JavaScript is disabled in your browser. Please enable JavaScript to view this website.
AB194826

Anti-MRPL48 antibody [EPR16328]

Be the first to review this product! Submit a review

|

(6 Publications)

Rabbit Recombinant Monoclonal MRPL48 antibody. Suitable for IP, WB, ICC/IF, Flow Cyt (Intra), IHC-P and reacts with Human, Mouse, Rat samples. Cited in 6 publications.

View Alternative Names

CGI-118, HSPC290, MRPL48, Large ribosomal subunit protein mL48, L48mt, MRP-L48

7 Images
Flow Cytometry (Intracellular) - Anti-MRPL48 antibody [EPR16328] (AB194826)
  • Flow Cyt (Intra)

Lab

Flow Cytometry (Intracellular) - Anti-MRPL48 antibody [EPR16328] (AB194826)

Intracellular Flow Cytometry analysis of HeLa cells labelling MRPL48 (red) with purified ab194826 at dilution of 1/60. The secondary antibody used was Alexa Fluorr® 488 goat-anti-rabbit IgG (1/2000). Cells were fixed with 4% paraformaldehyde and permeabilised with 90% methanol. Isotype control antibody was Rabbit monoclonal IgG (black). The blue line shows cells without incubation with primary antibody and secondary antibody.

Immunocytochemistry/ Immunofluorescence - Anti-MRPL48 antibody [EPR16328] (AB194826)
  • ICC/IF

Supplier Data

Immunocytochemistry/ Immunofluorescence - Anti-MRPL48 antibody [EPR16328] (AB194826)

Immunofluorescent analysis of A431 cells labeling MRPL48 with ab194826 at 1/50 dilution. A Goat anti rabbit IgG (Alexa Fluor488) at 1/400 dilution (ab150077) was used as secondary antibody. Cells were fixed with 4% paraformaldehyde and permeabilized with 0.1% triton X-100. Counterstain : DAPI. Cytoplasm staining on HepG2 cell line was observed.

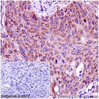
Immunohistochemistry (Formalin/PFA-fixed paraffin-embedded sections) - Anti-MRPL48 antibody [EPR16328] (AB194826)
  • IHC-P

Supplier Data

Immunohistochemistry (Formalin/PFA-fixed paraffin-embedded sections) - Anti-MRPL48 antibody [EPR16328] (AB194826)

Immunohistochemical analysis of paraffin-embedded Human cervix carcinoma tissue labeling MRPL48 with ab194826 at 1/150 dilution. A Goat Anti-Rabbit IgG H&L (HRP) at 1/500 dilution was used as secondary (ab97051). Counterstain : Hematoxylin.
Inset image : negative control obtained using PBS instead of ab194826. Cytoplasm staining on human cervix carcinoma tissue was observed.

Perform heat mediated antigen retrieval with Tris/EDTA buffer pH 9.0 before commencing with IHC staining protocol.

Immunoprecipitation - Anti-MRPL48 antibody [EPR16328] (AB194826)
  • IP

Supplier Data

Immunoprecipitation - Anti-MRPL48 antibody [EPR16328] (AB194826)

Western blot analysis of immunoprecipitation pellet from HepG2 cell lysate immunoprecipitated using ab194826 at 1/30 dilution (lane 1) or PBS control (lane 2)

For Western blot : ab194826 was used at 1/1000 dilution (0.6μg/ml). Secondary : Anti-Rabbit IgG (HRP), specific to the non-reduced form of IgG at 1/1500 dilution.

All lanes:

Immunoprecipitation - Anti-MRPL48 antibody [EPR16328] (ab194826)

Predicted band size: 24 kDa

false

Western blot - Anti-MRPL48 antibody [EPR16328] (AB194826)
  • WB

Supplier Data

Western blot - Anti-MRPL48 antibody [EPR16328] (AB194826)

All lanes:

Western blot - Anti-MRPL48 antibody [EPR16328] (ab194826) at 1/2000 dilution

All lanes:

Human fetal heart tissue lysate at 20 µg

Secondary

All lanes:

Goat Anti-Rabbit IgG, (H+L), Peroxidase conjugated at 1/1000 dilution

Predicted band size: 24 kDa

false

Western blot - Anti-MRPL48 antibody [EPR16328] (AB194826)
  • WB

Supplier Data

Western blot - Anti-MRPL48 antibody [EPR16328] (AB194826)

All lanes:

Western blot - Anti-MRPL48 antibody [EPR16328] (ab194826) at 1/10000 dilution

Lane 1:

HepG2 cell lysate at 20 µg

Lane 2:

HeLa cell lysate at 20 µg

Lane 3:

Jurkat cell lysate at 20 µg

Secondary

All lanes:

Goat Anti-Rabbit IgG, (H+L), Peroxidase conjugated at 1/1000 dilution

Predicted band size: 24 kDa

false

Western blot - Anti-MRPL48 antibody [EPR16328] (AB194826)
  • WB

Supplier Data

Western blot - Anti-MRPL48 antibody [EPR16328] (AB194826)

