JavaScript is disabled in your browser. Please enable JavaScript to view this website.
AB77184

Anti-MRP4 antibody

Be the first to review this product! Submit a review

|

(10 Publications)

Goat Polyclonal MRP4 antibody. Suitable for IHC-P, WB and reacts with Human, Rat samples. Cited in 10 publications. Immunogen corresponding to Synthetic Peptide within Human ABCC4.

View Alternative Names

MOATB, MRP4, ABCC4, ATP-binding cassette sub-family C member 4, MRP/cMOAT-related ABC transporter, Multi-specific organic anion transporter B, Multidrug resistance-associated protein 4, MOAT-B

2 Images
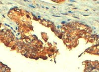
Immunohistochemistry (Formalin/PFA-fixed paraffin-embedded sections) - Anti-MRP4 antibody (AB77184)
  • IHC-P

Unknown

Immunohistochemistry (Formalin/PFA-fixed paraffin-embedded sections) - Anti-MRP4 antibody (AB77184)

ab77184 (4µg/ml) staining of paraffin embedded Human Prostate shows strong cytoplasmic staining in small flat basal cells and weak cytoplasmic staining in the columnar secretory cells of the epithelium. Steamed antigen retrieval with citrate buffer pH 6, HRP-staining.

Western blot - Anti-MRP4 antibody (AB77184)
  • WB

Unknown

Western blot - Anti-MRP4 antibody (AB77184)

All lanes:

Western blot - Anti-MRP4 antibody (ab77184) at 0.5 µg/mL

All lanes:

rat renal cortex membranes at 20 µg

Predicted band size: 150 kDa

Observed band size: 170 kDa

false

Key facts

Host species

Goat

Clonality

Polyclonal

Isotype

IgG

Carrier free

No

Reacts with

Rat, Human

Applications

IHC-P, WB

applications

Immunogen

Synthetic Peptide within Human ABCC4. The exact immunogen used to generate this antibody is proprietary information.

O15439

Specificity

ab77184 is expected to recognize MRP4 isoform 1 (NP_005836.2) only.

Reactivity data

{ "title": "Reactivity Data", "filters": { "stats": ["", "Species", "Dilution Info", "Notes"], "tabs": { "all-applications": {"fullname" : "All Applications", "shortname": "All Applications"}, "IHCP" : {"fullname" : "Immunohistochemistry (Formalin/PFA-fixed paraffin-embedded sections)", "shortname":"IHC-P"}, "WB" : {"fullname" : "Western blot", "shortname":"WB"} }, "product-promise": { "all": "all", "testedAndGuaranteed": "tested", "guaranteed": "expected", "predicted": "predicted", "notRecommended": "not-recommended" } }, "values": { "Human": { "IHCP-species-checked": "testedAndGuaranteed", "IHCP-species-dilution-info": "4-6 µg/mL", "IHCP-species-notes": "<p></p>", "WB-species-checked": "guaranteed", "WB-species-dilution-info": "", "WB-species-notes": "" }, "Mouse": { "IHCP-species-checked": "predicted", "IHCP-species-dilution-info": "", "IHCP-species-notes": "", "WB-species-checked": "predicted", "WB-species-dilution-info": "", "WB-species-notes": "" }, "Rat": { "IHCP-species-checked": "guaranteed", "IHCP-species-dilution-info": "", "IHCP-species-notes": "", "WB-species-checked": "testedAndGuaranteed", "WB-species-dilution-info": "1-3 µg/mL", "WB-species-notes": "<p>1 hour primary incubation is recommended for this product.</p>" } } }

Properties and storage information

Form
Liquid
Purification technique
Affinity purification Immunogen
Purification notes
ab77184 is purified by ammonium sulphate precipitation followed by antigen affinity chromatography using the immunizing peptide.
Storage buffer
pH: 7.3 Preservative: 0.02% Sodium azide Constituents: 99% Tris buffered saline, 0.5% BSA
Shipped at conditions
Blue Ice
Appropriate short-term storage conditions
+4°C
Appropriate long-term storage conditions
-20°C
Aliquoting information
Upon delivery aliquot
Storage information
Avoid freeze / thaw cycle

Supplementary information

This supplementary information is collated from multiple sources and compiled automatically.

