JavaScript is disabled in your browser. Please enable JavaScript to view this website.
AB250512

Anti-MRPL16 antibody [EPR14351] - BSA and Azide free

Be the first to review this product! Submit a review

|

(1 Publication)

Rabbit Recombinant Monoclonal MRPL16 antibody. Carrier free. Suitable for IHC-P, WB and reacts with Human samples. Cited in 1 publication.

View Alternative Names

PNAS-111, MRPL16, Large ribosomal subunit protein uL16m, L16mt, MRP-L16

2 Images
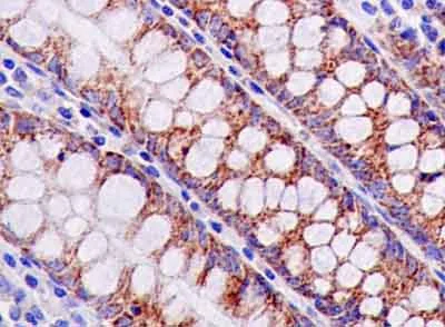
Immunohistochemistry (Formalin/PFA-fixed paraffin-embedded sections) - Anti-MRPL16 antibody [EPR14351] - BSA and Azide free (AB250512)
  • IHC-P

Supplier Data

Immunohistochemistry (Formalin/PFA-fixed paraffin-embedded sections) - Anti-MRPL16 antibody [EPR14351] - BSA and Azide free (AB250512)

This data was developed using ab181834, the same antibody clone in a different buffer formulation.

Immunohistochemical analysis of paraffin embedded Human colon tissue sections labeling MRPL16 using ab181834 at a 1/100 dilution. A ready to use HRP Polymer for Rabbit IgG was used as the secondary. Hematoxylin counterstain.

Perform heat mediated antigen retrieval with citrate buffer pH 6 before commencing with IHC staining protocol.

Western blot - Anti-MRPL16 antibody [EPR14351] - BSA and Azide free (AB250512)
  • WB

Supplier Data

Western blot - Anti-MRPL16 antibody [EPR14351] - BSA and Azide free (AB250512)

This data was developed using ab181834, the same antibody clone in a different buffer formulation.

Blocking and dilution buffer : 5% NFDM/TBST.

All lanes:

Western blot - Anti-MRPL16 antibody [EPR14351] (<a href='/en-us/products/primary-antibodies/mrpl16-antibody-epr14351-ab181834'>ab181834</a>) at 1/10000 dilution

Lane 1:

HepG2 cell lysate at 20 µg

Lane 2:

293 cell lysate at 20 µg

Lane 3:

HeLa cell lysate at 20 µg

Lane 4:

Human fetal heart lysate at 20 µg

Secondary

All lanes:

Goat Anti-Rabbit IgG, (H+L), Peroxidase conjugated at 1/1000 dilution

Predicted band size: 28 kDa

false

Key facts

Host species

Rabbit

Clonality

Monoclonal

Clone number

EPR14351

Isotype

IgG

Carrier free

Yes

Reacts with

Human

Applications

IHC-P, WB

applications

Immunogen

The exact immunogen used to generate this antibody is proprietary information.

Reactivity data

{ "title": "Reactivity Data", "filters": { "stats": ["", "Species", "Dilution Info", "Notes"], "tabs": { "all-applications": {"fullname" : "All Applications", "shortname": "All Applications"}, "IHCP" : {"fullname" : "Immunohistochemistry (Formalin/PFA-fixed paraffin-embedded sections)", "shortname":"IHC-P"}, "WB" : {"fullname" : "Western blot", "shortname":"WB"} }, "product-promise": { "all": "all", "testedAndGuaranteed": "tested", "guaranteed": "expected", "predicted": "predicted", "notRecommended": "not-recommended" } }, "values": { "Human": { "IHCP-species-checked": "testedAndGuaranteed", "IHCP-species-dilution-info": "", "IHCP-species-notes": "<p></p>", "WB-species-checked": "testedAndGuaranteed", "WB-species-dilution-info": "", "WB-species-notes": "<p></p>" }, "Mouse": { "IHCP-species-checked": "predicted", "IHCP-species-dilution-info": "", "IHCP-species-notes": "", "WB-species-checked": "predicted", "WB-species-dilution-info": "", "WB-species-notes": "" }, "Rat": { "IHCP-species-checked": "predicted", "IHCP-species-dilution-info": "", "IHCP-species-notes": "", "WB-species-checked": "predicted", "WB-species-dilution-info": "", "WB-species-notes": "" } } }

Product details

ab250512 is the carrier-free version of ab181834.

Patented technology
Our RabMAb® technology is a patented hybridoma-based technology for making rabbit monoclonal antibodies. For details on our patents, please refer to RabMAb® patents.