All lanes:

Western blot - Anti-MRPL48 antibody [EPR16328] (ab194826) at 1/2000 dilution

Lane 1:

Mouse brain lysate at 10 µg

Lane 2:

Mouse heart lysate at 10 µg

Lane 3:

Rat brain lysate at 10 µg

Lane 4:

Rat heart lysate at 10 µg

Lane 5:

PC12 cell lysate at 10 µg

Lane 6:

NIH 3T3 cell lysate at 10 µg

Secondary

All lanes:

Goat Anti-Rabbit IgG, (H+L), Peroxidase conjugated at 1/1000 dilution

Predicted band size: 24 kDa

false

Key facts

Host species

Rabbit

Clonality

Monoclonal

Clone number

EPR16328

Isotype

IgG

Carrier free

No

Reacts with

Mouse, Rat, Human

Applications

IP, Flow Cyt (Intra), WB, IHC-P, ICC/IF

applications

Immunogen

The exact immunogen used to generate this antibody is proprietary information.

Reactivity data

{ "title": "Reactivity Data", "filters": { "stats": ["", "Species", "Dilution Info", "Notes"], "tabs": { "all-applications": {"fullname" : "All Applications", "shortname": "All Applications"}, "IP" : {"fullname" : "Immunoprecipitation", "shortname":"IP"}, "WB" : {"fullname" : "Western blot", "shortname":"WB"}, "ICCIF" : {"fullname" : "Immunocytochemistry/ Immunofluorescence", "shortname":"ICC/IF"}, "FlowCytIntra" : {"fullname" : "Flow Cytometry (Intracellular)", "shortname":"Flow Cyt (Intra)"}, "IHCP" : {"fullname" : "Immunohistochemistry (Formalin/PFA-fixed paraffin-embedded sections)", "shortname":"IHC-P"} }, "product-promise": { "all": "all", "testedAndGuaranteed": "tested", "guaranteed": "expected", "predicted": "predicted", "notRecommended": "not-recommended" } }, "values": { "Human": { "IP-species-checked": "testedAndGuaranteed", "IP-species-dilution-info": "1/30", "IP-species-notes": "<p></p>", "WB-species-checked": "testedAndGuaranteed", "WB-species-dilution-info": "1/1000 - 1/10000", "WB-species-notes": "<p></p>", "ICCIF-species-checked": "testedAndGuaranteed", "ICCIF-species-dilution-info": "1/150", "ICCIF-species-notes": "<p></p>", "FlowCytIntra-species-checked": "testedAndGuaranteed", "FlowCytIntra-species-dilution-info": "1/60", "FlowCytIntra-species-notes": "<p></p>", "IHCP-species-checked": "testedAndGuaranteed", "IHCP-species-dilution-info": "1/150", "IHCP-species-notes": "<p></p>" }, "Mouse": { "IP-species-checked": "guaranteed", "IP-species-dilution-info": "", "IP-species-notes": "", "WB-species-checked": "testedAndGuaranteed", "WB-species-dilution-info": "1/1000 - 1/10000", "WB-species-notes": "<p></p>", "ICCIF-species-checked": "guaranteed", "ICCIF-species-dilution-info": "", "ICCIF-species-notes": "", "FlowCytIntra-species-checked": "guaranteed", "FlowCytIntra-species-dilution-info": "", "FlowCytIntra-species-notes": "", "IHCP-species-checked": "guaranteed", "IHCP-species-dilution-info": "", "IHCP-species-notes": "" }, "Rat": { "IP-species-checked": "guaranteed", "IP-species-dilution-info": "", "IP-species-notes": "", "WB-species-checked": "testedAndGuaranteed", "WB-species-dilution-info": "1/1000 - 1/10000", "WB-species-notes": "<p></p>", "ICCIF-species-checked": "guaranteed", "ICCIF-species-dilution-info": "", "ICCIF-species-notes": "", "FlowCytIntra-species-checked": "guaranteed", "FlowCytIntra-species-dilution-info": "", "FlowCytIntra-species-notes": "", "IHCP-species-checked": "guaranteed", "IHCP-species-dilution-info": "", "IHCP-species-notes": "" } } }

Product details

Patented technology
Our RabMAb® technology is a patented hybridoma-based technology for making rabbit monoclonal antibodies. For details on our patents, please refer to RabMAb® patents.

What are the advantages of a recombinant monoclonal antibody?
This product is a recombinant monoclonal antibody, which offers several advantages including:

  • - High batch-to-batch consistency and reproducibility
  • - Improved sensitivity and specificity
  • - Long-term security of supply
  • - Animal-free batch production

For more information, read more on recombinant antibodies.