The MRP4 protein also known as Multidrug Resistance Protein 4 or ABCC4 is an ATP-binding cassette transporter with a mass of approximately 150 kDa. This protein is expressed in various tissues including the liver kidney and brain. It plays a mechanical role by transporting organic anions drugs and other xenobiotic compounds across cellular membranes. MRP4 is part of the wider ATP-binding cassette (ABC) transporter family which actively pumps substrates against concentration gradients using ATP hydrolysis.
Biological function summary

MRP4 impacts processes like pharmacokinetics and drug metabolism. The protein contributes to the efflux of endogenous substrates and medication from cells affecting their absorption and excretion. MRP4 also functions as part of a larger transporter complex working with other similar proteins to manage cellular detoxification systems. The MRP4 transporter maintains cellular homeostasis by removing harmful substances supporting cellular defense mechanisms against xenobiotic and endogenous compounds.

Pathways

MRP4 integrates into cellular processes such as prostaglandin and cyclic nucleotide signaling pathways. These pathways are important in regulating inflammatory responses and cardiovascular functions. MRP4 interacts with other proteins including MRP1 and MRP5 which facilitate the movement of similar substrates providing flexibility and redundancy within cellular transport systems. This involvement enables MRP4 to modulate biological effects via alteration in prostaglandin levels.

MRP4 connects to conditions such as cancer and viral infections. Elevated expression of MRP4 can lead to drug resistance in cancer therapy complicating treatment strategies. In viral infections MRP4 modulates the availability of nucleoside analogs used in antiviral therapies. The protein's role aligns with other transporters like P-glycoprotein showcasing its involvement in the multidrug resistance phenotype. Consequently understanding MRP4's function can aid in the development of new therapeutic approaches targeting these disorders.

Product protocols

For this product, it's our understanding that no specific protocols are required. You can visit:

Target data

ATP-dependent transporter of the ATP-binding cassette (ABC) family that actively extrudes physiological compounds and xenobiotics from cells. Transports a range of endogenous molecules that have a key role in cellular communication and signaling, including cyclic nucleotides such as cyclic AMP (cAMP) and cyclic GMP (cGMP), bile acids, steroid conjugates, urate, and prostaglandins (PubMed : 11856762, PubMed : 12523936, PubMed : 12835412, PubMed : 12883481, PubMed : 15364914, PubMed : 15454390, PubMed : 16282361, PubMed : 17959747, PubMed : 18300232, PubMed : 26721430). Mediates the ATP-dependent efflux of glutathione conjugates such as leukotriene C4 (LTC4) and leukotriene B4 (LTB4) too. The presence of GSH is necessary for the ATP-dependent transport of LTB4, whereas GSH is not required for the transport of LTC4 (PubMed : 17959747). Mediates the cotransport of bile acids with reduced glutathione (GSH) (PubMed : 12523936, PubMed : 12883481, PubMed : 16282361). Transports a wide range of drugs and their metabolites, including anticancer, antiviral and antibiotics molecules (PubMed : 11856762, PubMed : 12105214, PubMed : 15454390, PubMed : 17344354, PubMed : 18300232). Confers resistance to anticancer agents such as methotrexate (PubMed : 11106685).
See full target information ABCC4

Publications (10)

Recent publications for all applications. Explore the full list and refine your search

BMC cancer 22:844 PubMed35922758

2022

Characterization and comparison of human glioblastoma models.

Applications

Unspecified application

Species

Unspecified reactive species

Julia A Schulz,Louis T Rodgers,Richard J Kryscio,Anika M S Hartz,Björn Bauer

European journal of pharmacology 909:174395 PubMed34332922

2021

Antioxidant effect of ascorbic acid against cisplatin-induced nephrotoxicity and P-glycoprotein expression in rats.

Applications

Unspecified application

Species

Unspecified reactive species

Keisuke Okamoto,Fumi Kitaichi,Yoshitaka Saito,Hinata Ueda,Katsuya Narumi,Ayako Furugen,Masaki Kobayashi

Life sciences 232:116643 PubMed31299237

2019

High soluble endoglin levels regulate cholesterol homeostasis and bile acids turnover in the liver of transgenic mice.

