JavaScript is disabled in your browser. Please enable JavaScript to view this website.
AB232886

Anti-MRPL1 antibody

Be the first to review this product! Submit a review

|

(1 Publication)

Rabbit Polyclonal MRPL1 antibody. Suitable for WB, IHC-P, ICC/IF and reacts with Human samples. Cited in 1 publication. Immunogen corresponding to Recombinant Fragment Protein within Human MRPL1 aa 100-300.

View Alternative Names

BM-022, MRPL1, Large ribosomal subunit protein uL1m, L1mt, MRP-L1

4 Images
Immunocytochemistry/ Immunofluorescence - Anti-MRPL1 antibody (AB232886)
  • ICC/IF

Supplier Data

Immunocytochemistry/ Immunofluorescence - Anti-MRPL1 antibody (AB232886)

HepG2 (Human liver hepatocellular carcinoma cell line) cells stained for MRPL1 using ab232886 at 20 μg/ml in ICC/IF. FITC stained.

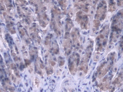
Immunohistochemistry (Formalin/PFA-fixed paraffin-embedded sections) - Anti-MRPL1 antibody (AB232886)
  • IHC-P

Supplier Data

Immunohistochemistry (Formalin/PFA-fixed paraffin-embedded sections) - Anti-MRPL1 antibody (AB232886)

Formalin-fixed, paraffin-embedded human lung cancer tissue stained for MRPL1 with ab232886 at 20 μg/ml in immunohistochemical analysis. DAB staining.

Western blot - Anti-MRPL1 antibody (AB232886)
  • WB

Supplier Data

Western blot - Anti-MRPL1 antibody (AB232886)

All lanes:

Western blot - Anti-MRPL1 antibody (ab232886) at 1 µg/mL

Lane 1:

MCF7 (human breast adenocarcinoma cell line) cell lysate

Lane 2:

HepG2 (human liver hepatocellular carcinoma cell line) cell lysate

Secondary

All lanes:

HRP-linked Guinea pig anti-Rabbit at 1/2000 dilution

Predicted band size: 37 kDa

false

Western blot - Anti-MRPL1 antibody (AB232886)
  • WB

Supplier Data

Western blot - Anti-MRPL1 antibody (AB232886)

All lanes:

Western blot - Anti-MRPL1 antibody (ab232886) at 2 µg/mL

All lanes:

Recombinant human MRPL1 protein

Predicted band size: 37 kDa

false

Key facts

Host species

Rabbit

Clonality

Polyclonal

Isotype

IgG

Carrier free

No

Reacts with

Human

Applications

IHC-P, ICC/IF, WB

applications

Immunogen

Recombinant Fragment Protein within Human MRPL1 aa 100-300. The exact immunogen used to generate this antibody is proprietary information.

Q9BYD6

Reactivity data

{ "title": "Reactivity Data", "filters": { "stats": ["", "Species", "Dilution Info", "Notes"], "tabs": { "all-applications": {"fullname" : "All Applications", "shortname": "All Applications"}, "WB" : {"fullname" : "Western blot", "shortname":"WB"}, "IHCP" : {"fullname" : "Immunohistochemistry (Formalin/PFA-fixed paraffin-embedded sections)", "shortname":"IHC-P"}, "ICCIF" : {"fullname" : "Immunocytochemistry/ Immunofluorescence", "shortname":"ICC/IF"} }, "product-promise": { "all": "all", "testedAndGuaranteed": "tested", "guaranteed": "expected", "predicted": "predicted", "notRecommended": "not-recommended" } }, "values": { "Human": { "WB-species-checked": "testedAndGuaranteed", "WB-species-dilution-info": "0.5-2 µg/mL", "WB-species-notes": "<p></p>", "IHCP-species-checked": "testedAndGuaranteed", "IHCP-species-dilution-info": "5-20 µg/mL", "IHCP-species-notes": "<p></p>", "ICCIF-species-checked": "testedAndGuaranteed", "ICCIF-species-dilution-info": "5-20 µg/mL", "ICCIF-species-notes": "<p></p>" } } }

Properties and storage information

Form
Liquid
Purification technique
Affinity purification Protein A
Purification notes
Antigen-specific affinity chromatography followed by Protein A affinity chromatography.
Storage buffer
pH: 7.4 Preservative: 0.011% Proclin 300 Constituents: PBS, 55.77% Glycerol (glycerin, glycerine)
Shipped at conditions
Blue Ice
Appropriate short-term storage duration
1-2 weeks
Appropriate short-term storage conditions
+4°C
Appropriate long-term storage conditions
-20°C
Aliquoting information
Upon delivery aliquot
Storage information
Avoid freeze / thaw cycle

Supplementary information

This supplementary information is collated from multiple sources and compiled automatically.

The MRPL1 protein also known as Mitochondrial Ribosomal Protein L1 is an essential component of the mitochondrial ribosome. It weighs approximately 34.1 kDa and plays a critical mechanical role in the synthesis of proteins within mitochondria. MRPL1 is expressed in various tissues with high metabolic activity particularly in the liver muscle and brain reflecting its importance in these energy-demanding areas.
Biological function summary

MRPL1 contributes to mitochondrial protein synthesis by being part of the mitochondrial large ribosomal subunit. It is one of the components that build the ribosome's structure enabling the translation of mitochondrial-encoded proteins. This integration into the ribosomal complex facilitates the accurate translation of mRNA which is necessary for proper mitochondrial function and energy production.

Pathways

MRPL1 functions in pathways related to mitochondrial translation and energy metabolism. It plays a part in the mitochondrial translation pathway a critical component for cellular energy production through oxidative phosphorylation. This pathway largely involves interactions with proteins such as MRPS22 which is part of the small subunit aiding in the synthesis of proteins important for the electron transport chain.

Altered MRPL1 function is associated with mitochondrial diseases and metabolic disorders. Mutations or defects in MRPL1 can lead to conditions like cardiomyopathy and MELAS syndrome (Mitochondrial Encephalomyopathy Lactic Acidosis and Stroke-like episodes). In these diseases the relationship between MRPL1 and the malfunctioning of mitochondrial-encoded proteins is evident and it interacts with other mRNAs translated in mitochondria impacting cellular energy balance.

Product protocols

For this product, it's our understanding that no specific protocols are required. You can visit:

Publications (1)

Recent publications for all applications. Explore the full list and refine your search

Redox biology 60:102610 PubMed36652744

2023

Ginsenoside Rd promotes omentin secretion in adipose through TBK1-AMPK to improve mitochondrial biogenesis via WNT5A/Ca pathways in heart failure.

Applications

Unspecified application

Species

Unspecified reactive species

Shiyao Wan,ZeKun Cui,Lingling Wu,Fan Zhang,Tao Liu,Jingui Hu,Jiangwei Tian,Boyang Yu,Fuming Liu,Junping Kou,Fang Li
View all publications

Product promise

We are committed to supporting your work with high-quality reagents, and we're here for you every step of the way. In the unlikely event that one of our products does not perform as expected, you're protected by our Product Promise.
For full details, please see our Terms & Conditions

Please note: All products are 'FOR RESEARCH USE ONLY. NOT FOR USE IN DIAGNOSTIC OR THERAPEUTIC PROCEDURES'.

For licensing inquiries, please contact partnerships@abcam.com