JavaScript is disabled in your browser. Please enable JavaScript to view this website.
AB181840

Anti-MRPL16 antibody [EPR14351-63]

Be the first to review this product! Submit a review

|

(1 Publication)

Rabbit Recombinant Monoclonal MRPL16 antibody. Suitable for WB, IHC-P and reacts with Human samples. Cited in 1 publication.

View Alternative Names

PNAS-111, MRPL16, Large ribosomal subunit protein uL16m, L16mt, MRP-L16

3 Images
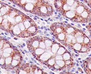
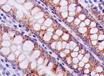
Immunohistochemistry (Formalin/PFA-fixed paraffin-embedded sections) - Anti-MRPL16 antibody [EPR14351-63] (AB181840)
  • IHC-P

Supplier Data

Immunohistochemistry (Formalin/PFA-fixed paraffin-embedded sections) - Anti-MRPL16 antibody [EPR14351-63] (AB181840)

Immunohistochemical analysis of paraffin-embedded Human colon tissue labeling MRPL16 with ab181840 at 1/100 dilution followed by prediluted HRP Polymer for Rabbit IgG. Counter stained with Hematoxylin.

Perform heat mediated antigen retrieval with EDTA buffer pH 9 before commencing with IHC staining protocol.

Western blot - Anti-MRPL16 antibody [EPR14351-63] (AB181840)
  • WB

Supplier Data

Western blot - Anti-MRPL16 antibody [EPR14351-63] (AB181840)

All lanes:

Western blot - Anti-MRPL16 antibody [EPR14351-63] (ab181840) at 1/10000 dilution

Lane 1:

HepG2 cell lysate at 20 µg

Lane 2:

293 cell lysate at 20 µg

Secondary

All lanes:

Goat Anti-Rabbit IgG, (H+L), Peroxidase conjugate at 1/1000 dilution

Predicted band size: 28 kDa

Observed band size: 25 kDa

false

Western blot - Anti-MRPL16 antibody [EPR14351-63] (AB181840)
  • WB

Supplier Data

Western blot - Anti-MRPL16 antibody [EPR14351-63] (AB181840)

All lanes:

Western blot - Anti-MRPL16 antibody [EPR14351-63] (ab181840) at 1/2000 dilution

Lane 1:

HeLa cell lysate at 20 µg

Lane 2:

Human fetal heart lysate at 20 µg

Secondary

All lanes:

Goat Anti-Rabbit IgG, (H+L), Peroxidase conjugate at 1/1000 dilution

Predicted band size: 28 kDa

Observed band size: 25 kDa

false

  • Carrier free

    Anti-MRPL16 antibody [EPR14351-63] - BSA and Azide free

Key facts

Host species

Rabbit

Clonality

Monoclonal

Clone number

EPR14351-63

Isotype

IgG

Carrier free

No

Reacts with

Human

Applications

IHC-P, WB

applications

Immunogen

The exact immunogen used to generate this antibody is proprietary information.

Reactivity data

{ "title": "Reactivity Data", "filters": { "stats": ["", "Species", "Dilution Info", "Notes"], "tabs": { "all-applications": {"fullname" : "All Applications", "shortname": "All Applications"}, "WB" : {"fullname" : "Western blot", "shortname":"WB"}, "IHCP" : {"fullname" : "Immunohistochemistry (Formalin/PFA-fixed paraffin-embedded sections)", "shortname":"IHC-P"} }, "product-promise": { "all": "all", "testedAndGuaranteed": "tested", "guaranteed": "expected", "predicted": "predicted", "notRecommended": "not-recommended" } }, "values": { "Human": { "WB-species-checked": "testedAndGuaranteed", "WB-species-dilution-info": "1/1000 - 1/10000", "WB-species-notes": "<p></p>", "IHCP-species-checked": "testedAndGuaranteed", "IHCP-species-dilution-info": "1/50 - 1/100", "IHCP-species-notes": "<p></p>" } } }

Product details

Patented technology
Our RabMAb® technology is a patented hybridoma-based technology for making rabbit monoclonal antibodies. For details on our patents, please refer to RabMAb® patents.