Applications

Unspecified application

Species

Unspecified reactive species

Eva Dolezelova,Ivone Cristina Igreja Sa,Alena Prasnicka,Milos Hroch,Radomir Hyspler,Alena Ticha,Hana Lastuvkova,Jolana Cermanova,Miguel Pericacho,Jakub Visek,Martina Lasticova,Stanislav Micuda,Petr Nachtigal

Oncology letters 18:63-71 PubMed31289473

2019

Effects of histone deacetylase inhibitors on ATP-binding cassette transporters in lung cancer A549 and colorectal cancer HCT116 cells.

Applications

Unspecified application

Species

Unspecified reactive species

Hao Wang,Chun-Hua Chi,Ying Zhang,Bin Shi,Ru Jia,Ben-Jun Wang

Nature communications 8:15663 PubMed28580927

2017

The ATP-binding cassette transporter A1 regulates phosphoantigen release and Vγ9Vδ2 T cell activation by dendritic cells.

Applications

Unspecified application

Species

Unspecified reactive species

Barbara Castella,Joanna Kopecka,Patrizia Sciancalepore,Giorgia Mandili,Myriam Foglietta,Nico Mitro,Donatella Caruso,Francesco Novelli,Chiara Riganti,Massimo Massaia

British journal of pharmacology 173:497-510 PubMed26507673

2016

Blood-brain and retinal barriers show dissimilar ABC transporter impacts and concealed effect of P-glycoprotein on a novel verapamil influx carrier.

Applications

Unspecified application

Species

Unspecified reactive species

Hélène Chapy,Bruno Saubaméa,Nicolas Tournier,Fanchon Bourasset,Francine Behar-Cohen,Xavier Declèves,Jean-Michel Scherrmann,Salvatore Cisternino

PloS one 10:e0126159 PubMed25955018

2015

An Autocrine Cytokine/JAK/STAT-Signaling Induces Kynurenine Synthesis in Multidrug Resistant Human Cancer Cells.

Applications

WB

Species

Unspecified reactive species

Ivana Campia,Ilaria Buondonno,Barbara Castella,Barbara Rolando,Joanna Kopecka,Elena Gazzano,Dario Ghigo,Chiara Riganti

Drug metabolism and disposition: the biological fate of chemicals 43:266-72 PubMed25488932

2014

Renal xenobiotic transporter expression is altered in multiple experimental models of nonalcoholic steatohepatitis.

Applications

Unspecified application

Species

Unspecified reactive species

Mark J Canet,Rhiannon N Hardwick,April D Lake,Anika L Dzierlenga,John D Clarke,Michael J Goedken,Nathan J Cherrington

Blood 120:404-14 PubMed22611153

2012

SLC35D3 delivery from megakaryocyte early endosomes is required for platelet dense granule biogenesis and is differentially defective in Hermansky-Pudlak syndrome models.

Applications

Unspecified application

Species

Unspecified reactive species

Ronghua Meng,Yuhuan Wang,Yu Yao,Zhe Zhang,Dawn C Harper,Harry F G Heijnen,Anand Sitaram,Wei Li,Graça Raposo,Mitchell J Weiss,Mortimer Poncz,Michael S Marks

American journal of physiology. Gastrointestinal a 299:G126-35 PubMed20395535

2010

Aryl hydrocarbon receptor and NF-E2-related factor 2 are key regulators of human MRP4 expression.

Applications

ICC/IF

Species

Unspecified reactive species

Shuhua Xu,Jittima Weerachayaphorn,Shi-Ying Cai,Carol J Soroka,James L Boyer
View all publications

Product promise

We are committed to supporting your work with high-quality reagents, and we're here for you every step of the way. In the unlikely event that one of our products does not perform as expected, you're protected by our Product Promise.
For full details, please see our Terms & Conditions

Please note: All products are 'FOR RESEARCH USE ONLY. NOT FOR USE IN DIAGNOSTIC OR THERAPEUTIC PROCEDURES'.

For licensing inquiries, please contact partnerships@abcam.com