What are the advantages of a recombinant monoclonal antibody?
This product is a recombinant monoclonal antibody, which offers several advantages including:

  • - High batch-to-batch consistency and reproducibility
  • - Improved sensitivity and specificity
  • - Long-term security of supply
  • - Animal-free batch production

For more information, read more on recombinant antibodies.

Conjugation ready
Our carrier-free antibodies are typically supplied in a PBS-only formulation, purified and free of BSA, sodium azide and glycerol. This conjugation-ready format is designed for use with fluorochromes, metal isotopes, oligonucleotides, and enzymes, which makes them ideal for antibody labelling, functional and cell-based assays, flow-based assays (e.g. mass cytometry) and Multiplex Imaging applications.

Use our conjugation kits for antibody conjugates that are ready-to-use in as little as 20 minutes with 1 minute hands-on-time and 100% antibody recovery: available for fluorescent dyes, HRP, biotin and gold.

Compatibility
This product is compatible with the Maxpar® Antibody Labeling Kit from Fluidigm, without the need for antibody preparation. Maxpar® is a trademark of Fluidigm Canada Inc.

Properties and storage information

Form
Liquid
Purification technique
Affinity purification Protein A
Storage buffer
pH: 7.2 - 7.4 Constituents: PBS
Shipped at conditions
Blue Ice
Appropriate short-term storage conditions
+4°C
Appropriate long-term storage conditions
+4°C
Storage information
Do Not Freeze

Supplementary information

This supplementary information is collated from multiple sources and compiled automatically.

MRPL16 also known as mitochondrial ribosomal protein L16 is a part of the mitochondrial ribosome which helps synthesize proteins within the mitochondria. MRPL16 has a molecular weight of around 36 kDa. Researchers find this protein in most tissues but it is especially abundant in energy-demanding tissues like the heart and skeletal muscles. As part of the large subunit of the mitochondrial ribosome MRPL16 interacts with other ribosomal proteins to help maintain functions in protein biosynthesis.
Biological function summary

The mitochondrial ribosome plays an important role in facilitating mitochondrial protein synthesis by translating mitochondrial mRNAs into proteins. MRPL16 acts as a component of this ribosome which consists of numerous proteins and ribosomal RNA (rRNA). This mitochondrial ribosomal protein aids in stabilizing the structure and function of the ribosome ensuring accurate translation of genetic information within mitochondria. Through this function MRPL16 supports cellular respiration and energy production by maintaining the synthesis of essential proteins required for mitochondrial function.

Pathways

The mitochondrial protein synthesis pathway is essential for producing key proteins involved in oxidative phosphorylation the main ATP-generating mechanism in cells. MRPL16 through its association with the ribosomal complex plays a role in coordinating the production of proteins in the respiratory chain complexes. Proteins like cytochrome c oxidase and ATP synthase depend on the mitochondrial ribosome's proper function. MRPL16 therefore indirectly supports these pathways as anomalies in mitochondrial protein synthesis can disrupt ATP production.

MRPL16 has links to conditions involving mitochondrial dysfunction such as mitochondrial myopathy and Leigh syndrome. Defects in mitochondrial protein synthesis and energy metabolism often lead to these disorders. The protein's association with other ribosomal proteins like MRPL21 and MRPL11 becomes significant as disruptions in these proteins can lead to misfolding or incomplete synthesis of critical mitochondrial proteins. Understanding MRPL16's role helps us study how mitochondrial dysfunction contributes to these diseases and devise targeted therapies.

Product protocols

For this product, it's our understanding that no specific protocols are required. You can visit:

Publications (1)

Recent publications for all applications. Explore the full list and refine your search

Scientific reports 14:15564 PubMed38971897

2024

LILRB4 knockdown inhibits aortic dissection development by regulating pyroptosis and the JAK2/STAT3 signaling pathway.

Applications

Unspecified application

Species

Unspecified reactive species

Jianxian Xiong,Jiayuan Ling,Jie Yan,Yanyu Duan,Junjian Yu,Wentong Li,Wenbo Yu,Jianfeng Gao,Dilin Xie,Ziyou Liu,Yongzhi Deng,Yongling Liao
View all publications

Product promise

We are committed to supporting your work with high-quality reagents, and we're here for you every step of the way. In the unlikely event that one of our products does not perform as expected, you're protected by our Product Promise.
For full details, please see our Terms & Conditions

Please note: All products are 'FOR RESEARCH USE ONLY. NOT FOR USE IN DIAGNOSTIC OR THERAPEUTIC PROCEDURES'.

For licensing inquiries, please contact partnerships@abcam.com