting information
Upon delivery aliquot
Storage information
Avoid freeze / thaw cycle

Supplementary information

This supplementary information is collated from multiple sources and compiled automatically.

MRP3 also known as ABCC3 is a membrane-associated protein that plays an important role in transmembrane transport. This protein weighs approximately 170 kDa and is part of the ATP-binding cassette (ABC) transporter superfamily. MRP3 primarily localizes in the liver intestine and adrenal gland with presence also observed in the kidneys and pancreas. Its structural formation includes multiple transmembrane domains which facilitate the export of diverse molecules including endogenous substances and xenobiotics.
Biological function summary

MRP3 functions in the transport of organic anions across cellular membranes. It does not operate in isolation often interacting within a network of transporters to move glucuronidated sulfated and other conjugated organic anions from the cells. This protein plays a significant role in the body's detoxification processes where it assists in duly removing harmful metabolites and drugs. The MRP3's ability to transport bile acids and conjugates suggests it influences lipid metabolism as well.

Pathways

MRP3 is part of the glutathione and bile acid recycling pathways. Through these pathways MRP3 serves to recycle and transport surplus bile acids from the liver to the blood. This function connects MRP3 with other proteins like BSEP and MRP2 which also deal in bile acid transport. By regulating these pathways MRP3 maintains and controls the homeostasis of essential molecules within the cellular environment.

MRP3 links to conditions such as cholestasis and liver disease. Its dysregulation can result in impaired detoxification and transport processes exacerbating these conditions. An association exists between MRP3 and MRP2 where mutations or overexpression in these related proteins may impact disease progression and severity. Researchers study MRP3 to better understand its role in the pathology of these diseases seeking therapeutic insights and interventions.

Product protocols

For this product, it's our understanding that no specific protocols are required. You can visit:

Target data

ATP-dependent transporter of the ATP-binding cassette (ABC) family that binds and hydrolyzes ATP to enable active transport of various substrates including many drugs, toxicants and endogenous compound across cell membranes (PubMed : 10359813, PubMed : 11581266, PubMed : 15083066). Transports glucuronide conjugates such as bilirubin diglucuronide, estradiol-17-beta-o-glucuronide and GSH conjugates such as leukotriene C4 (LTC4) (PubMed : 11581266, PubMed : 15083066). Transports also various bile salts (taurocholate, glycocholate, taurochenodeoxycholate-3-sulfate, taurolithocholate- 3-sulfate) (By similarity). Does not contribute substantially to bile salt physiology but provides an alternative route for the export of bile acids and glucuronides from cholestatic hepatocytes (By similarity). May contribute to regulate the transport of organic compounds in testes across the blood-testis-barrier (Probable). Can confer resistance to various anticancer drugs, methotrexate, tenoposide and etoposide, by decreasing accumulation of these drugs in cells (PubMed : 10359813, PubMed : 11581266).
See full target information ABCC3

Product promise

We are committed to supporting your work with high-quality reagents, and we're here for you every step of the way. In the unlikely event that one of our products does not perform as expected, you're protected by our Product Promise.
For full details, please see our Terms & Conditions

Please note: All products are 'FOR RESEARCH USE ONLY. NOT FOR USE IN DIAGNOSTIC OR THERAPEUTIC PROCEDURES'.

For licensing inquiries, please contact partnerships@abcam.com