What are the advantages of a recombinant monoclonal antibody?
This product is a recombinant monoclonal antibody, which offers several advantages including:

  • - High batch-to-batch consistency and reproducibility
  • - Improved sensitivity and specificity
  • - Long-term security of supply
  • - Animal-free batch production

For more information, read more on recombinant antibodies.

Properties and storage information

Form
Liquid
Purification technique
Affinity purification Protein A
Storage buffer
Preservative: 0.01% Sodium azide Constituents: PBS, 40% Glycerol (glycerin, glycerine), 0.05% BSA
Shipped at conditions
Blue Ice
Appropriate short-term storage duration
1-2 weeks
Appropriate short-term storage conditions
+4°C
Appropriate long-term storage conditions
-20°C
Aliquoting information
Upon delivery aliquot
Storage information
Avoid freeze / thaw cycle

Supplementary information

This supplementary information is collated from multiple sources and compiled automatically.

MRPL16 also known as mitochondrial ribosomal protein L16 is a part of the mitochondrial ribosome which helps synthesize proteins within the mitochondria. MRPL16 has a molecular weight of around 36 kDa. Researchers find this protein in most tissues but it is especially abundant in energy-demanding tissues like the heart and skeletal muscles. As part of the large subunit of the mitochondrial ribosome MRPL16 interacts with other ribosomal proteins to help maintain functions in protein biosynthesis.
Biological function summary

The mitochondrial ribosome plays an important role in facilitating mitochondrial protein synthesis by translating mitochondrial mRNAs into proteins. MRPL16 acts as a component of this ribosome which consists of numerous proteins and ribosomal RNA (rRNA). This mitochondrial ribosomal protein aids in stabilizing the structure and function of the ribosome ensuring accurate translation of genetic information within mitochondria. Through this function MRPL16 supports cellular respiration and energy production by maintaining the synthesis of essential proteins required for mitochondrial function.

Pathways

The mitochondrial protein synthesis pathway is essential for producing key proteins involved in oxidative phosphorylation the main ATP-generating mechanism in cells. MRPL16 through its association with the ribosomal complex plays a role in coordinating the production of proteins in the respiratory chain complexes. Proteins like cytochrome c oxidase and ATP synthase depend on the mitochondrial ribosome's proper function. MRPL16 therefore indirectly supports these pathways as anomalies in mitochondrial protein synthesis can disrupt ATP production.

MRPL16 has links to conditions involving mitochondrial dysfunction such as mitochondrial myopathy and Leigh syndrome. Defects in mitochondrial protein synthesis and energy metabolism often lead to these disorders. The protein's association with other ribosomal proteins like MRPL21 and MRPL11 becomes significant as disruptions in these proteins can lead to misfolding or incomplete synthesis of critical mitochondrial proteins. Understanding MRPL16's role helps us study how mitochondrial dysfunction contributes to these diseases and devise targeted therapies.

Product protocols

For this product, it's our understanding that no specific protocols are required. You can visit:

Publications (1)

Recent publications for all applications. Explore the full list and refine your search

Neurochemical research 48:2542-2551 PubMed37061657

2023

Dithiolethiones D3T and ACDT Protect Against Iron Overload-Induced Cytotoxicity and Serve as Ferroptosis Inhibitors in U-87 MG Cells.

Applications

Unspecified application

Species

Unspecified reactive species

Neha Kulkarni,Rajitha Gadde,Swati Betharia
View all publications

Product promise

We are committed to supporting your work with high-quality reagents, and we're here for you every step of the way. In the unlikely event that one of our products does not perform as expected, you're protected by our Product Promise.
For full details, please see our Terms & Conditions

Please note: All products are 'FOR RESEARCH USE ONLY. NOT FOR USE IN DIAGNOSTIC OR THERAPEUTIC PROCEDURES'.

For licensing inquiries, please contact partnerships@abcam.com