Properties and storage information

Form
Liquid
Purification technique
Affinity purification Protein A
Storage buffer
pH: 7.2 - 7.4 Preservative: 0.01% Sodium azide Constituents: PBS, 40% Glycerol (glycerin, glycerine), 0.05% BSA
Shipped at conditions
Blue Ice
Appropriate short-term storage duration
1-2 weeks
Appropriate short-term storage conditions
+4°C
Appropriate long-term storage conditions
-20°C
Aliquoting information
Upon delivery aliquot
Storage information
Avoid freeze / thaw cycle

Supplementary information

This supplementary information is collated from multiple sources and compiled automatically.

MRPL48 also known as mitochondrial ribosomal protein L48 is a component of the mitochondrial ribosome. This protein has a mass of approximately 18.7 kDa and plays a role in protein synthesis within mitochondria. MRPL48 locates itself mostly in the mitochondria of cells across various tissues with higher expression levels observed in tissues with high energy demands such as muscle and liver.
Biological function summary

MRPL48 contributes to the formation and function of the mitochondrial ribosome which is responsible for synthesizing proteins that are essential for mitochondrial respiration and energy production. This protein is part of the large subunit of the mitochondrial ribosome which includes many other mitochondrial ribosomal proteins. Together they form a complex responsible for translating mitochondrial mRNA into functional proteins.

Pathways

MRPL48 is actively engaged in mitochondrial translation a critical pathway for maintaining mitochondrial function and energy production. In this pathway it associates with other mitochondrial ribosomal proteins to produce enzymes necessary for the electron transport chain and ATP synthesis. MRPL48 also relates to oxidative phosphorylation where it plays a part in generating cellular energy linking it to proteins such as cytochrome c oxidase subunit IV.

Defects in MRPL48 could relate to mitochondrial dysfunctions which may contribute to disorders like mitochondrial myopathy and mitochondrial complex I deficiency. These conditions often manifest muscle weakness neurological problems and metabolic disturbances. In these disorders MRPL48's interaction with other mitochondrial ribosomal proteins is important as impaired mitochondrial protein synthesis can cause decreased energy production and increased oxidative stress within cells.

Product protocols

For this product, it's our understanding that no specific protocols are required. You can visit:

Publications (6)

Recent publications for all applications. Explore the full list and refine your search

Molecular medicine reports 30: PubMed39027992

2024

CD8 T cell‑related KCTD5 contributes to malignant progression and unfavorable clinical outcome of patients with triple‑negative breast cancer.

Applications

Unspecified application

Species

Unspecified reactive species

Jia Li,Jingchun Yao

Cell 186:3307-3324.e30 PubMed37385249

2023

Dynamic mapping of proteome trafficking within and between living cells by TransitID.

Applications

Unspecified application

Species

Unspecified reactive species

Wei Qin,Joleen S Cheah,Charles Xu,James Messing,Brian D Freibaum,Steven Boeynaems,J Paul Taylor,Namrata D Udeshi,Steven A Carr,Alice Y Ting

International journal of molecular sciences 23: PubMed35682734

2022

Mitochondrial rRNA Methylation by Mettl15 Contributes to the Exercise and Learning Capability in Mice.

Applications

Unspecified application

Species

Unspecified reactive species

Olga A Averina,Ivan G Laptev,Mariia A Emelianova,Oleg A Permyakov,Sofia S Mariasina,Alyona I Nikiforova,Vasily N Manskikh,Olga O Grigorieva,Anastasia K Bolikhova,Gennady A Kalabin,Olga A Dontsova,Petr V Sergiev

Cell death & disease 12:1076 PubMed34772924

2021

MRPS31 loss is a key driver of mitochondrial deregulation and hepatocellular carcinoma aggressiveness.

Applications

WB

Species

Human

Seongki Min,Young-Kyoung Lee,Jiwon Hong,Tae Jun Park,Hyun Goo Woo,So Mee Kwon,Gyesoon Yoon

Nucleic acids research 48:8022-8034 PubMed32573735

2020

METTL15 interacts with the assembly intermediate of murine mitochondrial small ribosomal subunit to form m4C840 12S rRNA residue.

Applications

Unspecified application

Species

Unspecified reactive species

Ivan Laptev,Ekaterina Shvetsova,Sergey Levitskii,Marina Serebryakova,Maria Rubtsova,Victor Zgoda,Alexey Bogdanov,Piotr Kamenski,Petr Sergiev,Olga Dontsova

Biochemical and biophysical research communication : PubMed32087971

2020

Comparative pharmacoproteomics reveals potential targets for berberine, a promising therapy for colorectal cancer.

Applications

Unspecified application

Species

Unspecified reactive species

Mingfu Tong,Haiming Liu,Jianyu Hao,Daiming Fan
View all publications

Product promise

We are committed to supporting your work with high-quality reagents, and we're here for you every step of the way. In the unlikely event that one of our products does not perform as expected, you're protected by our Product Promise.
For full details, please see our Terms & Conditions

Please note: All products are 'FOR RESEARCH USE ONLY. NOT FOR USE IN DIAGNOSTIC OR THERAPEUTIC PROCEDURES'.

For licensing inquiries, please contact partnerships@abcam.com